CPCs Flashcards

(78 cards)

1
Q
A

Chronic inflammation in asthma
IgE mediated

How well did you know this?
1
Not at all
2
3
4
5
Perfectly
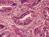
2
Q
A

Airways infiltrated with mast cells (A) and CD4 T lymphocytes (B)

Chronic asthma

How well did you know this?
1
Not at all
2
3
4
5
Perfectly
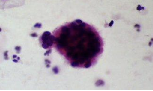
3
Q
A

Creola bodies → found in sputum, ciliated columnar cells from bronchial mucosa
Asthma

How well did you know this?
1
Not at all
2
3
4
5
Perfectly
4
Q
A

Charcot-Leyden crystals → lysophospholipase, liberated from eosinophil breakdown
Asthma

How well did you know this?
1
Not at all
2
3
4
5
Perfectly
5
Q
A

Asthma - mucus plugging, eosinophilic infiltration, thickened basement membrane, epithelial denudation, goblet cell hyperplasia

How well did you know this?
1
Not at all
2
3
4
5
Perfectly
6
Q
A

Air spaces filled with fluid and inflammatory infiltrate – lobar pneumonia

How well did you know this?
1
Not at all
2
3
4
5
Perfectly
7
Q
A

BAL: acute inflammatory cells
Probably VIRAL - lymphocyte

How well did you know this?
1
Not at all
2
3
4
5
Perfectly
8
Q
A

lymphoid follicles and germinal centres in the lung! Usual interstitial pneumonia (UIP) pattern

How well did you know this?
1
Not at all
2
3
4
5
Perfectly
9
Q
A

Gross pathology – fibrotic changes in lower lobes, elastic hard consistency, diffuse destruction of lung mesenchyme, multiple air cysts with honeycomb change
Usual interstitial pneumonia (UIP) pattern

How well did you know this?
1
Not at all
2
3
4
5
Perfectly
10
Q
A

Microscopically, dense fibrosis and destruction of alveolar architecture.
Active fibrotic lesions composed of myofibroblasts
Aggregation of spindle cells with gray to pale purple matrix adjacent to dense fibrosis

Usual interstitial pneumonia (UIP) pattern

How well did you know this?
1
Not at all
2
3
4
5
Perfectly
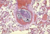
11
Q
A

An asbestos body

How well did you know this?
1
Not at all
2
3
4
5
Perfectly
12
Q
A

Emphysema

How well did you know this?
1
Not at all
2
3
4
5
Perfectly
13
Q
A

Streptococcus pneumoniae
Gram positive diplococci
Can aid identification through use of capsule stain

How well did you know this?
1
Not at all
2
3
4
5
Perfectly
14
Q
A

Aspergillus in Lungs

How well did you know this?
1
Not at all
2
3
4
5
Perfectly
15
Q
A

Klebsiella pneumoniae
Gram negative bacilli

How well did you know this?
1
Not at all
2
3
4
5
Perfectly
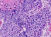
16
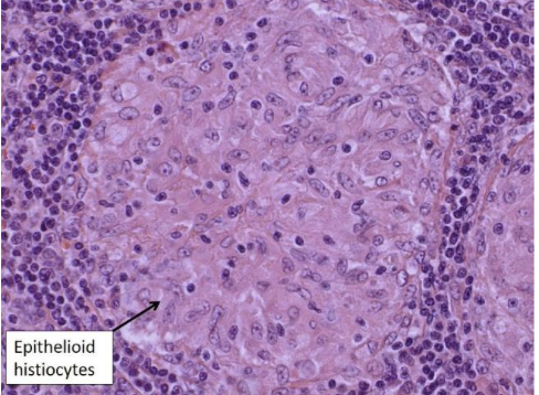
Q
A

Granuloma

How well did you know this?
1
Not at all
2
3
4
5
Perfectly
17
Q
A

Peripheral blood monocyte

How well did you know this?
1
Not at all
2
3
4
5
Perfectly
18
Q
A

Granuloma = aggregate of ‘epithelioid’ histiocytes

How well did you know this?
1
Not at all
2
3
4
5
Perfectly
19
Q
A

Lung TB

How well did you know this?
1
Not at all
2
3
4
5
Perfectly
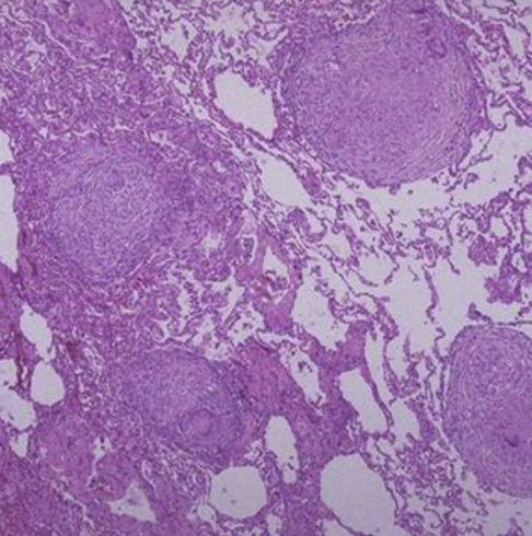
20
Q
A

Sarcoid granuloma

How well did you know this?
1
Not at all
2
3
4
5
Perfectly
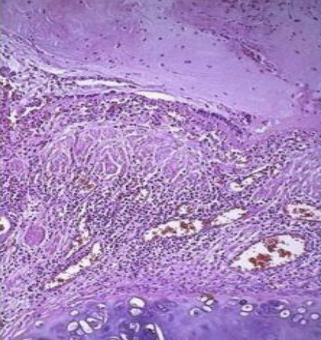
21
Q
A

TB – caseating granuloma with central necrosis.

How well did you know this?
1
Not at all
2
3
4
5
Perfectly
22
Q
A

TB – caseating granuloma with central necrosis.

How well did you know this?
1
Not at all
2
3
4
5
Perfectly
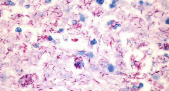
23
Q
A

Ziehl-Neelson (ZN) stain → shows acid fast bacilli

How well did you know this?
1
Not at all
2
3
4
5
Perfectly
24
Q
A

Grocott stain shows fungi

How well did you know this?
1
Not at all
2
3
4
5
Perfectly
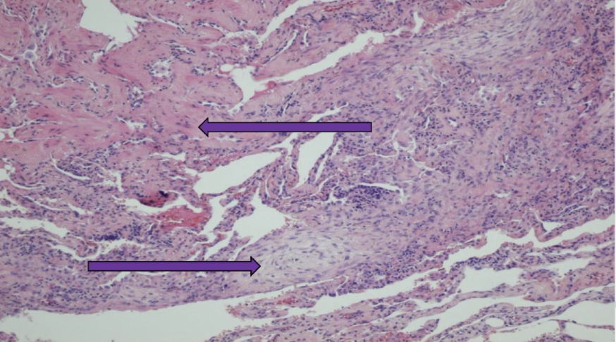
25
Vasculitis - Triad pf inflammatory infiltrate - Thrombotic vascular occlusion - Fibrinoid necrosis
26
presence of necrosis, lymphocytes, multinucleated giant cells that do not form well defined granulomas. Neutrophils and lymphocytes are invading the walls of the blood vessels. From the lung - Greanulomatosis with polyangitis - Wegner's vasculitis
27
Granulomatosis with polyangiitis – Wegener’s vasculitis
28
Granulomatosis with polyangiitis – Wegener’s vasculitis
29
Eosinophilic granulomatosis with polyangiitis – Churg-Strauss Lots of eosinophils
30
Aneuysmal dilatation - due to vessel wall damage
31
Tuberculosis
32
Ziehl–Neelsen (ZN) stain → used to identify acid-fast organisms such as members of the genus Mycobacterium. Definitive diagnosis is with sputum culture not microscopy
33
Pleural fluid - acure inflammation (Adjacent pneumonia or empyema)
34
Pleural fluid - eosinophilic effusion (drug reactions, pulmonary infection, Churg-strauss)
35
Pleural effusion - lymphocytic effusion (infection inc TB, Malignancy, post cardiac surgery, lymphoproliferative disorder)
36
Malignant effusion - Cohesive clusters of cells - High Nuclear: Cytoplasmic ratio - Nuclear hyeprchromia - Abnormal chromatin pattern - Irregular nuclear contours - Prominent nucleoli
37
Pleural thickening Fibrin (acellular pink material) on the surface, shows ongoing inflammation Thickening due to organised granulation tissue Non-neoplastic pleural thickening caused by inflammation – fibrinous pleuritis
38
Metastatic adenocarcinoma – looks very similar to mesothelioma on histology. Need IHC to differentiate.
39
Pleural plaque
40
Mesothelioma
41
Epitheliod on left and sarcomatoid on left - types of mesothelioma Epitheliod: Polygonal cells with moderate eosinophilic cytoplasm Sarcomatoid: Atypical spindle cells with eosinophilic cytoplasm
42
Harmatoma - benign lung malignancy
43
Malignant lung cancer More marked cytological atypia High mitotic index – atypical mitotic figures may be seen Necrosis may be present
44
Metastatic lung cancer
45
Carcinoid tumours Low grade malignant endocrine carcinoma Excision usually curative
46
Squamous metaplasia on left and squamous dysplasia on right Predisposing for squamous cell carcinoma
47
Squamous metaplasia is caused by smoking. This leads to dysplasia and eventually malignancy.
48
Atypical adenomatous hyperplasia Adenomatous hyperplasia – alveolar walls lined by atypical pneumocytes with high N:C ratio (hobnail appearance), hyperchromatic nuclei and prominent nucleoli.
49
Adenocarcinoma in situ Adenocarcinoma in situ – alveolar walls are thickened and lined by larger, atypical cells
50
Invasive adenocarcinoma
51
Adenocarcinoma Solid tumours are more aggressive – the areas around the invasive component could be described as pre-cancerous – can progress to solid tumour or regress.
52
Lung tumour - Large cell neuroendocrine subtype
53
Small cell lung cancer
54
Myocardial infarction
55
Pericardial tamponade
56
Fatty streaks → may or may not progress Contains lipid laden ‘foam cells’, derived from smooth muscle cells and macrophages
57
(linear staining for IgG/C3) Their nephrotic syndrome is due to membranous GN
58
Diabetic nephropathy - capillaries are distorted or compressed by nodular sclerosis
59
Coxsackie virus on EM
60
Myocarditis
61
Eosinophilic myocarditis
62
Granulomatous myocarditis
63
Giant cell myocarditis - Associated with thymoma, lymphoma, SLE, thyroidisits, dermatomysotis
64
Fat emboli
65
Amniotic fluid embolism
66
E.coli
67
Strep. pneumoniae
68
Neisseria meningitidis
69
Strep. pyogenes
70
Staph. aureus
71
Candida albicans
72
ARDS
73
ARDS
74
Yellow - white cortical abscesses Surrounding hyperaemia Acute pyelonephritis
75
Acute pyelonephritis Neutrophils seen in renal tubules and interstitium Glomerular involvement suggests severe disease Tubular necrosis leads to scarring
76
Renal papillary necrosis
77
Acute cholecystitis Fibrinous exudate on external surface; Subserosal haemorrhage Gallbladder wall thickened (oedematous) and hyperaemic Neutrophilic inflammation
78
Chronic cholecystitis Thickened wall Chronic inflamm (plasma cells, lymphocytes, macros) Sub-epithelial/-serosal fibrosis Outpouchings of epithelium through wall