List seven signs of dental disease.
1) Dropping feed
2) Packing feed in cheeks
3) Abnormal chewing pattern
4) Moving jaw and tongue abnormally
5) Abnormal smell
6) Excessive salivation
7) None! Horse worried if show signs of pain, the herd will kick them out - through them to the lions and the herd can go in another direction.
Why do the teeth look like this and how to treat?

‘Hanging teeth’
Why do the teeth look like this and how to treat?

Chewing on one side of the mouth. Could be only one tooth is sore, so chews on the other side.
Why do the teeth look like this and how to treat?

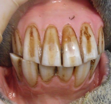
Why do the incisors look like this and how to treat?

DON’T cut the teeth down till they’re level because there is pulp and blood vessels in them.
DO reduce slightly with a diamond disk. A couple of months later, reduce it a bit more. The pulp continues to retract slowly as it senses when it is near to the top and lays down more dentene over the top.
Can change the mouth drastically provided it is done carefully and slowly.