Cuello Flashcards

(39 cards)

1
Q

Son las aponeurosis del cuello

A

Aponeurosis cervical superficial y profunda

How well did you know this?
1
Not at all
2
3
4
5
Perfectly
2
Q

Envuelve el tejido celular sub-cutaneo del cuello y el platisma

A

Aponeurosis cervical superficial

How well did you know this?
1
Not at all
2
3
4
5
Perfectly
3
Q

Envuelve m trapecio, esternocleidomastoideo, escalenos, glándulas parótidas y sub-maxilar

A

Aponeurosis cervical profunda superficial

How well did you know this?
1
Not at all
2
3
4
5
Perfectly
4
Q

Envuelve paquete visceral de cuello, faringe, esofago, laringe, traquea, tiroides y paratiroides

A

Aponeurosis cervical profunda media

How well did you know this?
1
Not at all
2
3
4
5
Perfectly
5
Q

Envuelve vertebras cervicales y m. Espinales, y vaina carotídea

A

Aponeurosis cervical profunda profunda

How well did you know this?
1
Not at all
2
3
4
5
Perfectly
6
Q

Compuesta por hojas de las vacías de la aponeurosis cervical profunda

A

Vaina carotídea

How well did you know this?
1
Not at all
2
3
4
5
Perfectly
7
Q

Son los espacios cervicales (4)

A

Vaina carotídea
Sub mandibular
Para faríngeo
Retrofaringeo

How well did you know this?
1
Not at all
2
3
4
5
Perfectly
8
Q

Va desde la base del craneo hasta el diafragma, entre el espacio retrofaringeo y la fascia prevertreval

A

Espacio peligroso cervical

How well did you know this?
1
Not at all
2
3
4
5
Perfectly
9
Q

Espacio que va
Desde la base del cráneo hasta el coxis.

A

Espacio prevertebral

How well did you know this?
1
Not at all
2
3
4
5
Perfectly
10
Q

Consiste en la diseminación a través de las intercomunicaciones que tienen los diversos espacios cervicales a través del escaso tejido conectivo

A

Diseminación horizontal

How well did you know this?
1
Not at all
2
3
4
5
Perfectly
11
Q

Consiste en la diseminación a través de los espacios prevertebral y el espacio peligroso

A

Diseminación vertical

How well did you know this?
1
Not at all
2
3
4
5
Perfectly
12
Q

Para ver

A
How well did you know this?
1
Not at all
2
3
4
5
Perfectly
13
Q

Cual es la infección cervico facial más común

A

Infección odontogena

How well did you know this?
1
Not at all
2
3
4
5
Perfectly
14
Q

La infección odontogena (58%) generalmente lleva al desarrollo de que lesión cervicofacial

A

Angina de Ludwing

How well did you know this?
1
Not at all
2
3
4
5
Perfectly
15
Q

Cual es la causa de las perforaciones faríngeas

A

Cuerpo extraño o post-endos

How well did you know this?
1
Not at all
2
3
4
5
Perfectly
16
Q

El absceso de bezold es una

A

Complicacion de la Mastoiditis -> colección de pus que se forma en el espacio retrofaríngeo o en los tejidos blandos cercanos a la apófisis estiloides del hueso temporal.

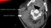
17
Q

Dx

A

Angina de ludwing

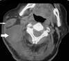
18
Q

Dx

A

Mastoiditis y absceso de bezold

19
Q

Dx

A

Absceso periamigdalino

20
Q

Cuales son las infecciones cervico faciales

A

Angina de ludwing
Absceso periamigdalino
Parotiditis suprativa
Absceso de bezold
Perforación faríngea o esofagica

21
Q

Cual es el destino común y final de todas las infecciones cervico faciales

A

Mediastinitis necrotizante -> muerte

22
Q

En ese lugar es la división de la a.carótida

23
Q

Como se identifica en que parte esta C4

A

A la altura del hueso hioides

24
Q

M. Elevador del piso de la boca

25
Amigdalitis eritematopultacea es el inicio de infección
Odontogena
26
Absceso de bezold ocurre por
Otitis media mal tratada, mastoiditis, o px inmunosuprimido
27
Cuales son los facilitadores del proceso de infección cervicofacial-> mediastinitis
Ausencia de barrera anatómica entre los espacios cervicales Gravedad Respiración Presión negativa intra torácica
28
Criterios dx de mediastinitis necrotizante descendente según AARÓN ESTRERA
1. Manifestaciones de infección cervico facial 2. Signos radiológicos 3. Demostración de mediastinitis por biopsia o AUTOPSIA 4. Establecer relación mediastinitis e infección | NO SUBESTIMES UN ABSCESO CERVICOFACIIAL
29
Criterios radiológicos de absceso cervical/mediastinal en Rx cuello
Aumento del espacio retrofaringeo Rectificación columna Enfisema subcutáneo cervical
30
Criterios radiológicos de absceso cervical/mediastinal en Rx torax
Ensanchamiento mediastino Enfisema mediastino Derrame pleural Consolidación lobar Aumento silueta cardiaca
31
Criterios radiológicos de absceso cervical/mediastinal en TAC torax
Micro abscesos mediastino Enfisema mediastino Edema tejidos blandos Engrosamiento a expensas de grasa
32
Dx
33
Metodos dx de infección cervico-facial
Clinica Tac cervico torácica
34
Tx de absceso cervical
Ingreso a UTI, antibióticos IV, asegurar vía aérea, drenaje quirúgico. *CERVICOTOMÍA
35
Tx de mediastinitis necrotizante descendente
Toracotomia amplia + cervicotomia
36
Es fundamental realizar esto al momento de realizar tx en infecciones cervico-facial
Tomar muestra de cultivo
37
La flora de la cavidad oral es en su mayoría
Anaeróbicos | dejar tx que cubra
38
Los patogenos mas frecuentes de infección cervico-facial son:
Streptococo viridans Streptococo anginosus Parvimonas micra Fusobacterium nucleatum Bacteroides melaninogenicus Actynomices
39
Tx AB
Clindamicina Ceftria