Define croup.
Common condition characterised by progressive spread of inflammation down the respiratory tract starting at the larynx, followed by trachea and bronchi secondary to a viral infection.
Explain the aetiology/risk factors for croup.
Parainfluenza virus is the most common cause but other viruses can produce a similar picture, such as RSV, influenza, rhinoviruses.
What is the difference between croup and acute epiglottitis?
Caused by Haemophilus influenzae
Child is toxic, no cough, drooling symptoms develop over shorter period of time (hours).
What is the difference between croup and foreign body?
Acute onset
Clear history
What is the difference between croup and anaphylaxis?
Known allergy, urticaria, wheals
What is the difference between croup and tracheitis?
Toxic child, croupy cough, no drooling
Summarise the epidemiology of croup.
Common between 6 months to 6 years.
Occurs in the winter months.
What are symptoms of croup?
Coryza: Symptoms preceded by 1–3 days of coryza +/- fever.
Laryngitis: Barking, croupy cough and hoarse voice.
Tracheitis: Onset of stridor (seal-like yelp) 1–2 days after cough.
Bronchitis: Increased respiratory effort as infection spreads down bronchial tree.
Why should you not examine a child with suspected croup?
May cause a bronchospasm.
What are the signs of croup?
Incidence: Common
Age: 6 months - 3 years
Aetiology: Viral
Speed of onset: Slow
Fever: Rare >39 degrees
Cough: Barking
Voice: Hoarse
Position: Supine
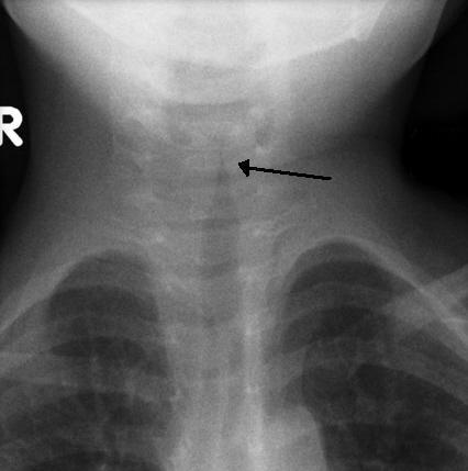
Neck X-Ray AP: Steeple sign
Neck X-Ray Lateral: Normal
Response to adrenaline: Very good
What are the signs of epiglottitis?
Incidence: Rare
Age: 2-7 years
Aetiology: Bacterial
Speed of onset: Very rapid
Fever: Normally >39 degrees
Cough: Suppressed
Voice: Muffled
Position: Sitting forward, neck extended
Neck X-Ray AP: Normal
Neck X-Ray Lateral: Thumb print
Response to adrenaline: No response
What are the signs of tracheitis?
Incidence: Rare
Age: 6 months - 14 years
Aetiology: Bacterial
Speed of onset: Rapid
Fever: Normally >39 degrees
Cough: Present
Voice: Hoarse
Position: Supine
Neck X-Ray AP: Steeple sign
Neck X-Ray Lateral: Hazy
Response to adrenaline: Partial or no response
What are the signs of mild croup?
Cough: Barking cough
Stridor: No stridor at rest
Chest retractions: No chest retractions
Mental state: Alert
Colour: Pink
What are the signs of moderate croup?
Cough: Barking cough
Stridor: Inspiratory stridor at rest
Chest retractions: Chest wall retractions
Mental state: Alert
Colour: Pink
What are the signs of severe croup?
Cough: Barking cough but may be quiet
Stridor: Marked stridor (may be biphasic)
Chest retractions: Severe chest retractions
Mental state: Agitated or lethargic
Colour: May be cyanosed
What are signs of imminent respiratory failure in croup?
Cough: Barking cough (may be quiet or absent due to exhaustion)
Stridor: Audible stridor at rest (may be soft)
Chest retractions: Chest retractions (may be reduced)
Mental state: Lethargy, fatigue, listless, reduced level of consciousness
Colour: Cyanosis without oxygen
What are investigations for croup?
X-ray anteroposterior and lateral neck
Steeple sign

What is the management for croup?
Oral corticosteroids (Dexamethasone)
Add nebulized adrenaline in moderate croup
Add oxygen in severe croup
Consider intubation in impending respiratory failure.
What are possible complications for croup?
Upper airway obstruction is the major complication.
What is the prognosis for croup?
Usually excellent.