Criptococcus Neoformans Flashcards

(18 cards)

1
Q

¿Qué tipo de microorganismo es Cryptococcus neoformans?

A

Levadura encapsulada de forma esférica.

How well did you know this?
1
Not at all
2
3
4
5
Perfectly
2
Q

¿Qué características tiene la cápsula de Cryptococcus neoformans?

A

Es muy gruesa, compuesta de polisacáridos, e inhibe la fagocitosis.

How well did you know this?
1
Not at all
2
3
4
5
Perfectly
3
Q

¿Cuántos serotipos tiene Cryptococcus neoformans?

A

Cuatro serotipos (A-D).

How well did you know this?
1
Not at all
2
3
4
5
Perfectly
4
Q

¿Cómo se replica Cryptococcus neoformans?

A

Por gemación.

How well did you know this?
1
Not at all
2
3
4
5
Perfectly
5
Q

¿Dónde se encuentra naturalmente Cryptococcus neoformans?

A

Es un saprobio del suelo, especialmente en eucaliptos y excremento de palomas.

How well did you know this?
1
Not at all
2
3
4
5
Perfectly
6
Q

¿Es Cryptococcus neoformans un patógeno verdadero u oportunista?

A

Es un patógeno verdadero, pero frecuentemente oportunista.

How well did you know this?
1
Not at all
2
3
4
5
Perfectly
7
Q

¿Qué tipo de micosis causa Cryptococcus neoformans?

A

Micosis sistémica.

How well did you know this?
1
Not at all
2
3
4
5
Perfectly
8
Q

¿Cómo se adquiere la infección por Cryptococcus neoformans?

A

Por inhalación, con posible diseminación al SNC o inoculación en piel.

How well did you know this?
1
Not at all
2
3
4
5
Perfectly
9
Q

¿Cuál es la manifestación clínica más grave de Cryptococcus neoformans?

A

Criptococosis meníngea.

How well did you know this?
1
Not at all
2
3
4
5
Perfectly
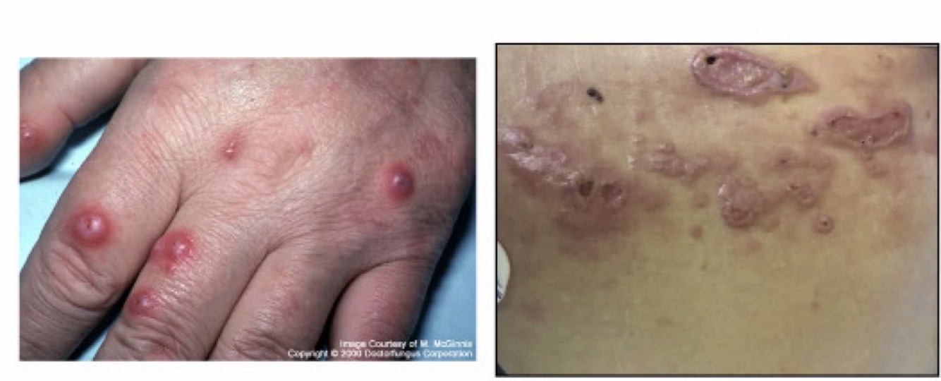
10
Q

¿Cómo se presentan las lesiones cutáneas por Cryptococcus neoformans?

A

Lesiones no supurativas, crónicas, que pueden durar semanas a meses.

How well did you know this?
1
Not at all
2
3
4
5
Perfectly
11
Q

¿Cuáles son las principales técnicas diagnósticas para Cryptococcus neoformans?

A

Tinción con tinta china (en LCR), cultivos para hongos y detección de antígenos capsulares.

How well did you know this?
1
Not at all
2
3
4
5
Perfectly
12
Q

¿Qué se observa con la tinción con tinta china para Cryptococcus neoformans?

A

Cápsulas muy gruesas en el LCR.

How well did you know this?
1
Not at all
2
3
4
5
Perfectly
13
Q

¿Qué fluido es más comúnmente analizado para diagnóstico de Cryptococcus neoformans?

A

Líquido cefalorraquídeo (LCR).

How well did you know this?
1
Not at all
2
3
4
5
Perfectly
14
Q

¿Cuál es el tratamiento principal para infecciones por Cryptococcus neoformans?

A

Tratamientos antifúngicos prolongados y control de la inmunosupresión.

How well did you know this?
1
Not at all
2
3
4
5
Perfectly
15
Q

¿Qué ocurre si no se trata una infección por Cryptococcus neoformans?

A

Es mortal sin tratamiento.

How well did you know this?
1
Not at all
2
3
4
5
Perfectly
16
Q

¿Cómo se disemina Cryptococcus neoformans al SNC?

A

Principalmente por vía hematógena tras la inhalación.

17
Q

¿Qué característica de las lesiones cutáneas por Cryptococcus neoformans las distingue?

A

No causan sepsis ni respuesta inflamatoria sistémica, pero pueden generar grandes lesiones.

18
Q

¿En qué población es más frecuente la criptococosis meníngea?

A

En pacientes con SIDA; es una enfermedad definitoria de esta condición.