Cysts Flashcards

(21 cards)

1
Q

What is a cyst?

A

A pathological, epithelial lined and fluid filled cavity

How well did you know this?
1
Not at all
2
3
4
5
Perfectly
2
Q

Give 2 inflammatory cysts?

A
  • Radicular cysts
  • Residual cysts
  • Inflammatory lateral periodontal cyst
  • Paradental cyst
How well did you know this?
1
Not at all
2
3
4
5
Perfectly
3
Q

Give 2 developmental cysts?

A
  • Keratocyst
  • Dentigerous cyst
  • Eruption cyst
  • Gingival cyst
How well did you know this?
1
Not at all
2
3
4
5
Perfectly
4
Q

Give 2 non-odntogenic cysts?

A
  • Nasopalatine cyst
  • nasolabial cyst
  • Simple bone cyst
  • Stafne cavity (or pseudo type cyst)
How well did you know this?
1
Not at all
2
3
4
5
Perfectly
5
Q
  1. Give 2 common treatment options with advantages and disadvantages to both?
A
  • Enucleation All of the cyst is removed at once.
    ADVANTAGES - Whole lining can be examined pathologically, little after care required, allows primary closure and healing process.
    DISADVANTAGES
  • Risk of mandibular fracture for large cysts.
  • May displace tooth that you want to preserve (if dentigerous cyst),
  • precluded is ill health and age preclude GA,
  • clot filled cavity can become infected,
  • incomplete removal may lead to reoccurence,
  • possible damage to adjacent structures,
  • not option in keratocyst as lots of daughter cells etc.

Marsupialisaton - involves the creation of a small window in cyst, removal of cyst contents and suturing of the cyst walls surrounding the epithelium and aims to encourage the cyst to decrease in size (by distrupting the lining and encourage bone formation) before later being followed by enucleation.
ADVANTAGES
- Simple to perform
- May spare vital sutures
- May allow eruption of teeth affected by dentigerous cyst
- Reduced risk of jaw fracture in large cyst
DISADVANTAGES
- Opening made may close and then cyst reform
- Complete lining not available for histology so risk of missing ameloblastoma
- Tic changes
- increased number of visits and procedures
- Difficult to keep clean
- Lots of aftercare
- Takes ling time to fill in and patient needs to wear an obturator to keep cavity open throughout this time

How well did you know this?
1
Not at all
2
3
4
5
Perfectly
6
Q

Radicular Cyst-
1. What does a radicular cyst develop from?

A

Epitheliual rest of malassez (reminants of hertwigs epithelial root sheath)

How well did you know this?
1
Not at all
2
3
4
5
Perfectly
7
Q

How does a radicular cyst develop?

A
  • Type of inflammatory cyst which forms around the apex of a non-vital tooth
  • It usually occurs as a sequalae to pulpitis and formation of a PAP, to a PA granuloma (mass of granulation tissue around the apex)
  • The granuloma may contain rest of malassez (reminants of hertwigs root sheath) which on activation grow to form a cyst.
How well did you know this?
1
Not at all
2
3
4
5
Perfectly
8
Q
  1. How does it appear histologically and radiographically? radicular cyst.
A

Radiographically
- Unilocular radiolucent round lesion centred around the apex of a non-vital tooth (has evidence of loss of vitality carious, extensive restoration previous RCT etc)
- Well differentiated corticated margin (which is continous with the lamina dura on either side of the root)
Histologically
- CT capsule
- Stratified squamous epithelium lining which may be incomplete and show areas of ulceration or hyperplasia
- Inflammation (marcophages, lymphocytes and plasma cells)
- within capsule, debris of Malassez, cholesterol clefts (normally associated with epithelial discontinuities and project into the cyst lumen (found in cyst fluid)), hyaline or Rushton bodies, and possible mucous metaplasia
- May form by proliferating epithelium with area of central necrosis or epithelium surrounding fluid area (driven by differential pressures)

How well did you know this?
1
Not at all
2
3
4
5
Perfectly
9
Q

Keratocyst-
1. Where does a keratocyst develop from?

A

Rests of serres (remnant of dnetal lamina)

How well did you know this?
1
Not at all
2
3
4
5
Perfectly
10
Q

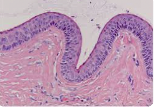
How does a keratocyst appear histologically?

A
  • CT capsule
  • Then keratinised epithelium showing parakeratosis (black dots with remaining nuclei) and with a corrugated surface
  • Basal cell palisading - basal cell all arranged at the same level with nuclei also at uniform lining.
  • Flat basement without rete pegs - epithelium can easily seperate from CT wall
  • Thin friable lining results in daighter/ satelitte cysts and cell nests
How well did you know this?
1
Not at all
2
3
4
5
Perfectly
11
Q

How does a keratocyst appear radiographically?

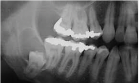
A
  • Well defined
  • Often multilocular radiolucent lesion with a corticated sharply demarcated bony wall which may extend from the angle of the mandible to the body and/or upwards into the ramus
How well did you know this?
1
Not at all
2
3
4
5
Perfectly
12
Q

Why is a keratocyst problematic?

A
  • Aggressive growth
  • High rate of reoccurrence (40-60%) deu to friable capsule
  • Presence of daughter cysts and multicentric growth pattern
  • Later presentation as grows in a mesio-distal direction along the mandible and multicentrically by projection infilitrating through trabecula so only shows swelling when at advanced stages.
How well did you know this?
1
Not at all
2
3
4
5
Perfectly
13
Q

What condition is keratocysts often assocaited with?

A

GGS
Gorlin Goltz syndrome

How well did you know this?
1
Not at all
2
3
4
5
Perfectly
14
Q

Dentigerous Cyst-
1. What does a dentigerous cyst develop from?

A
  • Reduced enamel epithelium
  • Occurs when fluid is accumulated between the fully formed crown and the reduced enamel epithelium REE

Dentigerous cyst is a type of odontogenic cysts and generally occurs in the ages of twenties or thirties. Dentigerous cyst always includes a tooth which cannot complete the eruption process and occurs around the crown by the fluid accumulation between the layers of enamel organ.

How well did you know this?
1
Not at all
2
3
4
5
Perfectly
15
Q

What does corticated margins mean when describing a cyst on a radiograph?

A
How well did you know this?
1
Not at all
2
3
4
5
Perfectly
16
Q
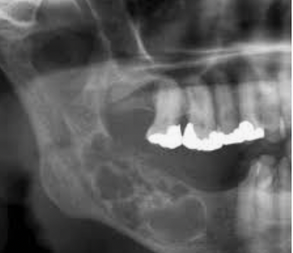
  1. How does a dentigerous cyst appear radiographically?
A
  • Unilocular
  • Well defined radiolucent lesion which extends from the ACJ and contains the crown of an unerupted tooth (usually displaced from its normal position) with a corticated sclerotic bony margin
17
Q

How does a dentigerous cyst appear histologically?

A
  • Thin fibrous capsule
  • Thin, non keratinised SSE
  • Cyst wall attached to tooth at or close to the ACJ
  • flat basement membrane
  • No inflammation (unless infected)
18
Q

Where are dentigerous cyst most commonly seen?

A
  • Lower 8’s
  • upper 3’s
19
Q

Tumours-
1. Name 1 epithelial derived odontogenic tumour? What is it like histologically?

A

Ameloblastoma
- Different forms e.g follicular or plexiform
- Multi follicles with layer of ameloblasts (elongated cells with darkly stained nuclei) making up the periphery
- Islands or nests of epithelial cells with these
- Loose CT in the centre which resembles stellate reticulum

20
Q

Name 1 mixed epithelium and mesenchyme tumour?

A

odontogenic carcinosarcoma

21
Q

Name 1 mesenchyme tumour?