Derm 1 Flashcards

(24 cards)

1
Q

Painful lumps/nodules on the shin with bilateral hilar lymphadenopathy → Ddx?

A

Sarcoidosis or TB

erythema nodosum alone → sarcoidosis, TB, streptococcal infection, IBD

How well did you know this?
1
Not at all
2
3
4
5
Perfectly
2
Q

What are these?

heliotrope rash on the eyes

on knuckles = Gottron’s papules

photodistributive disruption

A

dermatomyositis = AID

mx = immune suppression

MUST look for underlying malignancy as a paraneoplastic feature of malignancy

How well did you know this?
1
Not at all
2
3
4
5
Perfectly
3
Q

What are these?

A

Acne, psoriasis and eczema (going clockwise)

How well did you know this?
1
Not at all
2
3
4
5
Perfectly
4
Q

Ix and mx of Derm

A

laser

pathology

patch testing

dermatoscopye

cryotherapy

biopsy

How well did you know this?
1
Not at all
2
3
4
5
Perfectly
4
Q

Ix and mx of Derm

A

laser

pathology

patch testing

dermatoscopye

cryotherapy

biopsy

How well did you know this?
1
Not at all
2
3
4
5
Perfectly
5
Q

What is this?

A

onycholysis = pitting edge come off nail bed, yellow discolouration

Alopecia areata = circles of hair loss, complete hair loss, white regrowth

PSORIASIS

How well did you know this?
1
Not at all
2
3
4
5
Perfectly
6
Q
A

Macule

How well did you know this?
1
Not at all
2
3
4
5
Perfectly
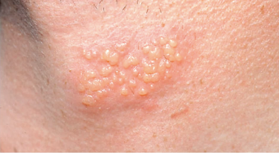
7
Q
A

vesicle

recurrent HSV

How well did you know this?
1
Not at all
2
3
4
5
Perfectly
8
Q

honey-coloured

A

Honey-coloured crust and slightly wet

IMPETIGO = caused by staph aureus (a lot in the nose)

How well did you know this?
1
Not at all
2
3
4
5
Perfectly
9
Q

lump less than .5 cm

A

papule

BASAL CELL CARCINOMA = not life-threatening as does not metastasise but can cause problems especially if near eye as local damage

pearly rolled-edge, telengiactasia

How well did you know this?
1
Not at all
2
3
4
5
Perfectly
10
Q

bigger than .5 cm

A

Patch

Cafe-au-lait patch

IF MORE THAN 5 → NEUROFIBROMATOSIS

How well did you know this?
1
Not at all
2
3
4
5
Perfectly
11
Q
A

Plaque = salmon coloured

Psoriasis

joint-pain/arthritis, onycholysis, alopecia

How well did you know this?
1
Not at all
2
3
4
5
Perfectly
12
Q
A

Ulcer

pyoderma gangrenosusm = IBD, rheumatoid arthritis, haematological malignancy (e.g. myeloma)

How well did you know this?
1
Not at all
2
3
4
5
Perfectly
13
Q
A

SCABIES = sudden onset itchy rash, other people around infected

burrow

How well did you know this?
1
Not at all
2
3
4
5
Perfectly
14
Q
A

Nodular cystic acne

How well did you know this?
1
Not at all
2
3
4
5
Perfectly
15
Q
A

Bullous pemphigoid

16
Q
A

Pustule

Staph aureus cutaneous infection

diabetes can predispose you to frequency cutaneous infection

17
Q

Scaly on arm, multiple red scaly eruptions

put steroids (worked initially but then got bad)

A

ringworm, cutaneous dermatophyte infection, tinea corporis

STEROIDS DON’T WORK (steroids are immunosuppressive, so don’t help any infections)

18
Q
A

Pitoriasis Rosea = Christmas tree distribution

response to viral infection (e.g. HSV)

19
Q
A

pityriasis vesicolor or vitiligo (ask what is your normal skin)

caused by fungus

ix = skin scraping (spaghetti and meatballs)

20
Q

photo damage on skin

A

actinic keratoses

up to 10% can become squamous cell carcinoma (cancers of keratinocytes)

21
Q

flaky eyebrows, red face, dandruff in scalp, red rash on arms and legs

A

seborrhoeic dermatitis

discoid eczema

yeast infection (same yeast that causes pityriasis vesiculor)

scratchy → local staph can get inside and cause impetigo

check for underlying HIV infection

22
Q

well defined erythematous rash

wrinkling = atrophy on skin

scaling

A

mycoses fungoides, cutaneous T cell lymphoma

patch stage → plaque stage → tumour stage (Nodular)

23
Q

chest infection, given abx, rash developed, in trunks and upper arms, maculapapular appearance

A

drug rash

toxic epidermal necrolysis can happen next

tx = stop drug, supportive treatment with topical steroids and emollients