Psoriasis is a x -mediated disease
T-cell mediated disease
Pathogenesis:
What is this

Koebners phenomenom - is the appearance of skin lesions on lines of trauma and is a cause of psoriasis
Most common type of psoriasis
Psoriasis vulgaris
What condition is this
Psoriasis Vulgaris
Characteristics:
What condition is this?
Psoriasis
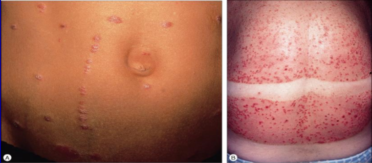
What condition is this and what infection does it usually follow
Guttate Psoriasis
Streptococcal infection
Characteristics:
What is this
Pustular psoriasis
Treatment of pustular psoriasis
Usually quite difficult to treat
What is this
Psoriatic arthropathy
First line treatment for Psoriasis
Emollients - reduces scales
2nd line: Topical e.g. Vit d analogues like calcipotriol or topical corticosteroids
3rd line: if severe give immunosuppresants e.g. methotrexate/ciclosporin
Or
Retinoids e.g. acretentin
OR
UVB phototherapy
Or anti-tnfs e.g. infliximab
Eczema/Dermititis characteristics
pruritic (itchy), redness, papulation (raised area of skin)
Atopic dermatitis is an x mediated inflammatory response
IgE
Atopic dermatitis
**often starts with face then spreads to trunk and limbs
*usually on flexure surfaces
What are the complications of atopic dermatitis
Infection – eg:
• Bacterial – usually Staphylococcal
• Eczema herpeticum
Seasonal allergies and/or asthma ora combination are common in patients with
Atopic dermatitis
Treatment of Atopic dermatitis
+ Emollients (reduce dryness: mainstay of treatment: used 3-8 times per day)
Pathophysiology of atopic dermatitis
Chronic relapsing inflammatory itchy skin condition
Psoriasis
Paste bandaging can help with x in atopic dermatitis
Symptom control (particularly children)
Contact dermititis is majority:
1) immunological (allergic)
2) toxic (irritant)
Please give examples
Irritant (80%) e.g. irritating substances e.g. detergents, acids, oils and sometimes water (strip skin off natural oils)
Allergic dermatitis is a type x hypersensitivity reaction
4 delayed
Contact dermatitis (specifically irritant dermatitis)
Contact dermatitis
How to test for allergic contact dermatitis
Patch testing