CSF shunts Flashcards

(41 cards)

1
Q

Primary treatment for hydrocephalus

A

Mechanical shunting

How well did you know this?
1
Not at all
2
3
4
5
Perfectly
2
Q

Most common pediatric neurosurgical procedure performed in the US

A

Placement of a CSF shunt
- it is also the neurosurgical procedure with the highest incidence of postoperative complications

How well did you know this?
1
Not at all
2
3
4
5
Perfectly
3
Q

Three components of a CSF shunt system

A
  1. Proximal tubing passed into he ventricle via a burr hole
  2. Valve chamber that establishes the pressure gradient
  3. Distal tubing that connects the valve chamber to a drainage point
How well did you know this?
1
Not at all
2
3
4
5
Perfectly
4
Q

The valve chamber allows access to the shunt system for

A

Patency testing
Pressure measurement
CSF sampling
Medication injection (chemotherapy, antibiotics)
Contrast administration

in some cases a separate reservoir is used for these

How well did you know this?
1
Not at all
2
3
4
5
Perfectly
5
Q

Most common drainage site

A

Peritoneal cavity

others:
- right atrium
- gallblader
- pleural cavity
- ureter

How well did you know this?
1
Not at all
2
3
4
5
Perfectly
6
Q

Most common complications encountered with CSF shunts

A

Shunt malfunction

Others include shunt infections

How well did you know this?
1
Not at all
2
3
4
5
Perfectly
7
Q

Shunt malfunctions can be due to

A
  1. Obstruction (m/c)
  2. Mechanical failure
  3. Overdrainage
  4. Loculation of ventricles
  5. Abdominal complications
How well did you know this?
1
Not at all
2
3
4
5
Perfectly
8
Q

Most common location of obstruction

A

Proximal tubing (usually occur within the first years after shunt insertion)

followed by the distal tubing, and then the valve chamber

How well did you know this?
1
Not at all
2
3
4
5
Perfectly
9
Q

Most commonly encountered obstructions in shunts in place for >2 years

A

Distal obstruction

How well did you know this?
1
Not at all
2
3
4
5
Perfectly
10
Q

Causes of distal obstruction

A

Kinking or disconnection of the tube
Pseudocyst formation
Infection

How well did you know this?
1
Not at all
2
3
4
5
Perfectly
11
Q

Mechanical failure of shunts can be secondary to

A

Fracture
Disconnection
Migration
Misplacement

How well did you know this?
1
Not at all
2
3
4
5
Perfectly
12
Q

Remarks on fracture of CSF shunts

A

Typically, fractures appear in the distal tubing many years after shunt placement;

this is due to both degradation of tubing and stress from the growth of the patient

It is not unusual for a fracture to be found incidentally because the shunt tract often serves as a condiuit between the fractured segments

How well did you know this?
1
Not at all
2
3
4
5
Perfectly
13
Q

Most common location of fracture of a CSF shunt

A

Along the clavicle or lower ribs

How well did you know this?
1
Not at all
2
3
4
5
Perfectly
14
Q

Presentation of overdrainage

A
  1. Cyclical symptoms of increased ICP
  2. Slit ventricle syndrome
How well did you know this?
1
Not at all
2
3
4
5
Perfectly
15
Q

What is this

A

Trapped fourth ventricle syndrome, presumably from closure of the sylvian aqueduct

How well did you know this?
1
Not at all
2
3
4
5
Perfectly
16
Q

Most commonly encountered serious abdominal complication is

A

Malfunction due to pseudocyst formation
- pseudocysts are localized abdominal fluid collections that form around the perotoneal catheter; infection is the major cause

How well did you know this?
1
Not at all
2
3
4
5
Perfectly
17
Q

This may have the highest correlation with shunt malfunction

A

Decrease in level of consciousness

often the presenting complaint is vague. no single symptoms or sign is accurate in predicting shunt malfunction

18
Q

Remarks on engorgement of the third ventricle

A

Paralysis of upward gaze (or sundowning) is caused by impingement on the brainstem by the third ventricle as it engorges

19
Q

Remarks on slit ventricle syndrome

A

Symptoms of slit ventricle syndrome are exacerbated or precipitated when the patient stands or exercises due to excessive CSF drainage

and are relieved when the patient lies down or is in the Trendelenburg postiion

20
Q

Evaluate shunt function b

A

manual testing and radiologic studies

21
Q

Compression of the valve chamber

A

Proximal flow obstruction: slow refill (i.e., >3 seconds)

Distal flow obstruction: diffulty compressing

Compression is inaccurate for identifying shunt obstruction because up to 40% of obstructed shunts show normal refill during manual palpation

22
Q

Component of a shunt series

A

Skull x-ray, AP and lateral
Chest, AP
Abdomen, ap

23
Q

Plain radiograph can identify

A

Kinking
Migration
Disconnection

24
Q

CT is required to evaluate

A

Ventricular size

25
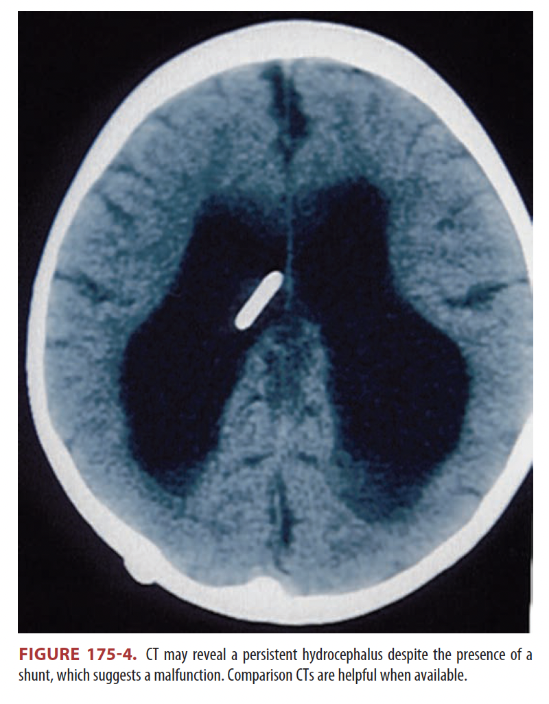
Remarks on CT scan results in patients with suspected shunt malfunction
**Compare with previous CT scans because many patients with shunts have an abnormal baseline ventricular size.** **Unremarkable findings on CT and/or radiographic shunt series cannot be relied on to exclude shunt obstruction**ª **Thus, obtain neurosurgical consultation whenever shunt malfunction is suspected** ## Footnote ª*Between 9% and 15% of pediatric patients will have profound alterations in brain compliance leaving ventricular size unchanged even in profound shunt failure with high intracranial pressures.*
26
Remarks on doing shunt taps
Unless a CNS emergency exists, the shunt tap should be performed by a **neurosurgeon** to avoid damage to the valve apparatus.
27
Emergency physicians should be prepared to perform a shunt tap if
a neurosurgeon is unavailable or if a shunt tap is needed to control life-threatening increased intracranial pressure
28
Results of a shunt tap
Proximal obstruction: - no fluid returns or flow ceases - low pressures Distal obstruction - opening pressure ≥20 cm H2O
29
The normal basal intracranial pressure
12 ± 2 cm H2O
30
Treatment of shunt malfunction
1. Surgical intervention is generally required for shunt obstruction 2. Osmotic diuresis (mannitol) 3. Remove CSF via the reservoir if the malfunction is distal and surgical intervention is not immediately available
31
Reminders on CSF removal
1. To prevent choroid plexus bleeding, remove CSF slowly 2. Discontinue the process when intracranial pressure reaches 10 to 20 cm H2O
32
Half of all shunt **infections** present withtin
within the first 2 weeks of placement *70% present within 2 months*
33
Prognosis for CSN shunt infections
The mortality is low if shunt infection is diagnosed and treated in a timely fashion. However, if **ventriculitis** develops, mortality is high, underscoring the need for **prompt diagnosis and aggressive management.**
34
Most common bacteria in CNS shunt infections
**Staphylococcus epidermidis**, which accounts for nearly _half_ of all shunt infections *followed by S aureus and Propionibacterium acnes*
35
CNS shunt infection agent that is associated with the highest mortality
Gram-negative infections
36
a chronic complication of vascular shunts involving chronic bacteremia
Shunt nephritis *Chronic bacteremia from coagulase-negative Staphylococcus leading to an immune response* Patients present with a nephritic syndrome
37
Required to exclude a CSF shunt infection
**Shunt tap** ***A traditional lumbar puncture often misses CSF shunt infection*** *and has no meaningful role in the evaluation when shunt infection is suspected
38
Required to exclude mechanical shunt malfunction
CT and plain radiographs ***mechanical shunt malfunction often coexist with shunt infection***
39
Blood cultures are only helpful when?
in patients with ventriculoatrial shunts *in most other cases, hematogenous dissemination of infection is rare, thus rendering blood cultures of limited value.*
40
Management of CSF shunt infections
1. Emergent neurosurgical consultation and admission 2. Ceftriaxone + vancomycin 3. Early removal of the colonized device
41
Can be given for treatment of recurrent gram-positive infections
**Rifampin** *(given along with vancomycin)* because it easily penetrates the CSF