What is the disadvantage of an AP CXR?
It makes the heart look larger
Approaching a CXR
How to assess rotation?
Spinous processes lie in the middle of the medial heads of the clavicles.
How to assess inspiration?
Adequate inspiration:
5-7 anterior ribs
10 posterior ribs
How to assess exposure?
Can see vertebrae and intervertebral disc space
Four steps to assessing NG tube position
Endotracheal tube correct position
5 +/- 2cm above carina
Loss of lung volume features
Features which you would see in lung collapse and not in consolidation:
Causes of lobar collapse
Causes of loss of lung volume
How to recognise cardiomegaly
>0.5 thoracic width

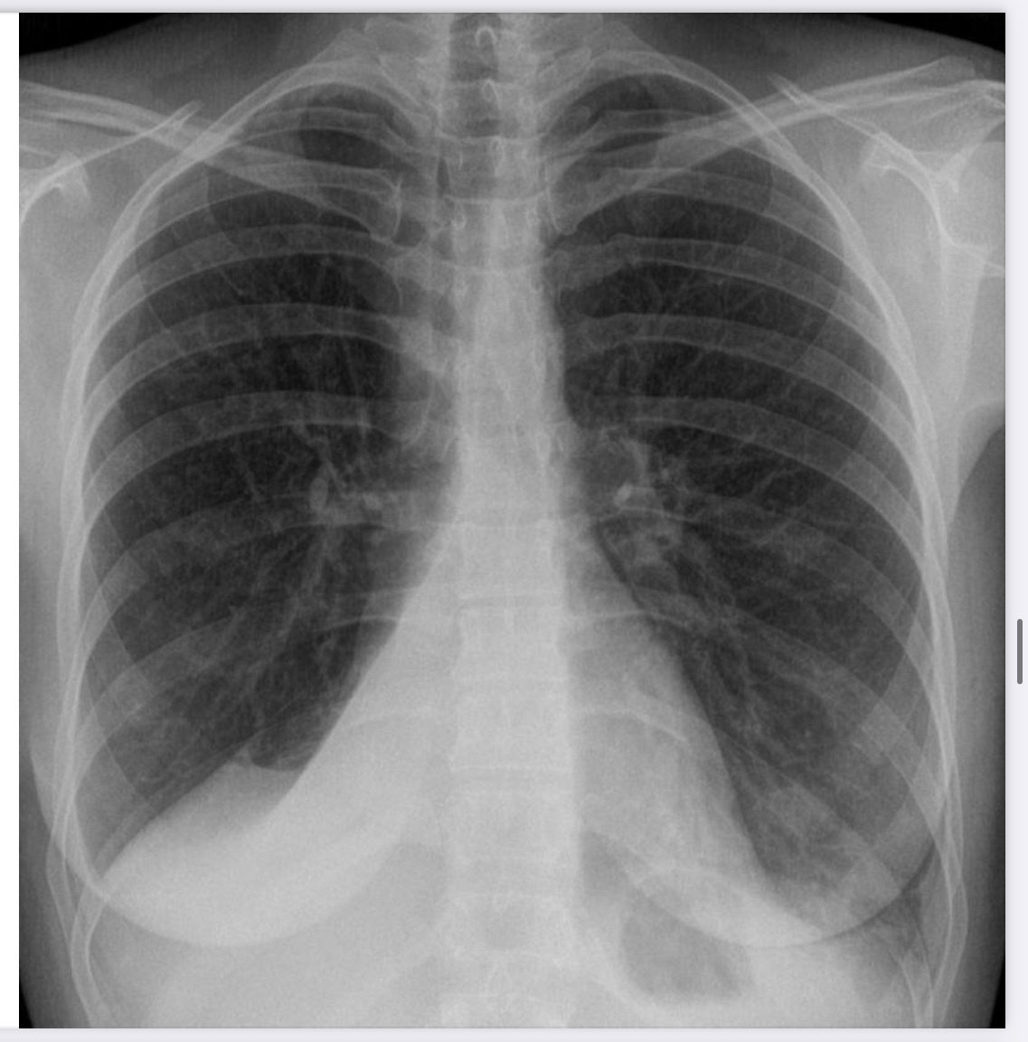
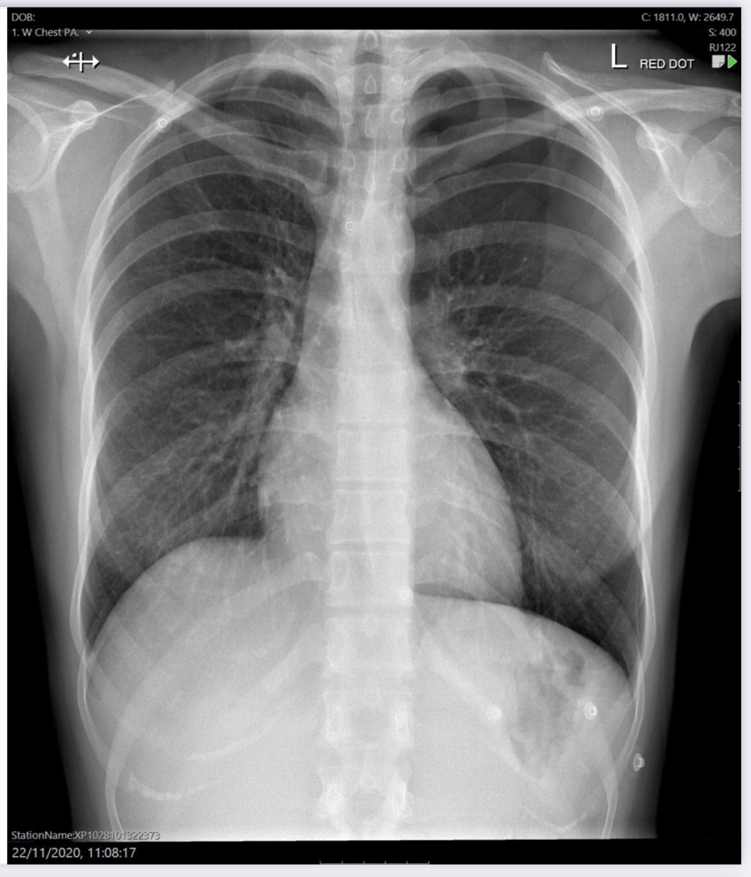
Normal

Correctly placed NG tube

Incorrectly placed NG tube

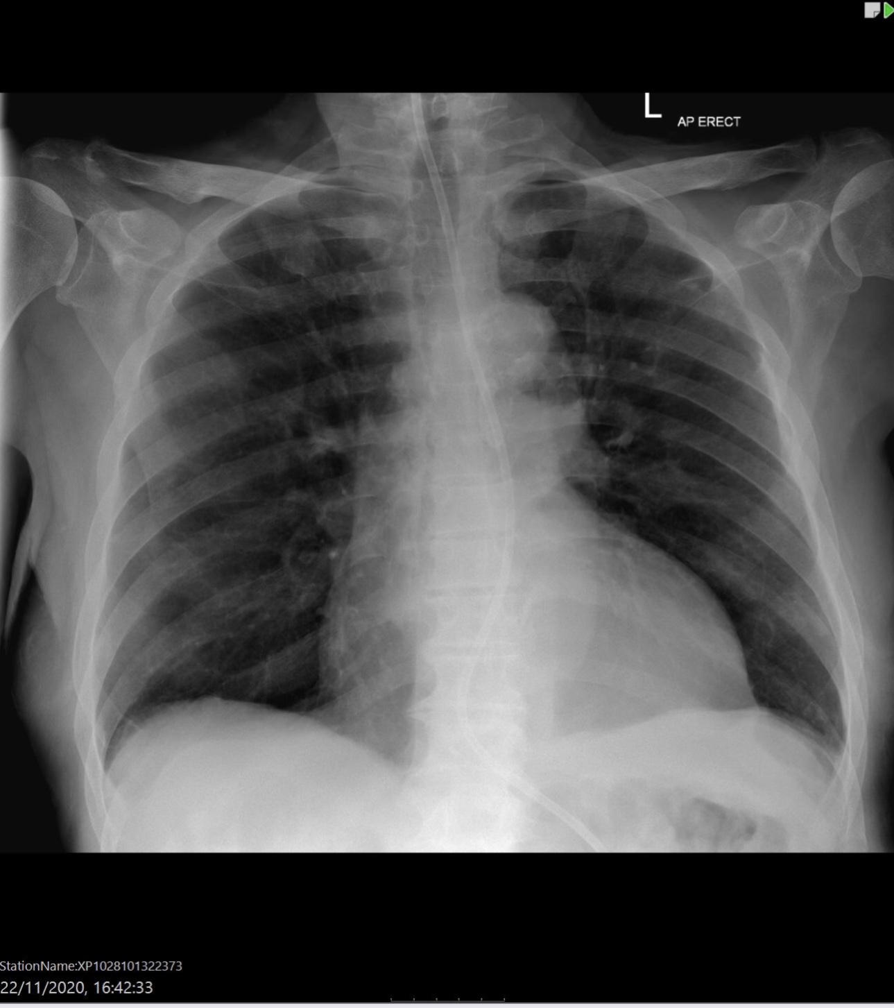
Unilateral pleural effusion

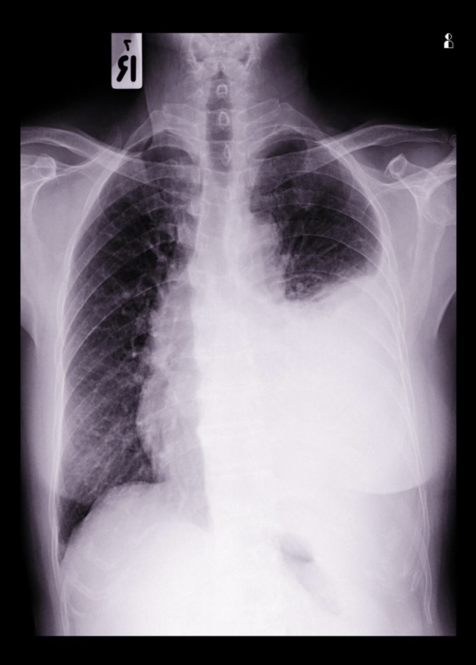
Right pneumonectomy (there are clips)
Without clips it would be right lung collapse

Right lower lobe collapse

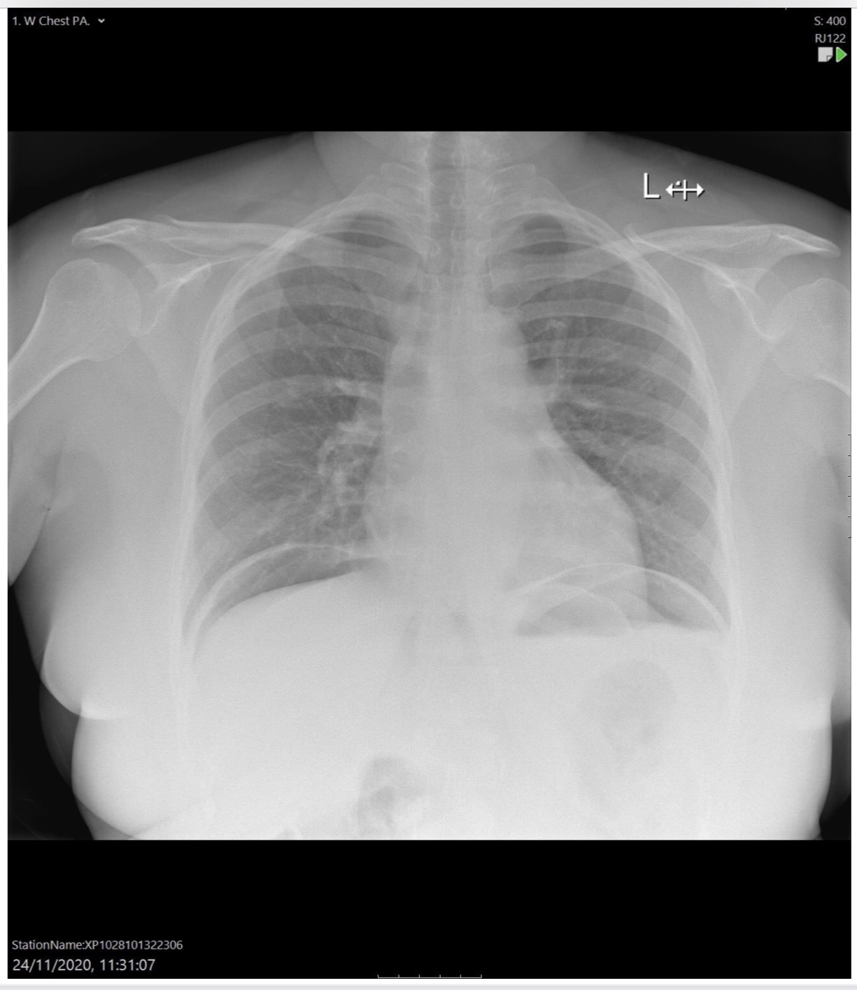
Cardiomegaly

Heart failure
Alveolar oedema
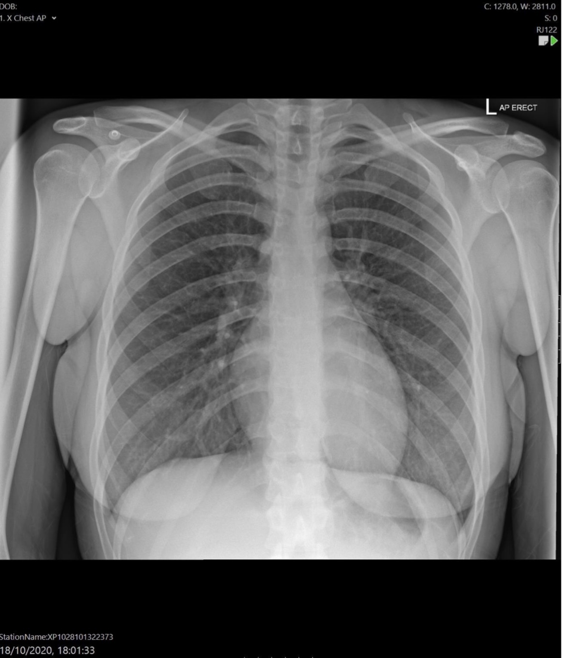
Cardiomegaly (although AP so can’t assess properly)
Dilated upper lobe vessels
Pleuarl effusion

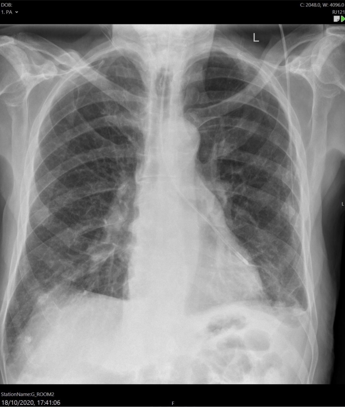
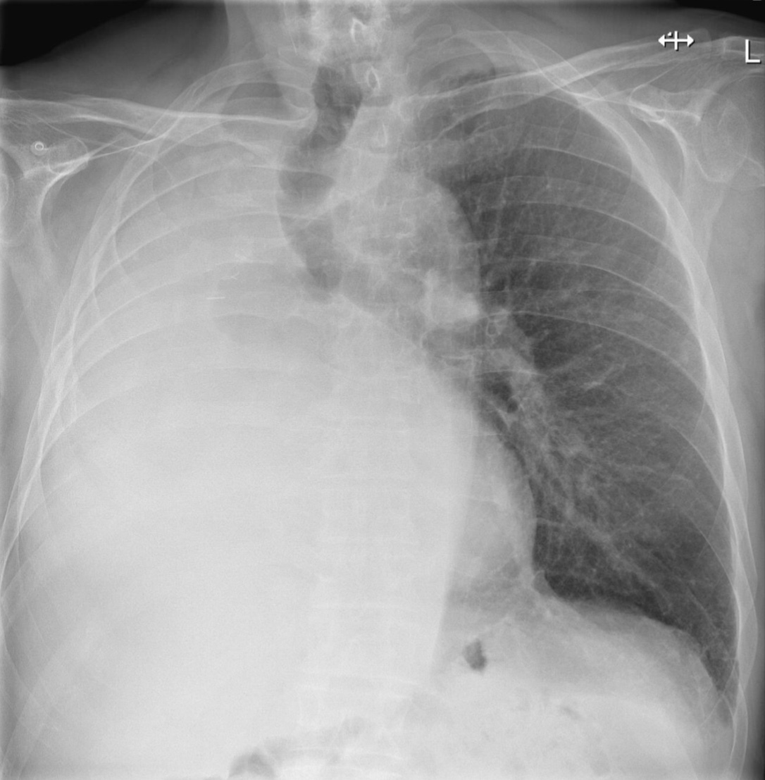
Left sided pneumothorax

Pneumoperitoneum

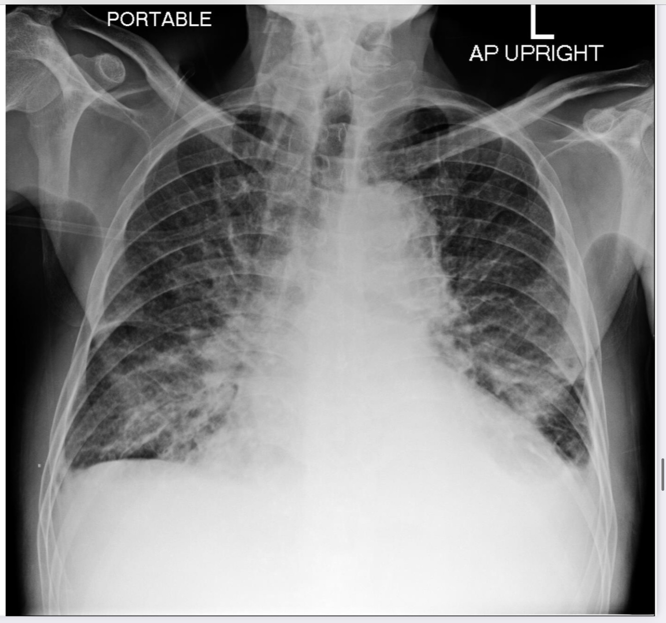
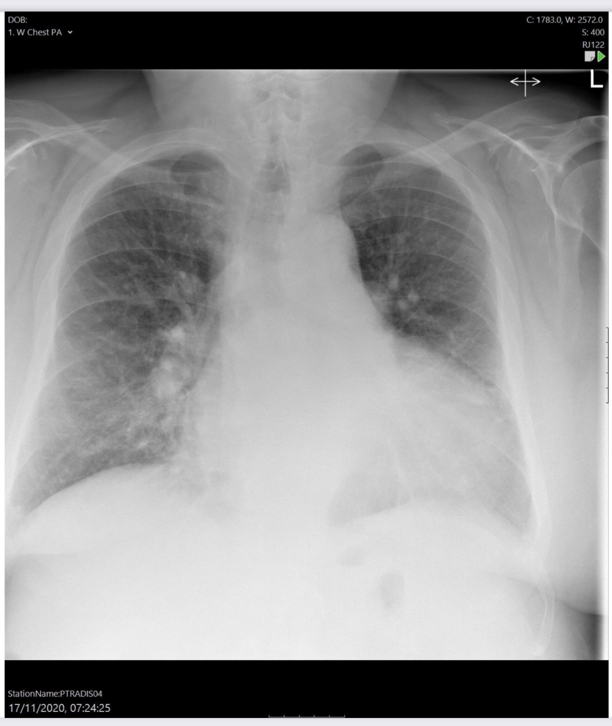
Heart failure
Alveolar oedema
Kerley B lines
Cardiomegaly
Dilated upper lobe vessels

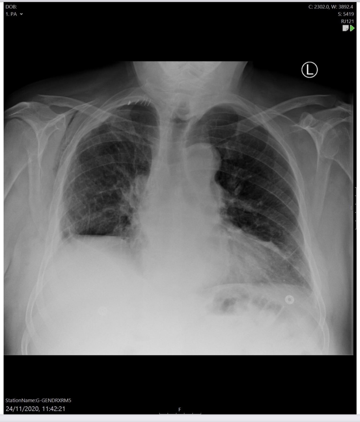
Right lower lobectomy