kid riding a bicycle and develops genital edema
you do labs and see low C2, C4 and C1 esterase inhibitor is low
you diagnosis hereditary angioedema.
all of the following
are important in the treatment of HAE except?
long term prophylaxis: danazol -modified testosterone –> inc C1 esterase inhibitor production
B. acute episodes - C1 esterase inhibitor concentrate and Fresh frozen plasma
C. epinephrine
epinephrine.
Q on boards
what is the cause of alopecia in tinea capitis caused by trichophyton tonsurans
A. invasion of hair follicle
B. Invasion of the inner hair shaft endothrix
C. infect the outer hair shaft exothrix
invasion of inner hair shaft ENDOTHRIX!!!
tinea capitis caused by microsporum canis and audouinii would infect the outer hair shaft exothrix.
get it from dogs, + wood lamp test.
what is onycholysis (not onychomycosis)
separation of the nail from the nail bed - psoriasis, trauma, infection, hyperthyroidism
adult pt with
pleural effusions
lymphedema
(due to lymphatic hypoplasia)
and yellow dystrophic nails
diagnosis>
yellow nail syndrome
what is the primary histologic finding in poison oak (contact dermatiits)
spongiosis (vesicles)
HSR type IV
atopic dermatitis
is seen in pts with broncial asthma or hay fever
which is what type of HSR
type 1 (immunoglobulin E )
on the boards
a young male w/ severe seborrheic dermatitis that is difficult to treat
what is the next test to order?
check for HIV
hiv it affects up to 83% of HIV pts in contrast to 1/3 % of general population
pt with scaling macular rash
often greasy or white dry affecting mainly face and scalp
nasal label fold involved so not lupus
treatment?

diagnosis - seborrheic dermatitis
tx: selenium sulfide or ketoconazole.
what is the most common benign epithelial tumor
and when would you not see it
seborrheic keratosis
not seen in people under age 30
2 Q on the boards
pt has a tone of seborrheic keratosis
and now is complaining of abd pain, wt loss.
what is your diagnosis
gastric cancer
pt has leser-Trelat sign which is associated with GI cancer
most common skin cancer
basal cell
face cancer with small translucent growth w./ rolled edges on head and neck
with centra crusting or ulceration
basal cell carcinoma
name which skin cancer

basal cell
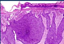
it arises from the basal cell layer of the epidermis as clusters of cells with dark stained blue nuclei.
palisade arrangement of the nuclei of the cells in periphery of the clusters.
a 69 yo farmer, who has kidney transplant 3 years ago on immunosuppressive meds
develops a a nodular or hyperkeratotic ulcerating lesion lesion on nose.
diagnosis
squamous cell carcinoma
its the only skin cancer that inc risk with immunosupressants
pt has a rash on her face, shes 20 yo.
shes started on an oral medication for 3 to 4 weeks
shes in your clinic complaining of painful swallowing (odynophagia)
what is this medicine
doxycycline.
middle age female
little obese,
visual defects for like 3-5 seconds diplopia (CNVI) and headache
shes on isotretinoin
what is diagnosis
pseduotumor cerebri
albinism is due to
inherited
normal melanocyte # with dec melanin production due to dec TYROSINASE acitivty
or
defective tyrosine transport
vitiligo
is due to?
autoimmune destruction
its associated w/ hashimoto thyroiditis, pernicious anemia,
addisons disease
pernicious anemia
has increase risk of what kind of cancer
A. gastric
B. colon
C. pancreatic
gastric cancer
what disorder is associated with partial albinism
inability of lysosomes to fuse w/ phagosomes
chediak higashi syndrome
does vitiligo or albinism have a higher risk of actinic keratosis
both do
what are two signs of possible
gastric cancer
acanthosis nigricans
leser Trelat sign
what is the glomerulopathy associated with Hepatitis B
Question on board
what is the glomerulopathy associated with hep C
membranous nephropathy
Hep C –> membranoproliferative