Derm Flashcards

(244 cards)

1
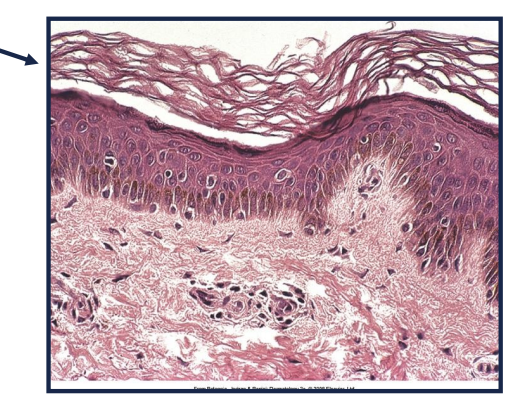
Q

ID the epidermis, dermis, and hypodermis

A
How well did you know this?
1
Not at all
2
3
4
5
Perfectly
2
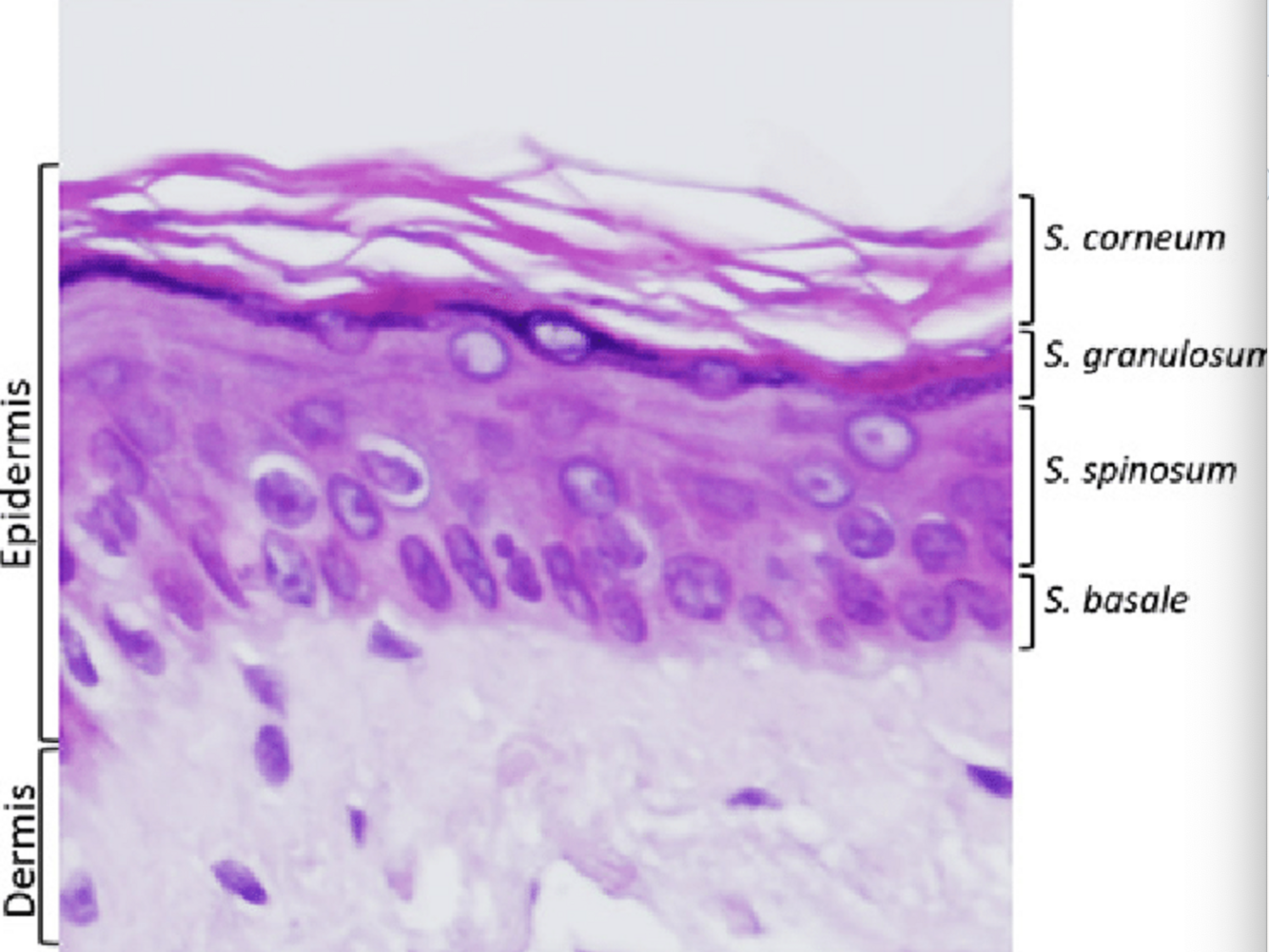
Q

ID the layer

A

Stratum corneum

How well did you know this?
1
Not at all
2
3
4
5
Perfectly
3
Q

Epidermis is derived from [embryonic structure]
Dermis is derived from [embryonic structure]
Hypodermis is derived from [embryonic structure]

A

Epidermis is derived from ectoderm
Dermis is derived from mesoderm
Hypodermis is derived from mesoderm

How well did you know this?
1
Not at all
2
3
4
5
Perfectly
4
Q

Name the layers of the epidermis from superficial to deep

A

Stratum corneum
Stratum lucidum
Stratum granulosum
Stratum spinosum
Stratum basale
Basement membrane

“Come let’s get sunburnt”

How well did you know this?
1
Not at all
2
3
4
5
Perfectly
5
Q

The stem cell layer of the epidermis is the _

A

The stem cell layer of the epidermis is the stratum basale

How well did you know this?
1
Not at all
2
3
4
5
Perfectly
6
Q

The [epidermis layer] is anuclear or “dead”

A

The stratum corneum is anuclear or “dead”

How well did you know this?
1
Not at all
2
3
4
5
Perfectly
7
Q

The antigen presenting immune cells of the skin are _

A

The antigen presenting immune cells of the skin are langerhan cells

How well did you know this?
1
Not at all
2
3
4
5
Perfectly
8
Q

Merkel cells of the skin are a type of [cell]

A

Merkel cells of the skin are a type of neuroendocrine cells

How well did you know this?
1
Not at all
2
3
4
5
Perfectly
9
Q

There are two layers of the dermis, the _ and _

A

There are two layers of the dermis, the papillary dermis and reticular dermis

How well did you know this?
1
Not at all
2
3
4
5
Perfectly
10
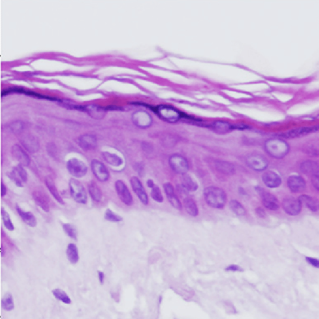
Q

ID the layers of the epidermis

A
How well did you know this?
1
Not at all
2
3
4
5
Perfectly
11
Q

Meissner corpuscles and immune cells are found in the [layer of the dermis]

A

Meissner corpuscles and immune cells are found in the papillary dermis

How well did you know this?
1
Not at all
2
3
4
5
Perfectly
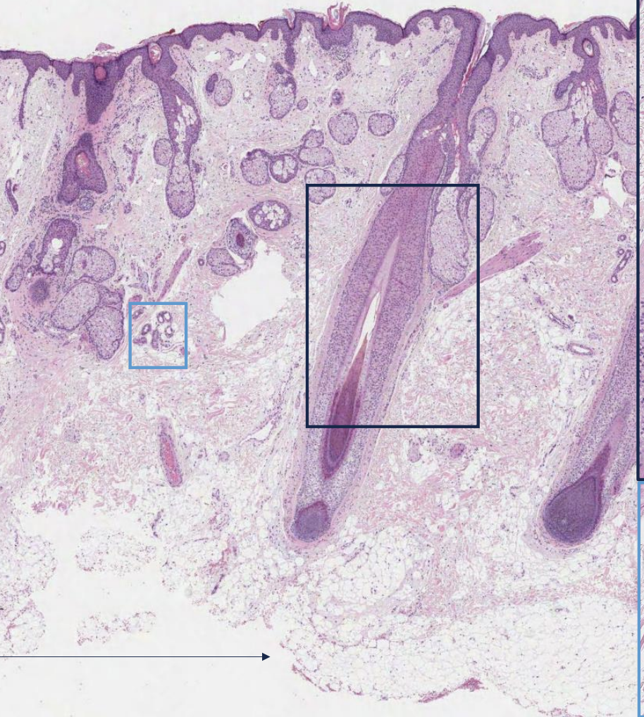
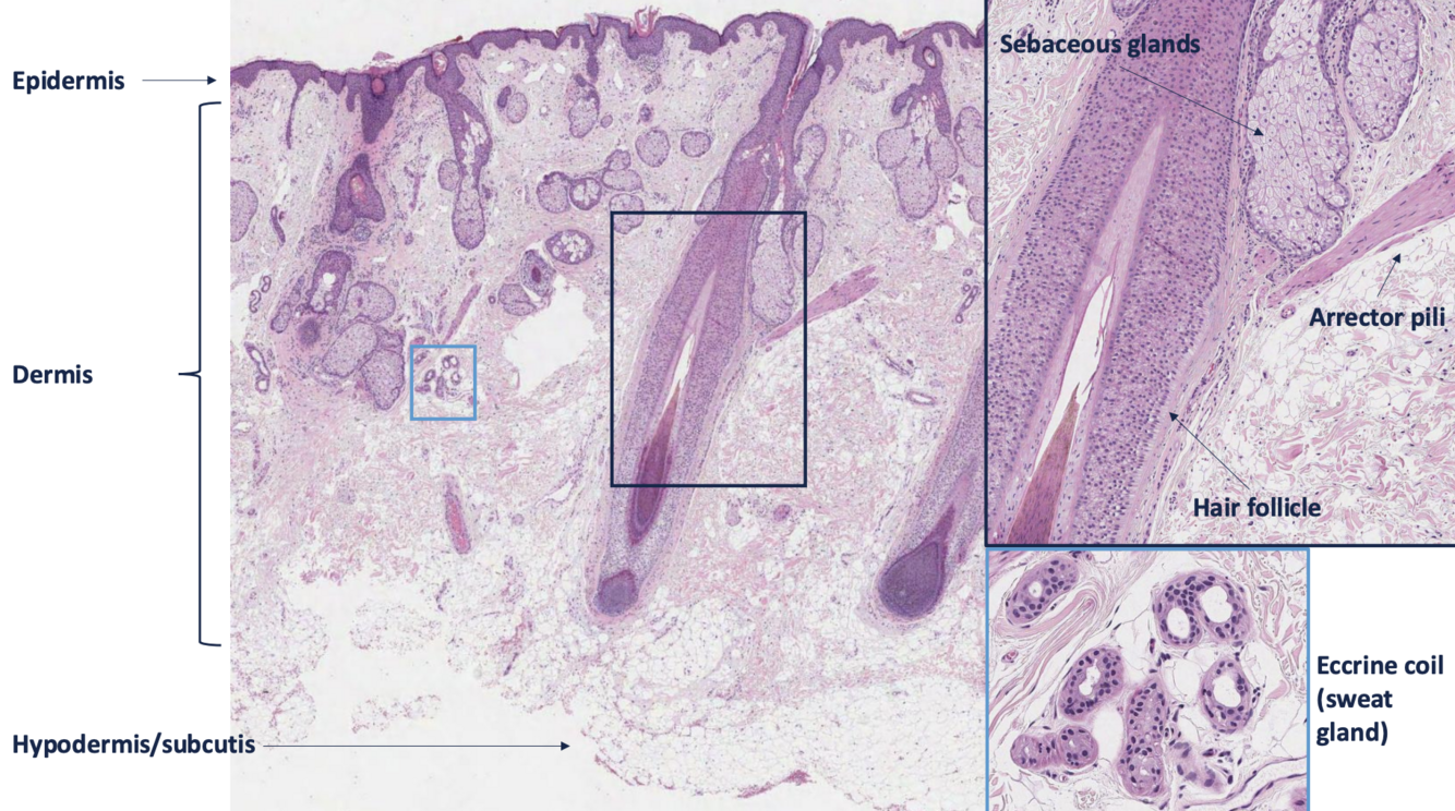
12
Q

Sebaceous glands, apocrine glands, hair follicle roots, and ruffini corpuscles are found in the [dermis layer]

A

Sebaceous glands, apocrine glands, hair follicle roots, and ruffini corpuscles are found in the reticular layer

How well did you know this?
1
Not at all
2
3
4
5
Perfectly
13
Q

The tightest of all cellular junctions are the _

A

The tightest of all cellular junctions are the tight junctions
* We find these in the BBB and blood-testis barrier
* Also called zonula occludens
* They prevent water loss

How well did you know this?
1
Not at all
2
3
4
5
Perfectly
14
Q

_ are cellular junctions which allow for cellular electrochemical communication in locations like the cardiac myocytes

A

Gap junctions are cellular junctions which allow for cellular electrochemical communication in locations like the cardiac myocytes

How well did you know this?
1
Not at all
2
3
4
5
Perfectly
15
Q

[Cellular junctions] are the structural connectors between cells

A

Desmosomes are the structural connectors between cells
* Also called macula adherens
* They attach to keratin

How well did you know this?
1
Not at all
2
3
4
5
Perfectly
16
Q

[Cellular junctions] connect epithelial cells to the basement membrane

A

Hemidesmosomes connect epithelial cells to the basement membrane

How well did you know this?
1
Not at all
2
3
4
5
Perfectly
17
Q

[Cellular junctions] connect the actin cytoskeletons of adjacent cells

A

Adherens junctions connect the actin cytoskeletons of adjacent cells
* They are found between adjacent epithelial cells

How well did you know this?
1
Not at all
2
3
4
5
Perfectly
18
Q

Claudins and occludins compose [cellular junctions]

A

Claudins and occludins compose tight junctions

How well did you know this?
1
Not at all
2
3
4
5
Perfectly
19
Q

[Cellular junctions] are composed of cadherins

A

Adherens junction are composed of cadherins
* Cadherens

How well did you know this?
1
Not at all
2
3
4
5
Perfectly
20
Q

Desmoplakin, desmocollin, desmoglein make up [cellular junctions]

A

Desmoplakin, desmocollin, desmoglein make up desmosomes

How well did you know this?
1
Not at all
2
3
4
5
Perfectly
21
Q

Hemidesmosomes are made up of [cellular component]

A

Hemidesmosomes are made up of integrins

How well did you know this?
1
Not at all
2
3
4
5
Perfectly
22
Q

Gap junctions are made up of [cellular components]

A

Gap junctions are made up of connexons

How well did you know this?
1
Not at all
2
3
4
5
Perfectly
23
Q

Hyperkeratosis is _

A

Hyperkeratosis is increased thickness of the stratum corneum
* Ex: psoriasis, verrucae, calluses

How well did you know this?
1
Not at all
2
3
4
5
Perfectly
24
Q

_ is retention of nuclei within the stratum corneum

A

Parakeratosis is retention of nuclei within the stratum corneum
* Ex: psoriasis, actinic keratosis

How well did you know this?
1
Not at all
2
3
4
5
Perfectly
25
_ is a classic example of hypergranulosis with rete ridge changes
**Lichen planus** is a classic example of hypergranulosis with rete ridge changes * *(And wickham striae)* * *Recall that hypergranulosis means increased thickness of the granulosum layer*
26
Spongiosis refers to _
Spongiosis refers to **accumulation of fluid within the intercellular spaces** * *Ex: atopic dermatitis, allergic contact dermatitis*
27
Epidermal hyperplasia of the stratum spinosum is called _
Epidermal hyperplasia of the stratum spinosum is called **acanthosis** * *Ex: acanthosis nigricans, psoriasis*
28
Acantholysis refers to _
Acantholysis refers to **separation of cells in the epidermis without basement membrane involvement** * Affects desmoglein 1 * Nikolsky positive, tombstoning, floating keratinocytes * Ex: pemphigus vulgaris, SSS
29
A macule is a _
A macule is a **flat discoloration < 1 cm** * Ex: freckle, solar lentigo, tinea versicolor
30
A flat discoloration > 1 cm is called a _
A flat discoloration > 1 cm is called a **patch** * ex: large congenital nevus, port wine stain
31
An elevated skin lesion < 1 cm is called _
An elevated skin lesion < 1 cm is called **papule** * ex: acne, molluscum contagiosum
32
A plaque is a _
A plaque is an **elevated skin lesion > 1 cm** * ex: psoriasis, BCC
33
_ is a fluid filled blister < 1 cm
**Vesicle** is a fluid filled blister < 1 cm * Ex: varicella zoster, herpes simplex
34
A fluid filled blister > 1 cm is called _
A fluid filled blister > 1 cm is called **bulla** * Ex: pemphigus vulgaris, bullous pemphigoid, burns
35
A pus filled vesicle is called a _
A pus filled vesicle is called a **pustule** * Ex: acne, folliculitis
36
_ is a raised pink papule or plaque that is transient
**Wheal** is a raised pink papule or plaque that is transient * *Ex: allergic contact dermatitis, hives, bug bites*
37
_ is a thickened stratum corneum that is dry, flaky, white/silver
**Scale** is a thickened stratum corneum that is dry, flaky, white/silver * Ex: psoriasis, eczema, actinic keratosis, SCC
38
Crust refers to exudate or secretions that have dried; common in [infectious condition]
Crust refers to exudate or secretions that have dried; common in **impetigo**
39
_ are abrasions and trauma to skin via mechanical force
**Excoriations** are abrasions and trauma to skin via mechanical force
40
Lichenification is _
Lichenification is **thickening of skin, accentuation of skin markings** * Often result of repeated excoriation * Lichen simplex chronicus
41
Hematomas are [blanching/ non-blanching] blood collections
Hematomas are **non-blanching** blood collections * *Ex: petechiae, ecchymosis, purpura*
42
Impetigo is a bacterial skin condition of the [layer]
Impetigo is a bacterial skin condition of the **epidermis (superficial)**
43
Two types of impetigo are _ and _
Two types of impetigo are **superficial impetigo** and **bullous impetigo**
44
"Honey-colored" crusted skin lesions are classic for [condition]
"Honey-colored" crusted skin lesions are classic for **superficial impetigo** * *Highly contagious* * *Nikolsky negative*
45
Superficial impetigo is most commonly caused by [bug(s)]
Superficial impetigo is most commonly caused by **staph aureus** or **strep pyogenes**
46
Bullous impetigo involves fluid-filled blisters that are nikolsky sign _
Bullous impetigo involves fluid-filled blisters that are **nikolsky sign positive**
47
Bullous impetigo is most commonly caused by [bug(s)]
Bullous impetigo is most commonly caused by **staph aureus** * *Exfoliative toxin cleaves desmoglein 1 --> stratum granulosum cleavage --> blisters*
48
Complications of impetigo caused by strep pyogenes include _
Complications of impetigo caused by strep pyogenes include **rheumatic fever** and **PSGN**
49
Impetigo should be treated with [abx]
Impetigo should be treated with **nafcillin (penicillinase resistant penicillin)**
50
Sandpaper rash that begins on the neck and then moves to the trunk and extremities is classic for _
Sandpaper rash that begins on the neck and then moves to the trunk and extremities is classic for **scarlet fever** * *Group A strep* * *Pastia lines (red lines in wrist/elbow)* * *Strawberry tongue*
51
_ is a bacterial infection of the deep dermal and subcutaneous tissue
**Cellulitis** is a bacterial infection of the deep dermal and subcutaneous tissue * *Either strep pyogenes or staph aureus*
52
_ is a bacterial infection of the superficial dermis
**Erysipelas** is a bacterial infection of the superficial dermis
53
[Erysipelas/ Cellulitis] is a deeper skin infection
**Cellulitis** is a deeper skin infection
54
[Erysipelas/ Cellulitis] has more defined borders
**Erysipelas** has more defined borders
55
Cellulitis is classic in [regions]
Cellulitis is classic in **lower extremities** * *Streaking erythema towards lymph nodes*
56
Erysipelas most common occurs in [regions]
Erysipelas most common occurs in **lower extremities** and **face**
57
Systemic symptoms [will/ will not] be present with cellulitis and erysipelas
Systemic symptoms **will** be present with cellulitis and erysipelas
58
Non-purulent cellulitis is caused by [bacteria]
Non-purulent cellulitis is caused by **strep pyogenes**
59
Purulent cellulitis is caused by [bacteria]
Purulent cellulitis is caused by **staph aureus**
60
Erysipelas is caused by [bacteria]
Erysipelas is caused by **strep pyogenes**
61
_ is a diffuse staphylococcal infection of the epidermis which is nikolsky sign positive
**Staphylococcal scalded skin syndrome** is a diffuse staphylococcal infection of the epidermis which is nikolsky sign positive
62
Staph scalded skin syndrome damage to the epidermis is mediated by _
Staph scalded skin syndrome damage to the epidermis is mediated by **exfoliative exotoxin** * *Cleaves desmoglein 1 --> stratum granulosum cleavage --> blisters*
63
Staph scalded skin syndrome is more common in babies, children, or adults with [risk factor]
Staph scalded skin syndrome is more common in babies, children, or adults with **renal insufficiency** * *Kidneys can't efficiently filter out the toxin*
64
[SJS/ SSS] can have oral involvement
**SJS** can have oral involvement * *Versus SSS will have no mucosal involvement and will heal completely without scarring (only affects the epidermis)*
65
An abscess is a collection of pus in the [skin layers]
An abscess is a collection of pus in the **dermis and epidermis**
66
An abscess is almost always caused by [bacteria]
An abscess is almost always caused by **staph aureus** * *May present as a fluctuant warm fluid collection with systemic symptoms*
67
Necrotizing fasciitis is an infection of the _
Necrotizing fasciitis is an infection of the **fascia**
68
How will necrotizing fasciitis present?
* **Crepitus** from gas production by the bacteria * **Pain out of proportion** on physical exam * **Bullae** and purple discoloration of skin
69
Herpes viruses are [structure]
Herpes viruses are **double stranded DNA viruses**
70
Name some buzzwords for herpes infections
* **Tzanck smear** * Multinucleated giant cells * **Intranuclear eosinophilic cowdry A inclusions** * "Dew drop on a rose petal"
71
Primary infection with varicella zoster virus is known as _ ; secondary infection is _
Primary infection with varicella zoster virus is known as **chicken pox** ; secondary infection is **shingles**
72
Shingles involves a prodrome of sx such as _ before the rash develops
Shingles involves a prodrome of sx such as **fever, malaise, localized pain** before the rash develops * *Prodrome is caused by cytokines*
73
_ sign is when shingles involves the tip of the nose
**Hutchinson** sign is when shingles involves the tip of the nose
74
Ramsay Hunt syndrome is caused by VZV involvement of _
Ramsay Hunt syndrome is caused by VZV involvement of **facial nerve** * *Also called herpes zoster oticus*
75
A child with chicken pox should not be given aspirin due to the risk of [complication]
A child with chicken pox should not be given aspirin due to the risk of **Reye's syndrome**
76
Herpes simplex encephalitis primarily affects the [lobe]
Herpes simplex encephalitis primarily affects the **temporal lobe** --> language dysfunction, memory loss, behavioral changes
77
How will HSV 2 present?
HSV 2 presents with **prodromal genital pain followed by ulcers and inguinal lymphadenopathy**
78
Diagnosis?
HSV 1
79
[HSV-1, HSV-2, VZV] can be transmitted via airborne droplets
**VZV** can be transmitted via airborne droplets
80
HSV-1 goes dormant in the _
HSV-1 goes dormant in the **trigeminal ganglia**
81
HSV-2 goes dormant in the _
HSV-2 goes dormant in the **sacral ganglia**
82
VZV goes dormant in the _
VZV goes dormant in the **dorsal root ganglia** or **trigeminal ganglia**
83
The best means to prevent the spread of HSV-2 is _
The best means to prevent the spread of HSV-2 is **consistent condom use**
84
Continued pain after the shingles rash resolves is called _
Continued pain after the shingles rash resolves is called **post herpetic neuralgia**
85
Name the HSV-1 infections
86
Name the VZV diagnoses
87
Small painless papules with central umbilication describes _
Small painless papules with central umbilication describes **molluscum contagiosum**
88
Molluscum contagiosum papules will persist for [duration] but will spontaneously regress over time (no treatment needed)
Molluscum contagiosum papules will persist for **6-9 months** but will spontaneously regress over time (no treatment needed)
89
Molluscum contagiosum is caused by [pathogen]
Molluscum contagiosum is caused by **pox virus** * dsDNA virus
90
On histology, molluscum contagiosum will present with _
On histology, molluscum contagiosum will present with **inclusion bodies called Henderson-Paterson bodies** * *The virus replicates in the cytoplasm of cells and creates inclusion bodies filled with viral particles*
91
How does this condition spread?
Skin to skin contact with an someone infected with molluscum contagiosum
92
Verrucae are caused by [virus] which causes the infection of the epidermis in children and immunocompromised adults
Verrucae are caused by **HPV** which causes the infection of the epidermis in children and immunocompromised adults * *The high risk HPV are 16, 18, 31, 33*
93
E6 is an oncoprotein carried by HPV that [action]
E6 is an oncoprotein carried by HPV that **inhibits p53**
94
E7 is an oncoprotein carried by HPV that [action]
E7 is an oncoprotein carried by HPV that **inhibits retinoblastoma**
95
Histology of verrucae may reveal _ hyperplasia, hyperkeratosis, and [special cells]
Histology of verrucae may reveal **epidermal** hyperplasia, hyperkeratosis, and **koilocytes**
96
_ is the "common wart" that presents with a cauliflower texture most commonly on the hands
**Verruca vulgaris** is the "common wart" that presents with a cauliflower texture most commonly on the hands
97
Verruca vulgaris is caused by [HPV subtypes]
Verruca vulgaris is caused by **HPV 2 and 4**
98
Verruca plana are found on the [regions]
Verruca plana are found on the **mouth** and **forehead** * *These are flat warts*
99
Verruca plana are caused by [HPV subtypes]
Verruca plana are caused by **HPV 3 and 10**
100
Warts that are found on the high pressure areas on sole of feet are called _
Warts that are found on the high pressure areas on sole of feet are called **verruca plantaris** * *Aka plantar warts*
101
Plantar warts are caused by [HPV subtype]
Plantar warts are caused by **HPV 1**
102
Condylomata acuminata are sexually transmitted and caused by [HPV subtypes]
Condylomata acuminata are sexually transmitted and caused by **HPV 6, 11**
103
White plaques on the tongue that cannot be scraped off are suggestive of [diagnosis] which is mediated by [pathogens]
White plaques on the tongue that cannot be scraped off are suggestive of **hairy leukoplakia** which is mediated by **EBV or HPV** * *Squamous hyperplasia* of oral mucosa * Common in HIV patients
104
White plaques on the back of the tongue are more likely to be _ while white plaques on the lateral aspects are more likely to be _
White plaques on the back of the tongue are more likely to be **thrush (candida)** while white plaques on the lateral aspects are more likely to be **hairy leukoplakia**
105
Candida esophagitis occurs in HIV patients with [CD4 count]
Candida esophagitis occurs in HIV patients with **CD4 < 100**
106
At 20-25C, candida is in its _ form
At 20-25C, candida is in its **pseudohyphae and budding yeast** form
107
At 37C, candida is in its _ form
At 37C, candida is in its **germ tube** form
108
Treat oral candidiasis with _ vaginal candidiasis with _ esophageal candidiasis with _
Treat oral candidiasis with **nystatin rinse** vaginal candidiasis with **topical azole** esophageal candidiasis with **IV fluconazole**
109
[Immune cells] are important for fending off a mucocutaneous candidiasis infection
**T cells** are important for fending off a mucocutaneous candidiasis infection * *Therefore HIV patients are prone to mucocutaneous candidiasis due to T cell destruction*
110
Candida albicans infection of the epidermis between the skin folds is called _ and should be treated with _
Candida albicans infection of the epidermis between the skin folds is called **candidal intertrigo** and should be treated with **topical nystatin** * *Skin folds and high moisture areas, common in obese, diabetic, immunocompromised*
111
What does tinea corporis look like?
**Tinea corporis** is erythematous, raised, pruritic with central clearing * *There are sharp borders, no satellite lesions*
112
Tinea corporis is caused by [pathogen]
Tinea corporis is caused by **dermatophytes** * *Trichophyton and microsporum*
113
Tinea corporis can be diagnosed by _ where microscopy shows _
Tinea corporis can be diagnosed by **KOH prep** where microscopy shows **segmented hyphae**
114
Tinea corporis usually occurs in the context of _ ; therefore first choice in management is often _
Tinea corporis usually occurs in the context of **high heat/moisture exposure** ; therefore first choice in management is often **better hygiene practices** * *Also use topical azole or terbinafine*
115
Tinea capitis often presents as itchy scalp, hair loss, and [systemic sign]
Tinea capitis often presents as itchy scalp, hair loss, and **cervical lymphadenopathy** * *Breakage of the hair*
116
The dermatophyte that tends to affect the outer hair shaft (tinea capitis) is _
The dermatophyte that tends to affect the outer hair shaft (tinea capitis) is **microsporum** * Ectothrix
117
The dermatophyte that tends to affect the inner hair shaft (tinea capitis) is _
The dermatophyte that tends to affect the inner hair shaft (tinea capitis) is **trichophyton** * Endothrix
118
Tinea capitis is treated with [topical] or [oral medications]
Tinea capitis is treated with **antifungal shampoo** or **oral griseofulvin**
119
Itching, burning, scaling skin; diagnosis?
Tinea pedis * Treat with topical azole or topical terbinafine
120
_ is a superficial fungal skin infection of the nail
**Onychomycosis** is a superficial fungal skin infection of the nail * Treat with oral antifungal like terbinafine
121
Tinea versicolor is caused by [pathogen]
Tinea versicolor is caused by **malassezia fungal species**
122
KOH prep of tinea versicolor will reveal _
KOH prep of tinea versicolor will reveal **spaghetti and meatball multiple branching hyphae and budding cells**
123
Malassezia causes the degradation of _ which in turn produces _ which is damaging to [enzyme], leading to decreased pigmentation
Malassezia causes the degradation of **lipids** which in turn produces **acid** which is damaging to **tyrosinase**, leading to decreased pigmentation
124
Tinea versicolor is treated with _
Tinea versicolor is treated with **selenium sulfide (topical shampoo)**
125
[Tinea versicolor/ vitiligo] loves the face, neck, abdomen, while [tinea versicolor/ vitiligo] loves the extremities
**Tinea versicolor** loves the face, neck, abdomen, while **vitiligo** loves the extremities
126
Red painful papules and ulcers with pus, ascending lymphangitis is caused by [pathogen]
Red painful papules and ulcers with pus, ascending lymphangitis is caused by **sporothrix schenckii** * *Lives on vegetation; called rose gardener's disease*
127
"Cigar shaped fungus" =
"Cigar shaped fungus" = **sporothricosis**
128
Sporotrichosis is treated by _ or _
Sporotrichosis is treated by **itraconazole** or **potassium iodide**
129
Necrosis of the nares and palate, black eschar, and air-fluid levels with bony destruction on CT describe [infection]
Necrosis of the nares and palate, black eschar, and air-fluid levels with bony destruction on CT describe **mucormycosis**
130
Mucormycosis will present as [microbiology]
Mucormycosis will present as **non-septate hyphae with wide angle branching (90 degree)** * *Caused by mucor and rhizopus species*
131
Mucormycosis is most common in [population]
Mucormycosis is most common in **diabetics in DKA!**
132
Mucormycosis must be treated with _ and _
Mucormycosis must be treated with **amphotericin B** and **surgical debridement**
133
Name the disease process
Pemphigus vulgaris
134
Name the disease process
Bullous pemphigoid
135
Name the disease process
Dermatitis Herpetiformis
136
[Flaccid bullae/ tense bullae] is classic in pemphigus vulgaris
**Flaccid bullae** is classic in pemphigus vulgaris * Affects the desmosomes, more superficial
137
Pemphigus vulgaris is nikolsky sign _ and [does/ does not] have oral mucosal involvement
Pemphigus vulgaris is **nikolsky sign positive** and **does have oral mucosal involvement**
138
Histology of pemphigus vulgaris will show _
Histology of pemphigus vulgaris will show **acantholysis, tombstoning, retigular IgG** * *Attacks desmoglein 1 + 3*
139
Tense bullae, nikolsky sign negative, linear IgG + C3 deposition describes _
Tense bullae, nikolsky sign negative, linear IgG + C3 deposition describes **bullous pemphigoid** * *No mucosal involvement* * *Lysis between BM and epidermis (goes after hemidesmosomes)*
140
Dermatitis herpetiformis usually affects [population]
Dermatitis herpetiformis usually affects **celiacs (tissue transglutaminase)** * *HLA-DQ2, HLA-DQ8*
141
Name some clinical features of dermatitis herpetiformis
Name some clinical features of dermatitis herpetiformis: * Pruritic papules, vesicles, bullae * Dorsal hands, knees, elbows, buttocks
142
Which skin region is affected in dermatitis herpetiformis?
**Dermis!** * Subepidermal inflammation * Neutrophilic papillary microabscesses * Granular IgA in dermal papillae
143
144
Erythema multiforme is a reactive skin response involving target lesions with a "dusky" center; commonly associated with _ or _ infection
Erythema multiforme is a reactive skin response involving target lesions with a "dusky" center; commonly associated with **HSV-1** or **mycoplasma pneumoniae** infection
145
Erythema multiforme can be caused by drugs, including _ , _ , _
Erythema multiforme can be caused by drugs, including **sulfas** , **beta-lactams** , **mycoplasma pneumoniae**
146
Erythema nodosum is caused by inflammation of the _
Erythema nodosum is caused by inflammation of the **subcutaneous fat** * *Coccidiodomycosis, histoplasmosis, strep, leprosy, TB, sarcoidosis, IBD*
147
Erythema migrans is associated with [category infections]
Erythema migrans is associated with **tic infections**
148
A good way to distinguish SJS from erythema multiforme is _
A good way to distinguish SJS from erythema multiforme is **oral mucosal involvement**
149
Bullae and skin peeling, nikolsky sign positive following drug exposure describes _
Bullae and skin peeling, nikolsky sign positive following drug exposure describes **steven johnson syndrome (SJS)**
150
Once SJS affects greater than 30% of the body surface area it is classified as _
Once SJS affects greater than 30% of the body surface area it is classified as **toxic epidermal necrolysis (TEN)**
151
Common drugs that cause SJS include...
Common drugs that cause SJS include... * Lamotrigine * Sulfas * Penicillins * Even mycoplasma pneumoniae infection
152
We treat SJS with _
We treat SJS with **steroids**
153
DRESS syndrome stands for _
DRESS syndrome stands for **Drug Reaction with Eosinophilia and Systemic Symptoms**
154
How does DRESS syndrome present?
Delayed hypersensitivity reaction involving **morbilliform rash** and **fever** after taking certain medications or following herpes viruses
155
The medications usually responsible for DRESS syndrome are remembered by _
The medications usually responsible for DRESS syndrome are remembered by **ABCs** * **Allopurinol** * **AntiBiotics** * **AntiConvulsants** * **Sulfas**
156
Transient pink, pruritic, raised, well-circumscribed wheals describe _ ; caused by [hypersensitivity reaction]
Transient pink, pruritic, raised, well-circumscribed wheals describe **urticaria** ; caused by **type 1 HSR** * IgE mediate mast cell degranulation * Involves superficial dermis spongiosis
157
Allergic contact dermatitis is classically a [type HSR]
Allergic contact dermatitis is classically a **type IV HSR** * Langerhan cells --> T cells --> IFN-gamma * Increased vascular permeability --> dermal and epidermal spongiosis --> desmosomal compromise
158
Describe the skin lesions caused by atopic dermatitis
**Atopic dermatitis** causes **erythematous and pruritic weeping papules/ plaques** * *The itch that rashes*
159
Babies tend to have atopic dermatitis on [body regions] while adults have it on [regions]
Babies tend to have atopic dermatitis on **face, scalp, torso, extensor surfaces** while adults have it on **flexor surfaces**
160
Atopic dermatitis is a [T helper] response mediated by [cytokines]
Atopic dermatitis is a **Th2** response mediated by **IL-4** and **IL-13** * Involves increase in serum IgE * Mast cells and eosinophils involved
161
Mutations in _ gene may be involved in atopic dermatitis
Mutations in **filaggrin** gene may be involved in atopic dermatitis
162
Acne vulgaris involves the blockage of a pilosebaceous unit, called a _
Acne vulgaris involves the blockage of a pilosebaceous unit, called a **comedone** * *Also involves increased sebum production and poor keratinocyte desquamation (not shedding properly)*
163
_ mediates the pro-inflammatory fatty acid production involved in acne vulgaris
**C. acnes** mediates the pro-inflammatory fatty acid production involved in acne vulgaris * *Sometimes patients are given a short course of doxy to kill bacteria*
164
Hyperandrogenic states such as _ can lead to acne vulgaris
Hyperandrogenic states such as **PCOS, anabolic steroids** can lead to acne vulgaris
165
Painful draining sinus tracts with scarring describes [condition]
Painful draining sinus tracts with scarring describes **hidradenitis suppurativa**
166
Hidradenitis suppurativa is caused by occlusion of the _
Hidradenitis suppurativa is caused by occlusion of the **apocrine glands** * Hormonal stimulation can lead to keratinocyte overgrowth causing occlusion
167
Hidradenitis suppurativa affects [body regions]
Hidradenitis suppurativa affects **axilla, medial thighs, anogenital region** * Painful, draining pustules and cysts * Eventually scarring and fibrosis
168
Risk factors of hidradenitis suppurativa include:
Risk factors of hidradenitis suppurativa include: * Female * Obesity * AA * FH * Smoking * Tight clothing
169
Painful erythematous pustules that arise after hot tub use or aquatic environment describes _
Painful erythematous pustules that arise after hot tub use or aquatic environment describes **folliculitis**
170
Folliculitis is most commonly caused by _ or _
Folliculitis is most commonly caused by **staph aureus** or **pseudomonas**
171
Folliculitis is usually self limited, however can progress to _ or _
Folliculitis is usually self limited, however can progress to **abscess** or **cellulitis**
172
Diagnosis?
Folliculitis
173
Diagnosis?
**Pseudofolliculitis barbae**
174
Pseudofolliculitis barbae is most common in [population] following [action]
Pseudofolliculitis barbae is most common in **Black males** following **shaving**
175
The pathophysiology behind pseudofolliculitis barbae is _
The pathophysiology behind pseudofolliculitis barbae is **coiled hair shaft trapped beneath the skin** --> local inflammation --> firm, hyperpigmented papules and pustules + erythema, pain, pruritis
176
Rosacea [does/ does not involve] comedones
Rosacea **does not involve** comedones * Will see erythematous papules and pustules * Flushing occurs in response to triggers
177
Name some common triggers of rosacea
* Heat * Spicy foods * Alcohol * Stress * Nicotine
178
_ involves plaques and papules related to hypergranulosis in regions of trauma commonly secondary to chronic Hepatitis C
**Lichen planus** involves plaques and papules related to hypergranulosis in regions of trauma commonly secondary to chronic Hepatitis C * *Also associated with vitiligo and ulcerative colitis*
179
To remember the presentation of lichen planus, remember the _
To remember the presentation of lichen planus, remember the **6 P's** * Pruritis * Pink/Purple * Planar * Polygonal * Papules * Plaques
180
Common sites of involvement of lichen planus include the:
Common sites of involvement of lichen planus include the: * Shins * Ankles * Wrists * Genitalia *Often follows lines of minor trauma (Koebner phenomenon)*
181
Oral mucosal involvement of lichen planus is called _
Oral mucosal involvement of lichen planus is called **wickham striae**
182
Lichen planus is [immune cell]- mediated and affects the [skin layer]
Lichen planus is **T-cell (CD8+)**- mediated and affects the **dermal-epidermal junction** (interface dermatitis) * Histology shows hypergranulosis * Saw tooth rete ridges * Lymphocytic infiltrate
183
Rash with a christmas tree distribution =
Rash with a christmas tree distribution = **pityriasis rosea** * Red/pink plaques with collarette scale
184
Pityriasis rosea often presents in [population] after _
Pityriasis rosea often presents in **children or young adults** after **viral infection** * *It can also be idiopathic* * But often there is a prodrome + herald patch (URI, fever)
185
Psoriasis is ultimately caused by _
Psoriasis is ultimately caused by **overactivity of the stratum basale** --> increasing keratinocytes * Result of inflammatory state (TNF-alpha, IL-6, CRP, HLA B27)
186
Erythematous raised papules and plaques with a silvery scale on the extensor surfaces and scalp describes _
Erythematous raised papules and plaques with a silvery scale on the extensor surfaces and scalp describes **psoriasis**
187
Pin-point bleeding when picking at psoriasis scales is _ sign
Pin-point bleeding when picking at psoriasis scales is **Auspitz** sign
188
When a patient presents with psoriasis, check for other involvement of the _ and _
When a patient presents with psoriasis, check for other involvement of the **nail beds (pitting)** and **joints**
189
Psoriasis will present with [findings] on histology
Psoriasis will present with **hyperkeratosis, parakeratosis, acanthosis** on histology * There will be thickening of the stratum spinosum, decreased stratum granulosum
190
[Benign skin lesion] is a precursor to squamous cell carcinoma
**Actinic keratosis** is a precursor to squamous cell carcinoma * Presents as sandpaper white scale --> erythematous or brown papules * Pre-cancerous; increased dysplasia increases SCC risk
191
Risk factors of actinic keratosis include _ and _
Risk factors of actinic keratosis include **sun exposure** and **age**
192
Actinic keratosis on histology reveals _
Actinic keratosis on histology reveals **parakeratosis and hyperkeratosis** * *Manage with freezing, topical 5-FU, or surgical excision*
193
Squamous cell carcinoma usually presents on the face, ears, hands, and [upper/ lower lip]
Squamous cell carcinoma usually presents on the face, ears, hands, and **lower lip**
194
Squamous cell carcinoma risk factors include:
Squamous cell carcinoma risk factors include: * Sun exposure * Age * Immunosuppression * Chronic wounds * Burns * Arsenic
195
[SCC/ BCC] bleeds easily and is nonhealing
**Squamous cell carcinoma** bleeds easily and is nonhealing; it is painless * *Locally invasive, remove with surgical excision*
196
Squamous cell carcinoma will show _ on histology
Squamous cell carcinoma will show **onion skin keratin pearls** on histology * *Additionally atypical nuclei*
197
Basal cell carcinoma is common on the head, neck, hands, and [upper/ lower lip]
Basal cell carcinoma is common on the head, neck, hands, and **upper lip**
198
Basal cell carcinoma will present as _ on biopsy/histology
Basal cell carcinoma will present as **palisading nuclei** on biopsy/histology
199
Diagnosis?
**Basal cell carcinoma** * Waxy, pink, pearly plaques * Crusting, ulceration, scaling plaques * Sometimes telangiectasias
200
_ is the most common skin cancer
**Basal cell carcinoma** is the most common skin cancer
201
_ is a dome shaped, core of keratin
**Keratoacanthoma** is a dome shaped, core of keratin * Erythema + scale * Rapidly growing * Occur in the middle age and elderly * May spontaneously regress
202
Diagnosis?
**Keratoacanthoma**: rapidly growing dome with a crater in the center of keratin
203
Diagnoses?
204
The malignant cells in melanoma are dervied from [embryonic structure]
The malignant cells in melanoma are dervied from **neural crest cells** * *Recall that the ncc derivatives are MOTEL PASS* * *Melanocytes, odontoblasts, tracheal cartilage, enterochromafin like cells, laryngeal cartilage, parafollicular C cells, all ganglia and adrenal medulla, schwann cells, septum (aorticopulmonary)*
205
Name the ABCDEs of melanoma
A- asymmetry B- border C- color D- diameter (> 6 mm) E- evolution
206
Name some risk factors for melanoma
Name some risk factors for melanoma: * Family history * Light skin * Sun exposure * Sunburn * Dysplastic nevi * Immunosuppression * Genetics
207
Name the skin layer involved in melanoma: _
Name the skin layer involved in melanoma: **stratum basale**
208
Name (4) subtypes of melanoma
Name (4) subtypes of melanoma 1. **Superficial spreading** 2. **Lentigo maligna** 3. **Nodular** 4. **Acral lentiginous**
209
The most common subtype of melanoma is _
The most common subtype of melanoma is **superficial spreading**
210
_ is a melanoma subtype that has a long radial phase
**Lentigo maligna** is a melanoma subtype that has a long radial phase * Spreads left to right (superficial)
211
_ melanoma has no radial phase and instead has deep penetration early
**Nodular** melanoma has no radial phase and instead has deep penetration early
212
_ melanoma has no relation to sun exposure and happens on dark skins on the palms and soles and under the fingernails
**Acral lentiginous** melanoma has no relation to sun exposure and happens on dark skins on the palms and soles and under the fingernails
213
_ is a genetic marker of neural crest cells which is positive in melanoma
**S-100** is a genetic marker of neural crest cells which is positive in melanoma
214
_ mutations are common in melanoma; they allow uncontrolled cell proliferation; _ mutations affect a tumor suppressor
**BRAF** mutations are common in melanoma; they allow uncontrolled cell proliferation; **CDKN2A** mutations affect a tumor suppressor
215
Metastasis of melanoma is common to the _
Metastasis of melanoma is common to the **lymph nodes, brain, bone, heart**
216
The most important prognostic factor with melanoma is _
The most important prognostic factor with melanoma is **depth of invasion/ Breslow thickness**
217
Treatment of melanoma first begins with [biopsy] followed by [medication options]
Treatment of melanoma first begins with **excisional biopsy with wide margins** followed by **BRAF inhibitors (vemurafenib), IL-2 (aldesleukin) or IFN-alpha**
218
Describe the burn classification
219
_ are benign "red moles" that occur with old age
**Cherry hemangiomas** are benign "red moles" that occur with old age
220
_ are benign vascular tumors that occur in the first weeks of life and disappear at 5-8 years
**Strawberry hemangiomas** are benign vascular tumors that occur in the first weeks of life and disappear at 5-8 years
221
Bacillary angiomatosis must be treated with _
Bacillary angiomatosis must be treated with **doxycycline** * *Macrolides can be used for cat scratch fever but not strong enough for angiomatosis*
222
Bacillary angiomatosis is associated with a _ infiltrate, while Kaposi sarcoma has a _ infiltrate
Bacillary angiomatosis is associated with a **neutrophilic** infiltrate, while Kaposi sarcoma has a **lymphocytic** infiltrate
223
Kaposi sarcoma is more common in [population] and it is caused by [infection]
Kaposi sarcoma is more common in **eastern european males** and it is caused by **HHV-8**
224
"Stuck on" appearance =
"Stuck on" appearance = **seborrheic keratosis** * Benign hyperpigmented plaque/papule * Common in increasing age * Greasy appearance
225
The sudden appearance of multiple seborrheic keratosis lesions is a sign of possible _
The sudden appearance of multiple seborrheic keratosis lesions is a sign of possible **GI adenocarcinoma** * *Leser-Trelat sign*
226
The mechanical barrier of the skin that regulates water loss:
The mechanical barrier of the skin that regulates water loss: **stratum corneum**
227
The mitotically active keratinocytes are found here:
The mitotically active keratinocytes are found here: **stratum basale** * *Think of melanoma in this layer*
228
Intercellular junctions of the epidermis; think this layer:
Intercellular junctions of the epidermis; think this layer: **stratum spinosum**
229
Formation of the cornified cell envelop occurs in this layer:
Formation of the cornified cell envelop occurs in this layer: **stratum granulosum** * Keratohyalin granules also found here
230
Melanocytes are found in the [layer]
Melanocytes are found in the **basal layer of the epidermis**
231
Abnormal premature keratinization is called _ ; squamous cell carcinoma is an example
Abnormal premature keratinization is called **dyskeratosis** ; squamous cell carcinoma is an example
232
Hand-foot-mouth disease is caused by [pathogen]
Hand-foot-mouth disease is caused by **coxsackie** or other enteroviruses * Erythematous macules on the palms, soles, mouth vesicles * Treatment is supportive
233
Erythema infectiosum is caused by [pathogen]
Erythema infectiosum is caused by **parvovirus** * *Slapped cheek*
234
Parvovirus is a [type virus] that is spread by respiratory secretions and common in school aged kids; can cause hydrops fetalis in pregnancy
Parvovirus is a **ssDNA virus** that is spread by respiratory secretions and common in school aged kids; can cause hydrops fetalis in pregnancy
235
What is the timeline of the parvo B19 infection?
1. **Flu like symptoms** 2. 7-10 days later **erythematous malar rash** (slapped cheek) 3. Few days after, **diffuse reticular, lacy rash**
236
A prodrome of a very high fever in a young child followed by diffuse macular to maculopapular rash after the fever resolves describes _ ; caused by [pathogen]
A prodrome of a very high fever in a young child followed by diffuse macular to maculopapular rash after the fever resolves describes **Roseola** ; caused by **HHV6 & HHV7**
237
A prodrome of fever, arthralgias, malaise followed by a herald patch and later multiple papules and plaques is most often caused by [pathogen]
A prodrome of fever, arthralgias, malaise followed by a herald patch and later multiple papules and plaques is most often caused by **HHV6 or HHV7**
238
Itching and small papules in the webspaces likely describes _
Itching and small papules in the webspaces likely describes **scabies** * *Sarcoptes scabiei*
239
The pruritis mechanism for ectoparasites is _ mediated
The pruritis mechanism for ectoparasites is **IgE** mediated
240
Diagnosis?
**Pityriasis versicolor** * *Recall that it can be hyper or hypopigmented*
241
Tinea pedis is most commonly caused by [specific dermatophyte]
Tinea pedis is most commonly caused by **trichophyton**
242
Erythema with overylying greasy yellow scale in the scalp, ears, eyebros, nasolabial folds, central chest, etc describes _
Erythema with overylying greasy yellow scale in the scalp, ears, eyebros, nasolabial folds, central chest, etc describes **seborrheic dermatitis** * *Think dandruff* * Common in areas of high sebum production * Can cause post-inflammatory hypopigmentation
243
Seborrheic dermatitis is due to an inflammatory response to [pathogen]
Seborrheic dermatitis is due to an inflammatory response to **Malassezia** * *Treat with ketoconazole cream*
244
What cell type mediates allergic contact dermatitis?
Th1