ACE2
Entry receptor for SARS-nCoV-2.
Interferon-induced protein expressed on type 2 pneumocytes, intestinal epithelial cells, nasal goblet secretory cells. ACE2 levels in the nasal epithelium increase with age.
ACE2 is a distinct enzyme from ACE: ACE converts angiotensin I to angiotensin II, a potent vasoconstrictor that drives the synthesis of aldosterone, whereas ACE2 converts active angiotensin II to angiotensin 1-7, a primary vasodilatory agent. Studies have shown no association between RAAS-interacting medications and COVID19 pathogenesis or susceptibility.
TMPRSS2
SARS-CoV-2 binds to ACE2 via its S protein. Binding triggers a conformational change in the S protein, allowing it to be cleaved by a host cell serine protease called TMPRSS2
Cleavage of the S protein between its S1 and S2 domains allows fusion of the viral and host cell membranes and viral entry to the cell.
Primary mode of transmission for SARS-CoV-2
Respiratory droplets
Is COVID19 transmissible from pregnant mother to child?
As of right now, there is good evidence against this. We are still not 100% sure, but if it does happen it seems to be rare.
SARS and MERS show similar patterns. Generally, vertical transmission is not a concern. However, once a child is born, it is susceptible to possible infection by respiratory droplets like anyone else.
Asymptomatic cases
Make up 15% of cases, most commonly in young individuals
Most people who are “positive but asymptomatic” are still in the incubation period and will eventually have some symptoms, or have symptoms that they believe to be irrelevant or subclinical.
COVID19 incubation time
1-12 days, with a median of 5 days
We use 2 weeks as a rule of thumb to be safe.
COVID19 associated endotheliitis
Endothelial cells also express ACE-2, making them susceptible to infection once SARS-CoV-2 begins to spread in the bloodstream. The first site of spread is in the pulmonary capillaries.
This endotheliitis is associated with diffuse thickening of the alveolar wall and infiltration of mononuclear cells and macrophages into the airspaces, which collectively are seen as ground-glass opacities in the lungs on CT imaging. This may progress to ARDS.
COVID19 associated comsumptive coagulopathy
COVID’s endothelitis provokes a syndrome similar to disseminated intravascular coagulation.
~70% of patients who die of COVID die of this complication, and at least ~30% have some symptomatic thrombosis during hospitalization with COVID19.
Innate immune response to COVID19
Tocilizumab
Anti-IL6
In clinical trials for COVID19 sepsis currently
Antibody responses to COVID19
COVID19 in patients with common immunodeficiencies
Patients with agammaglobulinemia have very mild disease while patients with CVID have severe disease.
These studies raise the possibility that a humoral immune response may not be protective against severe disease and that atypical B cells (which are a known source of IL-6 in many diseases including granulomatous interstitial lung disease linked to CVID, that respond to B cell depletion) may contribute to severe COVID-19 disease
Pre-existing immunity to SARS-CoV-2
CD4+ T cells that react against SARS-CoV-2 were seen in 40-60% of patient cells collected in 2015-2018, which correlated with the presence of antibodies against seasonal coronaviruses, suggesting pre-existing cross-immunity from other coronavirus infections
Fever in COVID19
Only ~44% of patients with COVID19 present with fever initially. Why is this?
Because it interferes with IL-6! IL-6 is the driver of immunologically-generated fever in humans, and without it fever will be delayed. Intereference with IL-6 is a hallmark of COVID19 pathology.
COVID19 lymphopenia
Lymphopenia is a hallmark of in COVID-19, is associated with IL-6 and IL-8 levels, and is a predictor of disease severity
CD4+ and CD8+ T cells are depleted to a greater extent than B cells or NK cells
COVID19 symptoms and frequencies
Not listed here is taste change and smell change, which are present in somewhere between 30% and 60% of symptomatic cases and are quite specific for COVID19.

If you’re looking for a single marker of COVID19 prognosis, look no farther than. . .
. . . IL-6 kinetics and coagulation testing
COVID19 diagnostics
MGH’s COVID19 daily testing guidelines
Daily CBC, CMP, CPK, and Ferritin/CRP
as well as PT/PTT/fibrinogen and d-dimer every other day for all patients admitted with confirmed or suspected COVID-19
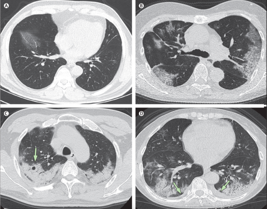
Patterns of COVID19 pneumonia on CT
Transverse thin-section CT scans in patients with COVID-19 pneumonia. (A) 56-year-old man, day 3 after symptom onset: focal ground-glass opacity associated with smooth interlobular and intralobular septal thickening in the right lower lobes. (B) 74-year-old woman, day 10 after symptom onset: bilateral, peripheral ground-glass opacity associated with smooth interlobular and intralobular septal thickening (crazy-paving pattern). (C) 61-year-old woman, day 20 after symptom onset: bilateral and peripheral predominant consolidation pattern with a round cystic change internally (arrow). (D) 63-year-old woman, day 17 after symptom onset: bilateral, peripheral mixed pattern associated with air bronchograms in both lower and upper lobes, with a small amount of pleural effusion (arrows).

Multisystem Inflammatory Syndrome in children (MIS-C)
The Kawasaki Disease-like toxic shock syndrome associated with childhood COVID-19
It seems to occur after acute SARS-CoV-2 infection with many patients testing negative for active infection via SARS-CoV-2 PCR but with evidence of prior infection via serologic testing. Common symptoms of MIS-C that have been reported thus far are fever, rash, fatigue, and prominent gastrointestinal symptoms
Immediate treatment is essential.
COVID19 and blood type
Blood type A is a risk factor for severe infection, while blood type O is protective.
How patients with mild disease know when to stop quarantining
Until studies show otherwise, patients should avoid ___ for paliation while sick with COVID-19.
Until studies show otherwise, patients should avoid NSAIDs for paliation while sick with COVID-19.
Instruct to use acetominophen instead.