CYTOLOGIES Flashcards

(98 cards)

1
Q

nommer des avantages et limitations de la cytologie

A

avantages:
rendement diagnostique élevé;
prélèvement requiert peu de matériel;
technique peu invasive - peut parfois être réalisée sans anesthésie !

limitations:
Pour certaines lésions, évaluation de l’architecture tissulaire est nécessaire pour le dxt ou confirmation de celui-ci;
RENDEMENT DXT DÉPEND DE LA QUALITÉ DE L’ÉCHANTILLON

How well did you know this?
1
Not at all
2
3
4
5
Perfectly
2
Q

pourquoi soumettre plusieurs lames pour l’évaluation cytologique ?

A

puisque la justesse du dxt cytologique dépend de la représentativité du spécimen.
un nbr insuffisant de lames peut faire en sorte que nous ratons un dxt!

How well did you know this?
1
Not at all
2
3
4
5
Perfectly
3
Q

nommer les 3 techniques pour le prélèvement cytologique de tissus solides.

quelle est la technique la plus utilisée ?

A
  1. ponction à l’aiguille fine (avec ou sans aspiration);
  2. impression
  3. grattage
How well did you know this?
1
Not at all
2
3
4
5
Perfectly
4
Q

nommer une lésion pour laquelle la ponction à l’aguille fine est la méthode de prélèvement idéale.

A

LES MASSES CUTANÉES

How well did you know this?
1
Not at all
2
3
4
5
Perfectly
5
Q

Concernant la ponction à l’aiguille fine:

nommer les 2 techniques et avantages et inconvénients.

A

sans aspiration: méthodes plus facile et moins de contamination sanguine !
avec aspiration: permet une meilleure exfoliation des cellules ! plus de risque d’éclatement des cellules et contamination sanguine.

explication des 2 techniques:
sans aspiration: mouvement de va-et-vient à l’aide d’un aiguille (21G ou 23G).
L’EXTRÉMITÉ DE L’AIGUILLE DOIT RESTER DANS LA MASSE.

avec aspiration: prendre une aiguille et la reliée à une seringue (12 ou 20 cc).
insérer dans le tissu en maintenant le piston de la seringue - des fragments tissulaires sont détachés par pression négative.

How well did you know this?
1
Not at all
2
3
4
5
Perfectly
6
Q

concernant la cytoponction avec aspiration:

nommer 2 conséquences si nous appliquons une pression négative trop forte

A

1. contamination sanguine
2. éclatement des cellules

How well did you know this?
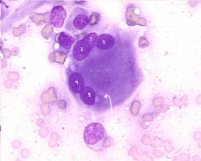
1
Not at all
2
3
4
5
Perfectly
7
Q

nommer deux lésions sur lesquelles nous pouvons effectuer une cytologie par impression.

A
  1. biopsie
  2. lésions exsudatives : très utile pour identification de micro-organismes!

la biopsie nécessite d’être fraichement coupée/prélevée, sinon risque de cytologie de mauvaise qualité - penser aussi à faire une cytoponction à l’aiguille fine pour maximiser les chances d’avoir un dxt !

How well did you know this?
1
Not at all
2
3
4
5
Perfectly
8
Q

pourquoi est-ce nécessaire d’avoir une couche mono-cellulaire lors d’évaluation cytologique ?

A

puisque les cellules non étalées peuvent apparaître plus petites quelles ne le sont réellement.

aussi les structures superposées peuvent paraître l’une dans l’autre!

How well did you know this?
1
Not at all
2
3
4
5
Perfectly
9
Q

nommer le tube que nous utilisons pour le prélèvement de fluides pour la cytologie.

QUELLE EST L’EXCEPTION ?

A

EDTA
SAUF POUR LE LCR

le tube EDTA permet de préserver la morphologie des cellules et empêche la formation de fibrine.

How well did you know this?
1
Not at all
2
3
4
5
Perfectly
10
Q

nommer les 3 choses que nous évaluons sur un fluide prélevé.

A
  1. morphologie des cellules;
  2. nombre de cellules;
  3. BIOCHIMIE DU LIQUIDE - PT.

ATTENTION à l’excès d’EDTA ! surestimation des protéines totales.

How well did you know this?
1
Not at all
2
3
4
5
Perfectly
11
Q

nommer deux tubes que nous pouvons utiliser pour évaluation bactériologique de fluides.

A
  1. tube SEC stérile
  2. milieu de transport approprié

si dosage de paramètres biochimiques est envisagé (triglycérides, CRÉAT), une portion des fluides devrait aussi être conservé dans un tube SEC.

How well did you know this?
1
Not at all
2
3
4
5
Perfectly
12
Q

si nous conservons les liquides d’effusion à 4-8 degrés C:

à partir de combien de temps il y aura de la détérioration cellulaire

A

après 24 heures

idéalement faire une préparation IMMÉDIATE (étalement sur lame et PT)

How well did you know this?
1
Not at all
2
3
4
5
Perfectly
13
Q

nous prélevons un liquide d’effusion et celui-ci est CLAIR:

qu’elle est la première étape a effectuer pour éval. cytologique ?

A

CENTRIFUGATION (1000-1500 rpm) - permet concentration des cellules.

nous étalons par la suite le sédiment sur une lame histologique

How well did you know this?
1
Not at all
2
3
4
5
Perfectly
14
Q

qu’est-ce que la cytocentrifugation?

nommer son principal avantage

A

méthode d’étalement des fluides - seulement disponible dans les lab de RÉF.!

fait en sorte que TOUTES les cellules deviennent à PLAT !

donc beaucoup plus facile de faire l’évaluation cytologique, surtout évaluation de la taille/forme des cellules !

How well did you know this?
1
Not at all
2
3
4
5
Perfectly
15
Q

nommer l’outil pour mesurer le taux de protéines des liquides d’effusion

A

RÉFRACTOMÈTRE

peuvent aussi être mesurées par machine à biochimie!

How well did you know this?
1
Not at all
2
3
4
5
Perfectly
16
Q

nommer des cellules (4) que nous pouvons observer lorsque nous avons une lésions inflammatoire.

nommer des causes étiologiques

A
  1. neutrophiles
  2. macrophages
  3. lymphocytes, plasmocytes
  4. éosinophiles

agents infectieux, CE, cellules tumorales

How well did you know this?
1
Not at all
2
3
4
5
Perfectly
17
Q

à partir de quel % de neutrophiles nous parlons d’inflammation suppurative?

A

> 80-85%

peut y avoir macrophages, lymphocytes, plasmocytes

How well did you know this?
1
Not at all
2
3
4
5
Perfectly
18
Q

La présence de neutrophiles ++ suggère une inflammation …

A

SEPTIQUE

confirmer avec tests supplémentaires (bactério) ou visualisation MO !

How well did you know this?
1
Not at all
2
3
4
5
Perfectly
19
Q

cytologie avec 50-80% neutrophiles et 20-50% macrophages

caractériser l’inflammation

A

inflammation PYOGRANULOMATEUSE

avec quelques cellules mononucléées (lymphocytes, plasmocytes)

How well did you know this?
1
Not at all
2
3
4
5
Perfectly
20
Q

nommer cette cellule

dans quels types d'inflammation elle peut être retrouvée ?
A

cellule géante multinucléée

inflammation granulomateuse, pyogranulomateuse.

How well did you know this?
1
Not at all
2
3
4
5
Perfectly
21
Q

à partir de quelle proportion (%) de macrophages nous pouvons caractériser l’inflammation de granulomateuse ?

A

50%

How well did you know this?
1
Not at all
2
3
4
5
Perfectly
22
Q

caractériser l’inflammation

nommer une TUMEUR qui va causer ce type d'inflammation
A

inflammation éosiniphilique = >10-30% d’éosinophiles.

PENSER À UN MASTOCYTOME - dégranulation des mastocytes (histamine)

How well did you know this?
1
Not at all
2
3
4
5
Perfectly
23
Q

nous évaluons une lame cytologique et nous voyons :

des cellules en amas.
certaines sont rondes, d’autres cubiques ou cylindriques.

nous pensons à quelle origine cellulaire ?

A

origine ÉPITHÉLIALE

How well did you know this?
1
Not at all
2
3
4
5
Perfectly
24
Q

nommer 2 types cellulaires qui nous oriente vers une origine mésenchymateuse.

A
  1. cellules rondes individuelles
  2. cellules fusiformes à étoilées individuelles ou en amas lâches.
How well did you know this?
1
Not at all
2
3
4
5
Perfectly
25
une cellule **pigmentée** nous oriente vers une origine...
MÉLANOCYTAIRE *épidermo-mésenchymateuse* | sont rondes, individuelles ou en amas lâches
26
nommer le terme utilisé pour décrire _tumeur maligne_ épithéliale ? mésenchymateuse ?
**épithéliale**: carcinome **mésenchymateuse**: sarcome
27
décrire les différents **critères de malignité** présents sur la lame
1. macrocytose - grosses cellules 2. pléomorphisme cellulaire et anisocytose 3. multinucléation - *certaines cellules ont 2 noyaux!* ## Footnote CRITÈRES DE MALIGNITÉ : **1. GÉNÉRAUX**: anisocytose (*cellules de différentes taille*) , macrocytose, pléomorphisme cellulaire (*différentes formes*), entassement cellulaire. **2. CYTOPLASMIQUE**: augmentation de la basophilie, vacuolisation anormale. **3. NUCLÉAIRES**: anisocaryose (*noyaux de différentes tailles*), ratio N:C augmenté, macrocryose, chromatine agglomérée, mitoses anormales, nucléoles multiples, multinucléation.
28
à partir de combien de _critères cytologiques_ nous pouvons distinguer un processus malin de bénin ?
**3!!** et nécessite qu'ils soient présents dans la majorité des cellules examinées.
29
nommer **2** lésions cellulaires qui ont une apparence uniforme alors qu'elles peuvent être _malignes_.
**1.** adénocarcinome thyroïdien (*chien*) **2.** adénocarcinome des glandes apocrine des sacs anaux. | très peu d'atypie cellulaire (peu de critères de malignité) mais MALIN
30
nommer des **causes (5)** d'inflammation _neutrophilique_.
1. TRAUMA 2. irritation 3. **agent infectieux** 4. nécrose 5. médiation immunitaire (MI)
31
nommer l'élément pointé:
**cristaux d'hématoïdine** indicatif de saignements _chroniques_
32
nommer le **type d'inflammation** | nommer des causes
inflammation MACROPHAGIQUE (*avec présence de neutrophiles*) - _pyogranulomateuse_. | les macrophages ont des GROS noyaux, très vacuolés. ## Footnote CAUSES: 1. **AGENTS INFECTIEUX**: PIF 2. corps étrangers 3. irritation _CHRONIQUE_
33
une inflammation _lymphocytaire ou lymphoplasmocytaire_ est indicatif d'une condition **chronique** ou **aigüe**?
CHRONIQUE ## Footnote _autres causes_: réaction vaccinale, histiocytome cutané en régression, infection virale, réaction à une piqûre d'insecte.
34
nommer deux types d'**inflammation** possible d'être vus en cytologie suite à une _rxt à une piqûre d'insecte_
1. **éosinophilique** 2. lymphocytaire ou lymphoplasmocytaire ## Footnote _autres causes d'**inflammation éosinophilique**_: granulome éosinophilique, MI, infection PARASITAIRE ou FONGIQUE.
35
dxt ? :
_PANNICULITE NODULAIRE_ inflammation dans le **gras sous-cutané** - *apparence cytologique similaire à celle d'un CE*. _causes_: trauma, injection, CE, MI, rxt médicamenteuse, déficits nutritionnels, idiopathique. | DXT DIFF. : LIPOSARCOME
36
nommer les _grosses cellules visibles_ dans cette cytologie. DXT ?
ce sont des **kératinocytes acantolytiques** PEMPHIGUS FOLIACÉ | maladie à MI contre les jxt cellulaires - lésions suppuratives N !!
37
nommer **2** conditions causant des lésions inflammatoires INFECTIEUSES.
1. **abcès ou infection bactérienne** 2. **infecton fongique**
38
nommer les _structures_ entourées en blanc.
ce sont des **hyphes** (*Aspergillose*) ne colorent pas à la cytologie! | pour les mettre en évidence = coloration spéciale au **PAS**.
39
nommer **deux** lésions NON inflammatoire et NON tumorales.
1. _kyste folliculaire_ 2. _sialocèle_
40
nommer les _2_ structures pointées. **dxt cytologique**?
KYSTE FOLLICULAIRE abcense de c. inflammatoires *+++ de c. épithéliales pavimenteuses kératinisées anucléées*
41
vous faites une cytologie et vous voyer un matériel bleuté amorphe. **dxt ?**
caractéristique d'un _sialocèle_ | peut y avoir rarement des macrophages!
42
vous faites une cytologie et suite à la coloration de la lame, apparence **_crayeuse_ et bleutée**. dxt principal ?
*CALCINOSIS* calcinose cutanée | sur la lame, peu de cellules, souvent N-inflammatoire.
43
décrire les deux types de *calcinosis* - causes de chacune ?
(1) ***Calcinosis cutis***: calcification diffuse et étendus. _causes_: corticostéroïdes endo/exo. (2) ***Calcinosis circumscripta***: lésion FOCALE et unique. _causes_: trauma chronique, iodiopathique.
44
nommer les **5 lésions** tumorales BÉNIGNES d'origine _épithéliale_.
1. tumeurs bénignes de l'épithélium pavimenteux; 2. tumeurs d'origine _folliculaire_; 3. adénome/épithéliome sébacé; 4. tumeurs basaloïdes. 5. **adénome des glandes périanales**
45
nous voyons un grande majorté de ces cellules sur une lame. _dxt ?_
ce sont des cellules sébacées (*cytoplasme spumeux, rempli de vacuoles, petit noyau dense*) - **adénome sébacé** | pas de présence d'atypie cellulaire - lésion tumorale bénigne! ## Footnote dxt différentiel : hyperplasie sébacée.
46
DXT ?
ÉPITHÉLIOME SÉBACÉ | tumeur considérée **maligne** de faible grade
47
décrire l'apparence cytologique d'une _tumeur basaloïde_
LAME FORTEMENT CELLULAIRES. nombreux amas de petites cellules cubiques d'apparence basaloïde, souvent disposées en **rangées**.
48
nommer la cellule pointée: | dxt ?
**CELLULE FANTÔME** ce sont des _kératinocytes anucléés_ avec des empreinte nucléaires claire. | pilomatricome - tumeur épithéliale bénigne.
49
nous faisons une cytologie d'une masse et observons ces cellules: | DXT ?
**adénome des glandes périanales** | parfois difficile de diff. avec adénocarcinome bien différencié ## Footnote il faut confirmer le caractère bénin en histopathologie ! autre dxt différentiel: hyperplasie des glandes péri-anales.
50
nommer _2 lésions tumorales malignes_ d'origine épithéliale.
(1) **carcinome spinocellulaire**: tumeur M de l'épithélium pavimenteux de la peau/muqueuses. (2) **adénocarcinome des glandes apocrines des sacs anaux**
51
tumeur maligne ou bénigne ?
MALIGNE - _carcinome spinocellulaire_ nous voyons des amas de cellules épithéliales (pavimenteuses) qui présence des **critères de malignité**
52
**V/F** : le carcinome spinocellulaire est souvent accompagné d'une inflammation _neutrophilique_
vrai !
53
décrire les cellules à la cytologie lors d'_adénocarcinome des glandes apocrine des sacs anaux_
petites cellules en amas denses. **PEU D'ATYPIE CELLULAIRE**
54
**V/F** : un adénome des glandes apocrine des sacs anaux fait parti du dxt diff. d'un adénocarcinome.
**FAUX** - pas possible que ce soit un adénome. | _les dxt différentiel_ sont: impaction et sacculite des glandes.
55
nommer une lésion tumorale BÉNIGNE d'origine _mésenchymateuse_ | fréquent chez quelle espèce ?
**LIPOME** | fréquent +++ chez le chien ## Footnote autres lésions tumorales bénigne d'origine mésenchymateuse: *fibrome, hémangiome*.
56
dxt? | décrire les cellules sur la cytologie
LIPOME cytologies souvent peut cellulaires, arrière-plan lipidique avant fixation/coloration. présence d'adipocytes ++++ avec storms parfois présent: capillaires, c. fusiformes, collagène.
57
nommer les tumeurs (6) que nous qualifions de **sarcome des tissus mous** | pourquoi nous les regroupons ?
1. tumeur de la gaine nerveuse - *sauf du plexus brachial* 2. fibrosarcome 3. tumeur périvasculaire 4. myxosarcome 5. liposarcome 6. sarcome indifférencié | puisqu'ils ont un traitement, comportement, pronostic semblable
58
quelle origine cellulaire ?
**mésenchymateuse** tumeur périvasculaire du chien
59
cytologie avec apparence _rosée_ et granulaire en arrière plan. dxt ?
**FIBROSARCOME** cellules rondes/_fusiformes_ individuelles ou en amas lâches.
60
dxt ?
_MYXOSARCOME_ - origine mésenchymateuse *tumeur des fibroblastes* ## Footnote matrice riche en **mucine**, cause alignement cellulaire dans le sens de l'étalement des cellules.
61
comment différencier _liposarcome_ et _lipome_ sur une lame cytologique ?
cellularité de la lame et présene de critères de malignité (*anisocytose, anisocaryose, mitose, multinucléation*)
62
nommer les _cellules pointées_ | dans quelle condition peut-on la retrouver ?
cellules **plasmacytoïdes** (*ostéoblastes*) ce sont des cellules rondes, avec noyau excentrique = ressemble à des PLASMOCYTES.
63
nommer une **coloration spéciale** utilisée pour confirmer l'origine osseuse.
coloration _NBT/BCIP_ fixe la phosphatase alcaline - les cellules prennent une coloration **brunâtre**
64
nommer les **5 tumeurs** des cellules _rondes_
1. lymphome 2. mastocytome 3. histiocytome cutané 4. plasmocytome 5. tumeur vénérienne transmissible ## Footnote comprend aussi les tumeurs É/M avec cellules parfois d'appence ronde: *tumeurs épithéliales embryonnaires et sarcomes peu diffénrenciés, certains ostéosarcomes*.
65
vous faites une lame d'une masse sur un oreille d'un chien : _dxt probable_ ?
HISTIOCYTOME CUTANÉ tumeur bénigne | croissance rapide et régression spontannée
66
décrire les deux phases d'un _histiocytome cutané_
**1.** croissance **2.** régression : infiltration de lymphocytes qui peut être visible à la cytologie.
67
décrires les caractéristiques particulières d'un **mastocytome** à la cytologie
cellules avec cytoplasme _granulaire_!
68
caractéristiques de ces cellules ? **dxt le plus probable?**
PLASMOCYTOME ce sont des cellules rondes avec un noyau excentrique | cytoplasme lég. basophile avec une pâleur à côté du noyau
69
décrire la _sévérité_ des tumeurs des mélanocytes
**sévérité selon la localisation**: _cutanés_: souvent bénins _oraux, lèvres_: souvent _malins_ | pour ORAUX, en absence de malignité à la cyto, _confirmer en histopath_.
70
caractérisitique principale d'un **mélanocytome** à la cytologie ?
présence de granules _noirâtres_ dans le cytoplasme.
71
nommer la population cellulaire principale à la cytologie d'un noeud lymphatique | décrire ses caractéristiques
lymphocytes de **petite taille** ## Footnote _caractéristiques_: 1. TAILLE: 1 à 1.5 globule ROUGE 2. **faible quantité de cytoplasme** 3. chromatine sombre 4. aucun nucléole 5. _noyau ROND, à parfois clivé_
72
nommer la cellule pointée:
lymphocytes _intermédiaires à grands_ TAILLE: 2 à 2.5 GRs *les grands peuvent atteindre 3 GRs de diamètre!* ## Footnote _caractéristiques_: 1. cytoplasme basophile plus visible que les petits lymphocytes ! 2. chromatine CLAIRE, finement granulaire 3. nucléoles visibles, parfois proéminent, _parfois multiples_.
73
décrire les caractéristiques à la cytologie d'un **plasmocyte**.
NOYAU ROND EXCENTRIQUE noyau de la taille d'1 à 2 GR. *cytoplasme basophile avec région claire, contenant parfois des vacuoles = **corps de Russell***
74
nommer la cellule pointée
**cellule de MOTT (plasmocyte)** remplies d'immunoglobulines
75
nommer ces cellules
**PLASMOCYTES - cellules enflammées** ce sont des plasmocytes très actifs! | peuvent être présentes en petites qté en temps N - ici, anormal.
76
à quoi ressemblent des _corps lymphoglandulaires_ ? | indique quoi lorsqu'il sont présents en grandes qté ?
ce sont des débris cellulaires, _fragments de cytoplasme_ de lymphocytes | indique **prolifération lymphoïde réactionnelle ou néoplasique**
77
Nommer _4 causes de lymphadénomégalie_
1. **hyperplasie réactionnelle**: suite à stimulation antigénique (*ex vx*) 2. **lymphadénite**: infiltration par des cellules inflammatoires 3. **néoplasie lymphoïde** et hématopoïétique 4. **métastases**: néoplasmes autres que les néoplasmes du syst. hématopoïétique.
78
quels types cellulaires (2) augmentent lors d'**hyperplasie lymphoïde réactionnelle**
augmentation proportion des _plasmocytes (> 5%)_ et _lymphocytes de grande taille (< 15%)_
79
# cytologie d'un noeud lymphatique: décrire la **lésion** | nommer des causes
_lymphadénite suppurative_ augmentation des NEUTROPHILES (+ de 5%) | infection, néoplasme, condition immunitaire, PIF ## Footnote **autres types de lymphadénite**: 1. _éosinophilique_: infection parasitaire, atopie, allergies, infections, syndrome hyperéosinophilique, changements paranéoplasiques. 2. _histiocytaire/pyogranulomateuse_: infections fongiques, mycobactériose, PIF, bartonella
80
nommer 3 raisons qui explique d'un dxt cytologique d'un lymphome est **difficile**
1. _cytologie de mauvaise qualité_ 2. lymphome de **faible grade**: population de petites cellules lymphoïdes 3. lymphome à grande cellule mais importante population résiduelle de c. lymphoïdes N non-néoplasiques (*équins*)
81
nommer des _tests supplémentaires_ que nous pouvons faire pour la confirmation d'un lymphome
1. **cytométrie en flux** 2. PARR 3. biopsie 4. immunohistochimie | permet de reconnaître UN SEUL type cellulaire en grand nombre
82
nommer les **3** procédures que nous effectuons sur un liquide d'effusion prélevé.
1. mesure des protéines 2. comptage des cellules totales 3. **évaluation cytologique**
83
nommer le tube dans lequel _nous conservons_ le liquide d'effusion | quelle est l'exception ?
EDTA **sauf pour le LCR (tube sec)** ## Footnote important de préparer rapidement des cytologies, sinon nous conservons à 4 degrés C. *nous pouvons en garder pour cultures et analyse biochimiques (tube sec)*
84
nommer les _3 classes de liquides_ et leurs caractéristiques :
**1.** Transsudat simple: pauvre en protéines (moins de 15), faible compte cellulaire. **2.** Transsudat modifié: riche en protéines (plus de 15), pauvre en cellules **3.** Exsudat (*septique ou non-septique*): riche en protéines (plus de 25) et riche en cellules (plus de 5)
85
nommer **4** causes possible de transsudat simple.
1. augmentation de la pression hydrostatique 2. **diminution de la pression oncotique** (*cause la + fréquente*) - albumine sanguine moins de 10 g/L 3. UROPÉRITOINE 4. surcharge en fluides
86
# nous prélevons un liquide d'effusion est c'est un transsudat simple: qu'elle est la prochaine étape ?
**vérifier albumine plasmatique** ## Footnote si _diminuée_: lié à pertes urinaires ou intestinales - vérifier si protéinurie avec R protéines-CRÉAT (plus de 0.5) (*syndrome néphrotique ?*) ou non (*entéropathies, insuffisance hépatique?*) si _N_: penser à UROPÉRITOINE - doser CRÉAT dans effusion.
87
nommer la **cause** de transsudat modifié (riche en protéines)
augmentation de la _pression hydrostatique_ en raison d'une **congestion veineuse** (foie, poumons) | ICC, hypertension porte postsinuoïdale, néoplasmes
88
la **présence d'une agent infectieux** dans le liquide d'effusion nous confirme la présence de quel type de liquide ?
EXSUDAT | augmentation perméabilité V par un processus inflammatoire
89
nommer des _causes (4)_ de la présence d'un exsudat dans une cavité
1. infection bactériennes 2. nécrose tissulaire/ischémie (**néoplasmes, pancréatite**) 3. PIF 4. CE
90
# cytologie d'un liquide d'effusion thoracique : caractériser la lésion
EXSUDAT PURULENT (neutrophiles, macrophages) **pyothorax non septique** | inflammation liée à la présence de baryum
91
nommer le **type de liquide** typiquement retrouvé lors de _PIF_
TRANSSUDAT MODIFIÉ compte cellulaire variable **protéines totales élevées** (plus de 40-45 g/L)
92
# cytologie effusion abdo chez un chat: dxt le plus probable ?
**PIF** présence de neutrophiles (*semblent repliés sur eux-mêmes*) et macrophages. _dxt différentiel_: péritonite bactérienne | liquide très visqueux !
93
décrire ce que l'on voit à la cytologie lors de **péritonite biliaire** | causes de péritonite biliaire ?
**EXSUDAT suppuratif** présence de pigments jaunes-verdâtres libres et phagocytés
94
définir mucocèle biliaire (*hyperplasie kystique mucineuse*) | conséquences ?
condition secondaire à une inflammation ou cholelithiase. peut causer une _péritonite biliaire atypique_
95
qu'est-ce que le matériel amorphe que nous voyons à la cytologie ? _dxt ?_
BILE BLANCHE/MUCINE **péritonite biliaire** | exsudat avec présence de neutrophiles et quelques macrophages ## Footnote nous pouvons doser les bilirubines ; souvent [] supérieure dans effusion que dans le sang. effusion lorsque prélevée est _jaune à rouge_
96
comment confirme-t-on la présence d'un uropéritoine ?
**ratio [CRÉAT]effusion/[CRÉAT]sang qui est SUPP à 2** ## Footnote apparence à la cytologie: faible [] en protéines, cellularité variable (*parfois élevée en raison de l'inflammation, souvent cellules mononucléaires*)
97
# cytologie d'une effusion thoracique chez un chat: dxt le plus probable ? | quel test pouvons-nous faire pour confirmer ?
CHYLOTHRAX liquide laiteux riche en triglycérides | test : dosage des triglycérides (plus de 1.1 mmol/L)
98
nommer des _causes (4)_ de chylothorax
1. **maladie cardiaque (chat!)** 2. néoplasme 3. dirofilariose 4. idiopathique