acantholysis
Loss of cell-cell adhesion

Acanthosis
Increase in thickness of epidermis

anaplasia
Atypical nuclei (size, shape, staining) and pleomorphism (variation in nuclear characteristics)

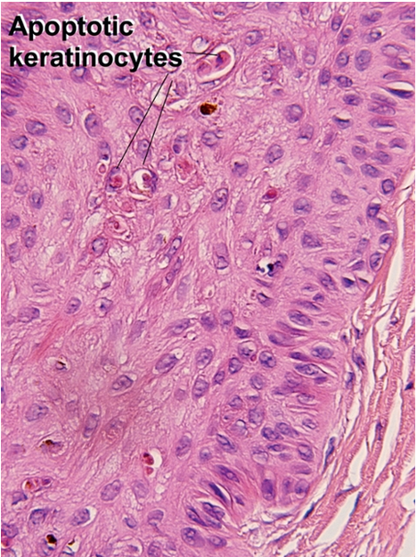
Apoptosis
“dead red” keratinocytes with pyknotic nuclei

arborizing
branching (rete; vasculature)
asteroid body

Atrophy
decrease in epidermal thickness
Ballooning degeneration
Destruction of epidermis by dissolution of cell attachments and intracellular edema (HSV)

Caterpillar body
Degenerated type IV collagen –> Pale pink linear BM material within epidermis (ex: PCT)
Civatte/colloid bodies
Pink, globular remnants of keratinocytes

Collagen entrapment
Collagen fibers surrounded by histiocytes/spindle cells (ex: dermatofibroma)

Cornoid lamellae
Parakeratosis in a column above hypogranulosis and pink dyskeratotic keratinocytes at base (ex: porokeratosis)

Corps ronds
rounded nucleus with halo of pink dyskeratotic cytoplasm (ex: Darier)

Grains
dark blue flattened nucleus surrounded by minimal cytoplasm (ex: Darier’s)

Dyskeratosis
abnormal, individual-cell keratinization
Cowdry / Lipschutz body
Pink intranuclear inclusions - Cowdry A: herpesvirus - Cowdry B: adenovirus, poliovirus
Crust
Serum/fluid with inflammatory cells/debris in stratum corneum
Donovan body
Intracytoplasmic collections of bacteria seen in granuloma inguinale
Dutcher body
Intracytoplasmic pink masses of immunoglobulin that invaginate into the nucleus of plasma cells, making them appear intranuclear
Effacement
Loss of normal rete pattern
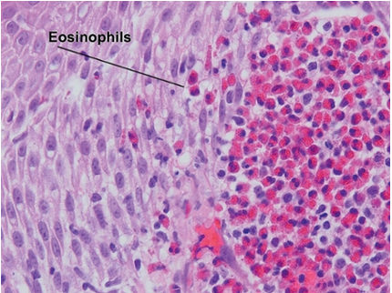
Eosinophilic spongiosis
Spongiosis with eosinophils in the epidermis

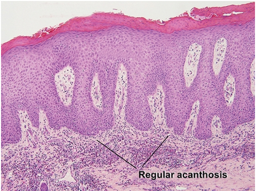
psoriasiform
regular acanthosis
pseudoepitheliomatous hyperplasia
irregular acanthosis

Epidermolytic hyperkeratosis
disruption of cell membranes –> coarse, irregular hypergranulosis
