CPC Flashcards

(7 cards)

1
Q

Define metaplasia.

A

Is the reversible transformation of one differentiated cell type to another differentiated cell type

How well did you know this?
1
Not at all
2
3
4
5
Perfectly
2
Q

List causes of obstructive jaundice.

~10

A
  • Acute cholecystitis and biliary colic
  • acute pancreatitis
  • sclerosing cholangitis
  • cholangiosarcoma
  • alcoholic hepatitis
  • ampullary carcinoma
  • Bile duct strictures
  • bile duct tumours
  • biliary trauma
  • cholangiocarcinoma
  • cholangitis
  • choledochal cysts
  • chronic pancreatitis
  • cirrhosis
  • gallbladder cancer
How well did you know this?
1
Not at all
2
3
4
5
Perfectly
3
Q

Name the following cancer these tumour markers are for?

CEA

CA 19-9

CA 15-3

CA-125

A
  • CEA: monitoring of gastrointestinal, pnacreatic, breast and lung cancer
  • CA 19-9: pancreatic cancer, cholangitis, cirrhosis
  • CA 15-3: breast cancer
  • CA -125: ovarian cancer
How well did you know this?
1
Not at all
2
3
4
5
Perfectly
4
Q

What are the common way cancers can spread?

A
  • DIRECT: spread into adjacent structures
  • LYMPHATICS: to near by lymph nodes first
  • BLOOD: to other organs
  • NEURAL: along nerves
How well did you know this?
1
Not at all
2
3
4
5
Perfectly
5
Q

Define dysplasia.

A

An alteration in the size, shape and organisation of the cellular components of a tissues. Dysplastic cells do not undergo autonomous growth but they are often precursors of cancer cells.

How well did you know this?
1
Not at all
2
3
4
5
Perfectly
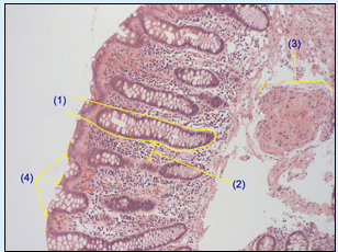
6
Q

Name the following parts of colon histology

A
  1. Crypt
  2. Lamina propria
  3. Submucosa
  4. Surface columnar cells
How well did you know this?
1
Not at all
2
3
4
5
Perfectly
7
Q
A
How well did you know this?
1
Not at all
2
3
4
5
Perfectly