Individuals with this sensory-related condition are frequently misdiagnosed as having dementia?
______________ is the deterioration of cognition across multiple cognitive domains.
Dementia
Dementia usually consists of decline in two or more cognitive domains. What are the cognitive domains?
Dementias are often broadly categorized as _____________ or ____________.
Cortical or subcortical
What are the characteristics of cortical dementia?
What are two examples of cortical dementias?
Which lobe of the brain processes most forms of memory?
What lobe primarily deals with vision?
Occipital
What lobe primarily deals with memory function?
Temporal
What lobe primarily deals with personality and planning?
Frontal
What lobe primarily deals with spatial orientation, math, and calculation abilities?
Parietal
What lobes are effected in Alzheimer’s disease and what are the deficits that usually occur?
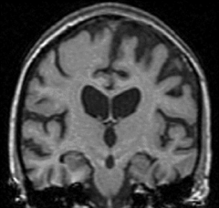
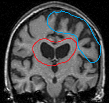
What are the abnormalities on the following MRI image? What disease does the patient most likely have?

These findings are common in Alzheimer’s disease patients.

What is the PET scan finding representative of Alzheimer’s dementia?

The most common frontotemporal dementia is _______________.
Pick’s disease
How do patients with frontotemporal dementia usually presnet? What type of histological findings are seen upon autopsy?
What type of dementias are characterized by deficits in the basal ganglia, causing early motor and speech difficulties?
Subcortical
What are four examples of subcortical dementias?
What subcortical dementia is commonly associated with Parkinson’s disease?
Lewy Body dementia (about 25% of dementia cases)
What lobes are commonly affected in Lewy Body dementia and what are the deficits seen?
_______________ is the second most common type of dementia and is often confused with Alzheimer’s.
Vascular dementia
What are the characteristics of Vascular Dementia?
(T/F) Vascular dementia losses are irreversible, but treating vascular risk factors can slow progression.
True.
Normal pressure hydrocephalus (NPH) may also be a cause of dementia. What is the classic triad of symptoms for NPH?
NPH = DIG