CT Flashcards

(17 cards)

1
Q

CT

A

-multiple 2D, slice-like images (each millimeters in size) formatted in multiple imaging planes to display 3D images in various formats

How well did you know this?
1
Not at all
2
3
4
5
Perfectly
2
Q

hounsfield units

A

-A CT image is composed of a matrix of thousands of tiny pixels
-each is computer-assigned a CT number from –1000 to +1000 measured in Hounsfield units (HU) , after Sir Godfrey Hounsfield
-Density of tissue determines amount of Hounsfield units (denser structures absorb more energy)
-Air = -1000, Fat = -40 to -100 HU, Water = 0, Soft tissue = 20 to 100 HU, -Bone = 400 to 600 HU -> bone absorbs contrast

How well did you know this?
1
Not at all
2
3
4
5
Perfectly
3
Q

timing

A

4th/5th generation CT scanner:
2s-10s per slice -> every time donut comes around
-2-5ml SA: iodinated contrast
-continuous rotation
-abdomen: takes 30s

How well did you know this?
1
Not at all
2
3
4
5
Perfectly
4
Q

multiplanar reformation

A

Technique of overlapping images + reformat to see structures in different planes
-single acquisition
-For Maximum Intensity Projection:
-CT Angiography
-Cardiac Imaging
-more specialized = more contrast
-allergies to iodine, renal function (filtered by kidneys)

MPR is a technique that uses overlapping images from a single acquisition to reformat them, allowing for better visualization of structures in different planes. This is particularly useful for applications like CT Angiography and Cardiac Imaging, where maximum intensity projection (MIP) can highlight vascular structures with higher contrast, taking into consideration patient factors such as allergies to iodine and renal function.

How well did you know this?
1
Not at all
2
3
4
5
Perfectly
5
Q

abnormalities on CXR -> CT indication

A

Evaluate abnormalities on CXR
- Confusing shadows on plain x-ray
- Pts with pneumonia not responding to therapy
- Empyema verses abscess, evaluation of pleural Effusions
- Pulmonary nodules – new or follow up
- Interstitial lung disease
- Lung/Hilar/mediastinal masses

Negative CXR with clinical suspicious pathology

Staging and follow up malignancies

Evaluation vascular abnormalities ( PE, AA)
-Trauma
-Performance CT guided interventional procedures

How well did you know this?
1
Not at all
2
3
4
5
Perfectly
6
Q

multislice CT scanners permit very fasting imaging

A

-(head to toe in less than 10 seconds)
-development of new applications for CT (7th generation)
-virtual colonoscopy
-virtual bronchoscopy
-cardiac calcium scoring
-CT coronary angiography
-these are controlled elective setting

How well did you know this?
1
Not at all
2
3
4
5
Perfectly
7
Q

CT hazards and disadvantage

A

-Radiation to patient
-Requires computer processing power (expensive scanner)
-Portable CT Scanners
-Need space dedicated to its installation, and sophisticated
CONTRAINDICATIONS: NONE***

How well did you know this?
1
Not at all
2
3
4
5
Perfectly
8
Q

patient considerations

A

Claustrophobia
Cooperation
Size & weight restrictions
- upper weight limit ~450lbs
Allergy to iodinated contrast agents -> you can still do it but need to make sure its done in controlled (non acute) setting

How well did you know this?
1
Not at all
2
3
4
5
Perfectly
9
Q

terms for anatomic definition

A

-Chest CT scans are usually “windowed” and displayed in at least 2 FORMATS*
-ex. if looking for pleural effusion -> look for lung window -> changes gray scale so you can see it better
-bone window- fracture
-Windowing AKA “grey-level mapping”: contrast enhancement.
-process in which the CT image greyscale component of an image is manipulated to highlight particular structures.

How well did you know this?
1
Not at all
2
3
4
5
Perfectly
10
Q

Post-processing

A

-“Post-processing” allows for additional manipulation of the raw data

Benefits:
-demonstrate pathology
-without repeating a study
-Without radiation re-exposure to the patient

Post-processing refers to the additional manipulation of the raw CT data after the initial images are generated. This can include generating 3D reconstructions, applying filters to enhance certain features, or using advanced techniques like multiplanar reformation (MPR) to view the anatomy in different planes.

How well did you know this?
1
Not at all
2
3
4
5
Perfectly
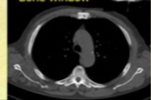
11
Q

what type of window

A

Bone

How well did you know this?
1
Not at all
2
3
4
5
Perfectly
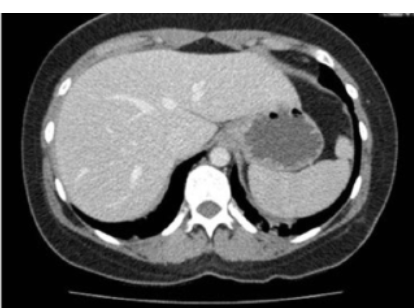
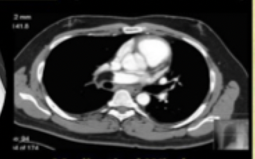
12
Q

what type of window

A

Mediastinal

How well did you know this?
1
Not at all
2
3
4
5
Perfectly
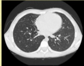
13
Q

what type of window

A

lung

How well did you know this?
1
Not at all
2
3
4
5
Perfectly
14
Q

What are all the windows

A

BLM BSA:

Bone
lung
mediastinum
brain
soft tissue
abdomen

Windowing = grey-level mapping contrast enhancement
- adjusts the display settings of the CT images to emphasize specific types of tissue, making it easier to diagnose various conditions

How well did you know this?
1
Not at all
2
3
4
5
Perfectly
15
Q

Orientation:

A
  • patient is scanned in the SUPINE position.
  • The patient’s right is on the viewer’s left, and the patient’s left is on the viewer’s right, which is a standard convention in medical imaging to maintain consistency.
  • top of each image is the anterior (front)
  • bottom is the posterior (back) part.
How well did you know this?
1
Not at all
2
3
4
5
Perfectly