DDQ Flashcards

(18 cards)

1
Q

Proporção de gênero na DDQ

A

Maior incidência no sexo feminino, com proporção de 4:1.

How well did you know this?
1
Not at all
2
3
4
5
Perfectly
2
Q

Lado mais comumente afetado

A

Primeiramente o esquerdo, seguido por bilateral. Menos comum e com pior prognóstico no lado direito.

How well did you know this?
1
Not at all
2
3
4
5
Perfectly
3
Q

Associações comuns com a DDQ

A

Associada com torcicolo congênito, pé metatarso aduto/varo, oligodrâmnio, e ser o primeiro filho.

How well did you know this?
1
Not at all
2
3
4
5
Perfectly
4
Q

Fatores etiológicos considerados para a DDQ

A

Laxidão ligamentar, posição intrauterina, e fatores genéticos.

How well did you know this?
1
Not at all
2
3
4
5
Perfectly
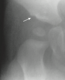
5
Q

Principal alteração radiográfica

A

Achado radiográfico com obliquidade aumentada e perda da concavidade acetabular.

How well did you know this?
1
Not at all
2
3
4
5
Perfectly
6
Q

Critérios para laxidão na DDQ

A

Incluem extensão passiva do polegar ao antebraço, hiperextensão ativa do cotovelo e joelho, e dorsiflexão do tornozelo.

How well did you know this?
1
Not at all
2
3
4
5
Perfectly
7
Q

Classificação por ultrassonografia

A

Utiliza-se a classificação de Graf, que varia de Classe I (quadril normal) a Classe IV (luxado).

How well did you know this?
1
Not at all
2
3
4
5
Perfectly
8
Q

Tratamento para neonatos com DDQ

A

Uso da órtese de Pavlik para manter o quadril em flexão e abdução.

How well did you know this?
1
Not at all
2
3
4
5
Perfectly
9
Q

Diagnóstico em crianças maiores de 1 ano

A

Através de exames de imagem, como radiografia, e testes clínicos específicos.

How well did you know this?
1
Not at all
2
3
4
5
Perfectly
10
Q

Complicações no tratamento da DDQ

A

Incluem redução inadequada, displasia residual do fêmur e do acetábulo, e necrose avascular da cabeça femoral.

How well did you know this?
1
Not at all
2
3
4
5
Perfectly
11
Q

Incidência da DDQ em recém-nascidos

A

Aproximadamente 1 a 1,5 casos por 1000 nascimentos.

How well did you know this?
1
Not at all
2
3
4
5
Perfectly
12
Q

Influência da apresentação pélvica no parto

A

A apresentação pélvica aumenta o risco de DDQ.

How well did you know this?
1
Not at all
2
3
4
5
Perfectly
13
Q

Eficácia da manobra de Ortolani

A

A manobra de Ortolani é altamente eficaz para detectar DDQ em recém-nascidos.

How well did you know this?
1
Not at all
2
3
4
5
Perfectly
14
Q

Alteração clínica observada em crianças não tratadas

A

Desenvolvimento de marcha anormal e claudicação.

How well did you know this?
1
Not at all
2
3
4
5
Perfectly
15
Q

Impacto no desenvolvimento motor

A

Pode atrasar o desenvolvimento motor, como atraso para andar.

How well did you know this?
1
Not at all
2
3
4
5
Perfectly
16
Q

Importância do diagnóstico precoce

A

O diagnóstico precoce é crucial para evitar cirurgias complexas e complicações a longo prazo.

17
Q

Relação com a displasia acetabular

A

A DDQ não tratada pode levar à displasia acetabular.

18
Q

Sinais radiográficos tardios

A

Desenvolvimento de osteoartrite e subluxação do quadril.