Dementia Flashcards

(100 cards)

1
Q

Sabe-se que a Doença de Alzheimer progride conforme a idade, tendo uma prevalencia aproximada de____% em pacientes entre 65-74a e___% em pacientes com mais de 85 anos

A

5,3% entre 65-74a

32% > 85a

How well did you know this?
1
Not at all
2
3
4
5
Perfectly
2
Q

The accumulation of ________ and ____________ in
people who are not yet symptomatic marks the preclinical period of AD, a phase during which disease is measurable but clinical consequences are not.

A

amyloid-β plaques

neurofibrillary tangles (tau)

How well did you know this?
1
Not at all
2
3
4
5
Perfectly
3
Q

A disfunção neuronal no ___________ e na _______, areas desproporcionalmente acometidas pela DA pode sinalizar o início de preocupações sutis com o comportamento e a cognição em indivíduos de alto funcionamento

A

Hipocampo e amigdala

How well did you know this?
1
Not at all
2
3
4
5
Perfectly
4
Q

Qual o principal fator de risco para alzheimer?

A

Idade

How well did you know this?
1
Not at all
2
3
4
5
Perfectly
5
Q

Fatores de Risco modificaveis para Alzheimer (cite ao menos 4)

A

Educação < 10a
HAS / DM
Obesidade
Alcool
Depressão
Perda auditiva

How well did you know this?
1
Not at all
2
3
4
5
Perfectly
6
Q

Principal gene envolvido na DA de inicio tardio?

A

APOE4

How well did you know this?
1
Not at all
2
3
4
5
Perfectly
7
Q

Qual sindrome genetica esta relacionada ao Alzheimer precoce?

A

Down

How well did you know this?
1
Not at all
2
3
4
5
Perfectly
8
Q

genes envolvidos na DA precoce familiar(3)

A

APP
PSEN1 e PSEN2

How well did you know this?
1
Not at all
2
3
4
5
Perfectly
9
Q

Quando optar pela realização de teste genetico na DA? (3)

A

50% dos parentes acometidos em 2 ou + gerações
1 ou + parentes de primeiro grau com inicio precoce
Inicio antes dos 50a

How well did you know this?
1
Not at all
2
3
4
5
Perfectly
10
Q

Com qual idade considerar DA de inicio precoce?

A

< 65 anos

How well did you know this?
1
Not at all
2
3
4
5
Perfectly
11
Q

Qual utilidade do PET com FDG na DA?

A

diferenciar DA de degeneração lobar frontotemporal

How well did you know this?
1
Not at all
2
3
4
5
Perfectly
12
Q

Quando testar APOE4?

A

somente para estratificação de risco de pacientes que irão realizar anticorpo monoclonal contra proteina AB

How well did you know this?
1
Not at all
2
3
4
5
Perfectly
13
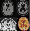
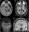
Q

Qual doença eh qual no PET?

A
How well did you know this?
1
Not at all
2
3
4
5
Perfectly
14
Q

Tabela das variantes da DA e seus cores clinicos:

A
How well did you know this?
1
Not at all
2
3
4
5
Perfectly
15
Q

Na variante disexecutiva da DA, o paciente tem prejuizo especialmente nas habilidade ______________, __________________ e______________

A

1- Memória de trabalho
2-Flexibilidade cognitiva (mudança de tarefas e pensamentos)
3- Inibição - controle de impulsos

How well did you know this?
1
Not at all
2
3
4
5
Perfectly
16
Q

Apesar do componente disexecutivo da variante DA, muitos pacientes comparecem ao consultório com queixas relacionadas à memória. V ou F?

A

Verdadeiro

How well did you know this?
1
Not at all
2
3
4
5
Perfectly
17
Q

As mudanças comportamentais nos pacientes com DA disexecutiva chamam a atenção por serem marcantes e primárias À apresentação do quadro clínico. V ou F:

A

FALSO
Geralmente são secundárias à sindrome disexecutiva

How well did you know this?
1
Not at all
2
3
4
5
Perfectly
18
Q

Pacientes com a variante disexecutiva da DA, costumam apresentar o hipocampo atrofiado desde o inicio. V ou F:

A

Falso, hipocampo pode estar normal

How well did you know this?
1
Not at all
2
3
4
5
Perfectly
19
Q

A função das regiões do ________________(estrutura neuroanatômica) relacionadas ao comportamento estão normalmente anormais nos pacientes com a variante comportamental da DA.

A

Lobo frontal medial

How well did you know this?
1
Not at all
2
3
4
5
Perfectly
20
Q

Numere cada uma das variantes de acordo com PET

A
How well did you know this?
1
Not at all
2
3
4
5
Perfectly
21
Q

Variante da doença de Alzheimer na qual o paciente relata problemas visuais, podendo ter componentes de Ballint ou Gertsmann:
Qual geralmente é a idade de inicio?

A

Posterior Cortical Atrophy
50-64 anos

How well did you know this?
1
Not at all
2
3
4
5
Perfectly
22
Q

Criterios diagnosticos da Posterior Cortical Atrophy (PCA) na DA:

A
How well did you know this?
1
Not at all
2
3
4
5
Perfectly
23
Q

Screening tools para Posterior Cortical Atrophy (PCA):

A
How well did you know this?
1
Not at all
2
3
4
5
Perfectly
24
Q

What is logopenic aphasia characterized by?

A

Loss of fluency due to word retrieval failures in spontaneous speech and commonly in naming, with relative sparing of grammar and word comprehension.

Current research criteria list repetition as a core required feature; however, reports of mild impairment question whether it is a better fit as an ancillary feature.

How well did you know this?
1
Not at all
2
3
4
5
Perfectly
25
What regions of the brain experience peak atrophy in logopenic aphasia?
Asymmetric atrophy in the language-dominant (usually left) hemisphere including the superior temporal gyrus and may extend to the temporoparietal junction. ## Footnote This atrophy is associated with the loss of fluency in spontaneous speech.
26
What characterizes agrammatic aphasia?
Impairments in grammar in language production, commonly accompanied by low fluency; single-word comprehension is relatively preserved. ## Footnote Naming, repetition, and comprehension of syntactically complex sentences may be impaired.
27
What is the primary area of atrophy in agrammatic aphasia?
Language-dominant inferior frontal gyrus. ## Footnote This area is critical for grammatical language production.
28
What defines semantic aphasia?
Impairment of single-word comprehension, with relatively preserved grammar and repetition. ## Footnote Peak atrophy occurs in the language-dominant anterior temporal lobe.
29
True or False: In logopenic aphasia, grammar and word comprehension are severely impaired.
False. ## Footnote Grammar and word comprehension are relatively spared in logopenic aphasia.
30
Fill in the blank: Peak atrophy in semantic aphasia is found in the _______.
language-dominant anterior temporal lobe. ## Footnote This atrophy correlates with impaired single-word comprehension.
31
Variante da DA caracterizada primariamente por disturbio de linguagem?
Afasia logopênica
32
Quais os 3 subtipos de afasia progressiva primária?
Logopênica, agramática, semântica
33
What are the primary neuropathologies associated with PPA?
AD neuropathologic change and frontotemporal lobar degeneration (FTLD) ## Footnote FTLD includes tauopathy (FTLD-tau) and TDP-43 proteinopathy (FTLD-TDP)
34
What is the primary cause of the agrammatic variant of PPA?
FTLD-tau ## Footnote Approximately 60% to 70% of agrammatic variant cases are caused by FTLD-tau
35
Which variant of PPA is most reliably linked to FTLD-TDP 43?
Semantic variant ## Footnote Approximately 80% of semantic variant cases are associated with FTLD-TDP
36
True or False: The semantic variant of PPA is linked to FTLD-tau.
False ## Footnote The semantic variant is linked to FTLD-TDP, not FTLD-tau.
37
What percentage of the agrammatic variant cases are associated with FTLD-tau?
60% to 70%
38
What percentage of logopenic variant cases are linked to AD neuropathologic change?
Approximately 70%
39
What type of proteinopathy is associated with FTLD-TDP?
TDP-43 proteinopathy
40
Na DFT, a idade de inicio geralmente é _________(antes/depois) dos 65 anos.
Antes
41
Quais os 3 cores clinicos da DFT? Qual das 3 e mais comum?
Comportamental Afasia Primaria Progressiva Semantica e Nao FLuente Comportamental e mais comum
42
Principais caracteristicas da variante nao fluente?
omissões gramaticas, fala dificil e hesitante, dificuldade na articulação da fala, compreende a palavra isolada e conhece os objetos
43
Principais caracteristicas da variavel semantica?
Perda da capacidade de compreensao da palvra, leitura irregular da palavra, não nomeia objetos, prosopagnosia e dislexia
44
Criterios diagnosticos da variavel comportamental
45
Variante logopenica caracteristicas:
Dificuldade em encontrar palavras e repetir frases longas.
46
Teste util para categorizar a PPA: | M
Mini Linguistic State Examination
47
___% dos paciente com DFT comportamental apresentam ELA e ____% dos pacientes com ELA apresentam DFT
15% % dos paciente com DFT comportamental apresentam ELA e 30% dos pacientes com ELA apresentam DFT
48
Quais os 3 tipos de patologia molecular da DFT?
TDP-43, MAPT e FUS
49
Qual das patologias moleculares da DFT apresentam maior overlap com DCB e PSP?
MAPT
50
Dentre as neurodegenerativas, qual a mais provavel?
DFT comportamental
51
Pensar em qual neurodegenerativa?
Afafia progressiva primaria (semantica ou nao fluente)
52
Atrofia do _________________ esta associado a um componente misto de variante comportamental e semantica da DFT
Lobo temporal Direito
53
Mais de 80% dos casos da variante semantica da DFT apresentam na analise anatomopatologica deposiçao de_____________
TDP-43 tipo C
54
Niveis do biomarcador de ___________ marcam a severidade da perda neuroaxonal nas doenças degenerativas e pode ser dosado no plasma ou no LCR. light chain mark the severity of neuroaxonal loss in neurodegenerative diseases and may be measured in plasma or CSF.
Neurofilamento de cadeia leve
55
Inibidores da acetilcolinesterase sao terapias de primeira linha na DFT. V ou F?
Falso, nao se usa pois pioram a parte comportamental
56
Principal linha de medicaçoes no tratamento da DFT comportamental?
ISRS
57
O que abrange o termo comprometimento cognitivo vascular?
Uma ampla gama de declínios cognitivos relacionados à doença cerebrovascular, incluindo desde formas leves até a demência vascular e demências de etiologia mista.
58
Quais são os subtipos do comprometimento cognitivo vascular grave?
* Demência pós-AVC * Demência vascular isquêmica subcortical * Demência multi-infarto (cortical) * Demências devido a patologias mistas
59
Qual é o impacto da doença cerebrovascular no comprometimento cognitivo?
Reduz o limiar para a manifestação do comprometimento cognitivo quando outras patologias estão presentes.
60
Qual é um dos principais fatores de risco para o comprometimento cognitivo vascular?
O AVC, ocorrendo em até 60% dos sobreviventes no primeiro ano.
61
Qual é a relação entre AVC e risco de demência?
O AVC dobra o risco de demência, sendo que o AVC hemorrágico confere um risco maior do que o AVC isquêmico.
62
Quais regiões estão mais associadas ao comprometimento cognitivo pós-AVC?
* Lobo frontotemporal esquerdo * Tálamo esquerdo * Lobo parietal direito
63
Onde ocorrem os infartos lacunares associados a uma pior função cognitiva?
Nos gânglios da base e no tálamo.
64
Quais são os fatores de risco associados à doença isquêmica de pequenos vasos?
* Hipertensão * Doenças cardiovasculares * Diabetes * Tabagismo
65
Quais domínios cognitivos são mais afetados pelas hiperintensidades da substância branca?
* Função executiva * Velocidade de processamento * Cognição global * Memória
66
Com quais condições os microinfartos cerebrais estão associados?
* Arteriolosclerose * Aterosclerose * Angiopatia amiloide cerebral (AAC)
67
O que caracteriza a angiopatia amiloide cerebral (AAC)?
Depósito de beta-amiloide 40 (Aβ40) nas paredes das arteríolas corticais, leptomeníngeas e pequenas artérias.
68
Quais lesões podem causar comprometimento cognitivo associado à AAC?
* Lesões focais * Danos de longo alcance nos tratos da substância branca
69
Quais são as manifestações clínicas da angiopatia amiloide inflamatória?
* Declínio cognitivo subagudo * Cefaleia * Déficits neurológicos focais * Convulsões
70
Quais são os critérios diagnósticos da angiopatia amiloide inflamatória?
* Idade ≥40 anos * Pelo menos uma manifestação clínica não atribuível a uma hemorragia intracerebral aguda * Achados em ressonância magnética de hiperintensidade em substancia branca * Presença de lesões hemorrágicas córtico-subcorticais (macro/micro bleeding, siderose cortical superficial etc)
71
Quais condições clinicas cardiacas estão associadas à maior comprometimento cognitivo? E de vasos extra-cranianos?
* Fibrilação atrial * Insuficiência cardíaca congestiva * Estenose carotídea de alto grau
72
Qual é o efeito do alargamento do espaço perivascular no comprometimento cognitivo?
É considerado um fator de risco para demência.
73
O Life’s Essential 8 é um conjunto de oito fatores-chave estabelecidos pela American Heart Association (AHA) para promover a saúde cardiovascular e cerebral, quais são as metas estabilizadas?
74
O que é LATE?
A encefalopatia limbico predominante relacionada à idade por proteína TDP-43 é uma causa de comprometimento amnéstico progressivo, principalmente em indivíduos acima de 75 anos. ## Footnote LATE é marcada pelo acúmulo anômalo e fosforilado da proteína TDP-43 predominantemente no sistema límbico.
75
Quais são os estágios da progressão neuropatológica da LATE?
Estágio 1: Afeta inicialmente a amígdala. Estágio 2: Envolve o hipocampo. Estágio 3: Alcança o neocórtex, incluindo o giro frontal médio. ## Footnote A esclerose hipocampal em idosos é geralmente resultado de doenças neurodegenerativas.
76
Quais são as características clínicas da LATE?
Apresentação semelhante à fase inicial da doença de Alzheimer, dificuldade em tarefas de aprendizagem verbal e memória, maior prevalência em indivíduos >75 anos, curso clínico mais longo e leve, déficits semânticos leves e ausência de sinais neocorticais proeminentes. ## Footnote Exemplos de déficits semânticos incluem dificuldade em recordar eventos históricos importantes.
77
Qual é a definição de PART?
A tauopatia primária relacionada à idade é caracterizada pela presença de emaranhados neurofibrilares formados por proteína tau, comum em indivíduos acima de 90-100 anos. ## Footnote PART não apresenta acúmulo de placas de beta-amiloide.
78
Quais são as características neuropatológicas da PART?
Acometimento do lobo temporal medial, sem acúmulo de placas de beta-amiloide, espectro clínico de indivíduos normais a amnésicos leves, severidade e distribuição dos emaranhados influenciam o risco de declínio cognitivo. ## Footnote O diagnóstico definitivo da PART é post-mortem.
79
Verdadeiro ou Falso: A LATE é mais comum em indivíduos com menos de 75 anos.
Falso ## Footnote A LATE é mais prevalente em indivíduos acima de 75 anos.
80
Preencha a lacuna: A LATE é marcada pelo acúmulo anômalo da proteína _______.
TDP-43 ## Footnote Essa proteína é predominantemente acumulada no sistema límbico.
81
Quais são os sintomas iniciais comuns da LATE?
Repetição de perguntas e esquecimento de conversas recentes ## Footnote Esses sintomas são semelhantes aos da fase inicial da doença de Alzheimer.
82
Qual é a diferença entre LATE e doença de Alzheimer em relação aos sinais neocorticais?
A LATE não apresenta sinais neocorticais proeminentes, como apraxia, que são comuns na doença de Alzheimer. ## Footnote Isso indica uma diferença no padrão de comprometimento cognitivo.
83
Quais são os domínios cognitivos com predileção na Demência por Corpúsculos de Lewy?
Executivo, flutuação na atenção, déficits visuoespaciais, déficit na memória ## Footnote A memória relacionada à recuperação da informação melhora após dicas e pistas, diferente do Alzheimer.
84
Qual a porcentagem de pacientes com DLB que apresentam alucinações?
Cerca de 30% ## Footnote Alucinações tendem a ser bem formadas e podem incluir fenômenos como phantom boarder e síndrome de Capgras.
85
O que é o fenômeno phantom boarder?
Os pacientes acreditam que há pessoas desconhecidas morando em sua casa, sem evidências reais dessa presença ## Footnote Essas 'pessoas' são percebidas de forma vaga ou detalhada, mas geralmente não podem ser vistas diretamente.
86
Quais são os principais genes relacionados à Demência por Corpúsculos de Lewy?
GBA, APOE, SCNA ## Footnote Esses genes estão associados ao desenvolvimento da doença.
87
O que pode ser observado na imagem PET Tau em pacientes com DLB?
Maior captação em giro temporal inferior e pré-cuneo ## Footnote Essa captação é um indicativo da patologia presente na DLB.
88
Quais biomarcadores podem ser dosados no LCR para DLB?
Alfa sinucleinopatia ## Footnote Esses biomarcadores podem ser vistos também na biópsia de pele.
89
Qual a concentração de alfa sinucleina no LCR de pacientes com DLB?
Menor concentração ## Footnote Isso pode ajudar no diagnóstico da doença.
90
Quais medicamentos são geralmente usados para déficits cognitivos na DLB?
Inibidores da acetilcolinesterase ## Footnote Esses medicamentos ajudam a melhorar a função cognitiva.
91
Quais medicamentos devem ser evitados em pacientes com DLB?
Tricíclicos, benzodiazepínicos e haloperidol ## Footnote Esses medicamentos podem piorar a parte cognitiva devido à maior sensibilidade dos pacientes.
92
Qual é o tratamento de primeira linha para as disfunções neuropsiquiátricas da DLB?
Quetiapina e clozapina ## Footnote Pode-se usar também risperidona e olanzapina.
93
Qual o tratamento recomendado para distúrbios comportamentais do sono REM?
Clonazepam em doses baixas e melatonina ## Footnote Esses tratamentos ajudam a controlar os sintomas do sono REM.
94
Os pacientes com DLB apresentam disfunção ________ proeminente.
autonômica ## Footnote Isso pode afetar diversas funções corporais e aumentar a complexidade do tratamento.
95
Qual distúrbio comportamental é frequentemente observado em pacientes com DLB?
Rem sleep behavior disorder ## Footnote Esse distúrbio pode causar comportamentos anormais durante o sono REM.
96
A variante disexecutiva da DA geralmente tem inicio na idade mais_________(precoce/tardia)
Precoce
97
Variante temporal Direita da DFT, qual as 3 caracteristicas principais?
Amnésia anterógrada Prosopagnosia Comportamental
98
Afasias Progressivas Primarias, resumo das caracteristicas de cada uma:
99
Observe a imagem e correlacione a cor com o tipo de APP(agramática, semantica ou logopenica
agramática: vermelho logopenica: roxo semantica: verde
100
Correlacione as colunas de numeros e letras correspondentes: 1- Variante Agramática 2- Variante Semântica 3- Variante logopenica A- proteina beta amiloide, DA B- Taupatia, PSP e SCB, DFT comportamental C- TDP-43, DFT comportamental
1-B 2-C 3-A