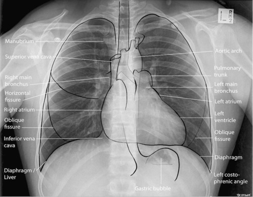
CXR
Densities
Photons shot at a receptor.
Things that absorb more photons appear more opaque.
From most to least radiopaque:
PA View
Beam coming from the posterior and going to the anterior.
Heart size is the most accurate.
AP View
Beam coming from anterior and going posterior.
For patients unable to stand for CXR.
Heart appears bigger b/c closer to the beam.

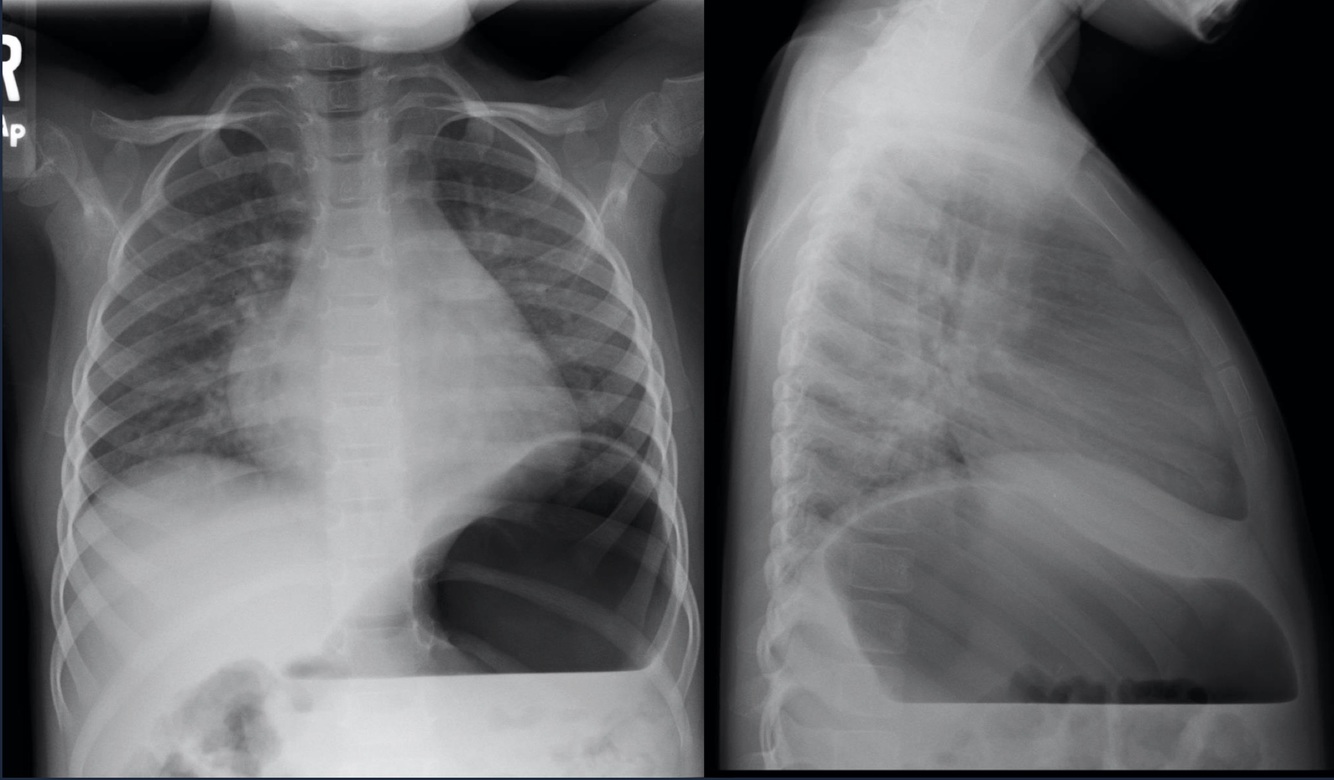
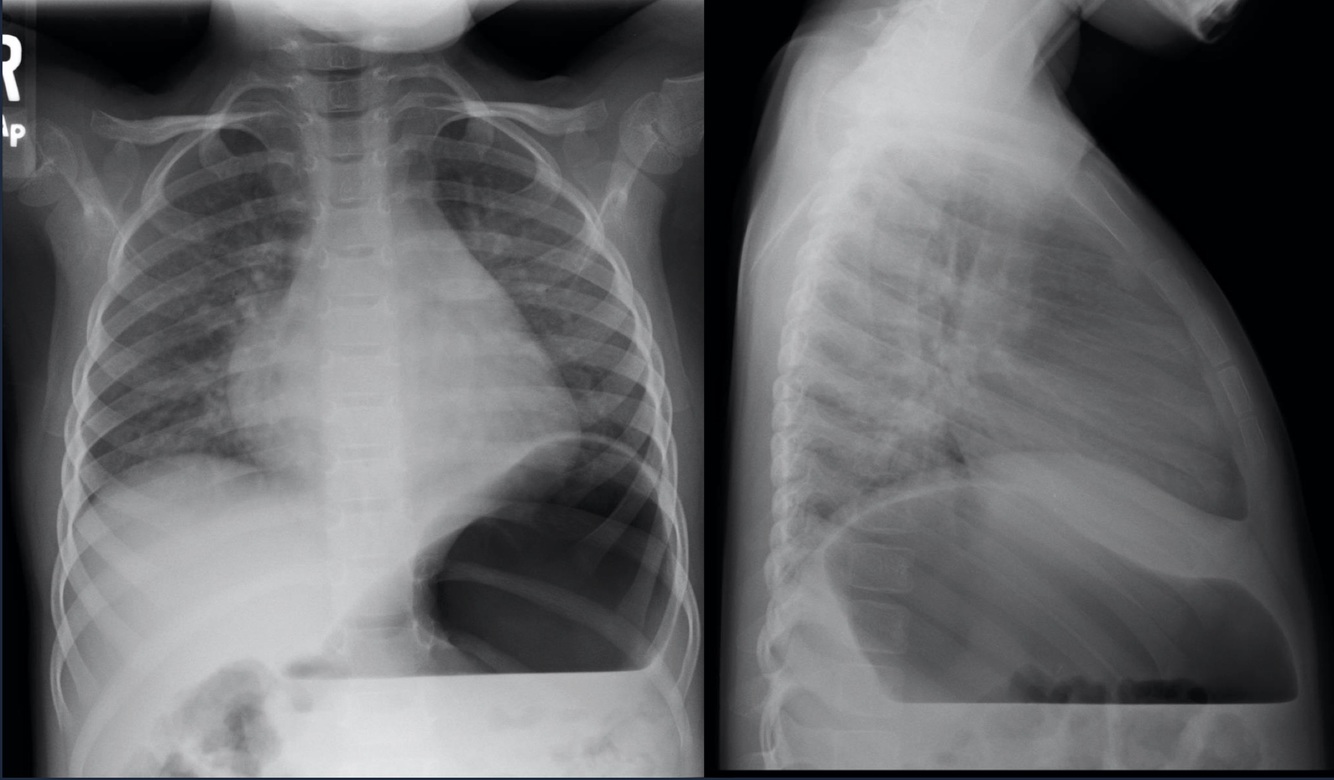
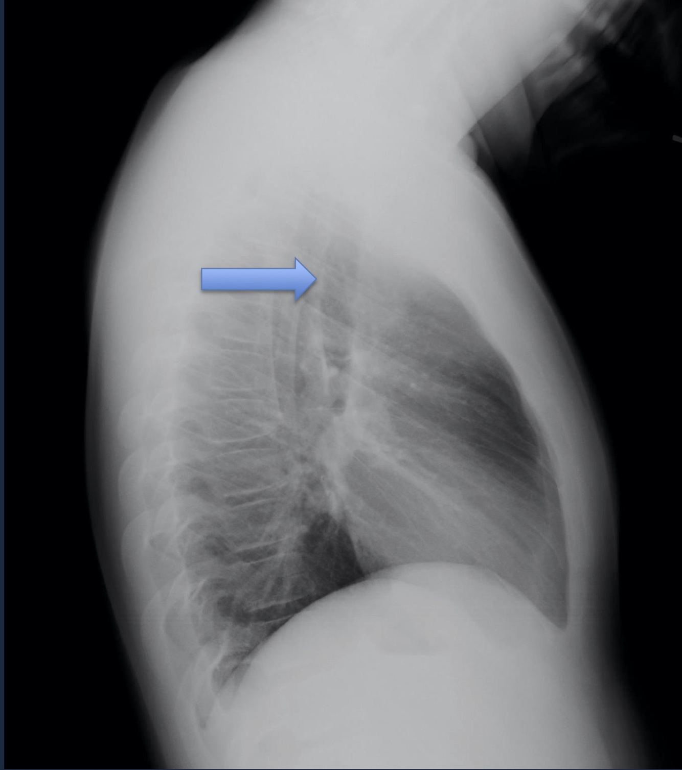
Lateral View
By convention, beam on the right, detector on the left.

CXR
Reading Checklist
Which view i.e. PA, AP, lateral?
Develop a systematic search pattern and always look at every CXR in the same way.
Do not stop at the first abnormality found.

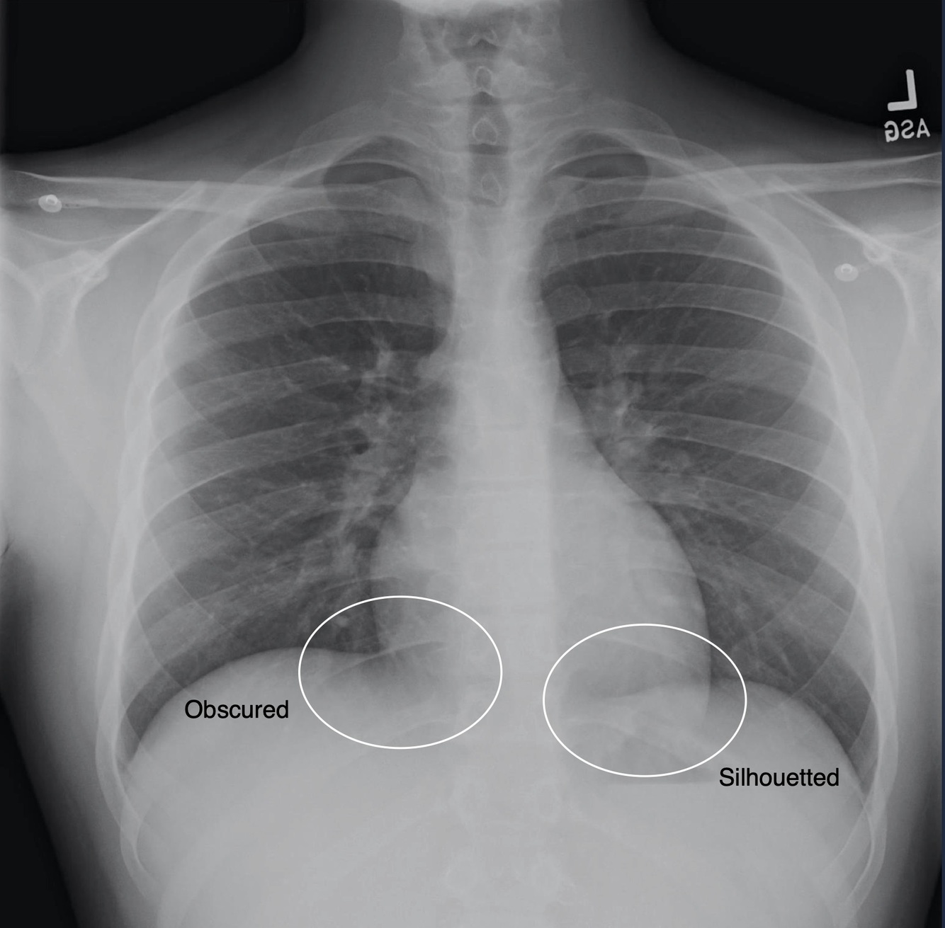
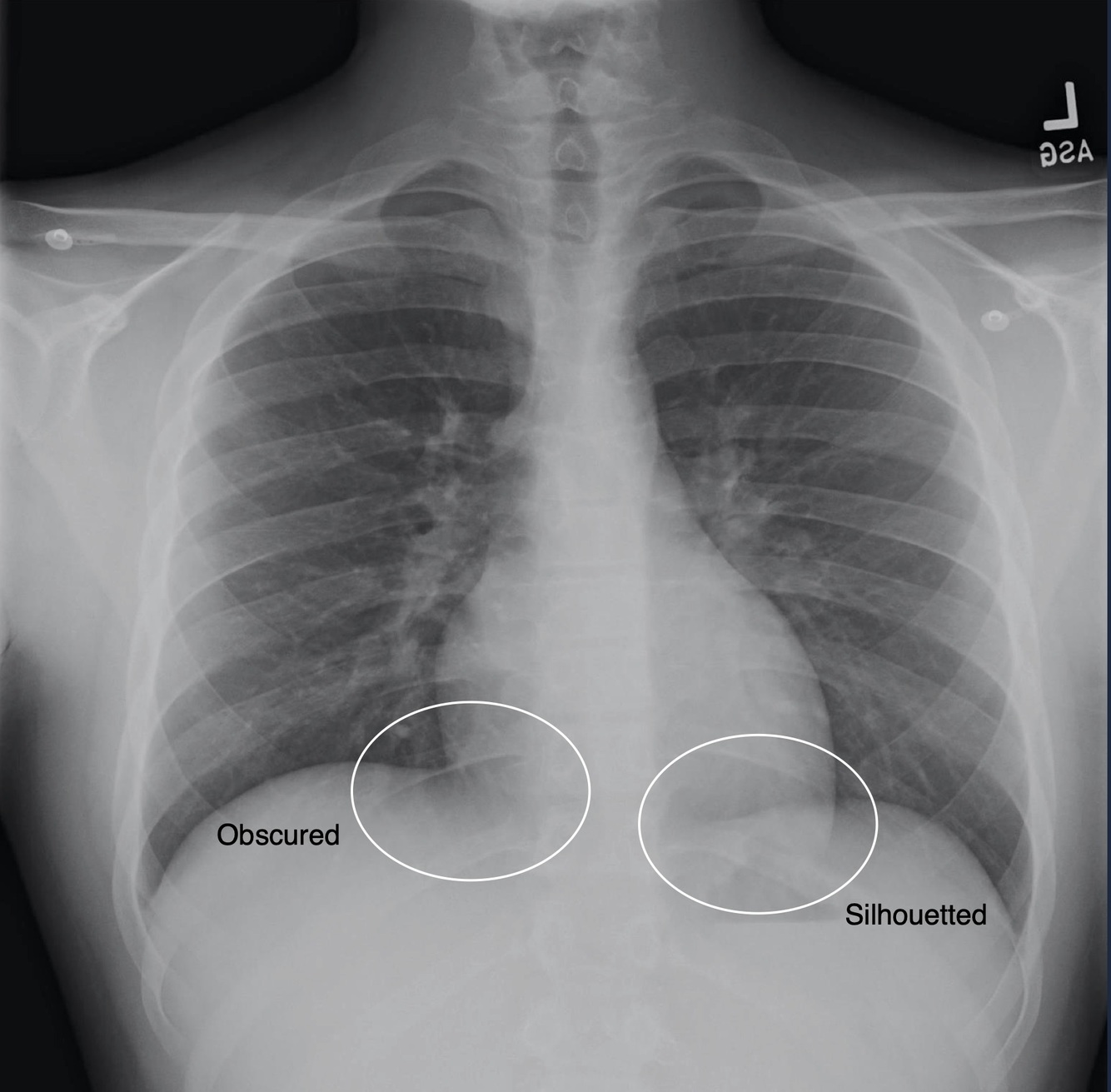
Obscured Margin
When two soft tissue densities lie in apposition, their borders will become indistinguishable or obscured.

Silhouette Sign
When two soft tissue densities overlap in an image but are seperated by air, their borders will still be visible.

Lung Anatomy

Pulmonary Fissures
Lateral View
Can see b/l oblique fissures and horizontal fissure on the right.

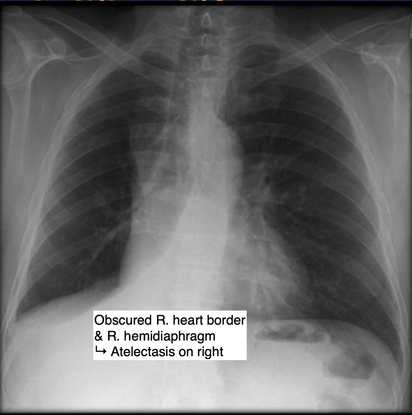
Atelectasis
Definition
Collapse of alveoli.
Atelectasis
Causes
Lobar Atelectasis
Radiological sign ⇒ volume loss

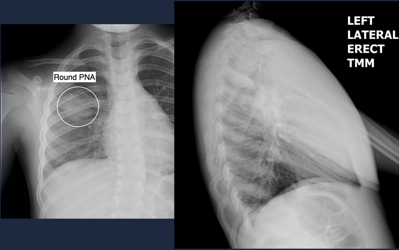
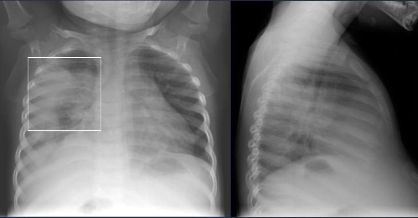
Pneumonia
Infection of the lung with pus in the alveoli or interstitium.

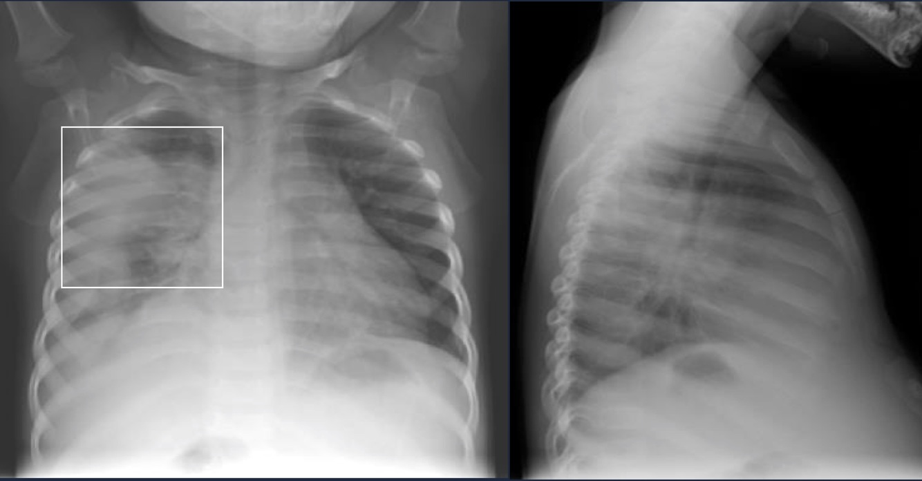
Round Pneumonia

Complications of PNA

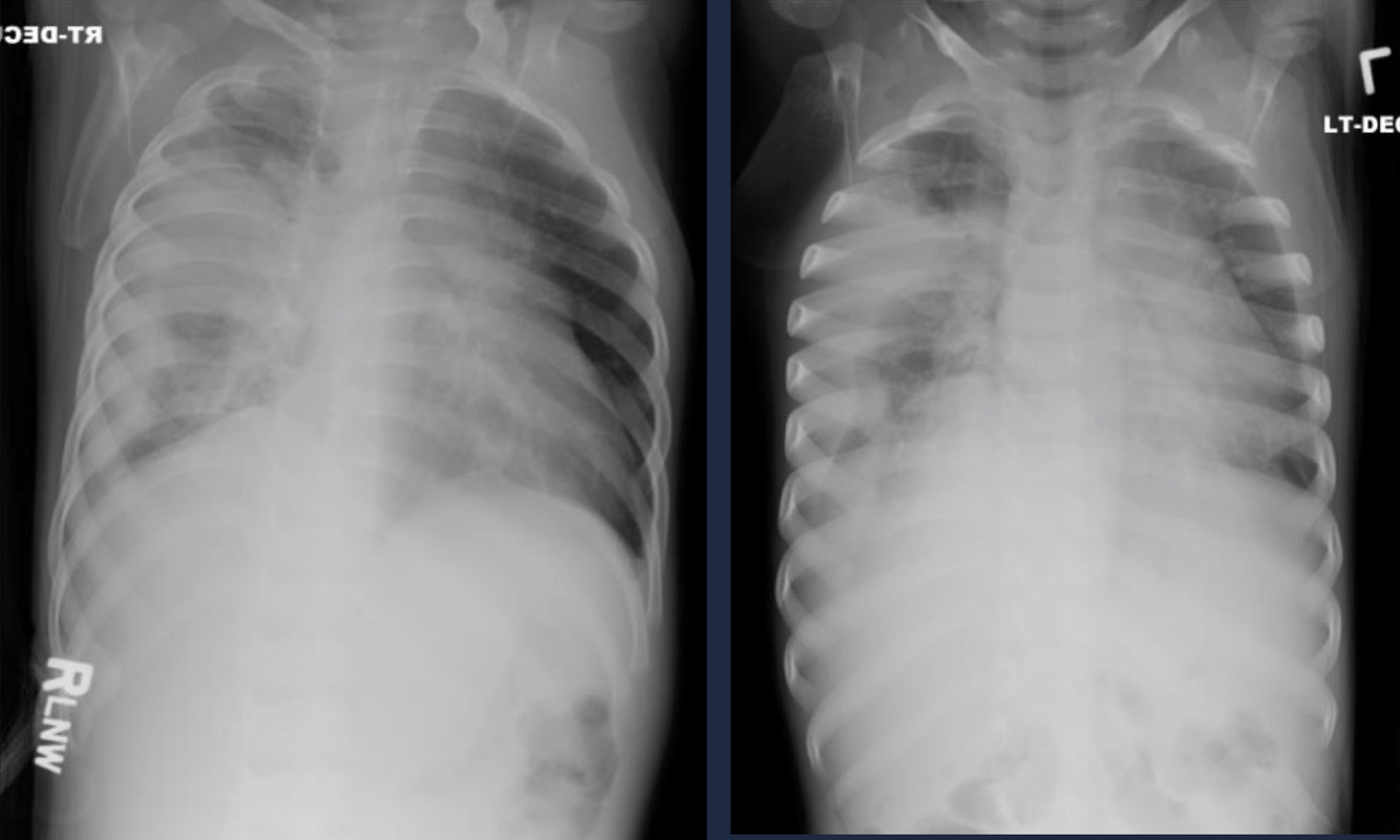
Complicated PNA
Work-up
Typically requires cross-sectional imaging:
Ultrasound or CT
Lung Abscess
Collection of pus in the lung.

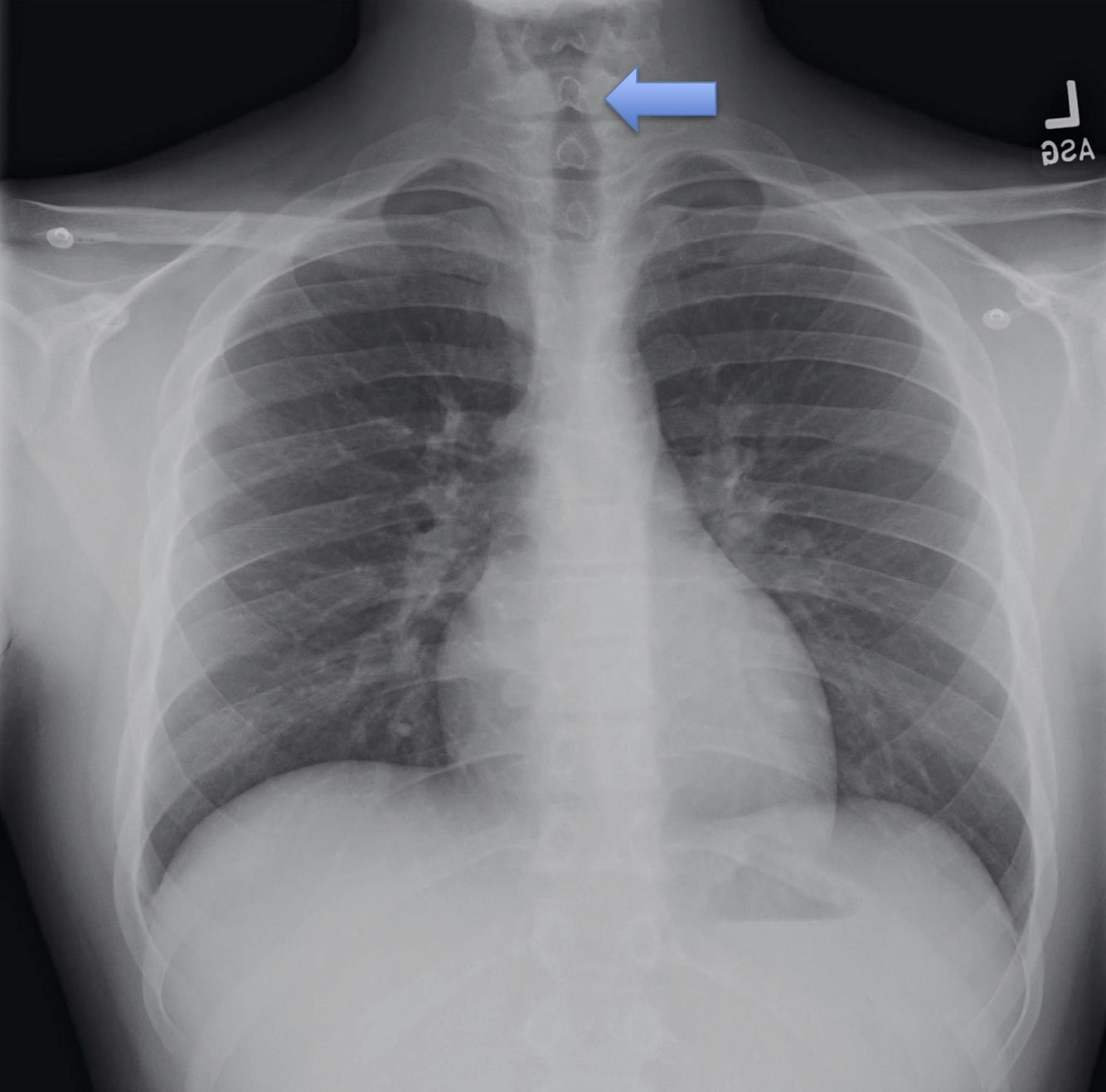
Trachea
Normally found in the midline.
Abnormalities:
Tube placement
Tension pneumothorax

Trachea
Lateral View

Trachea
Tube Placement

Pneumothorax
Air trapped within the pleural cavity.

Tension Pneumothorax
Signs of tension PTx:

Pleural Effusion
Fluid within the pleural cavity.
CXR: Complicated PNA with pleural involvement.

Empyema
Pus within the pleural cavity.
