CROMOSOMAS 🧒🏼🧪 Flashcards

Cromosomas, Cariotipo & FISH (41 cards)

1
Q

Componentes del cromosoma

A

Proteínas (histonas) & una molécula únida de DNA

How well did you know this?
1
Not at all
2
3
4
5
Perfectly
2
Q

¿En que fase se pueden observar los cromosomas con un microscopio óptico con tinción de Giemsa?

A

Metafase
(fase M)

How well did you know this?
1
Not at all
2
3
4
5
Perfectly
3
Q

Tienen secuencias genómicas repetitivas no codificantes, cuya función es dar estabilidad a la estructura del cromosoma

A

Centrómero

Une a dos cormatidas hermanas

How well did you know this?
1
Not at all
2
3
4
5
Perfectly
4
Q

Si los centrómeros contienen secuencias no codificantes
¿Que nucleótidos podríamos encontrar?

A

Guaninas y Citocinas
(3 puentes H)

How well did you know this?
1
Not at all
2
3
4
5
Perfectly
5
Q

Secuencias minisatélite con alta concentración de genes codificantes.

A

Telómeros

*región subtelomérica - codificante

How well did you know this?
1
Not at all
2
3
4
5
Perfectly
6
Q

Enzima presente en el proceso de replicación y reparación del DNA. Cada ves que se divide el material genético acorta las secuencias teloméricas, es un marcador de envejecimiento célular.

A

Telomerasa

How well did you know this?
1
Not at all
2
3
4
5
Perfectly
7
Q

Morfología

A

Metacéntrico
misma longitud brazo corto P y brazo largo q.

How well did you know this?
1
Not at all
2
3
4
5
Perfectly
8
Q
A

Submetacéntrico
brazo largo q es más largo

How well did you know this?
1
Not at all
2
3
4
5
Perfectly
9
Q
A

Acrocéntrica
Tiene brazos cortos satélites o no tiene brazos cortos.

(cromosoma 21 & 22, 15, 14, 13)

How well did you know this?
1
Not at all
2
3
4
5
Perfectly
10
Q

Describe la forma de los cromosomas
21 & 22, 15, 14, 13

A

Acrocentrica

How well did you know this?
1
Not at all
2
3
4
5
Perfectly
11
Q

Patrón de herencia no condicionado al sexo, responsable de la mayoria de los tratstornos

A

Patrón de herencia Autosómico

How well did you know this?
1
Not at all
2
3
4
5
Perfectly
12
Q

Si un patrón de hernica es condicionada al sexo. Ej. Daltonimso.
La mutación se encontrara en los cromosomas…

A

sexuales (último par)

X Y

How well did you know this?
1
Not at all
2
3
4
5
Perfectly
13
Q

gen que facilita la diferenciación de las gonadas masculinas y determina el sexo

A

SRY

Los puedes buscar por PCR para saber si es niño

How well did you know this?
1
Not at all
2
3
4
5
Perfectly
14
Q

Permite observar alteraciones numéricas o morfológicas.

A

Cariotipo

How well did you know this?
1
Not at all
2
3
4
5
Perfectly
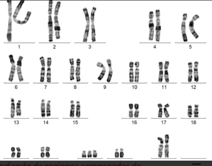
15
Q

Este cariotipo presenta trisomía 21, pertenece a un niño o niña

A

cariotipo se muestra metacentrico - niña

How well did you know this?
1
Not at all
2
3
4
5
Perfectly
16
Q

es el precursor de lo que es el mapeo genómico, usa tinción de giemsa.

A

bandeo cromosómico

How well did you know this?
1
Not at all
2
3
4
5
Perfectly
17
Q

En el bandeo cromosómico la tinción de giemsa da un patron de bandas dependiendo de regiones compactadas de cromatina.
Describe la actividad de las zonas compactas.

A

zonas de poca o inactiva la expresión genética
(heterocromatina)

18
Q

cariotipo control “sano” ideal

19
Q
A

Sx Edwards
trisomía 18

20
Q
A

Sx de Patau
Trisomía 13

21
Q
A

Sx de Kleinterfelter

22
Q

surgio a partir de la tinción de giemsa

A

Bandeo cromosómico

23
Q

es un método para localizar alteraciones cromosómicas muy pequeñas que no pueden ser identificadas a simple vista.

A

La hibridación fluorescente in situ (FISH)

24
Q

Un paciente presenta síntomas que sugieren una posible microdeleción en un cromosoma específico. ¿Cuál sería el método de diagnóstico más adecuado para confirmar la presencia de esta anomalía genética?

A

FISH

Metodo que utiliza una sonda que va a reconocer una secuencia de interes en nuestro genoma. Como una microdeleción, microduplicación, etc.
Se marca con una tinte flouresente, se incuba, si no esta presente no brilla.

25
Tipos de Sondas FISH
Centroméricas Teloméricas (medicina genética longitud) Incitu Específicas (gen especifico)
26
Si estoy por realizar un analisis FISH para confirmar mi sospecha de diagnóstico de microdeleción de sindrome de Willliams, en el cromosoma 7 ¿Que tipo de sonda utilizare?
Sonda incitu (gen especifica)
27
Un feto presenta características fenotípicas que sugieren la sospecha de trisomía 21. ¿Cuál es la técnica de diagnóstico más apropiada para confirmar esta condición?
cariotipo forma fácil de ver presencia del cromosoma 21 adicional
28
Un paciente presenta una translocación cromosómica t(3;20) que se sospecha podría estar relacionada con un trastorno genético hematológico. ¿Cuál es la técnica de diagnóstico más adecuada para identificar esta translocación?
FISH que es la única metodología capaz de detectar translocaciones específicas en el ADN
29
15q12
cromosoma 15, región 1, subregión 2
30
Xq1,1
cromosoma X brazo largo, región 1, subregión 1
31
46,XX,del(1)(q21)
mujer 46 cromosomas, dleeción en cromosoma 1, en brazo largo en región 2, subregión 1
32
cromosomas con un solo brazo
Telocéntricos
33
Tipos de cromosomas
* 22 pares de autosomas (no sexuales) -> caracteristicas hereditarias - rasgos fenotípicos /+estables & patron de herencia predecible * Par Cromosomas sexuales
34
Intercambio de segmentos entre cromosomas homólogos por entrecruzamiento de las cromátidas hermanas
Recombinación genética
35
Se deriva de un autosoma, del cual se inhibe el gen SRY
Cromosoma X
36
Secuencias palindrómicas
Amplicón
37
Región de mayor tasa de mutación con respecto a CHR X
CHR Y | realiza mas divisiones ## Footnote *PAR
38
Región especifica del cromosoma Y se hereda de manera integra en el linaje paterno
MSY
39
Tipo de bandas se obtienen al tratar cromosomas con tripsina y luego teñirlos con Giemsa. Son las más utilizadas en la identificación de anomalías cromosómicas.
Bandas G | Las bandas claras son G negativas
40
Patron de bandas donde se desnaturalizan los cromosomas; resaltan regiones ricas en guanina y citosina
Bandas R
41
Tipos de Bandas
**Bandas G - Giemsa, usa tripsina**, anomalias cromosomicas, resolución de ~400 bandas. Bandas Q - Tinción fluorescente con quinacrina; resalta regiones ricas en A y T. Bandas C - estudiar Centrómeros (heterocromatina) Bandas T - estudiar Telómeros **Bandas R - Resaltan regiónes C-G, patron reverso**