CT imaging Flashcards

(32 cards)

1
Q

When to do CT scan

A

Stroke

TIA

RTA - loss of consciousness

Thunderclap headache - a sign of subarochnal haemorrhage.

I suspected a space-occupying lesion.

EXTRA CRANIAL

  • Orbital cellulitis
  • Facial trauma
  • Evaluation of skull base for bone lesions
How well did you know this?
1
Not at all
2
3
4
5
Perfectly
2
Q

Criteria for CT within 1 hour when there is a history of trauma

A

GCS < 13 initial
GCS < 15 2 hours after injury

Suspected open or depressed skull fracture

Any sign of a basal skull fracture

Post-Traumatic seizure

Focal nuerological deficit

More than an epsidoe of vomiting since the head injury.

How well did you know this?
1
Not at all
2
3
4
5
Perfectly
3
Q

CTB within 8 hours for trauma for head injury

A

Patient on anticoagulation

LOC
- age >65
- bleeding disorder
- retrograde amnesia

How well did you know this?
1
Not at all
2
3
4
5
Perfectly
4
Q

What view is a CT ?

A

CAUDAL

Look as if looking at patients feet

How well did you know this?
1
Not at all
2
3
4
5
Perfectly
5
Q

Age ?

A

7-8 Y

How well did you know this?
1
Not at all
2
3
4
5
Perfectly
6
Q

AGE ?

A

70-80

SHRINKED

ALOT MORE FLUID ABLE TO MOVE AROUND.

CONSIDERING HEAD TRAUMA THE BRAIN CAN BOUNCE WHICH CAN BE DANERGOUS.

contrecoup injury

How well did you know this?
1
Not at all
2
3
4
5
Perfectly
7
Q

Age ?

A

Regular 35

How well did you know this?
1
Not at all
2
3
4
5
Perfectly
8
Q

Interpreting greyness, what colour will

  • bone
  • Blood
  • air
  • CSF
A
How well did you know this?
1
Not at all
2
3
4
5
Perfectly
9
Q

What is this location circled where all sutures come together?

A

Pterion

THE P IS SILENT

+++TERION +++

How well did you know this?
1
Not at all
2
3
4
5
Perfectly
10
Q

What artery lies under the pterion ?

A

Middle meningeal artery

supplies the majority of the skin

Can cause …

How well did you know this?
1
Not at all
2
3
4
5
Perfectly
11
Q

Explain the Monroe-Kellie Doctorine

A

THE FIRST THINGS TO GO WILL BE VENOUS VOLUME AND CSF.

IF IT CONTINUES AND ARTERIAL BLOOD DOES NOT GO TO THE BRAIN, HYPOXIA WILL OCCUR, AND CELL DESTRUCTION AND DEATH WILL OCCUR.

WHERE WILL THE BRAIN GO ? Concern about raised ICP?

Shift brain structures, cause brain herniation through the foramen magnum, and restrict blood supply to the brain.

LIKELY DEATH.

How well did you know this?
1
Not at all
2
3
4
5
Perfectly
12
Q

What are the three meninges ?

A
How well did you know this?
1
Not at all
2
3
4
5
Perfectly
13
Q

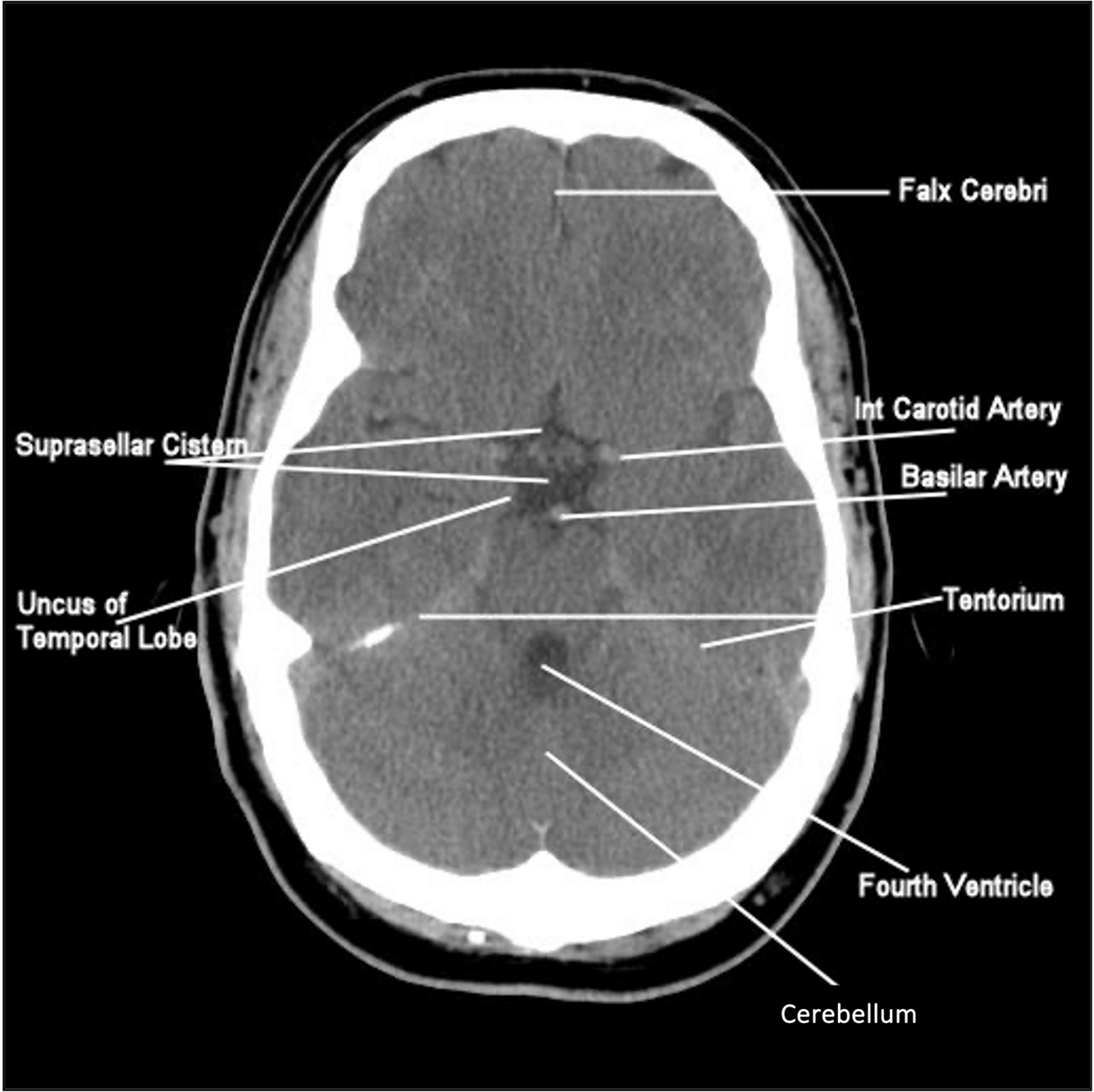
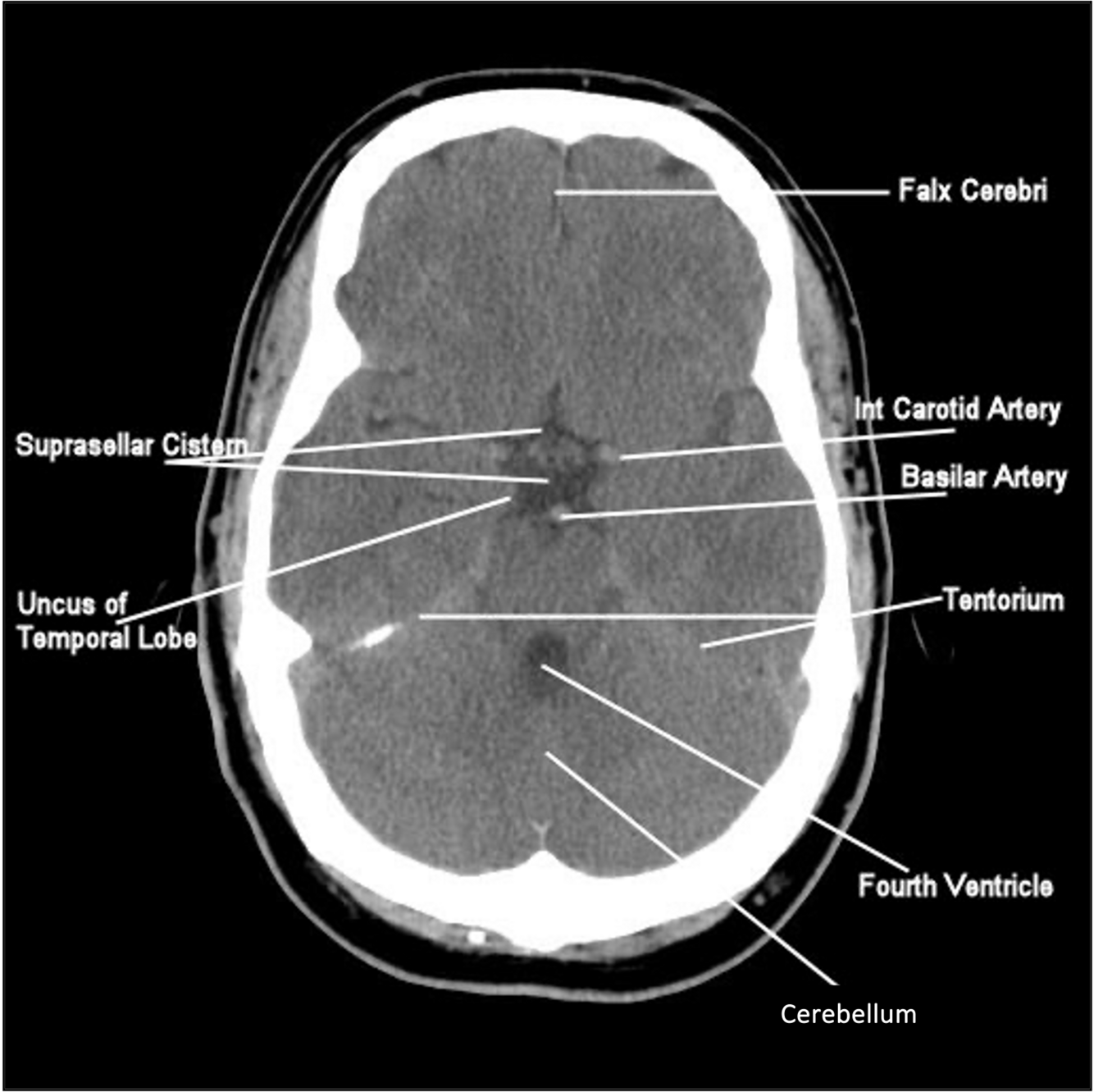
What seperates the cerebella form cerebum

A

Tentorium

How well did you know this?
1
Not at all
2
3
4
5
Perfectly
14
Q

Explain a epidural hematima

A

LEMON SHAPE

OUTSIDE THE DURA

ARTERIAL BLEEDING

DURA IS TORN AWAY FROM THE SKULL.

How well did you know this?
1
Not at all
2
3
4
5
Perfectly
15
Q

Explain a Subdural hepatoma

A

Just under the dura

Likely to be an older patient

Rather than arterial blood it’s venous blood so it is not rapidly expanding.

DURA STAYS ATTACHED.

How well did you know this?
1
Not at all
2
3
4
5
Perfectly
16
Q

Signs of the base of skull fracture?

A

Bruising over the mastoid

Blood behind the tympanic membrane (ear)

Racoon/ panda eyes (bruising around the eye) because the base runs where the line is in the image.

17
Q

What would you see at the base of skull CT scan ?

A

Base of skull

A lot of white, because we see a lot of bone

Note the nasal cavities (black because of air)
The globes, optic nerve, pinna of the ear

Pinna is a tiny bit of the ear.

18
Q

What is the suprasellar cistem ?

A

Suprasellar cistern is star shaped
Sella turcica is below it
Sella turcica (where pituitary gland sits)

Suprasellar cistern—where the circle of willis sits
Common site for aneurysm, with rupture will see blood in this space (subarachnoid)

19
Q

What is the main blood supply to the brain?

A

Circule of willis

20
Q

What can happen to the circle of Willis?

A

it can Annurism.

If it does, we can see blood in the suprasellar cistern and this is a subarachnoid heamorridghe.

21
Q

What is myelanated out of white and grey matter

A

White matter is myelinated grey matter is not.

(ON A CT THE GREY IS THE WHITE MATTER)

22
Q

What is falx cerebri

A

Dura that separating the two hemispheres

22
Q

How to assess a CT? (ABC’S)

A

A – Adequacy & Alignment
B – Bones, Blood & Brain
C – CSF spaces
S – Soft tissue +SYMMETRY

23
Q

What is this?

What has happened?

A

Epidural

Caused by TRAUMA

ARTERIAL BLEED

Mid-line shift

RIGHT SHIFT

Middle meningeal artery - Rappid expansion.

Lead to brain herniation.

Treatment - BEAR HOLES or craniotomy.

24
What is this? What has happened?
Sub-dural Elderly On blood thinners VENOUS BLOOD. Treatment - WATCH AND WAIT.
25
What is this?
Subarochnoid haemmorage This can be due to trauma or aneurysm.
26
What is this ?
Intracerebral haematoma The irregular shape is consistent with the sulci and gyro. Shift of the mid-line. This could be due to trauma
27
What is the more common ischemic or haemorrhagic stroke?
Ischemic That's why we rarely see things. That's why MRI is better than CT. However, CT must be done first to ensure no bleeding. THEN GIVE BLOOD THINNERS AND MRI.
28
What is it called when there is not symmetry of the brain?
Mid-Line shift.
29
What are the different types of brain herniation?
Because herniation puts extreme pressure on parts of the brain and thereby cuts off the blood supply to various parts of the brain, it is often fatal. Therefore, extreme measures are taken in hospital settings to prevent the condition by reducing intracranial pressure, or decompressing (draining) a hematoma which is putting local pressure on a part of the brain. 1Uncal (or transtentorial) herniation causes temp lobes pushed into upper cerebellum, against the midbrain leading to compression of Post C Art; IIIn compression and midbrain haemorrhage 4)Always check before you stitch someones scalp that there isn’t brain tissue sticking out
30
Is there a skull fracture within this image?
I would want the bone window. However, there is air (black space) within; therefore, there must be a way for it to get in! Probable fracture.
31
Coup Contrecoup Injury
A coup injury happens at the point of impact with an object, whereas a contrecoup injury takes place on the opposite side of the skull from the impact.