What cardiac markers are useful by bloodwork?
Troponin (T, I), CK-MB isoenzyme
What are the benefits of troponin markers over CK?
Very specific and more sensitive.
When does troponin appear?
Rises 4-8h after injury, may remain elevated for up to 2 weeks.
What injury other than cardiac can troponin indicate?
May be elevated with renal disease, poly/dermatomyositis.
What are the benefits of cardiac markers?
Provide prognostic information, elevation can be predictive of mortaily.
When does elevated CK-MB isoenzyme appear?
4-6h after injury, peak at 24h, remains elevated 36-48h.
What are the levels of CK/MB for a positive test?
>5% of total CK and 2x normal.
What are examples of false positives of CK-MB?
Exercise, trauma, muscle disease, DM, PE.
Graph of rise of troponin with mortality

What are the 3 types of Creatinine kinase isoenzyme fractions?
MM - Muscles cardiac & Skeletal, MB - exclusively in cardiac muscle. BB - Brain, Bowel & Bladder.
What are the tests that can be checked in the blood for an MI?
Creatinine Kinase; CK- Isoenzymes (Fractions), Troponins - I & T, LDH - 1-5, Myoglobin.
CK-MB levels corresponding to injury (graph)
Index is ratio to total CK


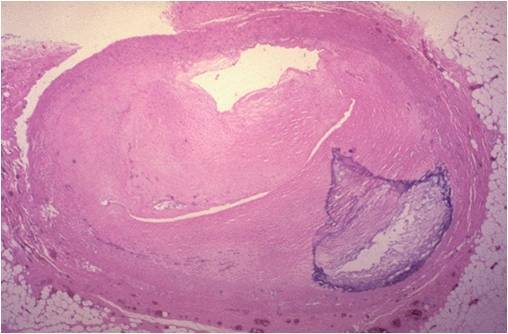
This epicardial coronary artery is almost completely occluded by atherosclerotic plaque. The plaque is heavily lipid laden and has ruptured, releasing thrombogenic substances into the narrow lumen. A thrombus has occluded the tiny lumen that remains.

This image shows an acute myocardial infarct in the free wall of the left ventricle, which also has an element of left ventricular hypertrophy. The infarct zone is pale tan, and it is surrounded by a hyperemic area that represents an inflammatory response. The infarct is about 5-7 days old.
When can ultrastructural evidence of irreversible myocardial damage after occlusion of a major epicardial coronary artery be detected?
20-40mins after occlusion
When can wavy fiber change in occlusion of a major epicardial coronary artery occlusion be detected with a light microscope?
1-3 hours after occlusion
When are classic histologic features of necrosis established after major epicardial coronary artery occlusion?
4-12h.
Which is first, irreversible damage of subendocardial zones or classical features of necrosis?
Subendocardial zone damage.
When does progressive loss of myocardial zone occur?
Over 24h after necrosis begins, most of damage in first 4-6h.

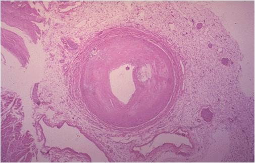
There is a severe degree of narrowing in this coronary artery. It is “complex” in that there is a large area of calcification on the lower right, which appears bluish on this H&E stain. Complex atheroma have calcification, thrombosis, or hemorrhage. Such calcification would make coronary angioplasty difficult.

This distal portion of coronary artery shows significant narrowing. Such distal involvement is typical of severe coronary atherosclerosis, such as can appear with diabetes mellitus or familial hypercholesterolemia. This would make a coronary bypass operation difficult.
How do cholesterol clefts in thrombosis appear in the coronary artery?
Open, needle-like spaces in atheromatous plaque.

This high magnification of the atheroma shows numerous foam cells and an occasional cholesterol cleft. A few dark blue inflammatory cells are scattered within the atheroma.
Gross vs Microscopic changes in time progression of MI
0-18h | None | None
24-48h | Pale, edema | Edema, acute inflammation
2-3 days | Hemorrhage | Necrosis, granulation
1-3 weeks | Thin, yellow | Granulation–> fibrosis
3-6 weeks | Tough white | Dense fibrosis