D Flashcards

(31 cards)

1
Q

Escala de Gasglow (3)

A

Resposta Visual
Linguagem
Resposta Motora

How well did you know this?
1
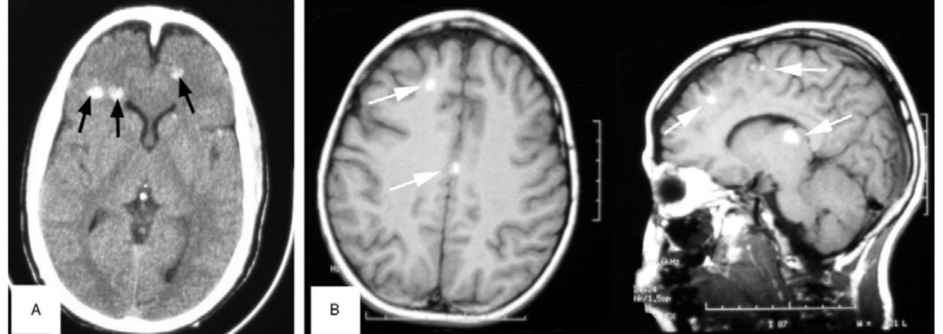
Not at all
2
3
4
5
Perfectly
2
Q

Escala de Gasglow - pontuação TCE

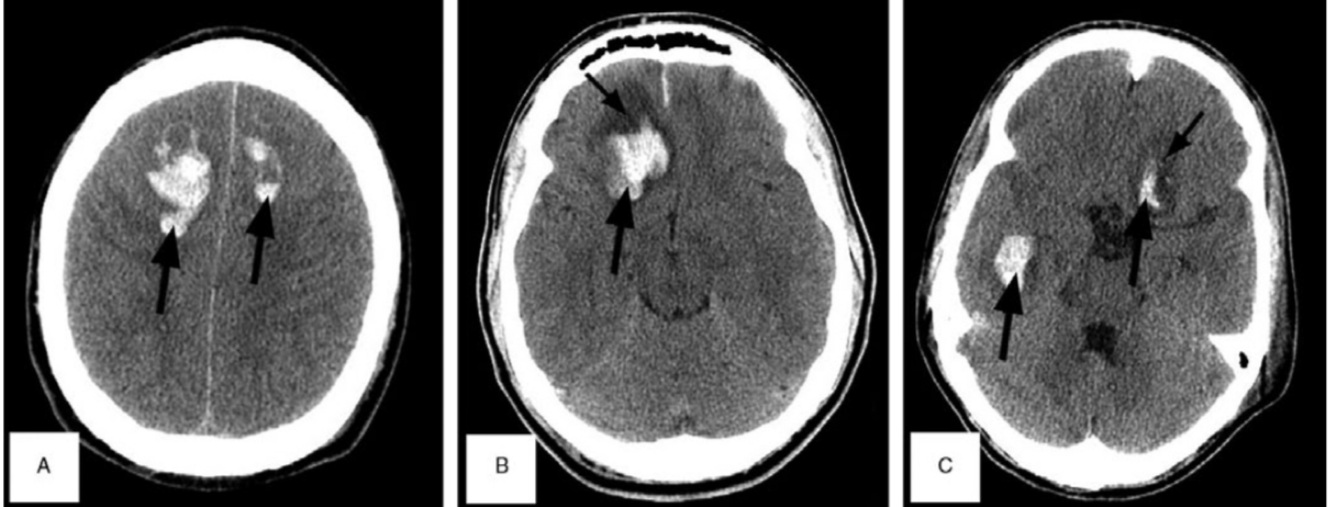
A

Leve: 13-15
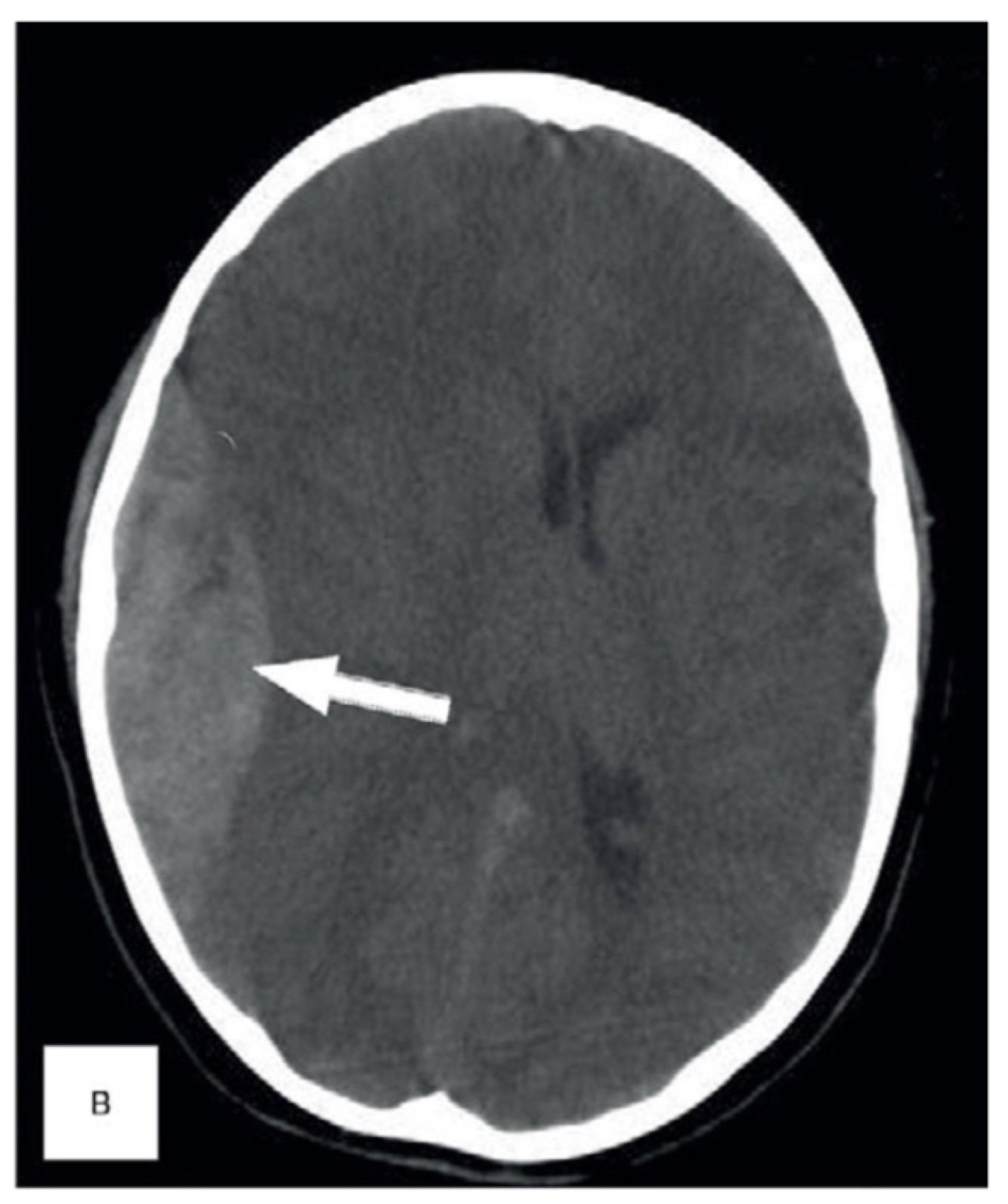
Moderado: 9-13
Grave: <9

How well did you know this?
1
Not at all
2
3
4
5
Perfectly
3
Q

Nome dos hematomas cranianos

A

-Galo
-Epidural (entre o crânio e a dura mater)
-Subdural (entre a dura matér e a aracnóide)
-Subaracnoide (entre a aracnóide e a dura mater)
-Axonal difusa
-Intraventricular
-Intraparenquimatoso

How well did you know this?
1
Not at all
2
3
4
5
Perfectly
4
Q

Tríade de Cushing

A
  1. Hipertensão - por auto regulação do corpo para haver mais fluxo de oxigênio para o cérebro.
  2. Bradpneia
  3. Bradicardia - ambos por compressão bulbar pela herniação tonsilar
How well did you know this?
1
Not at all
2
3
4
5
Perfectly
5
Q

D

A
How well did you know this?
1
Not at all
2
3
4
5
Perfectly
6
Q

Sintomas de hipertensão craniana

A

Anisocoria
Hemiplegia
Rebaixamento do sensório
Náuseas e vômitos

How well did you know this?
1
Not at all
2
3
4
5
Perfectly
7
Q

Hipertensão Craniana - medidas

A

1) Elevar a cabeceira 3 a 40 graus.
2) Manitol
-dose de 1g por kg (20% em frasco de 100ml, ou seja 20g)
Ou seja, 60 kilos 3 frasco.
-infusão rápida, em torno de 5 min.
-não usar em pacientes hipotensos já que aumenta a hipoperfusão cerebral por ser um diurético osmótico.

Rapidamente faz uma tomografia e chamar um neurocirurgião.

How well did you know this?
1
Not at all
2
3
4
5
Perfectly
8
Q

Reposição violência em pacientes com TCE e de coluna

A
  • Preferir ringer lactato e soro fisiológico.
  • Evitar soluções glicosadas (picos glicêmicos pioram muito prognósticos de lesão cerebral em um paciente com TCE).
  • Cuidado com hiper-hidratacao (fazer apenas me pacientes chocados com pressão baixa) - máximo 1 L.
How well did you know this?
1
Not at all
2
3
4
5
Perfectly
9
Q

Convulsão

A

Diazepam (abortivo de crise convulsiva)
Fenitoina (manutenção)

How well did you know this?
1
Not at all
2
3
4
5
Perfectly
10
Q

Convulsão

A

Está tendo - diazepam
Já teve - Fenitoína

How well did you know this?
1
Not at all
2
3
4
5
Perfectly
11
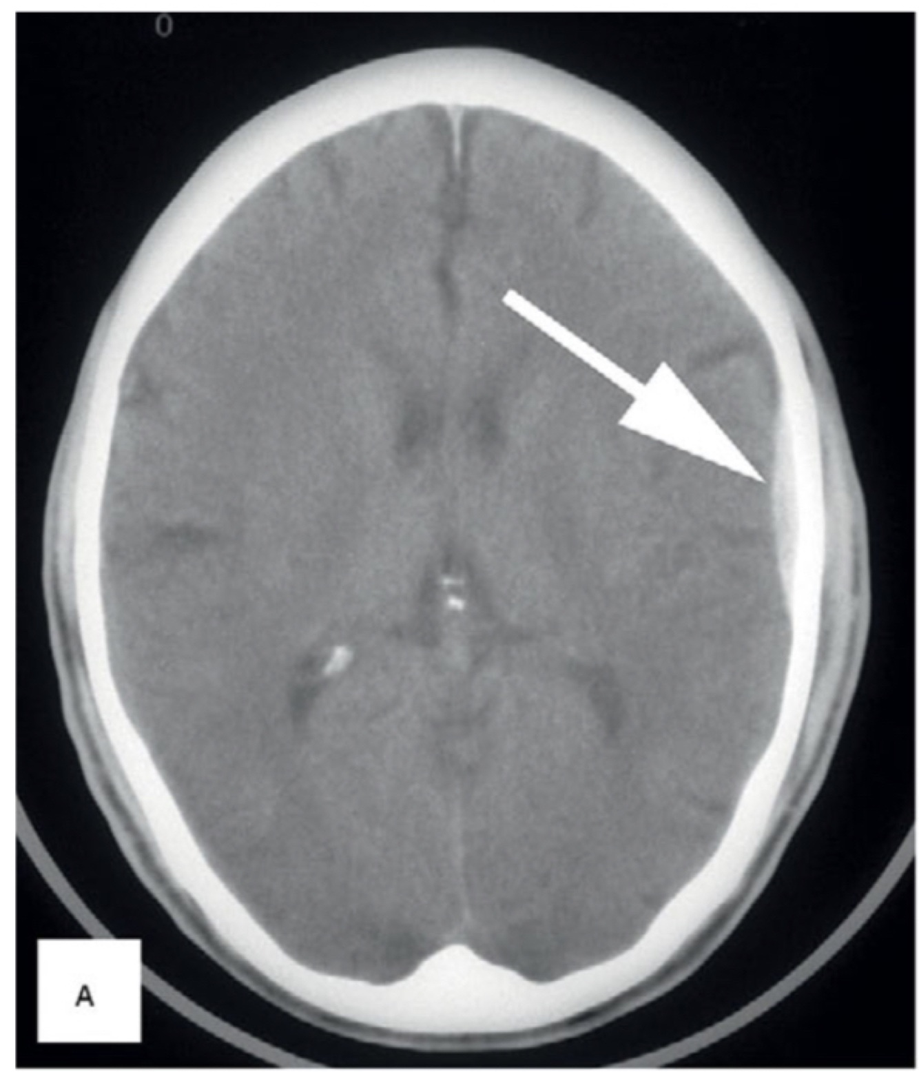
Q

Diagnóstico

A

Hematoma epidural

How well did you know this?
1
Not at all
2
3
4
5
Perfectly
12
Q

Diagnóstico

A

Hematoma subdural

How well did you know this?
1
Not at all
2
3
4
5
Perfectly
13
Q

Relação do Hematoma Subdural e Epidural com a dura mater:

A
How well did you know this?
1
Not at all
2
3
4
5
Perfectly
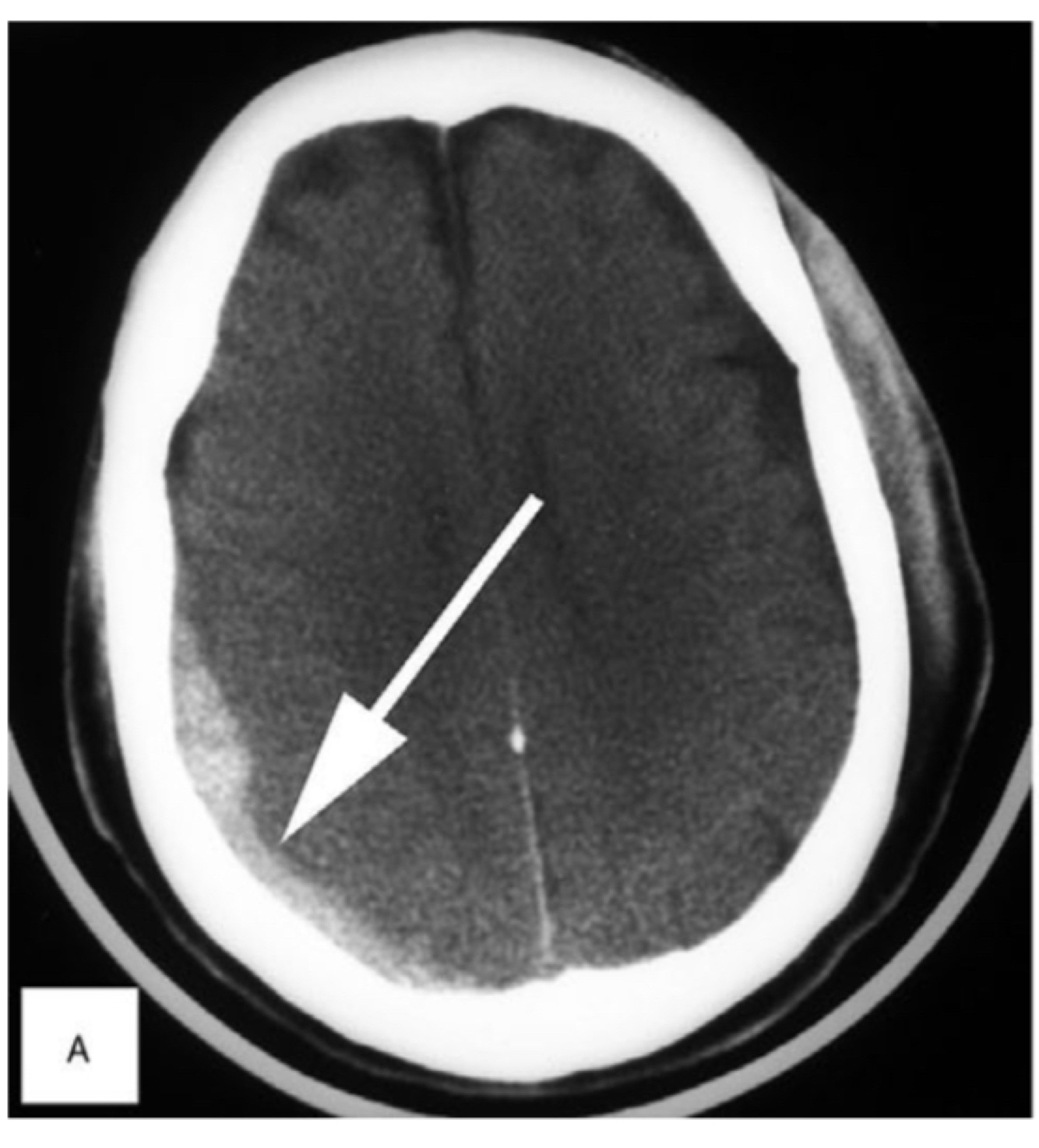
14
Q

Diagnóstico

A

Hematoma subdural

How well did you know this?
1
Not at all
2
3
4
5
Perfectly
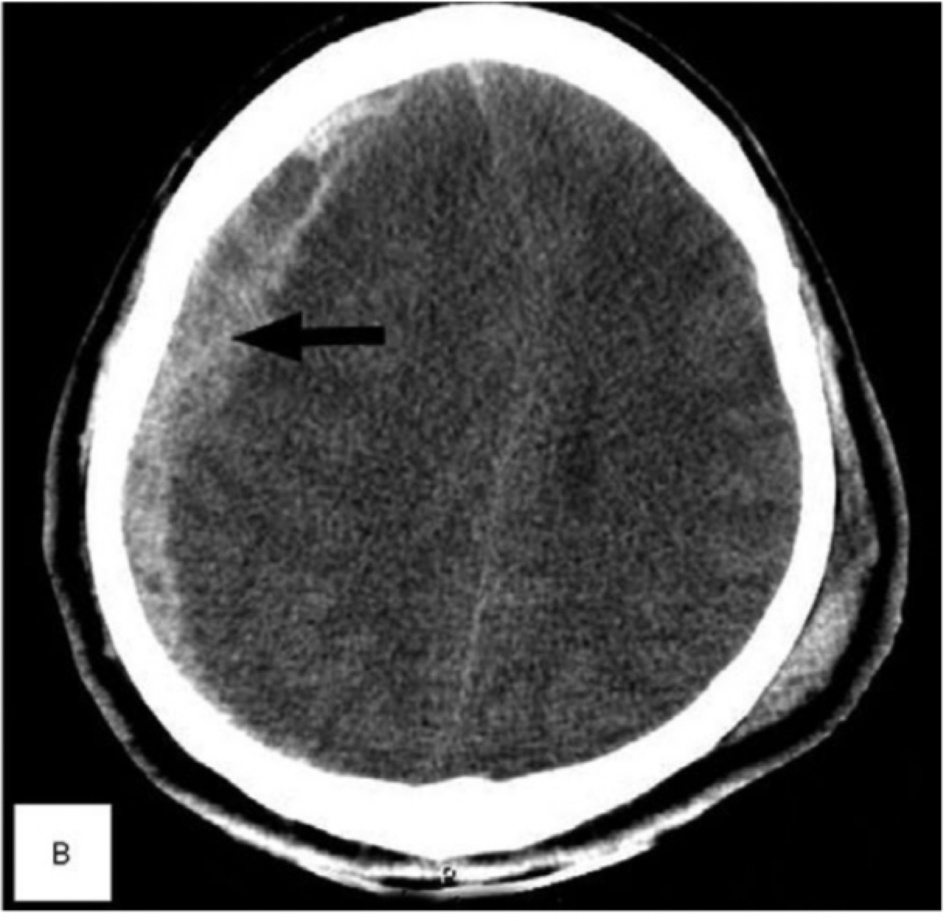
15
Q

Diagnóstico

A

Hematoma epidural

How well did you know this?
1
Not at all
2
3
4
5
Perfectly
16
Q

Diagnóstico

A

Hematoma subdural

17
Q

Diagnóstico

A

Hematoma intradural

18
Q

Diagnóstico

19
Q

Diagnóstico

20
Q

Sinal de qual herniação e hematoma

A

Subdural com desvio grande de mediastino

21
Q

Diagnóstico

22
Q

Qual hematoma e herniação:

A

Hematoma subdural
Herniação de úncus

23
Q

Indicativo de qual fratura

A

Pélvica ou ruptura da bexiga

24
Q

Indicativo de qual fratura

A

Ruptura de uretra - sangue no meato

25
Pontuação mínima e máxima da escala de coma de Gasglow
3 e 15
26
Resposta ocular (Gasglow)
4- Abre os olhos espontaneamente 3- Abre os olhos ao chamado 2- Abre os olhos ao estímulo doloroso 1- Não abre os olhos
27
Resposta motora (Gasglow)
6- Obedece a comandos 5- Localiza á dor (retira a mão do examinador ao estímulo doloroso) 4- Reflexo á dor (movimenta a área da dor) 3- Decorticação á dor, flexão anormal 2- Descerebração á dor, extensão anormal 1- Não obedece á estímulos dolorosos
28
Resposta verbal (Gasglow)
5- Responde adequadamente (orientado) 4- Respostas confusas 3- Palavras incompreensíveis 2- Barulhos inteligíveis 1- Não possui resposta verbal
29
Achado ao estímulo doloroso ?
Decorticação - flexão anormal
30
Achado ao estímulo doloroso ?
Descerebração - Extensão anormal
31
De quanto em quanto tempo se revê Gasglow?