Croup Flashcards

(15 cards)

1
Q

Define croup

A

Acute laryngotracheobronchitis
Upper RTI -> commonly viral
Characterised by barking cough, hoarse voice and inspiratory stridor.

How well did you know this?
1
Not at all
2
3
4
5
Perfectly
2
Q

What is the key epidemiology of croup?

A

Commonly affects children from 6 months to 3 years.
Peak 2 years
Uncommon after age 6yrs.
More common in autumn/winter linked to parainfluenza virus.

How well did you know this?
1
Not at all
2
3
4
5
Perfectly
3
Q

What is the most common cause of croup?

A

Parainfluenza virus
Also - adenovirus, RSV, rhinovirus and influenza.
Bacteria rare = mycoplasma pneumoniae
Infection -> inflammation of subglottic and laryngeal mucosa causes partial obstruction of the airways leading to respiratory distress and stridor.

How well did you know this?
1
Not at all
2
3
4
5
Perfectly
4
Q

What are the typical symptoms of croup?

A

Coryzal symptoms, fever and non specific lasts 12-72hrs
Characteristic - harsh barking cough, hoarse voice, cry and inspiratory stridor
Severe - drowsy, lethargic or agitated
Usually resolved within 48hrs to a week.

How well did you know this?
1
Not at all
2
3
4
5
Perfectly
5
Q

What red flags need to be ruled out for croup?

A

Resp failure - signs of resp distress
Cyanosis
Decreased consciousness
Stridor - worsening obstruction
Decreased air entry on ausculation
Tachycardia

How well did you know this?
1
Not at all
2
3
4
5
Perfectly
6
Q

What investigations should be done for croup?

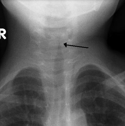
A

Diagnosis is clinical - consider investigatiosn carefully as distressing child may worsen symptoms
Pulse oximetry - for supplementary O2
CXR - different diagnosis, croup may show a steeple sign where the trachea is seen to taper.

How well did you know this?
1
Not at all
2
3
4
5
Perfectly
7
Q

What are the features of mild croup?

A

Seal-like barking cough but no stridor or sternal/intercostal recession at rest

How well did you know this?
1
Not at all
2
3
4
5
Perfectly
8
Q

What are the key features of moderate croup?

A

Seal-like barking cough with stridor and sternal recession at rest
No or little agitation/lethargy

How well did you know this?
1
Not at all
2
3
4
5
Perfectly
9
Q

What are the features of severe croup?

A

Seal-like barking cough
Stridor
Sternal/intercostal recession
Agitation or lethargy.

How well did you know this?
1
Not at all
2
3
4
5
Perfectly
10
Q

What are the signs of impending resp failure in croup?

A

Minimal barking cough
Stridor - harder to hear
Inc upper airway obstruction
Sternal/intercostal recession
Asynchronus chest wall and abdo movement
Fatigue/pallor or cyanosis
Decreased consciousness
Tachycardia
RR of over 70bpm

How well did you know this?
1
Not at all
2
3
4
5
Perfectly
11
Q

What is the typical treatment for mild croup?

A

No stridor or chest wall recessions may be treated at home.
Oral dexamethasone (0.15mg/kg)
Safety netting
Regular checks and fluid intake
Paracetamol or ibuprofen for fever and pain.

How well did you know this?
1
Not at all
2
3
4
5
Perfectly
12
Q

When should children with croup be considered for hospital admission?

A

Stridor/sternal recession at rest
High fever
Resp rate >60
Cyanosis
Lethargy or agitation
Fluid intake <75% normal or no wet nappies for 12 hours
Aged under 3 months
Chronic immunodeficiency. lung disease or neuromuscular disorders

How well did you know this?
1
Not at all
2
3
4
5
Perfectly
13
Q

What treatment can be used for croup in hospitals?

A

Supplementar oxygen if low sats
Steroids for all - oral dex or nebulised budesonide
Nebulised adrenaline for temporary symptom relief
Anaesthetics +/- ENT input if regarding airway or resp failure.

How well did you know this?
1
Not at all
2
3
4
5
Perfectly
14
Q

What are the complications of croup?

A

Dehydration due to poor fluid intake
Pneumonia due to secondary bacterial infections
Resp failure
Death is very rare ( 1 in every 30,000 cases)

How well did you know this?
1
Not at all
2
3
4
5
Perfectly
15
Q

What is the typical prognosis of croup?

A

Symptoms resolved within 48hrs but may last longer.
Occasionally, severe upper airway obstruction can occur -> resp failure and arrest.

How well did you know this?
1
Not at all
2
3
4
5
Perfectly