What is a common theme of degenerative neuro disease?
protein aggregates that are resistant to degradation via the ubiquitin-proteasome system
histologically recognized as cellular inclusions
What is the MC type of AD?
sporadic late onset type
What are the three stages of AD?
What are the two main processes of AD?
this H&E stain shows…

senile plaques
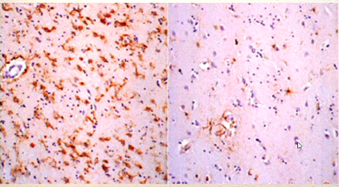
What are we looking at?

beta amyloid immunostain
What are we looking at?

neurofibrilary tangles - flame shape or globose tangles
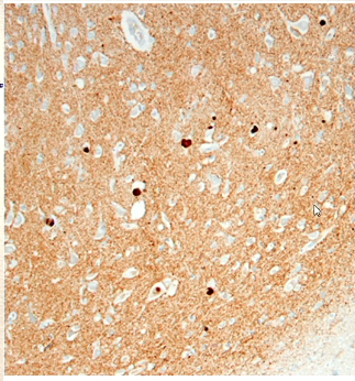
What are we looking at?

NFT on Bielschowsky stain, commonly found in cortical and other neurons
What is seen in about 90% of AD?
this increases the risk of infarcts and leukoencephalopathy
cerebral amyloid angiopathy
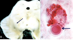
What is this called? What disease is it seen in?

walnut brain
Pick Disease
In AD, when there is compensatory ventricular enlargement after cortical atrophy, this is called…
hydrocephalus ex vacuo
What is the prototypical frontotemporal lobar degenerative tauopathy?
What are associations with it?
Pick Disease
‘knife-blade’ atrophy of frontal and temporal lobes (walnut brain), which may be asymmetrical
What do I see microscopically in Pick Disease?

The pathogenesis of PD is…
accumulation and aggregation of alpha synuclein
What is the diagnostic hallmark of PD?
What are they immunoreactive for?

Lewy bodies
ubiquitin and alpha-synuclein
combo PD and dementia
fluctuating attention and cognition, hallucinations
depression, sleep disorder, and autonomic dysfunction
Diffuse Lewy Body Disease (DLBD)
What are we looking at?

DLBD
What genetics go along with huntington’s disease?
autosomal dominant - 100% penetrance
HD gene on 4p16.3 encodes huntington protein
CAG repeat on first exon
higher number of repeats a/w earlier age of development
What do we see?

Left - gliosis of HD
right - normal brain
On gross morphology of HD, what do we see?
striking atrophy of the caudate nucleus and less so the putamen
small brain, dilation of ventricles
What is the MC form of inherited ataxia?
Friedreich Ataxia (FRDA)
How does FRDA begin and what is usually the cause of death?
begins in first decade of life with gait ataxia, followed by hand clumsiness and dysarthria
most people die of cardiomyopathy
beginning in early childhood and caused by neuronal degeneration, predominately in the cerebellum
a/w development of telangiectasias in the conjunctiva and skin, and immunodeficiency
Ataxia-telangiectasia
What is a big clue to dx ALS?
both upper and lower motor neuron ssx