Croup - GM Flashcards

(39 cards)

1
Q

another name for croup

A

laryngotracheobronchitis

How well did you know this?
1
Not at all
2
3
4
5
Perfectly
2
Q

what is croup

A

upper respiratory tract infection commonly caused by viral infection

How well did you know this?
1
Not at all
2
3
4
5
Perfectly
3
Q

what age does croup occur

A

aged 6months - 3 years old

How well did you know this?
1
Not at all
2
3
4
5
Perfectly
4
Q

croup presents primarily with

A

characteristic barking cough, inspiratory stridor, respiratory distress

How well did you know this?
1
Not at all
2
3
4
5
Perfectly
5
Q

which type of stridor does croup present with

A

inspiratory

How well did you know this?
1
Not at all
2
3
4
5
Perfectly
6
Q

pathophysiology of croup

A

upper respiratory tract infection inflames the mucosa in the larynx
this inflammation causes airway obstruction leading to turbulent airflow resulting in audible stridor

How well did you know this?
1
Not at all
2
3
4
5
Perfectly
7
Q

poiseuille’s law

A

resistance to laminar airway increase in inverse proportion to the fourth power of the radius of the lumen

therefore, a small reduction in airway radius (due to inflammation and secretions) dramatically increases resistance to airflow and therefore work of breathing

How well did you know this?
1
Not at all
2
3
4
5
Perfectly
8
Q

croup is most commonly caused by

A

parainfluenza viruses and respiratory syncytial virus (RSV) but can be caused by other viruses

How well did you know this?
1
Not at all
2
3
4
5
Perfectly
9
Q

risk factors

A

age: croup most commonly occurs in children aged 6-36 months
family history
male (the male:female ratio is 1.4:1)
congenital airway narrowing
hyperactive airways
acquired airway narrowing

How well did you know this?
1
Not at all
2
3
4
5
Perfectly
10
Q

features of croup on history

A

upper respiratory tract symptoms including coryza and nasal congestion/discharge
fever
hoarse voice
coryza
barking cough (often described as seal-like)
inspiratory stridor
symptoms worse at night
no history of inhaled foreign body

How well did you know this?
1
Not at all
2
3
4
5
Perfectly
11
Q

approach of clinical examination

A

clinical examination should not agitate the child as this will worsen respiratory distress
guidelines recommend minimal handing of the child
throat exmination is rarely required but may be considered if the diagnosis is unclear, but not if epiglottitis is suspected
ABCDE assessment
further exmination can be performed once the situation is stabilised, which may include ENT examination, examination of cervical lymph nodes, lung auscultation and assessment of rashes

How well did you know this?
1
Not at all
2
3
4
5
Perfectly
12
Q

typical clinical findings of croup

A

increased work of breathing: intercostal and sternal recession
agitation: in severe croup
lethargy: in severe croup

How well did you know this?
1
Not at all
2
3
4
5
Perfectly
13
Q

clinical severity of croup

A

loudness of stridor is not an indication of severity of croup

How well did you know this?
1
Not at all
2
3
4
5
Perfectly
14
Q

differential diagnosis

A

epiglottitis
upper airway abscess
foreign body inhalation
allergic reaction / anaphylaxis
injury to the airway
congenital airway anomalies (eg. laryngomalacia, tracheomalacia)
bronchogenic cyst
bacterial tracheitis
early Guillian barre syndrome

How well did you know this?
1
Not at all
2
3
4
5
Perfectly
15
Q

how to tell epiglottitis apart from croup

A

presents without the barking cough seen in croup, child will appear anxious, pale and toxic.
difficulty swallowing is associated with increased rolling, fever and typically patients sit in an upright position
these children should have minimal handling, do not examine the mouth

How well did you know this?
1
Not at all
2
3
4
5
Perfectly
16
Q

how to tell upper airway abscess apart from croup

A

such as peritonsillar, paraapharyngeal and retropharyngeal. may present with fevers, stiff neck, torticollis, drooling or hot potato voice
absence of barking cough

17
Q

how to tell foreign body inhalation apart from croup

A

sudden onset stridor and respiratory distress with Hx of choking
may also present with a barking cough and stridor depending on the location of the obstruction
importantly, there will be no fever

18
Q

diagnosis of croup

A

clinical diagnosis, does not require investigation
routine viral testing is not required as it does not change management
chest x-ray not indicated (except for those considered for paediatric critical care admission)

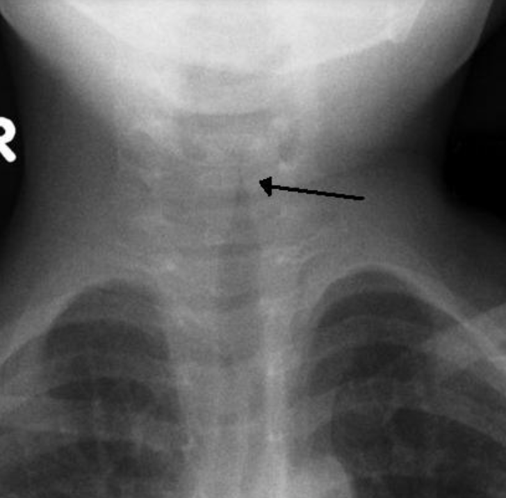
19
Q

chest x-ray in croup

A

not required, but will demonstrate the steeple sign due to subglottic narrowing

20
Q

general rules for management

A

all children whopresent to emergency department with croup should receive corticosteroids
additional treatment depend on severity and may include nebulised adrenaline
croup is self-limiting, management aims to reduce severity and avoid need for intubation

21
Q

if the croup seems life threatening

22
Q

assessing severity of symptoms

23
Q

severe croup looks like

A

stridor at rest
marked recession
tracheal tug
drooling
pale or mottled

24
Q

moderate croup looks like

A

stridor at rest
mild recession
+/- tracheal tug
child interested in surroundings

25
mild croup looks like
barking cough hoarse cry stridor soft or absent no recession or tracheal tug
26
management of severe croup
nebulised adrenaline - can be repeated after 15 minutes oxygen to correct hypoxia if present dexamethasone observe for minimum of 3 hours following dose of adrenaline, due to risk of rebound symptoms when adrenaline wears off
27
management of moderate croup
dexamethasone oral observe closely over next hour
28
management of mild croup
oral dexmethasone discharge home with written advice sheet
29
why do you have to monitor after nebulised adrenaline
due to risk of rebound symptoms after the adrenaline wears off
30
when to admit to hospital
severe croup moderate to severe croup but with deterioration or repeated doses of adrenaline toxic appearing child oxygen requirement inability to tolerate oral fluid intake
31
complications of croup
most children should resolve within 3 days complications are uncommon but may include: - secondary bacterial infections (including bacterial tracheitis, bronchopneumonia and pnuemonia) - post obstructive pulmonary oedema - pneumothorax - pneumomediastinum
32
resuscitation
transfer to resus room and activate resus team give nebulised adrenaline immidiatley administer high flow oxygen (via non-rebreather mask) call PCC, anaesthetics, and ENT assistance prepare for intubation (ideally done in operating theatre by anaesthetic and ENT teams)
33
all severe and life threatening croup should be discussed with
discussed with a senoir doctor +/- the paediatric critical care unit child should be admittd under general paediatric team
34
how to use corticosteroids for croup
steroids start working by 30 minutes and reduce time in hospital, instances of intubation and reduce likelihood of relapse after discharge steroid therapy treats stridor, but does not resolve underlying viral symptoms a single dose is usually all that is required for mild to moderate croup
35
which corticosteroid should ideally be used for all croup presentations
dexamethasone PO
36
which corticosteroid can you use if dexamethasone is not available
prednisolone PO
37
which carticosteroid can you use if oral steroids are not tolerated
Dexamethasone IM
38
which corticostroid should you use for severe cases of croup (ie. PCC candidates)
dexamethasone IV
39
discharge criteria for the child with croup
clinically improved steroids recieved no stridor at rest no other clinical or social concerns