Cystourethrography Flashcards

(15 cards)

1
Q

What are some indications for cystourethrography?

A
  • evaluation of the UB wall and urethra for thickness
  • suspected non-mineralized uroliths
  • urinary bladder masses
  • urinary bladder rupture from trauma
  • hematuria, stranguria
How well did you know this?
1
Not at all
2
3
4
5
Perfectly
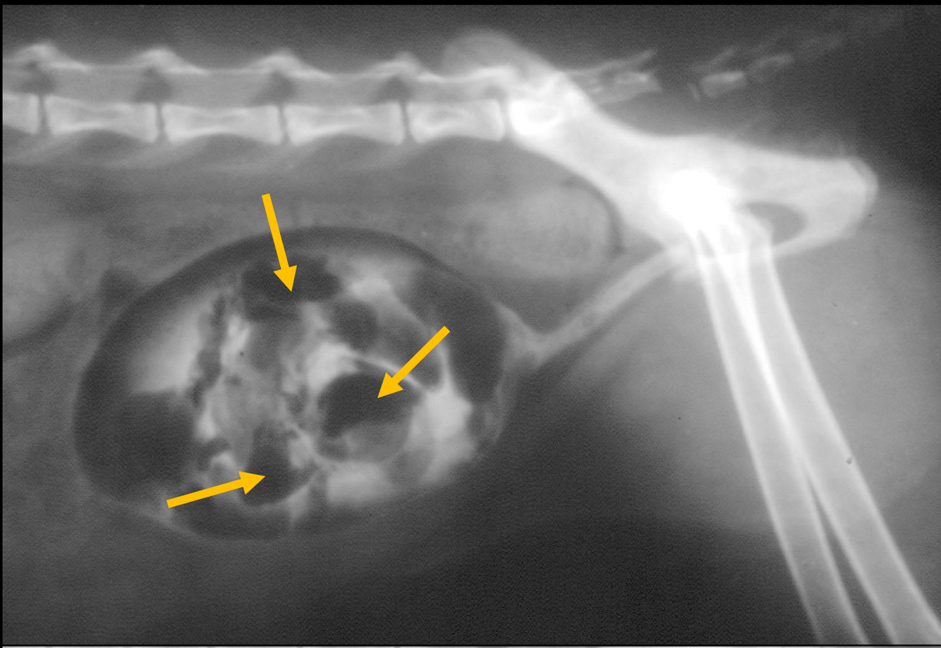
2
Q

What is being pointed to in this cystourethrograph?

A

filling defects where contrast is not taken up

How well did you know this?
1
Not at all
2
3
4
5
Perfectly
3
Q

What is being pointed to in this cystourethrograph?

A

negative gas contrast

How well did you know this?
1
Not at all
2
3
4
5
Perfectly
4
Q

What is being pointed to in this cystourethrograph?

A

positive iodine contrast

How well did you know this?
1
Not at all
2
3
4
5
Perfectly
5
Q

What is being pointed to in this cystourethrograph?

A

negative gas contrast with positive iodine contrast in the middle

How well did you know this?
1
Not at all
2
3
4
5
Perfectly
6
Q

What is seen in this cystourethrograph?

A

negative gas contrast only

How well did you know this?
1
Not at all
2
3
4
5
Perfectly
7
Q

What positive contrast agent is most commonly used for cystourethrography? What is not used?

A

metal opaque iodinated non-ionic contrast media

barium

How well did you know this?
1
Not at all
2
3
4
5
Perfectly
8
Q

What are 2 common negative contrasts used for cystourethrography?

A
  1. room air - air embolism most common
  2. CO2 - more soluble in blood makes air embolism less common
How well did you know this?
1
Not at all
2
3
4
5
Perfectly
9
Q

How can air embolisms be avoided with cystourethrography?

A

place patient in left lateral recumbency

How well did you know this?
1
Not at all
2
3
4
5
Perfectly
10
Q

When is positive contrast cystography best for observing?

A

evaluating location of the urinary bladder and tears

  • place Foley ballooned catheter to ensure constrast remains within bladder
How well did you know this?
1
Not at all
2
3
4
5
Perfectly
11
Q

What are the 2 steps to double contrast cystography?

A
  1. administer negative gas first - 5-10 mL/kg
  2. administer positive iodine diluted 50% with sterile physiologic (0.9%) saline - cats = 0.5-1 mL, dogs <25 lbs = 1-3 mL, dogs >25 lbs = 3-6 mL

position in different recumbency to allow positive contrast to outline the entirety of the UB

How well did you know this?
1
Not at all
2
3
4
5
Perfectly
12
Q

What 4 things does urethrography allow us to visualize? How is it performed?

A
  1. urethral teats
  2. urethral stricture
  3. urethral obstruction
  4. urethral neoplasia
  • allow positive contrast from bladder to exit via urethra
  • inject positive contrast into urethra against pressure created in UB
How well did you know this?
1
Not at all
2
3
4
5
Perfectly
13
Q

Feline fluoroscopic urethrogram:

A

broadly distended

How well did you know this?
1
Not at all
2
3
4
5
Perfectly
14
Q

What is a contrast filling defect? What does it indicate? What does it allow?

A

absence of contrast from an area where contrast would normally be expected

presence of something abnormal occupying the space

aids in identification of luminal and mural lesions

How well did you know this?
1
Not at all
2
3
4
5
Perfectly
15
Q

What is likely causing the observed filling defect?

A
  • filling defect at trigone, common spot for TCC
  • wall thickening
How well did you know this?
1
Not at all
2
3
4
5
Perfectly