What embryonic layer do skin cells come from?
The skin comes from the ectoderm.
At what week gestation does the stratification of the epidermis start? When does it end
What is ectoderm dysplasia and name some defomrities that occur as a result?
What are the 5 main functions of the skin?
List the three cells that are involved in the epidermis.
Keratinocytes, Langerhans Cells, Melanocytes
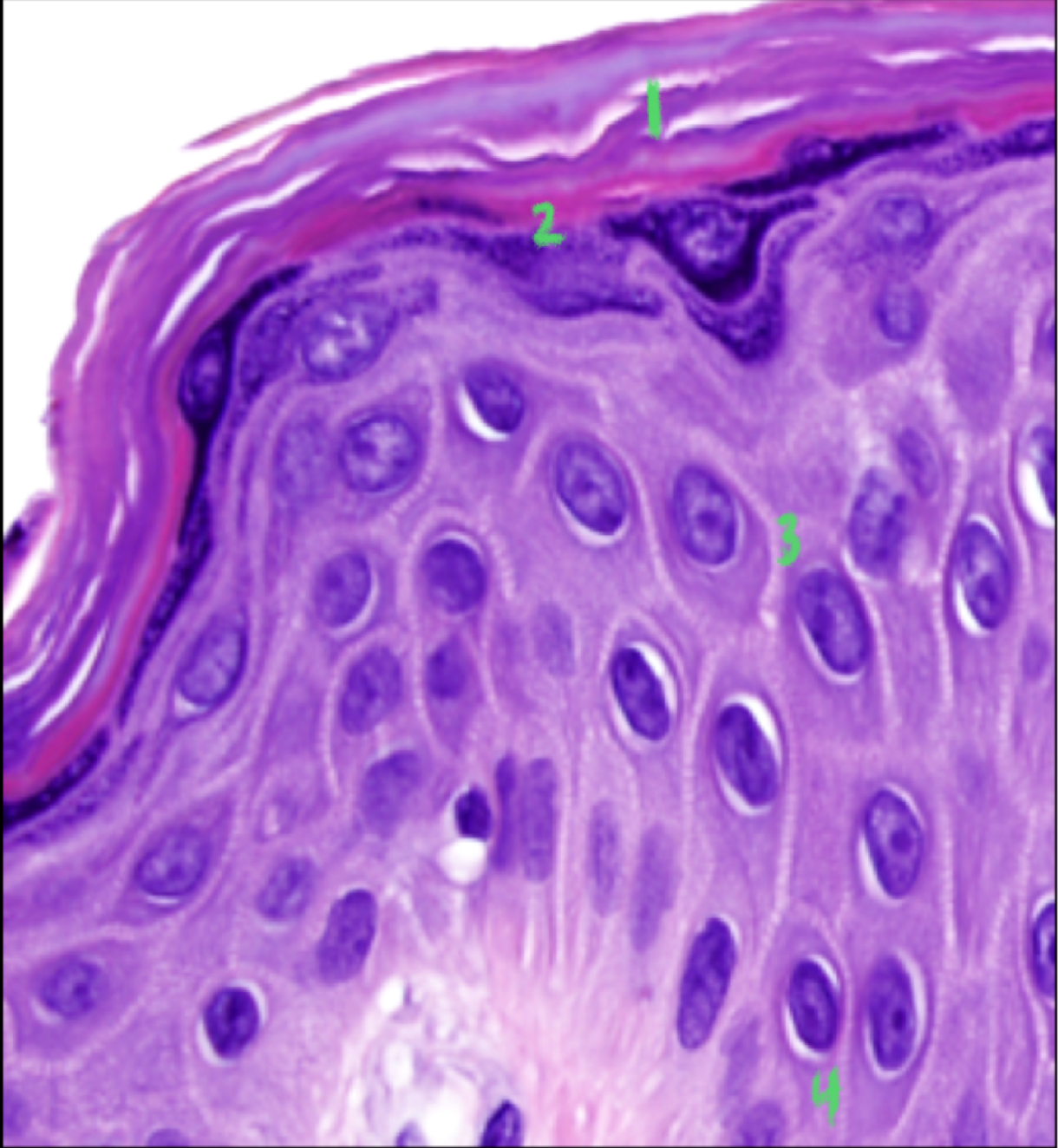
What are the four layers of the keratinocytes and what is the function of each?

What proteins are secreted by keratinocytes? Two types of proteins, but three total.
When there are mutations in keratin, what disease occurs and what is its manifestation?
What is the function of the Langerhans Cells in the Epidermis? What can dysfunction of them lead to?
What is the function of melanocytes and what layer of the epidermis are they found in? What can their dysfunction lead to?
Basal layer, protect from UV damage
Dysfunction: can lead to DNA damage and therefore XP
What is the general function of the dermis and what are the main cells in this layer (what is then function of these cells)?
What are the two layers of the dermis and how do they appear?

What three diseases can result from dysfunction of the dermis? Discuss the defects in these three diseases.
What occurs in the subcutis (hypodermis)?
Subcutis (Hypodermis)
List the appendages of the skin.
List the function and dysfunction (what condition) of hair follicles?
What is the anatomy of nails and what is a condition that is caused by the dysfunction of nails?

What do sebaceous glands do, where do they attach, and what can dysfunction cause?
Where are the two places where the vascular plexi is located? What is the function and what can be caused by dysfunction?
What is caused by the dysfunction of nerves?
What are the phases of injury and regneration of the skin? 4 phases.
Injury Repair and Regeneration
What is the morphology and general distribution of psoriasis vulgaris?
What is the morphology, distribution, and what is a similar skin condition of psoriasis inverse?
What is the morphology or psoriasis guttate?
1000s of small scaly drops