
haemochromatosis

guttate psoriasis
causes of errythema nodosum?
needs CXR!

granuloma annulare

pityriasis alba
Mx?

Perianal haematoma
Mx?

hidradenitis suppurativa
Mx?

umbilical granuloma
silver nitrate

hyperparathyroidism

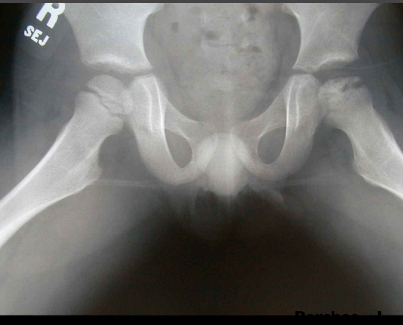
Perthes

multiple myeloma

small bowel obstruction

large bowel obstruction

constipation

epidural haematoma

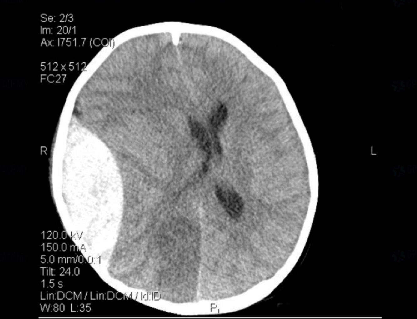
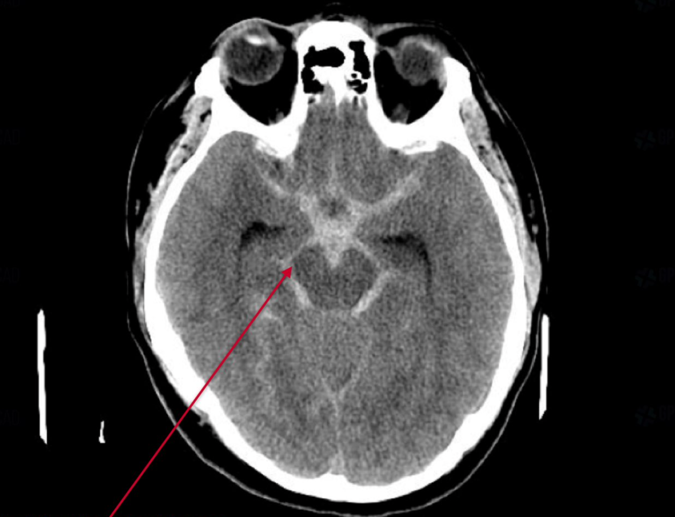
subarachnoid haemorrhage

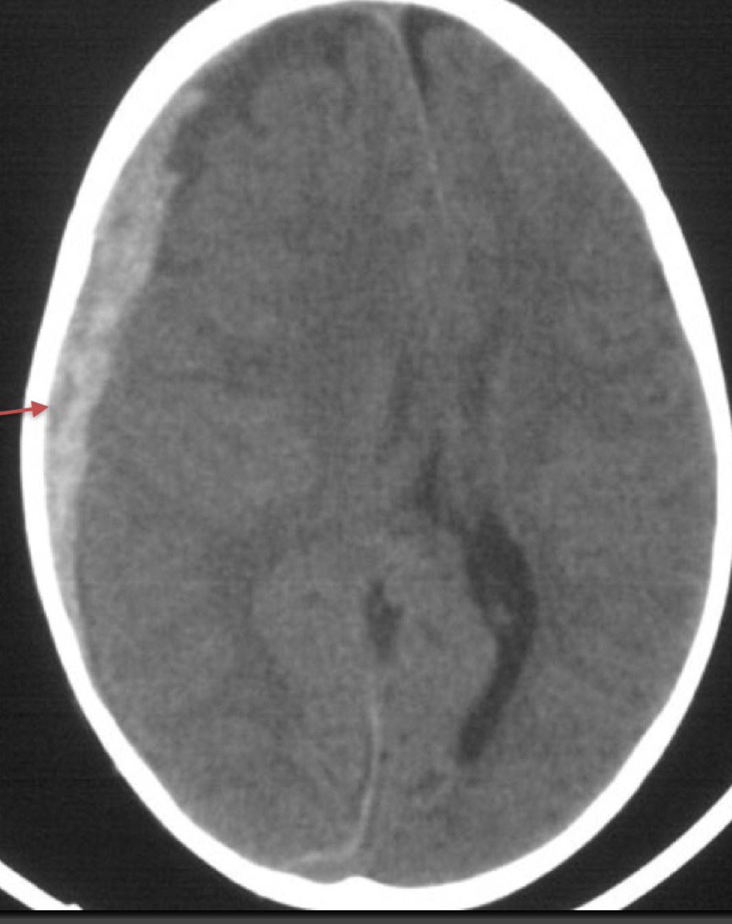
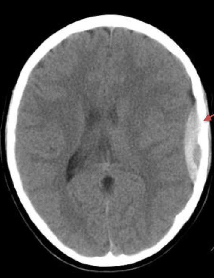
subdural haematoma

epidural haematoma

subdural haematoma

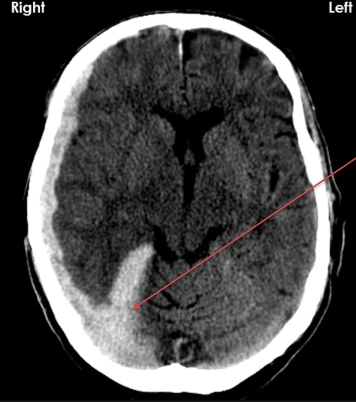
infarct