Dermatopathology Flashcards

(376 cards)

1
Q
  1. This neoplasm derives from which structure?

A-Apocrine gland
B-Hair follicle
C-Eccrine duct
D-Subcutaneous fat E-Muscle

A

Correct choice: A. Apocrine gland

Explanation: Adenoid cystic carcinoma is considered a malignant apocrine tumor. It appears most commonly in the oral cavity and has a very unpredictable course.

How well did you know this?
1
Not at all
2
3
4
5
Perfectly
2
Q
  1. If positive, which immunohistochemical stain supports further evaluation with colonoscopy and cystoscopy?

A. CK20

B. Congo Red

C. S100

D. CD34

E. Neuron specific enolase

A

Correct choice: A. CK20

Explanation: Extramammary Paget’s Disease is an intraepithelial adenocarcinoma of apocrine glands that presents with a well-demarcated erythematous plaque in the genital area. Histologically, pagetoid cells stain positive for CK7, unlike pagetoid melanoma cells which stain positive for S100. CK20 staining has been associated with secondary EMP in the setting of underlying gastrointestinal or genitourinary carcinoma.

How well did you know this?
1
Not at all
2
3
4
5
Perfectly
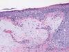
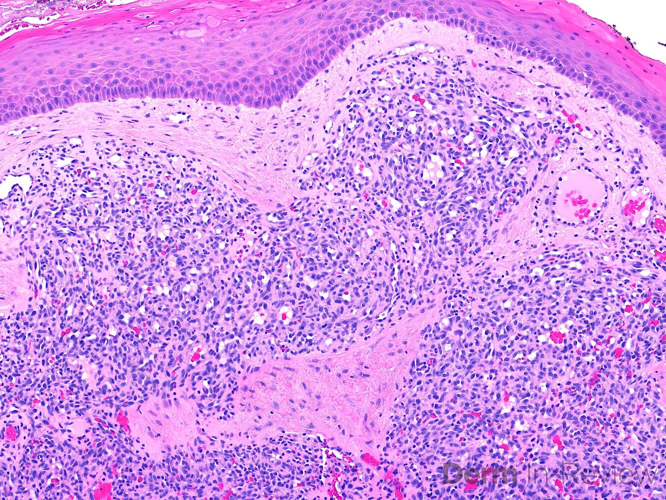
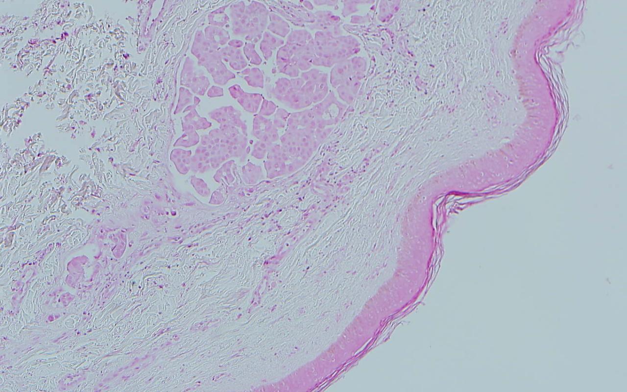
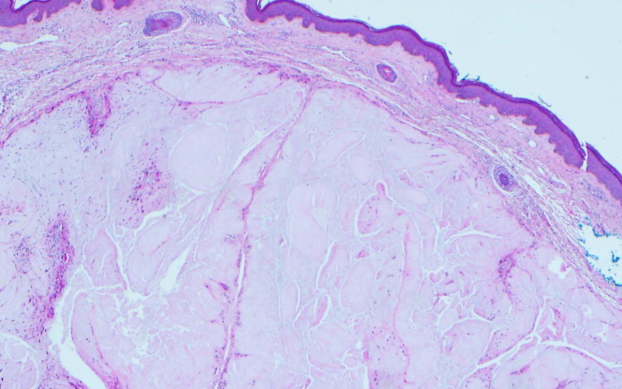
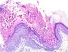
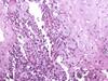
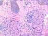
3
Q
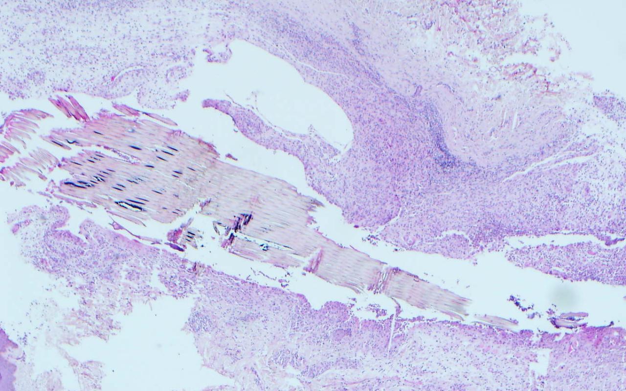
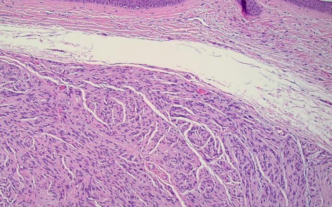
  1. A 60-year-old man presents with a poorly demarcated, symmetric, very painful patches of erythema and retiform purpura favoring the buttocks. Bullae and a dusky gray discoloration developed and ulcerations appeared with a black, leathery eschar. Upon palpation there is a surrounding subcutaneous induration that extends beyond the margins of the visibly active lesions. You perform a skin biopsy (see image). Which of the following is the most likely diagnosis?

A. Calciphylaxis

B. Cryoglobulinemia

C. Protein C deficiency

D. Warfarin necrosis

E. Subcutaneous fat necrosis

A

Correct choice: A. Calciphylaxis

Explanation: calciphylaxis is characterized by intimal fibrosis and medial vascular calcification (that can become transmural) as well as transdifferentiation of vascular smooth muscle cells into osteoblast-like cells; these changes plus thrombosis lead to ischemic necrosis of the skin and soft tissues. Early lesions usually present as poorly demarcated, often symmetric, very painful patches of erythema or retiform purpura. They favor areas with abundant adipose tissue or sites of trauma. Bullae or a dusky gray color may then develop, signifying imminent tissue necrosis and the appearance of ulcerations with black, leathery eschars. Often there is surrounding subcutaneous induration that extends beyond the margins of the visibly active lesions and this can be helpful in distinguishing calciphylaxis from other forms of retiform purpura.
2- Cryoglobulins cause disease via two mechanisms: occlusion (type I) or immune complex- mediated vasculitis (types II, III). Simple occlusion with minimal early inflammation and often retiform purpura/necrosis develops when cryoproteins precipitate upon cold exposure, and this is primarily a reflection of monoclonal immunoglobulins (IgG, IgM ≫ IgA, light chains), i.e. type I cryoglobulinemia that is due to an underlying plasma cell dyscrasia or lymphoproliferative disorder.
Immune complex disease leads to inflammatory purpura that is palpable, and this is related to mixed cryoglobulinemia (types II or III), often due to hepatitis C viral infection.
3- In contrast, homozygous (or compound heterozygous) deficiency or severe dysfunction of either protein C or protein S leads to neonatal purpura fulminans within a few hours to 5 days after birth, and it is fatal unless treated.
4- In warfarin necrosis, the procoagulant system takes significantly longer to reach its low-point equilibrium than does the protein C-dependent anticoagulant activity. Warfarin necrosis usually develops within 2–5 days of starting warfarin in the absence of heparin, and it is much more likely to occur if loading doses of warfarin are used. A history of warfarin therapy is not mentioned in the clinical stem.
5- Subcutaneous fat necrosis is the development of one or more mobile, firm, subcutaneous nodules or plaques during the newborn period. It is sometimes associated with hypercalcemia or thrombocytopenia. Histology is characterized by granulomatous lobular panniculitis with needle- shaped clefts within lipocytes and giant cells.

How well did you know this?
1
Not at all
2
3
4
5
Perfectly
4
Q
  1. What medication causes the following lesion to erupt?

A. Metformin

B. coumadin

C. ace inhibitors

D. Indinavir

E. azathioprine

A

Correct choice: D. Indinavir

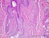
Explanation: Indinavir, capecitabine, systemic retinoids, hydroxyurea and GMCSF cause pyogenic granulomas to erupt.

How well did you know this?
1
Not at all
2
3
4
5
Perfectly
5
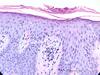
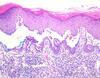
Q
  1. This rash is characterized histologically by what finding?

A. Wedge-shaped infiltrate with large cells within the infiltrate

B. Lichenoid infiltrate

C. Acanthosis and neutrophilic aggregates in the epidermis

D. Mounds of parakeratosis

E. Irregular acanthosis

A

Correct choice:D. Mounds of parakeratosis

Explanation: This is pitryriasis rosea which is characterized by mounds of parakeratosis histologically.

How well did you know this?
1
Not at all
2
3
4
5
Perfectly
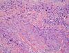
6
Q
  1. The following clinical manifestation is most commonly seen in the setting of:

A- liver failure
B- renal failure
C- thyroid disease
D- a genetic disorder
E- obesity

A

Correct choice: B. renal failure

Explanation: Calciphylaxis (calcific uremic arteriolopathy): ulcers with black eschars, violaceous reticulated plaques on proximal limbs of patients with end-stage renal disease, often with hyperparathyroidism, sometimes resulting in death, calcification in small- to medium-sized blood vessels in dermis and fat, with secondary thrombosis, panniculitis, and fat necrosis.

How well did you know this?
1
Not at all
2
3
4
5
Perfectly
7
Q
  1. Immunohistochemical staining with neuron-specific enolase is positive in:

A. Anaplastic large cell lymphoma

B. Malignant firbroushistiocytoma

C. Cutaneous T cell lymphoma

D. Merkel cell carcinoma

E. Sebaceous carcinoma

A

Correct choice: D. Merkel cell carcinoma

Explanation: Neuron-specific enolase (NSE) is a cytoplasmic product produced by Schwann cells and neurons. This enzyme is present in neuroendocrine cells, neurons and tumors derived from them. Positive staining for NSE is found in Merkel cell carcinomas, carcinoid tumors, and malignant melanoma (among others). The remaining answer choices show negative staining with NSE.

How well did you know this?
1
Not at all
2
3
4
5
Perfectly
8
Q
  1. This lesion is characterized by dermal deposition of which material?

A. Amyloid

B. Mucin

C. Fibrin

D. Uric acid

E. Lipid

A

Correct choice: D. Uric acid

Explanation: Gouty tophi are formed by the deposition of monosodium urate crystals. Fibrin is found in rheumatoid nodules, and mucin is deposited in lesions of granuloma annulare.

How well did you know this?
1
Not at all
2
3
4
5
Perfectly
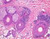
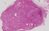
9
Q
  1. On histology of a eccrine ductal carcinoma there are ducts and nest of epithelial cells associated with a dense fibrous stroma. There is variable nuclear pleomorphism, mitotic activity, and are positive for CK7 and also:

A. Estrogen and progesterone receptor positive
B. CK20 positive
C. Oil red O
D. p53 positive
E. Keratin positive

A

Correct choice: A. Estrogen and progesterone receptor positive

Explanation: In an eccrine ductal carcinoma, the estrogen and progesterone receptor can be positive. They are often positive for CK7, CEA, negative CK20, S100 and GCDFP-15 positive.

How well did you know this?
1
Not at all
2
3
4
5
Perfectly
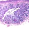
10
Q
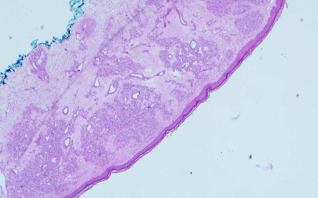
  1. What is this condition?

A. Gouty Tophus

B. Sarcoid

C. Keratin granuloma

D. Rheumatoid Nodule

E. Granuloma annulare

A

Correct choice: A. Gouty Tophus

Explanation: Gouty Tophi occur due to an accumulation of monosodium urate in the tissues. Deposits in the dermis act as a foreign body and granulomas form around these deposits. Unless the tissue is fixed with alcohol (Carnoy’s fixative), the yellow brown crystals of gout are not well visualized on H and E. When the tissue is submitted in formalin the tophus appears pink and amorphous.Gout is diagnosed in the initial attack by using a needle and syringe to extract a small sample of fluid from around the affected joint space. MSU crystals can be identified under the microscope. This test is also important to rule out other causes of an inflamed joint, such as infection. If a biopsy sample is taken, the specimen should be placed in alcohol, as formalin dissolves urate crystals. Joint x-rays may show findings consistent with gout, but these findings are not diagnostic on their own. Furthermore, early on in the disease, x-rays may be normal or show soft tissue swelling only. Urate levels may be elevated in the blood, but this finding alone is not diagnostic. In some cases, the level may even be below urate saturation.

How well did you know this?
1
Not at all
2
3
4
5
Perfectly
11
Q
  1. Positive staining with Gross cystic disease fluid protein 15 (GCDFP-15) suggests:

A. An apocrine origin

B. An eccrine origin

C. A sebaceous origin

D. A follicular origin

E. A keratinocyte origin

A

Correct choice: A. An apocrine origin

Explanation: Gross cystic disease fluid protein-15 (GCDFP-15) is a commonly used apocrine marker. Gross cystic disease fluid protein-15 (GCDFP-15) is not a marker of the remaining answer choices.

How well did you know this?
1
Not at all
2
3
4
5
Perfectly
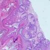
12
Q
  1. The best diagnosis is:

A. Schwannoma

B. Neurofibroma

C. Pallisaded and encapsulated neuroma

D. Perineurioma

A

Correct choice:C. Pallisaded and encapsulated neuroma Explanation: Pallisaded and encapsulated neuroma

How well did you know this?
1
Not at all
2
3
4
5
Perfectly
13
Q
  1. What is your best diagnosis?

A. Sebaceous Glands

B. Sebaceum

C. Lichen Planus

D. Atopic Eczema

E. Angiofibroma

A

Correct choice:E. Angiofibroma

Explanation: Angiofibroma is a small reddish spot or bump that consists of fibrous tissue and blood vessels. They are most commonly found around the nose, cheeks, and chin, often combining to form a distinctive butterfly-shaped pattern. Previously known as adenoma sebaceum.

How well did you know this?
1
Not at all
2
3
4
5
Perfectly
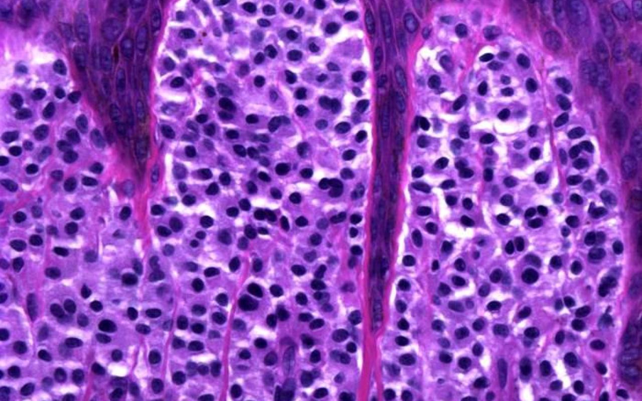
14
Q
  1. What immunohistochemical stain is most likely to be positive in this condition?

A. HPV

B. HHV-8

C. PAS

D. S100

E. Tryptase

A

Correct choice: E. Tryptase

Explanation: The figure illustrates lesions of urticaria pigmentosa, which stain positively for tryptase or c-kit as well as Giemsa, Leder, or toluidine blue. Patients typically present with red- brown macules or slightly raised papules which may demonstrate a positive Darier’s sign (urticaration with rubbing). HPV stain is positive in verrucae, HHV-8 is positive in Kaposi Sarcoma, PAS is positive in a variety of conditions and is helpful in visualizing dermatophytes in the epidermis, and S100 is found in a variety of conditions including melanoma.

How well did you know this?
1
Not at all
2
3
4
5
Perfectly
15
Q
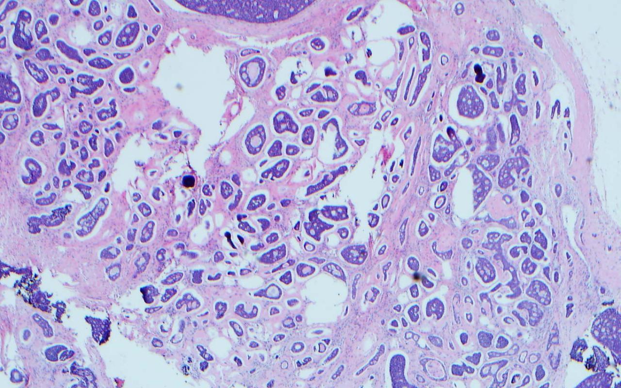
  1. Which of the following is the most likely diagnosis of this image?

A. Lipoma

B. Merkel cell carcinoma

C. Metastatic adenocarcinoma

D. Melanoma

E. Myxoid neurothekeoma

A

Correct choice:C. Metastatic adenocarcinoma

Explanation: In this image, the lymphatics are filled with large atypical cells trying to form glands making metastatic adenocarcionma the most likely diagnosis. Merkel cell carcinoma is a sheet of blue cells with salt and pepper nuclei. A lipoma is a collection of normal fat. Melanoma would have nests of atypical melanocytes. A myxoid neurothekeoma would be a loose collection of cells in thekes with a cellular stroma and the cells do not attempt to form glands.

How well did you know this?
1
Not at all
2
3
4
5
Perfectly
16
Q
  1. What is this neoplasm?

A. Mastocytoma

B. Poroma

C. Glomus tumor

D. Langerhans cell histocytosis

E. Nevus

A

Correct choice:E. Mastocytoma

Explanation: Approximately 10% cases of mastocytosis present as a solitary lesion, otherwise known as a mastocytoma. Typically they present in childhood on trunk or wrist and usually are self limited and spontaneously resolve. Histologically the epidermis overlying the mast cell proliferation is often hyperpigmented. Within the dermis there are increased numbers of “fried egg” mast cells. Often the mast cells are primarily located in the upper dermis where they fill and expand the dermal papillae. Frequently admixed among the mast cells there are increased numbers of eosinophils.

How well did you know this?
1
Not at all
2
3
4
5
Perfectly
17
Q
  1. A male patient presents with hypopigmented macules on his upper back that are asymptomatic and more noticeable in the summer. What is the most likely diagnosis?

A. pityriasis rosea

B. vitiligo

C. tinea versicolor

D. eczema

E. waardenberg syndrome

A

Correct choice:C. tinea versicolor

Explanation: Tinea versicolor often is asymptomatic and more noticeable in the summer as patients often tan and the areas with the tinea versicolor do not tan as azeleic acid is secreted by the malassezia and melanin production is suppressed.

How well did you know this?
1
Not at all
2
3
4
5
Perfectly
18
Q
  1. On histology, this type of dermatofibrosarcoma protuberans is associated with recurrence and is regarded as a poor prognosis. It is characterized by a typical herringbone morphology of more closely packed spindled cells with increased mitosis. This best describes:

A. Bednar tumor

B. Fibrosarcomatous tumor

C. Giant cell fibroblastoma

D. Fibroblastic tumor

E. Angiodermatofibrosarcoma tumor

A

Correct choice: B. Fibrosarcomatous tumor

Explanation: This best describes the fibrosarcomatous type of dermatofibrosarcoma protuberans. It has a high rate of recurrence and is associated with a poor prognosis. They are also CD34+ and wide excision is recommended.

How well did you know this?
1
Not at all
2
3
4
5
Perfectly
19
Q
  1. Cellular neurothekeoma stains with:

A. Stromelysin-3
B. Desmin
C. S-100
D. PGP-9.5
E. Low molecular weight keratin

A

Correct choice: D. PGP-9.5

Explanation: PGP-9.5 and S100-a6 stains cellular neurothekeoma. Stromelysin-3 is positive in dermatofibromas and negative in dermatofibrosarcoma protuberans. Desmin stains rhabdomyosarcoma. S-100 stains neural tumors and melanocytic tumors among other things, but cellular neurothekeomas are generally S100-negative.

How well did you know this?
1
Not at all
2
3
4
5
Perfectly
20
Q
  1. What is the best diagnosis for this vesiculobullous disorder?

A. Bullous Pemphigoid

B. Porphyria Cutanea Tarda

C. Pemphigus vulgaris

D. Dermatitis Herpetiformis

E. Arthropod Bite

A

Correct choice:A. Bullous Pemphigoid

Explanation: Bullous Pemphigoid: Most common subepidermal blistering disease that frequently occurs on abdomen, groin, flexor surface of arms and legs of the elderly. In men an association with HLA-DQ7 has been seen. Often eosinophilia and elevated IgE is seen in the serum. The pathogenesis of this blistering disorder is due to binding of antibodies, IgG1 and 4 or IgE and rarely IgA, to BPAg I (230kd) and/or BP Ag II (180kd) in the hemidesmosome. Histologically there is a unilocular subepidermal blister with eosinophils. Early lesions may show eosinophilic spongiosis with papillary dermal edema. Within the dermis there is a lymphocytic eosinophilic infiltrate that is both perivascular and interstitial. DIF shows linear deposits of C3> IgG along the DEJ. Salt split skin show localization of immunoreactants in the vesicle roof. Circulating anti-BMZ antibodies are seen in 60-80% of patients but do not correlate to disease activity.

How well did you know this?
1
Not at all
2
3
4
5
Perfectly
21
Q
  1. The PDGF gene has been shown to be translocated into the collagen I gene in:

A. Angiofibroma

B. Dermatofibroma

C. Dermatofibrosarcoma protuberans

D. Fibrous hamartoma of infancy

E. Solitary fibrous tumor

A

Correct choice:C. Dermatofibrosarcoma protuberans

Explanation: A translocation involving the PDGF gene and collagen I gene is found in dermatofibrosarcoma protuberans.

How well did you know this?
1
Not at all
2
3
4
5
Perfectly
22
Q
  1. Which disease process best describes Texier’s disease?

A. Neutrophilic dermatosis
B. Deposition disorder
C. Infectious process
D. Panniculitis
E. Granulomatous disease

A

Correct choice:D. Panniculitis

Explanation: Texier’s disease is a panniculitis secondary to vitamin K injections causing sclerotic lesions with lilac borders on the buttocks and thighs resembling a cowboy belt and holster. Inflamed nodules with varying degrees of pain and fibrosis have been observed in other forms of panniculitis due to injection, with the distribution of lesions sometimes providing a clue to their cause. A dramatic example of this is Texier disease, a panniculitis due to phytonadione (vitamin K) injections. In this disorder, sclerotic lesions with lilac-colored borders form on the buttocks and thighs, in aconfiguration resembling a “cowboy gunbelt and holster”. Lesions due to blunt trauma often have an ecchymotic character andinvolve locations such as the shin, arm or hand. Hypertrichosis may also be present, possibly the consequence of local hyperemia or angiogenesis.

How well did you know this?
1
Not at all
2
3
4
5
Perfectly
23
Q
  1. What is the most likely diagnosis?

A. Wood splinter

B. suture

C. silicone

D. gel foam

E. Hyaluronic acid

A

Correct choice:A. Wood splinter

Explanation: Wood splinter is brown with rectangular cells. Suture is typcially a circle filled with many smaller circles. Silicone is a collection of vacoules. Gel foam is an irregularly shaped purple mass. Hyaluronic acids are just like mucin wispy and purple collections.

How well did you know this?
1
Not at all
2
3
4
5
Perfectly
24
Q
  1. This disorder is sometimes asscociated with what other symptoms?

A. Fissured tongue and facial nerve palsy

B. Shortness of breath

C. Angiomas

D. Atopic dermatitis

E. Neuroma

A

Correct choice:A. Fissured tongue and facial nerve palsy

Explanation: Melkersson-Rosenthal syndrome is traditionally characterized by the triad of granulomatous cheilitis, facial nerve palsy, and fissured tongue.

How well did you know this?
1
Not at all
2
3
4
5
Perfectly
25
25. Diffuse staining with this marker is suggestive of BCC rather than trichoepithelioma: A. CAM 5.2 B. Bcl-2 C. PTAH D. CEA E. Cytokeratin 8
Correct choice:B. Bcl-2 Explanation: Trichoepitheliomas stains with bcl-2 on the periphery of individual tumor islands while BCC stains diffusely.
26
26. This biopsy was obtained from an immunosuppressed patient with multiple bruise like lesions on arms and legs. What is this neoplasm? A. Kaposi's sarcoma B. Lobular hemangioma C. Targetoid hemosiderotic hemangioma D. Tufted hemangioma E. Angiosarcoma
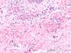
Correct choice A. Kaposi's sarcoma Explanation: Kaposi's Sarcoma: The vascular proliferation in all subtypes of Kaposi's sarcoma are associated with an infection with HHV-8. Histologically early on there is a subtle proliferation of irregular angulated slit like blood vessels in dermis that dissects the collagen. When these new blood vessels encase preexisting blood vessels it's called a promontory sign. In the stroma there is a lymphoplasmacytic infiltrate, extravasated red blood cells and hemosiderin. Blood tests may show no abnormality, depending on whether there are associated disorders such as AIDS. Anaemia may arise if there is bleeding. KSHS assays or antibody titers to KSHS are challenging to interpret. CD4 lymphocyte counts and plasma HIV load studies are performed in patients with HIV infection. The appearance of Kaposi sarcoma lesions is often typical, but a skin biopsy of a lesion allows a definite diagnosis, as various lesions such as melanoma, fungal infections, and mycetoma mimic Kaposi sarcoma in appearance and location. The histopathology of Kaposi sarcoma shows red cells in slit-like spaces formed by atypical spindle cell proliferation of endothelial cells and associated with inflammatory cells.
27
27. What is the diagnosis? A. Sarcoidosis B. Tuberculosis C. Rosacea D. Leprosy E. Granulomatous leishmaniasis
Correct choice:E. Granulomatous leishmaniasis Explanation: Long-standing lesions of chronic cutaneous leishmaniasis will often show granulomatous inflammation with scarce organisms.
28
28. Mutations in this gene are associated with this dermatopathologic presentation: A. PTHRP B. c-Kit (CD117) C. FGFR3 D. NRAS E. TERT
Correct choice:B. c-Kit (CD117) Explanation: Picture is of mastocyotosis pathology with positive Giemsa staining.
29
29. A 44-year old man presents with a beefy red plaque involving the right penile shaft. Biopsy would reveal which of the following histologic findings: A. Asteroid Bodies B. Caterpillar Bodies C. Cowdry Type A Bodies D. Donovan Bodies E. Dutcher Bodies
Correct choice D. Donovan Bodies Explanation: Granuloma Inguinale is caused by Klebsiella granulomatis. This infection presents as a chronic suppurative infection of the genital region. Biopsy reveals Donovan bodies, which are intrahistiocyte inclusions comprised of the implicated organisms. These stain positively with both Warthin-Starry stain and Giemsa.
30
30. Treatment of postmenopausal women with systemic conjugated estrogens has demonstrated: A. Increased cellular atypia B. Decreased mitotic activity of keratinocytes C. Increased dermal collagen content D. Decreased sebaceous gland activity E. Increased skin laxity
Correct choice:C. Increased dermal collagen content Explanation: Systemic use of conjugated estrogens in postmenopausal women increases total skin thickness, dermal collagen content and mitotic activity of keratinocytes. In addition, there is a reduction of dry skin, slackness and increased hydration.
31
31. Leukocytoclastic vasculitis is typically a part of the histology of which condition? A. Rheumatoid neutrophilic dermatosis B. Erythema elevatum diutinum C. Urticaria D. Granuloma inguinale E. Sweet's Syndrome
Correct choice:. B . Erythema elevatum diutinum Explanation: Erythema elevatum diutinum histologically shows a leukocytoclastic vaculitis, but with prominent interstitial neutrophils. Other conditions with evidence of LCV include IgA vasculitis, granuloma faciale, urticarial vasculitis, and occasionally serum sickness. Rheumatoid neutrophilic dermatitis is seen in the setting of severe rheumatoid arthritis. The pathogenesis is not understood, but in the few reports of this rare dermatosis, a true vasculitis has not been seen. Classically, Sweet's syndrome also does not show evidence of a true vasculitis. LCV is not a typical histologic finding in urticaria or granuloma inguinale.
32
32. What structure does this tumor most commonly invade? A. blood vessels B. hair follicle C. nerves D. sebaceous gland E. arrector pili muscle
Correct choice:C. nerves Explanation: Microcystic adnexal carcinomas typically have perineural involvement. They must be distinguished from desmoplastic trichoepitheliomas, syringomas and morpheaform BCCs.
33
33. The pathology seen here is taken from a 68-year-old male with a diffuse skin eruption, with few blisters and crusting on the oral mucosa. Which of the followin is the most likely diagnosis? A. Lupus erythematosus (chronic or discoid) B. Pemphigus vulgaris C. Tumid lupus D. Porphyria cutanea tarda E. Bullous pemphigoid
Correct choice:B. Pemphigus vulgaris Explanation: The suprabasal acantholysis that extends down adnexal structures is most consistent with pemphigus vulgaris. Chronic discoid lupus and tumid lupus will have superficial and deep perivascular lymphoid infiltrates and dermal mucin.PCT will have a cell-poor subepidermal vesicle and thickening of superficial dermal blood vessels. Bullous pemphigoid will have a cell-rich subepidermal vesicle with eosinophils.
34
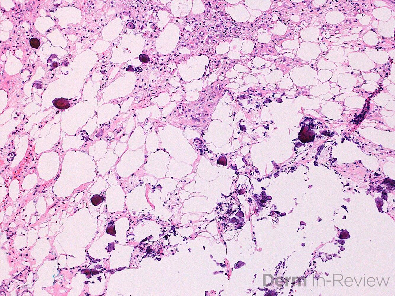
34. What is the diagnosis? A. Calciphylaxis B. Polyarteritis nodosa C. Leukocytoclastic vasculitis D. Erythema nodosum E. Cryoglobulinemia
Correct choice:A. Calciphylaxis Explanation: Calciphylaxis: seen in patients with elevated Ca-PO4 product and secondary hyperparathyroidism most commonly patients in renal failure. Calcification occurs within the media of vessels in the lower dermis resulting in intimal hyperplasia and secondary intraluminal thrombi. Vascular occlusion then results in epidermal/dermal infarction. A deep wedge skin biopsy may be necessary to diagnose calciphylaxis, as a similar appearance can be seen in other conditions such as necrotizing fasciitis, cryoglobulinemia, antiphospholipid syndrome, coumarin necrosis, and vasculitis. Multiple biopsies may be necessary, with a risk of propagating calciphylaxis. The pathologist looks for calcium deposited within scarred and blocked blood vessels in the subcutaneous tissue. Perieccrine calcium deposition may be noted when vascular calcification is absent but may be subtle. There may also be inflammation of the fat (panniculitis). X-rays of the affected limb may demonstrate vascular calcification within the skin; however, this may also be seen in healthy patients with renal disease that are not affected by calciphylaxis. Bone scintigraphy using technetium Tc 99m bisphosphonates in patients with calciphylaxis shows increased radiotracer uptake in soft tissues throughout the body and is specifically enhanced in indurated plaques affected by calciphylaxis (but is absent in ulcers due to reduced blood flow at sites of tissue necrosis).
35
35. This lesion is part of the constellation of findings in which genodermatosis? A. Neurofibromatosis I B. Darier's disease C. Brooke-Spiegler syndrome D. Cowden's disease E. Birt-Hogg-Dube syndrome
Correct choice:E. Birt-Hogg-Dube syndrome Explanation: Birt-Hogg-Dube syndrome is caused by a mutation of the FLCN gene which encodes a protein called folliculin. The disorder is characterized by the presence of fibrofolliculomas, trichodiscomas, and acrochordons.
36
36. What type of nevus is represented in this image? A. Blue B. Spitz C. Dysplastic D. Combined E. Balloon cell
Correct choice:D. Combined Explanation: This nevus is composed of two distinct populations of melanocytes; thus, it would be considered a combined nevus.
37
37. This presented as a papule with a tuft of hair on the face, what is this neoplasm? A. Trichofolliculoma B. Trichoepithelioma C. Fibrous Papule D. Acrochordon E. Fibrofolliculoma
Correct choice:A. Trichofolliculoma Explanation: Trichofolliculoma: Most often occurs on the face as a papule with a tuft of hair. Histologically composed of a central dilated large follicle (Mama hair), from which many secondary smaller hair follicles radiate (Baby hairs), with the entire unit often enveloped in a vascularized fibrotic stroma. If sebaceous glands are associated with the hair follicles then the term used is a sebaceous trichofolliculoma or a Folliculosebaceous cystic hamartoma. Within the mesenchymal stroma there are increased CD34 and factor XIIIA fibroblasts and Merkel cells as is seen in the ORS of the follicles. Prototypically, a trichofolliculoma consists of a central cystic space with infundibular cornification and central orthokeratin. Sometimes, cross-sections of hair shafts are identifiable within the cyst. Relatively well-developed and occasionally oddly formed vellus follicles protrude in radial fashion from the central structure. The follicles usually display a bulb and papilla and exhibit inner and outer sheath and isthmic differentiation. The entire structure, including the central cyst and its associated radiating follicles, is enveloped by a vascularized fibrous (angiofibroma-like) stroma.
38
38. Which of the following are true of reticulohistiocytoma? A. Common in children B. Giant cells with “ground-glass” cytoplasm C. Association with arthritis D. Immunostaining is positive for PTEN E. Trauma is not a precipitating factor
Correct choice: B . Giant cells with “ground-glass” cytoplasm Explanation: Reticulohistiocytomas, also called giant cell reticulohistiocytomas, occur almost exclusively in adults. They are generally solitary, have a ground-glass like cytoplasm and unlike the multicentric type, are not associated with mutilating arthritis or predisposition for malignancy. Trauma may be a predisposing factor, and they do not stain positively for PTEN mutations.
39
39. A 62-year-old man presents a 1.8cm pink, friable mass on his right upper back. A full skin exam shows no other suspicious lesions and no palpable lymph nodes. A shave biopsy is done and the H+E and CK20 immunohistochemistry are shown in the images. Which of the following is the best treatment to proceed with next?
Correct choice:D. Wide local excision with sentinel lymph node biopsy Explanation: The clinical and pathological findings are consistent with a Merkel cell carcinoma. The preferred treatment for a tumor on the trunk without clinically apparent lymphadenopathy is wide local excision (1-3 cm margins) and sentinel lymph node biopsy. If the lymph node biopsy is positive, then the patient will likely require radiation therapy. For lesions >2cm, some clinicians will not perform a sentinel lymph node biopsy since radiation therapy is indicated regardless, given the high risk of lymph node metastasis.
40
40. Supporting evidence for the diagnosis of mycosis fungoides is CD4+ lymphocytes with loss of CD7 as well as loss of A. CD27 B. CD68 C. CD5 D. CD20 E. CD30
Correct choice:C. CD5 Explanation: CD5 as well as CD7 are sometimes lost on the surface of epidermotropic T cells in mycosis fungoides. CD2, CD3, and CD5 are T cell markers. CD20 is a B cell marker. CD30 is positive in anaplastic large cell lymphoma cells, Hodgkins lymphoma, and lymphomatoid papulosis. Reactive infiltrates can also have some CD30-positive cells. CD68 marks histocytes.
41
41. Which of the following immunostains would be positive in primary cutaneous amyloid? A. Cytokeratin 5 B. Cytokeratin 15 C. Melanoma Antigen Recognized by T cells 1 D. CD-31 E. CD-57
Correct choice: A. Cytokeratin 5 Explanation: The amyloid deposits in primary cutnaeous amyloid are derived from keratin intermediate filament proteins. Degeneration of basal keratinocytes in the overlying epidermis likely play a strong role. In one theory, cytokeratin released from apoptotic basal keratinocytes form the amyloid fibrils. Pathology specimens from primary cutaneous amyloid stain positive for cytokeratin 5. The other listed immunostains are not positive in primary cutnaeous amyloid.
42
42. The organism on this slide stained with Warthin-Starry is responsible for what disease? A. Bacillary Angiomatosis B. Cellulitis C. Madura foot D. Pyoderma gangrenosum E. Pyogenic granuloma
Correct choice:A. Bacillary Angiomatosis Explanation: Bacillary (epithelioid) angiomatosis is caused by Bartonella Henselae or Bartonella quintana (trench fever- from body louse). Clinically resembles PG but multiple lesions and in a HIV+ patient, usually with history of exposure to cats. Histologically there is dome shaped lesion with an epidermal collarette with a proliferation of reactive plump blood vessels similar to a PG, but the lesion is less lobular and there is PMNs and dust throughout the lesion along with extracellular clumps of purplish gram ‚¬â€œ bacilli. The organism is + for Warthin-Starry, which highlights the organisms in a characteristic Chinese letter configuration.
43
43. This patient has a black toenail. What is the diagnosis? A. Medication deposition B. Tattoo C. Ungual melanoma D. Tinea unguium E. Intraungual hematoma
Correct choice: E. Intraungual hematoma Explanation: Intraungual hematoma can develop as a result of trauma and can appear black on clinical exam. A histologic examination will show blood within the nail plate.
44
44. What is this lesion? A. Hidradenoma B. Spiradenoma C. Dermal duct tumor D. Trichoepithelioma E. Chondroid syringoma
Correct choice:E. Chondroid syringoma Explanation: Chondroid syringomas (mixed tumors) are well-circumscribed dermal nodules demonstrating epithelial cords and ductal structures in a myxoid, chondroid and fibrous stroma.
45
45. These lesions (hint: double-walled) typically occur on which part of the body? A. Face B. Hands C. Mucosa D. Legs E. Scalp
Correct choice: A. Face Explanation: Hidrocystomas are cysts lined by a double layer of epithelial cells. They most commonly occur on the face but can occur in other areas as well.
46
46. What does this show on histopathology? A. Massive dermal edema with telangiectasias and a lichenoid infiltrate below the dermal edema B. Interface dermatitis C. Lichenoid dermatitis D. Loose myxoid collagen E. Squared off biopsy with thick collagen, decreased adnexal structures and entrapped eccrine glands higher up in the dermis
Correct choice: E. Squared off biopsy with thick collagen, decreased adnexal structures and entrapped eccrine glands higher up in the dermis Explanation: This is morphea which is characterized by a squared off biopsy with dense fibrotic collagen, decreased adnexal structures and entrapped eccrine glands higher up in the dermis.
47
47. All of the following are true regarding smooth muscle hamartomas except: A. Hyperpigmentation B. Transient piloerection C. Hypertrichosis D. Association with “Michelin tire baby” in females E. Becker’s nevus syndrome is an example
Correct choice: D. Association with “Michelin tire baby” in females Explanation: Smooth muscle hamartomas of the skin may develop from three locations: the arrector pili muscles, blood vessel walls, and genital/areolar skin. The have been associated with hyperpigmentation, tranisent piloerection ("pseudo-Darier's sign") and hypertrichosis. It is thought to be the underlying lesion in "Michelin tire baby" syndrome in boys, not girls.
48
48. Which of the following entities can prove difficult to diagnose on H+E histology, as it can appear with similar features to erythema multiforme? A. Erythema elevatum diutinum B. Lichen planus pigmentosus C. Paraneoplastic pemphigus D. Pemphigus erythematosus E. Zoon's balanitis
Correct choice: C. Paraneoplastic pemphigus Explanation: In paraneoplastic pemphigus, there is usually an overt interface or lichenoid infiltrate associated with necrotic keratinocytes at all levels of the epidermis which can closely resemble erythema multiforme. In addition, foci of suprabasal acantholysis are seen. Direct immunofluorescence usually shows intercellular and basement membrane deposition of IgG and C3. The other listed entities do not appear as similar to EM on H+E.
49
49. The predominant location of the cleft in acropustulosis of infancy is: A. Dermal B. Basment mebrane zone C. Basal keratinocytes D. Suprabasal E. Subcorneal/granular
Correct choice: E. Subcorneal/granular Explanation: Acropustulosis of infancy presents as idiopathic pustules on acral skin. Diagnosis is made only after other causes of pustules have been ruled out, and it usually resolves in a few years. The cleft in acropustulosis of infancy is subcorneal/granular with neutrophils.The other listed levels of split are not accurate.
50
50. A patient presents to you for an initial consultation of hair loss. You explain that hair disorders may affect various levels of the hair follicle. What are the layers of the lower portion of the hair follicle from outer to inner? A. Fibrous root sheath, vitreous layer, outer root sheath, inner root sheath (Henle, Huxley, cuticle of inner root sheath), hair cuticle, hair cortex, hair medulla B. Fibrous root sheath, vitreous layer, outer root sheath, inner root sheath (Huxley, Henle, cuticle of inner root sheath), hair cuticle, hair cortex, hair medulla C. Fibrous root sheath, vitreous layer, outer root sheath, inner root sheath (Henle, Huxley, cuticle of inner root sheath), hair cortex, hair medulla, hair cuticle D. Fibrous root sheath, outer root sheath, inner root sheath (Henle, Huxley, cuticle of inner root sheath), vitreous layer, hair cuticle, hair cortex, hair medulla E. Vitreous layer, outer root sheath, inner root sheath (Henle, Huxley, cuticle of inner root sheath), hair cuticle, hair cortex, hair medulla, fibrous root sheath
Correct choice: A. Fibrous root sheath, vitreous layer, outer root sheath, inner root sheath (Henle, Huxley, cuticle of inner root sheath), hair cuticle, hair cortex, hair medulla Explanation: The layers of the lower portion of the hair follicle from outer to inner are: fibrous root sheath, glassy/vitreous layer, outer root sheath, inner root sheath (Henle, Huxley, cuticle of inner root sheath), hair cuticle, hair cortex, hair medulla
51
51. From what cell is this deposition derived? A. Lymphocyte B. Melanocyte C. Sebocyte D. Keratinocyte E. Macrophage
Correct choice:D. Keratinocyte Explanation: This is macular amyloid which is keratinocyte derived and due to chronic rubbing. The other listed cells do not contribute to macular amyloid
52
52. These biopsy findings are most likely related to which compound? A. Silver B. Gold C. Amiodarone D. Minocycline E. Topical hydroquinone
Correct choice:E. Topical hydroquinone Explanation: Exogenous ochronosis is most frequently seen after long-term application of topical hydroquinone compounds. On pathology, there are large yellow-brown 'banana-shaped' deposits in the dermis. Identical findings can be seen in alkaptonuria, which can cause an endogenous ochronosis. Alkaptonuria is caused by an autosomal recessive deficiency of homogentisic acid oxidase.
53
53. Which form of calcinosis cutis would describe calcinosis scroti? A. Idiopathic B. Metastatic C. Dystrophic D. Iatrogenic E. Autoimmune
Correct choice:A. Idiopathic Explanation: Localized calcium deposition frequently occurs idiopathically on the scrotum, penis, or vulva. Metastatic calcification occurs in the setting of abnormal calcium or phosphorus metabolism. Dystrophic calcification occurs in areas of trauma or other damage to tissue. Iatrogenic calcification occurs secondary to a treatment or procedure.
54
54. What is the diagnosis? A. Dermatofibrosarcoma B. Nodular fasciitis C. Angiolipoma D. Epithelioid sarcoma E. Liposarcoma
Correct choice:C. Angiolipoma Explanation: Angiolipomas are tumors of fat that are characteristically painful. Histopathologically, mature adipocytes are seen with numerous vessels. Microthrombi are often present. The other answer choices do not have the pictured histopathological findings.
55
55. Histologic examination of cutaneous metastases from breast cancer is likely to demonstrate: A. Dense lymphocytic infiltration B. Tumors cells perivascularly C. Eosinophilia D. Tumor cells in the lymphatics E. Band-like dermal infiltrate
Correct choice:D. Tumor cells in the lymphatics Explanation: Histologic appearance of metastatic breast carcinoma to the skin typically shows tumor cells in linear arrangement in so-called "Indian-filing" pattern. These tend to occur in the dermis and subcutaneous lymphatics. Extensive lymphatic dissemination may be caused by retrograde lymphatic spread. The tumor cells are large, pleomorphic with hyperchromatic nuclei.
56
56. Mulberry cells contain increased: A. Phagolysosomes B. Mitochondria C. Golgi D. Ribosomes E. Phagolysosomes and mitochondria
Correct choice: B. Mitochondria Explanation: Hibernomas commonly arise in the neck, axillae, and posterior shoulder. The cells are multivacuolated and resemble mulberries; the cells are filled with mitochondria, as are the cells in normal brown fat. The mulberry cells in hibernomas do not contain the other listed organelles.
57
57. A focal non-Langerhans cell histiocytosis with Touton giant cells is seen in a child with Neurofibromatosis Type I. The patient has an increased risk of which of the following conditions? A. Glaucoma B. Acute myeloid leukemia C. Juvenile myelomonocytic leukemia D. Atrial myxoma E. Ocular hypertelorism
Correct choice: C. Juvenile myelomonocytic leukemia Explanation: The described lesion is a Juvenile Xanthogranuloma, which is the most common non- langerhans cell histiocytic neoplasm. These usually affect children and are found in the head and neck area. Touton giant cells are a characteristic histologic finding. There is a vastly increased risk of developing Juvenile myelomonocytic leukemia (choice 3) in patients with JXG and NF1, thought to be due to the RAS oncogene being affected. Ocular JXG may be associated with glaucoma or blindness and thus remains an important entity, but glaucoma risk is not increased with cutaneous JXG. There is no increased risk of AML. Atrial myxoma are seen in NAME/LAMB syndrome. Ocular hypertelorism is seen in LEOPARD syndrome.
58
58. Pustulo-ovoid bodies of Milian can be found associated with which of the following conditions? A. Granular cell tumor B. Leishmaniasis C. Schwannoma D. Chromomycosis E. Rhinoscleroma
Correct choice: A. Granular cell tumor Explanation: Pustulo-ovoid bodies of Milian can be seen in association with granular cell tumors. They appear as relatively large and eosinophilic intracytoplasmic inclusions with a surrounding clear halo. These inclusions characteristically stain positive with PAS and are diastase resistant. Leishmaniasis is associated with leishman-Donovan bodies, which are intracytoplasmic basophilic organismal (amastigotes) inclusions found in parasitized histiocytes. Verocay bodies may be seen in schwannomas, which appear as pallisaded nuclei in rows. Medlar bodies (“copper pennies”) can be seen in cutaneous infectious of chromomycosis and appear as grouped ovoid spores measuring 6 to 12 micrometers both within histiocytes as well as interstitially. Russell bodies are associated with rhinoscleroma and are elliptical basophilic inclusions found in plasma cells and are comprised of immunoglobulins.
59
59. What HPV strain causes this lesion? A. HPV 2 B. HPV 6 C. HPV 5 D. HPV 7 E. HPV 1
Correct choice: E. HPV 1 Explanation: Myrimecial warts are endophytic growths on the soles of the feet. They are caused by HPV 1. There are numerous eosinophilic inclusions within the keratinocytes.
60
60. Biopsy of this lesion reveals a poorly-defined dermal mass of small blue monomorphic round cells with scant cytoplasm and nuclear molding. Which histologic stain is most helpful in distinguishing this lesion from small cell lung carcinoma. A. CK20 B. TTF-1 C. Chromogranin D. Synaptophysin E. Somatostatin
Correct choice:B. TTF-1 Explanation: The pictured image is that of merkel cell carcinoma (MCC), a rare highly aggressive malignant neuroendocrine carcinoma. In order to differentiate MCC from small cell lung carcinoma (SCLC; aka Oat cell carcinoma), another malignant neuroendocrine carcinoma, histologic staining with TTF-1 is most helpful. This is because MCC (nearly always) stains negative for TTF-1, whereas SCLC stains positive for TTF-1. The remaining answer choices will be positive in both MCC and SCLC, so they cannot be used to differentiate between the two malignancies.
61
61. A 40-year-old man presents with many skin-colored papules of the face. He thinks that his grandfather may have had the same condition. A representative skin lesion is biopsied for further evaluation. Which pilar neoplasm is histologically characterized as a fibrous pink or amphophilic fibromucinous orb, no hair fibers, and epithelial strands radiating outward from a central follicle- like structure? A. Fibrofolliculoma B. Trichoepithelioma C. Pilomatricoma D. Trichofolliculoma E. Trichoadenoma
Correct choice:A. Fibrofolliculoma Explanation: In fibrofolliculomas, the strands of epithelium are not well enough differentiated to form hair fibers. No bulb, inner or outer root sheath is present. The strands of epithelium may have an anastomosing pattern. Histolocially there are epithelial strands radiating outward from a central follicle-like structure, no hair fibers, and a fibrous pink or amphophilic fibromucinous orb. Trichoepithelioma: A trichoepithelioma is a blue tumor composed of basaloid cells and is a distinctive type of trichoblastoma. At scan, it has finger-like projections and cribriform nodules. The stroma resembles the normal fibrous sheath of the hair follicle, with concentric collagen and many fibroblasts. Papillary mesenchymal bodies are prominent. Mucin may be present within cribriform tumor islands, but never within the stroma. Pilomatricoma: A pilomatricoma appears as a large ball with internal trabeculae and is characterized by basophilic cells that resemble those of the hair matrix which keratinize to form shadow cells. There is often calcification and bone formation. Trichofolliculoma: A trichofolliculoma demonstrates miniature follicles converging on a central infundibulum embedded in an eosinophilic fibrous orb or stroma. Trichoadenoma: A trichoadenoma is a pilar neoplasm histologically characterized by multiple red doughnuts in the dermis, each resembling a follicular infundibulum, often in pairs resembling eyeglasses or toasted oat cereal.
62
62. The mutation in the syndrome that is most associated with this lesion is which of the following? A. PTCH B. APC C. MSH2 D. PTEN
Correct choice D. PTEN Explanation: Cowden's syndrome is a mutation in PTEN and is associated with tricholemmomas and breast, thyroid and GI carcinoma. They also get acral keratoses and palmar pits and lipomas.
63
63. What is the most likely diagnosis for this single lesion? A. wart B. hailey hailey C. dariers D. pemphigus vegetans E. Warty dyskeratoma
Correct choice: E. Warty dyskeratoma Explanation: Warty dyskeratoma is a cup-shaped invagination with acanthlytic and dyskeratosis. Both hailey hailey and darier's do not have this architecture. Hailey hailey has more acantholysis, dariers has more dyskeratosis, and both are larger plaques. It would be unusal to have one single lesion of hailey hailey, dairers or pemphigus vegetans.
64
64. A 6-month old infant develops tense blisters on the distal extremities which develop on normal- appearing skin. He has a neurologic disease and has been immobilized for a long period of time. The blisters spontaneously heal within 1-2 weeks. You suspect a diagnosis of coma bullae. Which of the following is the key characteristic histologic feature that would assist you in making this diagnosis? A. Necrosis of sweat glands B. Intraepidermal bullae C. Subepidermal bullae D. Pronounced inflammatory cell infiltrate E. Positive direct immunofluorescence for IgG and C3
Correct choice: A. Necrosis of sweat glands Explanation: Coma bullae are predominantly subepidermal. However, intraepidermal blisters are also observed as the result of re-epithelialization of older lesions or epidermal spongiosis. There is a variable degree of epidermal necrosis. Sweat gland necrosis is a characteristic finding, and focal necrosis of the epithelium of the pilosebaceous follicles can also be seen. There is only a sparse inflammatory cell infiltrate. DIF is usually negative, but deposits of IgG, IgM and/or C3 have been found within the walls of dermal blood vessels.
65
65. Biopsy of a mucosal neuroma from a patient with MEN IIb looks histologically like a: A. Neurilemmoma B. Neurofibroma C. Palisaded encapsulated neuroma D. Traumatic neuroma E. Neurothekeoma
Correct choice: C. Palisaded encapsulated neuroma Explanation: Mucosal neuromas in MEN IIb often look histologically like PENs. Occasionally mucosal neuromas display thickened nerves/perineurium. The other listed entities do not typically share the same features as mucosal neuromas in MEN.
66
66. What immunohistochemical stain is most likely to be positive in this condition? A. HPV B. HHV-8 C. PAS D. S100 E. Tryptase
Correct choice: E. Tryptase Explanation: The figure illustrates lesions of urticaria pigmentosa, which stain positively for tryptase or c-kit as well as Giemsa, Leder (chloroacetate esterase), or toluidine blue. Patients typically present with red-brown macules or slightly raised papules which may demonstrate a positive Darier’s sign (urticaration with rubbing). HPV stain is positive in verrucae; HHV-8 is positive in Kaposi Sarcoma. PAS is positive in a variety of conditions and is helpful in visualizing dermatophytes in the epidermis, and S100 is found in a variety of conditions including melanoma.
67
67. A deposition of what substances leads to these deposits? A. Homogentisic acid B. Amyloid C. Fungal organisms D. Colloid E. Tattoo
Correct choice: A. Homogentisic acid Explanation: Ochronosis: can be either endogenous or exogenous. The endogenous form is due to an AR defect in homogentisic acid oxidase, which prevents tyrosine and phenylalanine from being degraded beyond homogentisic acid. The exogenous form of ochronosis, on the other hand, occurs from topical hydroquinone, mercury resorcinol, phenol, picric acid or benzene, or systemic quinine or chloroquine which all inhibits homogentisic oxidase and leads to a focal accumulation of homogentisic acid. Within the superficial dermis there are irregular shaped elongated yellow deposits which have been described as as bananas in the dermis that occur due to deposition of homogentisic acid on the collagen.
68
68. In children with pernio, what may be associated? A. cryoglobulins B. diabetes C. lupus D. calcinosis cutis E. osteoma cutis
Correct choice: A. cryoglobulins Explanation: In kids, pernio can be associated with cryoglobulins and cold agglutinins. It is triggered by cold and wet which results in acral violaceous color with burning and itching.
69
69. In which condition are Gamma-Favre bodies seen? A. Granuloma inguinale B. Lymphogranuloma venereum (LGV) C. Syphilis D. Chancroid E. Herpes virus
Correct choice: B. Lymphogranuloma venereum (LGV) Explanation: LGV is a sexually transmitted disease that is characterized by suppurative inguinal adenitis with matted lymph nodes, inguinal bubo with secondary ulceration, and constitutional symptoms. It is caused by Chlamydia trachomatis serotypes L1, L2, and L3. First line treatment is doxycycline 100mg bid for 3 weeks as well as treating the sexual partners. Gamma-Favre bodies are found in histiocytes in LGV.
70
70. This tumor is vimentin+ and cytokeratin+: A. Angiosarcoma B. Neurothekeoma C. Nodular fasciitis D. Dermatofibroma E. Epithelioid sarcoma
Correct choice: E. Epithelioid sarcoma Explanation: Characteristic immunohistochemistry of epithelioid sarcoma is vimentin and cytokeratin positivity. The other listed tumors do not stain both vimentin+ and cytokeratin+.
71
71. This disorder is characterized by what process? A. Vascular damage caused by infiltration of neutrophils B. Vascular fragility C. Large vessel involvement D. Delayed-type hypersensitivity reaction E. The presence of amyloid
Correct choice: A. Vascular damage caused by infiltration of neutrophils Explanation: Leukocytoclastic vasculitis is characterized by vascular damage caused by the infiltration of neutrophils
72
72-Biopsy of this lesion shows palisading of histiocytes around a focus of necrobiosis and increased mucin deposition in the upper dermis. Lymphocytes and fibroblasts are present around the palisades as well. What is the most likely diagnosis? 1. Cutaneous sarcoidosis 2. Rheumatoid nodule 3. Cutaneous tuberculosis 4. Necrobiosis lipoidica 5. Granuloma annulare
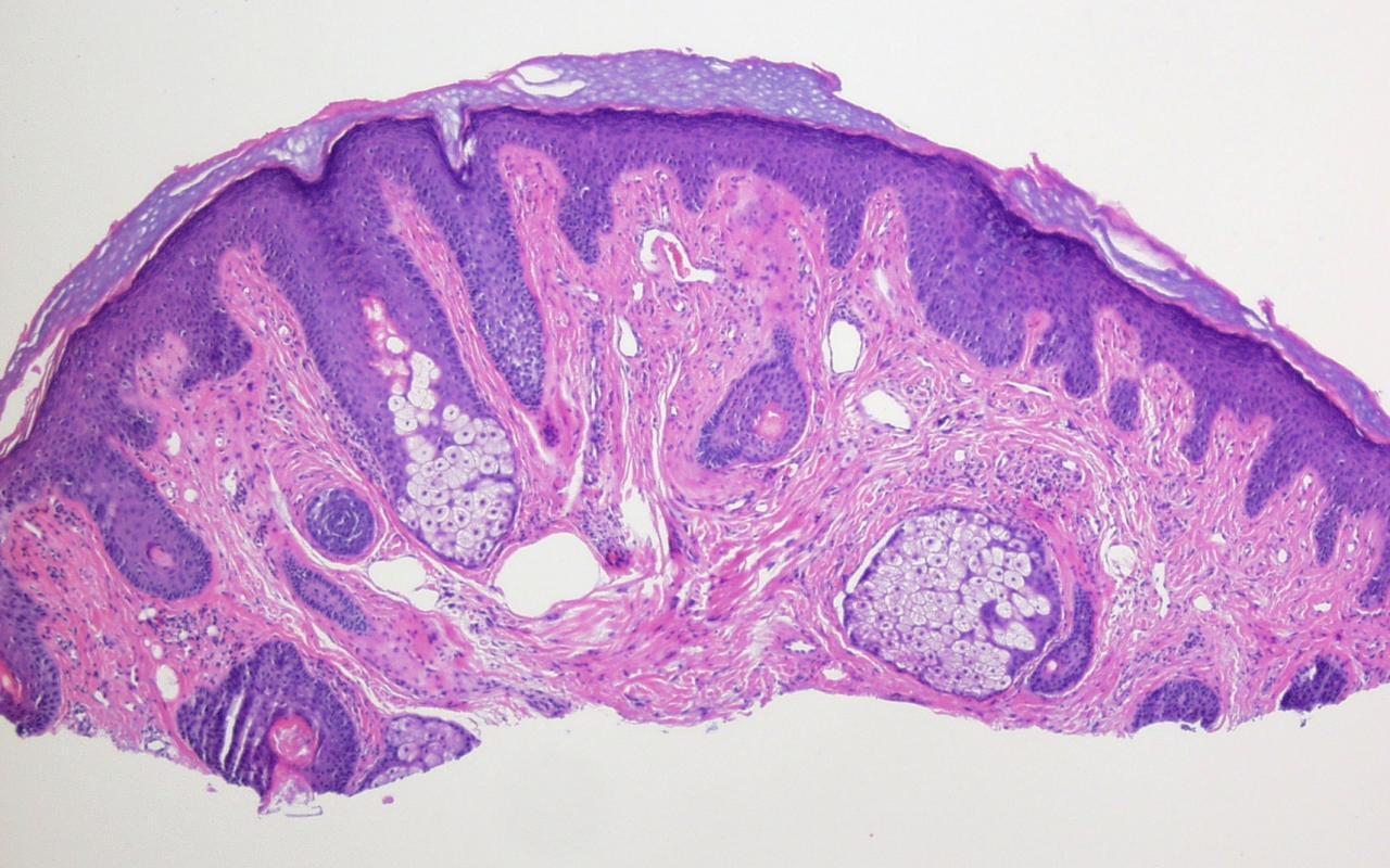
Correct choice: E. Granuloma annulare Explanation: Granuloma annulare (GA) typically presents as an annular, pink/red to violaceous, non-scaly papule or plaque on the dorsal hands or feet. The classic biopsy findings for GA include: mid dermal necrobiotic collagen center surrounded by palisading histiocytes, as well as fibroblasts and lymphocytes; occasional foreign body giant cells, vasculitis and mucin. It is important to note that other variants of GA (subcutaneous, interstitial, perforating) show a different histopathologic picture. Cutaneous sarcoidosis may present as a clinical mimic of GA, but biopsy typically shows "naked" histiocytic collections (i.e. no surrounding lymphocytes) in the dermis without increased mucin deposition. Biopsy of a rheumatoid nodule usually reveals fibrin deposition and necrobiosis often seen in center of nodule surrounded by well developed palisading of histiocytes, vascular granulation tissue, lymphocytes, plasma cells, eosinophils, variable giant cells, fibrosis in older lesions, occasional giant cells. It is important to note that these findings are seen typically in subcutaneous fat or soft tissue, although may extend to deep reticular dermis, whereas granuloma annulare has more superficial findings. Cutaneous tuberculosis is distinguished from GA by the presence of histiocytes surrounding areas of caseation necrosis, as well as the presence of acid-fast bacilli. Lastly, necrobiosis lipoidica most often presents as atrophic, yellow depressed plaques with telangiectasias and active inflammatory edges on the bilateral pretibial areas. A biopsy will show palisading, necrobiotic granulomas consisting of a large confluent area of necrobiosis centered in the superficial dermis and subcutaneous fat (this arrangement has been likened to the appearance of a "layered cake").
73
73. Where is the classic location of this lesion? A. Ear B. Back C. Leg D. Along the milk line E. Dorsal hand
Correct choice: D. Along the milk line Explanation: This is an accessory nipple. You can see the ducts and the smooth muscle as well as the papillomatous epidermis. It is most commonly located on the trunk along the milk line.
74
74. Which blistering disorder clinically and histologically appears as non-inflammatory bullae? A. Porphyria cutanea tarda B. Bullous pemphigoid C. Pemphigus vulgaris D. Linear IgA bullous dermatosis E. Bullous lupus erythematosus
Correct choice: A. Porphyria cutanea tarda Explanation: PCT clinically and histologically presents as non-inflammatory bullae.
75
75. This neoplasm occurs most frequently in what anatomic location? A. Leg B. Mucosa C. Acral D. Head and neck E. Trunk
Correct choice: D. Head and neck Explanation: Desmoplastic melanoma is spindle cell variant of malignant melanoma. It typically occurs in the head and neck region in older individuals. It demonstrates a high recurrence rate but lower rates of metastasis.
76
76. A four-year-old boy presents with a subcutaneous nodule on his cheek which often becomes inflamed and red. This neoplasm (shown in photo) has demonstrated mutations in which gene product, which is a component of a key signaling pathway that influences cell differentiation and proliferation? A. B-catenin B. P53 C. Smoothened D. Rb E. PTCH
Correct choice: A. B-catenin Explanation: Pilomatricoma is a benign neoplasm that demonstrates mutations in CTNNB1, the gene that encodes B-catenin, a component of a key signaling pathway that influences cell differentiation and proliferation and is generally present in matrical neoplasms. Pilomatricomas present as a cyst with basaloid matrical cells that show an abrupt transition to central eosinophilic, cornified matrical cells in which barely discernible nuclear outlines remain. Sometimes pink trichohyaline granules are identified at transition points. Central anucleate cornified cells are referred to as "ghost" or "shadow" cells. 2 – P53 is a tumor suppressor gene and functions primarily as a transcription factor. It is not involved in pilomatricomas. 3 – Smoothened is a protein that is encoded by the SMO gene. It is a class Frizzled G protein-coupled receptor that is a component of the hedgehog signaling pathway. Mutations in SMO are detected in sporadic basal cell carcinomas in which PTCH1 is intact. 4 – Rb gene encodes the retinoblastoma protein, a tumor suppressor protein that is dysfunctional in several major cancers. One function of Rb is to prevent excessive cell growth by inhibiting cell cycle progression until a cell is ready to divide. 5 – PTCH is a tumor suppressor gene that is involved in basal cell carcinoma. Inactivating mutations in PTCH lead to dysfunctional Patched and this stimulates Hedgehog binding and results in constitutive activation in downstream target genes.
77
77. The organisms highlighted by this GMS stain are? A. Blastomycosis B. Coccidioidomycosis C. Mucormycosis D. Candida albicans E. Histoplasmosis capsulatum
Correct choice: A. Blastomycosis Explanation: Blastomycosis: Gilchrist disease, Bird droppings or spores on wood along Mississippi basin, incubation 33-44 days. Most infections develop in previously healthy people. In patients with HIV, 46% will get CNS symptoms, which is 5-10x greater than non-HIV pts. 4 forms, pulmonary, disseminated (CNS, bone, skin and GU) with secondary cutaneous lesions and primary inoculation (rare-1-2 weeks after exposure-sporotrichoid pattern- mixed infiltrate numerous budding organisms). Lesions more typically are verrucous or ulcerated plaques in males on exposed skin- face. Histology: Pseudoepitheliomatosis hyperplasia overlying acute dermal inflammation usually only a few organisms in center of abscess with thick walled 7-15 microns, single broad based bud, has a WI-1 adhesion protein and are best seen with PAS or GMS. Histologic examination of skin lesions demonstrates pseudoepitheliomatous hyperplasia, suppurative and granulomatous inflammation, and round yeast forms with characteristic broad- based budding and thick, double-contoured walls. This budding pattern helps to differentiate blastomycosis from other fungal infections. Methenamine silver and PAS staining allow better visualization of the fungi within giant cells and neutrophilic abscesses. Similar budding yeast forms can be seen in sputum samples.
78
78. What is the diagnosis of this neoplasm in infants? A. Infantile hemangioperictyoma B. Tufted angioma C. Kaposiform hemangioendothelioma D. Dermatomyofibroma E. Giant cell fibroblastoma
Correct choice: A. Infantile hemangioperictyoma Explanation: Infantile hemangiopericytomas are benign lesions. They are multilobulate, with perivascular and intravascular tumors outside the main tumor mass.
79
79. On which anatomic location does this neoplasm typically occur? A. Scalp B. Lower legs C. Arms D. Oral mucosa E. Trunk
Correct choice: B. Lower legs Explanation: Clear cell acanthomas tend to occur on the lower legs of middle-aged or and elderly individuals.
80
80. What is the most likely diagnosis? A. Steatocystoma B. Epidermoid inclusion cyst C. Eccrine Hidrocystoma D. Bronchogenic cyst E. Thyroglossal cyst
Correct choice: C. Eccrine Hidrocystoma Explanation: This is an eccrine hidrocystoma (choice 3) as evidenced by the two layers of cuboidal epithelium with eosinophilic cytoplasm. A steatocystoma typically has a "shark fin" cuticle. An epidermoid cyst approximates the layers of the normal epidermis. Bronchogenic cysts have a respiratory, ciliated lining. A thyroglossal cyst typically has pseudostratified columnar epithelium and lymphoid follicles.
81
81. Treatment of a patient with chronic venous ulceration is best achieved by which modality? A. endovenous laser ablation B. ambulatory phlebectomy C. sclerotherapy D. observation E. surgical excision and debridement
Correct choice: A. endovenous laser ablation Explanation: Venous stasis ulcers often occur due to an incompetent superficial venous system which creates pooling of blood in the ankles. Treatment of the atypical greater saphenous vein with endovenous laser ablation, removes the atypical veins allowing the blood to return to the heart in the deep system, relieveing the pressure in the venous system and thus allows the venous ulceration to heal.
82
82. A lesion with the same pathology as in the photograph is located on the patient's penis. What is the name for these penile lesions? A. Pearly penile papules B. Warts C. Montgomery's tubercles D. Glands of Zeis E. Moll's glands
Correct choice: A. Pearly penile papules Explanation: The pathology shows an angiofibroma. Angiofibromas on the penis are specifically called pearly penile papules and are benign. The patient should be reassured.
83
83. Which of the following is commonly seen histopathologically in pityriasis rosea? A. Absent spongiosis B. Full thickness necrosis C. Exravasated erythrocytes in the subcutaneous fat D. Lichenoid lymphocytic infiltrate E. Focal parakeratosis
Correct choice: E. Focal parakeratosis Explanation: Histopathological features of Pityriasis Rosea include: mild subacute spongiotic dermatitis, focal parakeratosis (corresponds to cigarette paper-like scale), perivascular lymphocytic infiltrate, hemorrhage in papillary dermis, and sometimes a few necrotic keratinocytes. The other answer choices are not commonly seen histopathologically in pityriasis rosea.
84
84. What is the most common symptom of this tumor? A. Tingling B. No symptoms C. Itching D. Burning E. Pain
Correct choice: E. Pain Explanation: This is an angiolipoma, one of the painful tumors. It is most commonly located on the forearm and occurs in men more then women. Histologically you see mature lipocytes with numerous thrombosed vessels.
85
85. In this disorder, colloid bodies are composed of which material? A. Fibrin B. T-cells C. Apoptotic keratinocytes, IgM, and complement D. Langerhans cells E. Basement membrane
Correct choice: C. Apoptotic keratinocytes, IgM, and complement Explanation: Colloid bodies are composed of apoptotic keratinocytes, IgM, and complement.
86
86. Psoriasis has been shown to be genetically linked to: A. Pityriasis rosea B. Clear cell acanthomas C. Epidermodysplasia verruciformis D. Verruciform xanthomas E. Poromas
Correct choice: C. Epidermodysplasia verruciformis Explanation: Mutations have been found in the EVER1 and EVER2 genes in epidermodysplasia verruciformis; these genes are on 17q25, the location of the PSORS2 gene (one of the genes implicated in the inheritance of psoriasis).
87
87. Psoriasis vulgaris may demonstrate all except one of the following histopathologic changes. A. Munro microabscesses B. Clubbing of the rete ridges C. Spongiform pustules of Kogoj D. Hypergranulosis E. Suprapapillary thinning
Correct choice: D. Hypergranulosis Explanation: Psoriasis is characterized by confluent parakeratosis (not focal); hyperkeratosis; neutrophils in stratum corneum (Munro microabscesses) and in spinous layer (spongiform pustules of Kogoj); hypogranulosis; suprapapillary thinning of epidermis (epidermis is very thin over dermal papillar; regular acanthosis (rete ridges about same length), often with clubbed rete ridges; dilated capillaries in dermal papillae (causes Auspitz sign of pinpoint bleeding if scale picked off); perivascular lymphocytes.
88
88. Which of the following stains with Ulex europeus agglutinin I? A. Smooth muscle B. Eccrine glands C. Endothelial cells D. Macrophages E. Melanocytes
Correct choice: C. Endothelial cells Explanation: Ulex europeus agglutinin I is a stain which identifies endothelial cells, keratinocytes, angiosarcomes and Kaposi's sarcoma.
89
89. What is the best description of the histopathology expected for the border of the lesion seen here? A. Regular elongated rete ridges with superficial small vessels B. Epidermal spongiosis with atypical lymphocytes spreading into the epidermis C. Perivascular lymphocytic infiltrate with prominent eosinophils D. Hyperplasia of the superficial epidermis E. Parakeratosis in a column over focal dyskeratotic or vacuolated keratinocytes
Correct choice: E. Parakeratosis in a column over focal dyskeratotic or vacuolated keratinocytes Explanation: This is an image of porokeratosis. While the center of the lesion can have variable histopathology (mild spongiosis or psoriasiform dermatitis), the raised border is represented histologically with a column of parakeratosis over often dyskeratotic or vacuolated keratinocytes. Regular elongated rete ridges is seen in psoriasis. Epidermal spongiosis with atypical lymphocytes spreading into the epidermis can be seen in mycosis fungoides. Perivascular lymphocytic infiltrate with prominent eosinophils can be seen with DRESS syndrome or other drug eruptions. Hyperplasia of the superficial epidermis can be seen in other benign epidermal tumors.
90
90. What is the diagnosis? A. Pigmented purpuric dermatosis B. Livedoid vasculopathy C. Hematoma D. Leukocytoclastic vasculitis E. Thrombotic vasculopathy
Correct choice: C. Hematoma Explanation: A hematoma is defined by the presence of extravasated erythrocytes.
91
91. This type of lupus completely spares the epidermis. A. acute cutaneous lupus B. discoid lupus C. chronic cutaneous lupus D. chilblains lupus E. tumid lupus
Correct choice E. tumid lupus Explanation: Tumid lupus completely lacks any interface dermatitis and the epidermis is completely spared. It is the most photosensitive of all the lupus types. There is lots of mucin on biopsy.
92
92. Which of the following types of acrospiroma consists of a variable composition of poroid, squamoid, clear cells with ductal areas, may be solid/cystic, and is based in the deeper dermis? A. Hidroacanthoma simplex B. Poroma C. Dermal duct tumor D. Hidradenoma E. None of the above
Correct choice: D. Hidradenoma Explanation: Acrospiromas include hidroacanthoma simplex (located intraepidermally), poroma, dermal duct tumor, hidradenoma (deeper dermis). A hidradenoma has a variable composition of poroid, squamoid, clear cells with ductal areas; may be solid/cystic; and is based deeper in the dermis than the other lesions listed.
93
93. A grenz zone is seen in which of the following conditions? A. Granuloma faciale B. Polyarteritis nodosa C. Telogen effluvium D. Sweet's syndrome E. Erythema ab igne
Correct choice A. Granuloma faciale Explanation: Granuloma faciale overlies a mix of neutrophils, eosinophils, lymphocytes, histiocytes. GF often presents clinically as a reddish brown macule or plaque. It is characterized by a Grenz zone with leukocytoclastic vasculitis with eosinophils benath this. Onion skin fibrosis can be seen in chronic cases. Grenz zone differential: Lepromatous leprosy, cutaneous B cell lymphoma, Chronic lymphocytic leukemia/small lymphocytic lymphoma, acute myelomonocytic Leukemia, leiomyosarcoma, and Botryoid rhabdomyosarcoma.
94
94. A 55 year old male presents for evaluation of a slowly growing subcutaneous nodule on his posterior neck. What is the most likely diagnosis? A. Spindle cell lipoma B. Angiolipoma C. Piloleiomyoma D. Metastatic adenocarcinoma E. Cytophagic histiocytic panniculitis
Correct choice: A. Spindle cell lipoma Explanation: This is a spindle cell lipoma (choice 1). These demonstrate “rope-like” collagen, myxoid stroma, spindle-cells, mast cells, and mature fat. Angiolipoma show many blood vessels. Piloleiomyoma is a tumor of muscle, which is not pictured. Adenocarcinoma would show "indian- filing" of cells. Cytophagic histiocytic panniculitis shows macrophages phagocytizing other cells, and characteristic "bean bag cells."
95
95. A middle-aged man presents with many 2-3 mm, firm, waxy closely aligned papules in a widespread symmetrical pattern throughout his head and neck, upper trunk, hands, forearms and thighs. The papules are arranged in a strikingly linear array. The surrounding skin is shiny and indurated and the glabella has deep longitudinal furrowing. Deep furrowing also is present on the trunk and extremities. A biopsy showed: mucin in the upper and mid-reticular dermis, increase collagen deposition, and a marked proliferation of irregularly arranged fibroblasts. Which of the following is the most likely diagnosis? A. Scleroderma B. Scleredema C. Pachydermoperiostosis D. Scleromyxedema E. Nephrogenic systemic fibrosis
Correct choice:D. Scleromyxedema Explanation: In scleromyxedema, numerous 2–3 mm firm waxy closely aligned papules develop in a relatively widespread symmetrical pattern. The most common sites of involvement are the head and neck region, upper trunk, hands, forearms and thighs. Papules are often arranged in a strikingly linear array. The surrounding skin is shiny and indurated, i.e. sclerodermoid in appearance, and the glabella is typically involved with deep longitudinal furrowing. Severe involvement of the face can result in a leonine facies. Deep furrowing can also occur on the trunk and extremities and is referred as the “Shar-Pei sign.” Scleromyxedema is characterized by a triad of microscopic features: - a diffuse deposit of mucin in the upper and mid reticular dermis - an increase in collagen deposition - a marked proliferation of irregularly arranged fibroblasts 1 -The primary differential diagnosis for scleromyxedema is systemic sclerosis (scleroderma) and scleredema. The presence of papules, especially in linear arrays, is a very helpful clinical sign in distinguishing scleromyxedema 2- Scleredema is a symmetrical diffuse induration of the upper part of the body due to a thickened dermis and deposition of mucin. 3 - Pachydermoperiostosis (primary hypertrophic osteoarthropathy) is associated with facial involvement, thickening of the skin on the hands and feet, and clubbing of the digits. 5 - Nephrogenic systemic fibrosis, which develops in individuals with renal impairment exposed to gadolinium-containing contrast media, may show mucin in biopsy specimens, but patients lack both facial involvement (commonly seen in scleromyxedema) and paraproteinemia.
96
96. A too superficial biopsy of this neoplasm could be misdiagnosed as which lesion? A. Desmplastic trichoepithelioma B. Cylindroma C. Spiradenoma D. Syringoma E. Chondroid syringoma
Correct choice: D. Syringoma Explanation: Superficial biopsies of microcystic adnexal carcinoma are sometimes misdiagnosed as syringomas. Microcystic adnexal carcinomas demonstrate ductal structures and cords in a fibrous stroma. They extend deep into the dermis and even subcutis.
97
97. Weibel-Palade bodies are seen in: A. Endothelial cells B. Spitz Nevi C. Cells infected with MCV D. Plasmacytoid Cells E. Malakoplakia
Correct choice: A. Endothelial cells Explanation: Weibel-Palade bodies are seen in endothelial cells and are therefore found in vascular lesions. Kamino bodies are found in Spitz nevi. Henderson Patterson bodies are seen in molluscum. Dutcher bodies are intranuclear inclusions seen in plasmacytoid cells. Michaelis Gutmann bodies are partially digested bacteria seen in malakoplakia. At the ultrastructural level, vascular endothelial cells are characterized by tight junctions between neighboring cells and by specialized organelles, the rod-shaped Weibel–Palade bodies, that serve as storage organelles for the coagulation factor von Willebrand factor, also known as factor VIII- related antigen. Weibel–Palade bodies also contain P-selectin, angiopoietin-2, and endothelin-1. Activation of endothelial cells by proinflammatory cytokines or pro-angiogenic factors readily leads to translocation of these storage organelles to the cell membrane, with consecutive enhanced membrane expression of P-selectin and release of von Willebrand factor. Other characteristic ultrastructural features include caveolae (minute invaginations of the membrane surface), pinocytotic vesicles, and the formation of vesiculo-vacuolar organelles. Circulating macromolecules cross the endothelium through interendothelial cell gaps and transendothelial cell pores, some of which arise from VVOs. Endothelial cell fenestrations, areas with direct apposition of the endothelial cell membranes without intervening cytoplasm, are rarely seen in normal skin except in angiogenic perifollicular blood vessels during the growth phase of the hair follicle. However, fenestrated endothelial cells are frequently seen in skin diseases with pronounced angiogenesis and vascular hyperpermeability, including psoriasis.
98
98. In this disorder which typically occurs on the head and neck, the cells would demonstrate which staining pattern? A. CD1a + and S100 + B. CD1a- and S100 - C. CD1a+ and S100- D. CD1a- and S100+ E. CD68-
Correct choice: B. CD1a- and S100 - Explanation: Benign cephalic histiocytosis is a benign eruption that typically occurs on the face of children. It is a non-Langerhans cell histiocytosis; hence, it is CD1a and S100 negative but is CD68 positive.
99
99. A pregnant 33-year-old female presents with the shown painful lesions that appeared abruptly one week ago. She additionally has been febrile to 38.3C with malaise and headaches. What do you expect to find on biopsy of a representative lesion? A. Perivascular neutrophils with fibrinoid necrosis and RBC extravasation B. Apoptotic individual keratinocytes with intracellular spongiosis C. Dense peri-eccrine gland neutrophilic infiltrate D. Diffuse infiltration of malignant leukocytes in the dermis E. Superficial dermal edema with dense neutrophilic infiltrate
Correct choice: E. Superficial dermal edema with dense neutrophilic infiltrate Explanation: The clinical presentation most likely represents Sweet syndrome (acute febrile neutrophilic dermatosis). Classical Sweet syndrome is frequently associated with recent infections, IBD and pregnancy. Diagnosis is made with 2 major and 2 minor criteria. Major criteria: 1. Abrupt onset of painful erythematous plaques 2. Histopathological evidence of a dense neutrophilic infiltrate without evidence of leukocytoclastic vasculitis Minor criteria: 1. Fever 2. Association with malignancy, inflammatory disease, pregnancy or recent URI, GI infection, vaccination 3. Excellent response to systemic steroids 4. Abnormal lab values (ESR, CRP, leukocytosis, >70% neutrophils) Option A represents leukocytoclastic vasculitis. Option B represents erythema multiforme. Option C is the pathology for neutrophilic eccrine hidradenitis. Option D represents leukemia cutis.
100
100. Histopathologically, a swiss cheese type appearance is characteristic to which of the following? A. Silica B. Tattoos C. Liquid silicone D. Sea urchin spines E. Zirconium
Correct choice: C. Liquid silicone Explanation: Paraffinoma and silicone granuloma both have a swiss cheese type appearance in the dermis to subcutaneous fat. The remaining options typically appear sarcoidal.
101
101. What is the most likely diagnosis? A. Verrucous carcinoma B. Keratoacanthoma C. Basal cell carcinoma D. bowen's disease E. pilomatrichoma
Correct choice: A. Verrucous carcinoma Explanation: Verrucous carcinoma is a large nedophytic condylomatous lesion. It is giant, well differentiated and has a pushing margin.
102
102. Multiple pilomatricomas are seen in all of the following syndromes EXCEPT: A. Gardner syndrome B. Cowden syndrome C. Turner syndrome D. Rubinstein-Taybi syndrome E. Myotonic dystrophy
Correct choice: B. Cowden syndrome Explanation: Multiple pilomatricomas are seen in Rubinstein-Taybi, Gardner's (cyst-like pilomatricomas), myotonic dystrophy, Turner's, sarcoidosis, sternal cleft and coagulation defects. Cowden syndrome does not commonly demonstrate pilomatricomas.
103
103. The mutation that most likely resulted in this lesion is which of the following? A. PTCH B. CDKN2A C. VEGF D. P53 E. RET
Correct choice: D. P53 Explanation: P53 is the most common mutation in squamous cell carcinoma. This SCC is located on the lip. PTCH is mutated in BCCs and CDKN2A is mutated in familial melanomas.
104
104. A healthy, full-term, 24-hour-old newborn girl develops a rash consisting of blotchy, erythematous papules on the face, trunk and extremities. Which of the following would most likely be seen on biopsy? A. Perifollicular subcorneal pustules with eosinophils B. Subcorneal pustules with neutrophils C. Spongiosis and hyphae in the stratum corneum D. Acantholysis and multinucleated cells E. Abrupt ballooning of the upper one-third of the epidermis
Correct choice: A. Perifollicular subcorneal pustules with eosinophils Explanation: This scenario most likely describeds erythema toxicum neonatorum, which would show perrifollicular subcorneal pustules with eosinophils on biopsy. Subcorneal pustules with neutrophils is consistent with transient neonatal pustular melanosis, which typically presents at birth. Spongiosis and hyphae in the stratum corneum can be seen with dermatophyte infection. Acantholysis and multinucleated cells can be seen with viral infection such as HSV. Abrupt ballooning of the upper one-third of the epidermis is consistent with nutritional deficiency.
105
105. All are sebaceous glands except: A. Tyson B. Moll C. Montgomery tubercle D. Fordyce E. Meibomian
Correct choice: B. Moll Explanation: Moll’s glands are modified apocrine glands located on the eyelid. Sebaceous glands in certain locations have an associated name (Tyson’s on the penis, Montgomery tubercle on the areola, Meibomian on the eyelid, and Fordyce on the vermilion/oral mucosa).
106
106. What stain will more clearly reveal the organisms in the biopsy shown? A. PAS B. S100 C. CD68 D. CD3 E. Oil red O
Correct choice: A. PAS Explanation: The histology shows an infiltrate of fungal hyphae. They will highlight with PAS and a silver stain. This is aspergillus.
107
107. Eosinophilia-Myalgia syndrome is caused by: A. Norwegian salt-petter B. Unadultered Spanish grapeseed oil C. Pb intoxication D. L-Tryptophan E. Excessive anaerobic exercise
Correct choice: D. L-Tryptophan Explanation: The eosinophilia myalgia syndrome is characterized by marked peripheral eosinophilia with a clinical spectrum of signs and symptoms, including generalized myalgias, pneumonitis, myocarditis, neuropathy, encephalopathy and fibrosis. Many patients progress to a clinical picture clinically indistinguishable from eosinophilic fasciitis. The disease is caused by the ingestion of certain lots of L-tryptophan. Eosinophilia-myalgia syndrome (EMS) was first identified in 1989, when approximately 1500 patients developed subacute onset of myalgias and peripheral eosinophilia.They then went on to have chronic muscle, fascia, nerve, and skin involvement. The Centers for Disease Control and Prevention (CDC) proposed a surveillance case definition that included the following: * Incapacitating myalgias * Peripheral eosinophil count greater than 1000/µL * No evidence of infection (ie, trichinosis) or neoplasm Studies quickly linked EMS to dietary supplements which contained L-tryptophan, a supplement commonly used by patients with fibromyalgia syndrome (FMS), which was made using genetically engineered bacteria. Specifically, the analysis found an impurity identified as 1’1’- ethylidenebis[tryptophan] (EBT). This supplement was quickly removed from the market resulting in swift resolution of the EMS epidemic, but unfortunately there were over 30 deaths in just 6 months. Since then, other causes of EMS have been implicated. Six other impurities in L- tryptophan, including 3-(phenylamino) alanine (PAA), shares similar properties with 3-(N- phenylamino)-1,2-propanediol (the chemical found in rapeseed oil and implicated in the 1981 Spanish toxic oil syndrome epidemic, have been associated with EMS.
108
108. Which class of medication is associated with the development of this neoplasm? A. ACE inhibitors B. Beta blockers C. Protease inhibitors D. TNF alpha inhibitors E. Antifungals
Correct choice: C. Protease inhibitors Explanation: Protease inhibitors have been associated with a lipodystrophy syndrome in some patients with HIV, including the development of angiolipomas. Histologic features of an angiolipoma include normal subcutaneous fat with the presence of thrombosed blood vessels.
109
109. This is a DIF image of a lesion of lichen planus (Anti-IgM ab). What does the image show? A. Granular deposits at the dermal-epidermal junction B. Shaggy deposits along the dermal-epidermal junction C. Colloid/cytoid bodies D. Caterpillar bodies
Correct choice: C. Colloid/cytoid bodies Explanation: Colloid/cytoid bodies
110
110. Which of the following is true of Rosai-Dorfman disease? A. S-100 negative, CD1a positive, not characterized by emperipolesis B. S-100 positive, CD1a positive, not characterized by emperipolesis C. S-100 positive, CD1a negative, characterized by emperipolesis D. S-100 positive, CD1a positive, characterized by emperipolesis E. S-100 negative, CD1a negative, characterized by emperipolesis
Correct choice: C. S-100 positive, CD1a negative, characterized by emperipolesis Explanation: Rosai-Dofrman disease (also known as sinus histiocytosis with massive lymphadenopathy) is characterized by large "fluffy" histiocytes that are S-100 positive but CD1a negative, and is characterized by multinucleated giant cells, plasma cells, aggregates of lymphocytes, and emperipolesis. There is debate as to whether the condition is related to herpes type 6.
111
111. This lesion is often found in which anatomic location? A. Skin folds B. Acral sites C. Scalp D. Mucosa E. Trunk
Correct choice: A. Skin folds Explanation: This image demonstrates an infarcted skin tag. Skin tags are common in skin folds.
112
112. Which of the following pathologic markers is most likely to be negative in a case of melanoma? A. HMB45 B. MelanA C. Keratin D. S100 E. Vimentin
Correct choice: C. Keratin Explanation: Melanomas uniformly stain negative for keratin, which helps differentiate between Paget's/Extramammary Paget's Disease (keratin stain is positive) and pagetoid melanoma. The remaining listed answer choices will be positive in melanoma. The only exception is cases of desmoplastic/spindle cell melanoma, wherein HMB45 is negative.
113
113. The predominant location of the cleft in transient neonatal pustular melanosis is: A. Dermal B. Basement membrane zone C. Basal keratinocytes D. Suprabasal E. Subcorneal/granular
Correct choice: E. Subcorneal/granular Explanation: Transient neonatal pustular melanosis is an idiopathic pustular eruption of newborns, mostly on the chest, that heals with hyperpigmentation. It is most common on pigmented individuals. Histologically it presents as subcorneal pustules with eosinophils and neutrophils.
114
114. Which of the following have been found to develop within a nevus sebaceous? A. Angiosarcoma B. Merkel cell carcinoma C. Syringocystadenoma Papilliferum D. Syringoma E. Hidradenoma Papilliferum
Correct choice: C. Syringocystadenoma Papilliferum Explanation: Historically, the most common benign tumor to develop within a nevus sebaceous was syringocystadenoma papilliferum, although the most recent literature indicates that trichoblastoma arises more commonly. The most common malignant tumor to arise is a basal cell carcinoma. Cutaneous leiomyosarcoma, verruca, sebaceoma, and squamous cell carcinoma have also been reported to be found within a nevus sebaceous. There are no reports of angiosarcoma, merkel cell carcinoma, syringoma, or hidradenoma papilliferum arising within a nevus sebaceous.
115
115. What is the best diagnosis? A. Cholesterol emboli B. Masson's Tumor C. Calciphylaxis D. Leukocytoclastic vasculitis E. Processing Artifact
Correct choice: A. Cholesterol emboli Explanation: Cholesterol Emboli: Typically occurs after a vascular procedure but can occur spontaneously. Usually presents as livedo reticularis of distal lower extremities, associated with eosinophilia and acute renal failure. Often need multiple deeper levels on sectioning a punch biopsy to see the characteristic cholesterol clefts and fibrin thrombi in the lower dermis or subcutis. A high index of suspicion is required especially in a patient with known atherosclerosis who has developed the typical skin changes, kidney failure, abdominal pain or diarrhea, following a vascular procedure. Definitive diagnosis is made from a skin biopsy or a biopsy of other involved tissue. The histology of cholesterol emboli should show diagnostic cholesterol crystals or clefts within the blood vessel wall, along with thrombi (blood clots). The clefts are spaces left by the crystals that have been washed out by the tissue fixation. Blood tests show an eosinophilia in up to 80% of affected patients. Other changes that may be seen include: Raised white cell count and/or platelet count, Microscopic blood in the urine or stool, Elevated erythrocyte sedimentation rate (ESR), Deranged kidney function tests, Raised amylase levels, Decreased serum complement.
116
116. Which syndrome is associated with this lesion? A. Proteus B. Sturge- Weber C. Parkes Weber D. Klippel-Trenaunay E. Cutis marmorata telangiectatica congenital
Correct choice: C. Parkes Weber Explanation: Parkes Weber syndrome is associated with arteriovenous malformations. All other listed syndromes are associated with capillary malformations.
117
117. On histologic examination of this adenocarcinoma of the perineal area, which of the following stains would NOT be positive? A. PAS B. Mucicarmine C. CEA D. EMA E. HMB45
Correct choice: E. HMB45 Explanation: Extramammary Paget's disease (EMPD) is a cutaneous adenocarcinoma of glandular differentiation. Approximately 25% of EMPD cases are associated with underlying neoplasms. They stain negative for HMB45, which is a melanocytic marker. Histologically, the Paget cells stain positively with PAS, mucicarmine, CEA, EMA, LMW keratin.
118
118. Which of the following is correct regarding using histologic stains to differentiate between primary extramammary Paget's disease and pagetoid metastasis to the skin from underlying colon cancer? A. Extramammary Paget's disease is carcinoembryonic antigen (CEA) negative. B. Extramammary Paget's disease is HMB45-positive C. Extramammary Paget's disease is gross cystic disease fluid protein-15 positive. D. Pagetoid metastasis to the skin from underlying colon cancer is CK7-positive E. Pagetoid metastasis to the skin from underlying colon cancer is CK20-negative
Correct choice: C. Extramammary Paget's disease is gross cystic disease fluid protein-15 positive. Explanation: Primary extramammary Paget's disease is gross cystic disease fluid protein-15 positive, whereas pagetoid metastasis to the skin from underlying colon cancer is typically gross cystic disease fluid protein-15 negative. Primary extramammary Paget's disease also is CK7- positive and CK20-negative, whereas pagetoid metastasis to the skin from underlying colon cancer is CK7-negative and CK20-positive. Both conditions typically show positive staining with CEA and EMA, and negative staining with HMB-45 (which would be positive in Pagetoid melanoma).
119
119. What is the foreign material seen in this biopsy? A. Gel foam B. Splinter C. Sculptra D. Hyaluronic acid E. Silicone
Correct choice: A. Gel foam Explanation: This is gelfoam on histology, it typically has the deep purple color, is amorphous and has jagged edges.
120
120. Which of the following is an immunhistochemical marker for Merkel Cell Carcinoma?: A. S-100 B. Vimentin C. HMB-45 D. Neuron specific enolase E. TTF-1
Correct choice: D. Neuron specific enolase Explanation: Neuron specific enolase stains merkel cells. Vimentin stains melanocytic lesions, sarcomas and lymphomas. S-100 and HMB-45 stains melanocytic lesions, such as melanoma. TTF-1 is positive in small cell carcinoma of the lung.
121
121. Goblet cells are seen in: A. Cutaneous ciliated cyst B. Endometriosis C. Dermoid cyst D. Bronchogenic cyst E. Steatocystoma
Correct choice: D. Bronchogenic cyst Explanation: Bronchogenic cysts have a pseudostratified cuboidal or columnar lining that is ciliated; goblet cells are found in the lining as well.
122
122. The type of necrosis shown in the center of this lesion is which of the following? A. Fat necrosis B. Liquefactive necrosis C. Fibrinoid necrosis D. Caseous necrosis E. Coagulative necrosis
Correct choice: D. Caseous necrosis Explanation: Granulomas with central caseous necrosis is a classic histopathologic finding for LMDF.
123
123. These lesions are common in the genodermatosis caused by which gene mutation? A. PTEN B. BRAF C. NFKB D. CYLD E. ABCC6
Correct choice: D. CYLD Explanation: Brooke-Spiegler syndrome is caused by a mutation in the CYLD gene. It is characterized by the presence of spiradenomas, cylindromas, and trichoepitheliomas.
124
124. Which of the following statements about the direct immunofluorescence pattern in lichen planus is correct? A. The DIF is negative in the majority of cases B. Deposition of IgG is within cytoid bodies in the superficial dermis C. Shaggy deposition of fibrin occurs at the DEJ D. Deposition of fibrinogen is within cytoid bodies in the deep dermis E. There is prominent deposition of IgM within the spinous layer of the epidermis
Correct choice: C. Shaggy deposition of fibrin occurs at the DEJ Explanation: Shaggy fibrin deposition at the DEJ, which is the single best indicator in the diagnosis of LP, was found in 56% of cases according to one study evaluating the DIF fndings in patients with LP. The DIF is positive in the majority of cases (75% according to one study). Deposition of IgM and fibrinogen is within cytoid bodies in the superficial dermis. There is no deposition of IgM within the spinous layer of the epidermis.
125
125. You examine a biopsy that is square on low power. The clinical history reports an IgG paraproteinemia and the presence of a "doughnut sign". Which of the following conditions would you think of without looking on higher power? A. Scleromyxedema B. Scleroderma C. Scleredema D. Localized Morphea E. Pretibial myxedema
Correct choice: A. Scleromyxedema Explanation: The doughnut sign is seen on proximal interphalangeal joints where a central depression surrounded by an elevated rim can be seen. This is a feature of the skin thickening seen in Scleromyxedema. The other options will have a square appearance on low power microscopic examination and scleredema can have an IgG paraprotein. Other microscopic findings in scleromyxedema include incrased fibroblasts with fibrosis/increased collagen and thickening of the dermis. Mucin may be scant or absent. This biopsy is more cellular than pretibial myxedema. The other options will have a square appearance on low power microscopic examination and scleredema can have an IgG paraprotein. Other microscopic findings in scleromyxedema include incrased fibroblasts with fibrosis/increased collagen and thickening of the dermis. Mucin may be scant or absent. This biopsy is more cellular than pretibial myxedema.
126
126. When attempting to identify Langerhans cells in a specimen, which of the following markers is most helpful? A. CD1a B. CD4 C. CD7 D. CD8 E. CD20
Correct choice: A. CD1a Explanation: CD1a is a surface antigen specific for epidermal Langerhans cells. It is not expressed on other epidermal structures. Another specific marker of Langerhans cells is CD207 (aka langerin). The other characteristic ultrastructural feature of Langerhans cells is the Birbeck granule, which is shaped like a tennis racket. CD4 is found on T-helper cells and occasionally on Langerhans cells. CD7 is a T-cell marker that is often lost in cutaneous T-cell lymphoma. CD8 is found on cytotoxic T-cells. CD20 is a B-cell marker.
127
127. Scalp biopsy of a 14-year-old female with suspected alopecia areata would likely reveal inflammation around which portion of the hair follicle: A. Dermal papilla B. Hair bulb C. Inner root sheath D. Isthmus E. Infundibulum
Correct choice: B. Hair bulb Explanation: On biopsy, alopecia areata exhibits a peribulbar lymphocytic “swarm of bees.” Discoid lupus typically exhibits inflammation surrounding the isthmus, along with a perivascular dermatitis and vacuolar interface changes. Lichen planopilaris exhibits inflammation most densely concentrated about the infindibulum.
128
128. The promontory sign is seen in: A. Tufted angioma B. Glomeruloid hemangioma C. Spindle cell hemangioendothelioma D. Acroangiodermatitis of Mali E. Kaposi’s sarcoma
Correct choice: E. Kaposi’s sarcoma Explanation: The promontory sign refers to the formation of new vessels around existing vessels and adnexal structures. This is typically seen in Kaposi’s sarcoma. However, it is not pathognomonic, because it has also been described in angiosarcoma and in benign vascular tumors.
129
129. What is this lesion called when it is located in the salivary gland? A. Chondroid syringoma B. Pleomorphic adenoma C. Pororma D. Basal cell carcinoma E. Spiradenoma
Correct choice: B. Pleomorphic adenoma Explanation: This is a chondroid syringoma or mixed tumor of the skin. When a chondroid syringoma is in the salivary gland it is called a pleomorphic adenoma. They look almost identical histologically, and are named differently due to their location.
130
130. A 14-year-old boy presents with brownish, verrucous, scaly skin with prominent flexural involvement. A biopsy shows the findings above (pictured). Which of the following is the most likely diagnosis? A. X-linked ichthyosis B. Bullous congenital ichthyosiform erythroderma C. Lamellar ichthyosis D. Erythrokeratoderma variabilis E. Sjogren-Larsson syndrome
Correct choice: B. Bullous congenital ichthyosiform erythroderma Explanation: Epidermolytic hyperkeratosis is also known as bullous congenital ichthyosiform erythroderma and is autosomal dominant. It is characterized by brownish, verrucous, scaly skin with a "corrugated cardboard" appearance to the skin, prominent flexural involvement, and vesicles and bullae that may occur early in life. It is caused by a defect in keratin 1 and keratin 10 (suprabasal keratins). Histologically, it demonstrates compact orthokeratosis and acanthosis, hypergranulosis, and a distinct type of degeneration of keratinocytes known as “epidermolytic hyperkeratosis” which appears as though the superficial epidermis is degenerated or “blown out by a shotgun.” Sometimes there are intraepidermal blisters in the degenerated areas early in infancy. 1 – X-linked ichthyosis is a brownish scaly eruption that begins in early childhood in males. It is associated with steroid sulfatase deficiency (STS gene). It does not have the same characteristic histologic features as epidermolytic hyperkeratosis. 3 – Lamellar ichthyosis is an autosomal recessive disorder characterized by severe thick plates of scale that resemble reptile scales with an onset usually at birth. It may present as collodion baby and can involve the flexures, palms and soles. It is associated with a mutation in keratinocyte transglutaminase. It does not have the same characteristic histologic features as epidermolytic hyperkeratosis. 4 – Erythrokeratoderma variabilis is a rare, autosomal dominant mutation in the genes for gap junction proteins GJB3 and GJB4, and is characterized by onset within 1 year of age, polycyclic to annular migrating red scaly plaques and often palmoplantar keratoderma. It does not have the same characteristic histologic features as epidermolytic hyperkeratosis. 5 – Sjogren-Larsson syndrome is a rare autosomal recessive condition caused by a mutation in ALDH3A2 gene for fatty aldehyde dehydrogenase. It is characterized by seizures, retinitis pigmentosa, lamellar ichthyosis, mental retardation and spastic paresis. It does not have the same characteristic histologic features as epidermolytic hyperkeratosis.
131
131. What is the diagnosis? A. silicone B. monsels C. aluminum chloride D. gel foam E. tattoo
Correct choice: E. tattoo Explanation: Tattoo is a pigment deposited deep in the dermis, and is whatever color the tatto itself is. Gel foam is purple; silicone is a group of small bubbles; and monsels is more of a brown color and is localized.
132
132. A 35-year-old man develops indurated, mildly erythematous plaques involving the face and upper back. Biopsy reveals a perivascular and periadnexal lymphocytic infiltrate with no overlying epidermal changes. Which histopathologic stain could be used to support a diagnosis of tumid lupus? A. Fontana-Masson B. Giemsa C. von Kossa D. Colloidal iron E. Osmium tetroxide
Correct choice: D. Colloidal iron Explanation: Tumid lupus is characterized by increased mucin, and thus a mucin stain such as colloidal iron may be used to accentuate these findings. Other disorders that may present with a superficial and deep perivascular lymphocytic infiltrate without associated increased dermal mucin include polymorphous light eruption, pernio, syphilis, and reactive lymphocytic infiltrate of Jessner, among others. Giemsa stains the granules in mast cells.
133
133. A patient presents with a brown patch that has darker macules within it and this pathology. What is the best diagnosis? A. Nevus spilus B. linchen nitidus C. lichen striatus D. nevus comedonicus E. agminated nevus
Correct choice: A. Nevus spilus Explanation: Nevus spilus is a tan macule/patch with darker smaller maclues scattered within it. On pathology, you see an increased number of melanocytes in a lentigenous pattern along the DEJ with increased nests in focal areas. In an agminanated nevus there are groups of brown macules on normal skin. There is no background brown macule differentiating it from nevus spilus.
134
134. Which of the following stains would you expect to be positive in a normal eccrine unit? A. S-100 B. Prussian blue C. Giemsa D. Verhoeff von Gieson E. Steiner
Correct choice A. S-100 Explanation: Eccrine glands stain S-100 and CEA positive. The remaining stains would not be expected to stain normal eccrine sweat glands. Prussian blue (Perl’s) is an iron stain which stains iron or hemosiderin bright blue. Giemsa stains mast cell granules purple (heparin in the granules) and can also be useful in staining in Leishmaniasis. Verhoeff von Gieson is a stain for elastic tissue that stains blue-black. Steiner stain is a silver stin for spirochetes similar to a Warthin Starry or Dieterle stain.
135
135. Which of the following is characteristic of lichen planus histopathologically? A. Wedge-shaped parakeratosis B. Irregular acanthosis C. Absent interface changes D. Parakeratosis E. Absent granular layer
Correct choice:. Irregular acanthosis Explanation: Histopathology of lichen planus: Acanthosis with wedge-shaped hypergranulosis, irregular (sawtooth acanthosis), hyperkeratosis without significant parakeratosis, and basal vacuolization (interface changes). In most cases, lichen planus is diagnosed by observing its clinical features. A biopsy is often recommended to confirm or make the diagnosis and to look for cancer. The histopathological signs are of a lichenoid tissue reaction affecting the epidermis. Typical features include: 1. Irregularly thickened epidermis 2. Degenerative skin cells 3. Liquefaction degeneration of the basal layer of the epidermis 4. Band of inflammatory cells just beneath the epidermis 5. Melanin (pigment) beneath the epidermis 6. Direct immunofluorescent staining may reveal deposits of immunoglobulins at the base of the epidermis.
136
136. This patient presented with a papulosquamous eruption involving his palms, soles and trunk. He notes that three weeks ago he had a small lesion on his penis that healed within a week. What is your most likely diagnosis? a. Syphilis b. haemophilus ducryi c. LGV d. HSV e. psoriasis
Correct choice: A. Syphilis Explanation: Secondary syphilis presents with a papulosquamous eruption that includes the palms and soles. They may or may not remember the penile chancre as it is painless. Both haemophilus ducryi and HSV are painful.
137
137. A biopsy was performed from the scalp of an elderly man what is the most likely diagnosis? A. Metastatic renal cell carcinoma B. Angiosarcoma C. Carcinoid D. Sebaceous Carcinoma E. Clear cell hidradenoma
Correct choice A. Metastatic renal cell carcinoma Explanation: Clear Cell Renal Carcinoma: Metastatic lesions are commonly located on the scalp. The tumor itself is composed of cells with clear to slightly granular cytoplasm secondary to increased glycogen and lipid. The tumors typically forms abortive tubes/ducts, cords or sheets of cells. Immunohistochemical stains are + for EMA and CD10. Typically the tumor is very vascular with scant stroma associated with extravasated RBC and hemosiderin. The differential diagnosis includes clear cell hidroadenoma. This latter tumor is usually composed of a mixture of components; solid areas composed of small poroid cells often with duct formation admixed with clear cells and squamoid cells. The tumor can be solid or cystic or a combination of the two. The large cystic spaces typically contain sialomucin. The stroma is delicate fibrovascular. The tumor is + CAM 5.2, CEA, EMA, with glycogen and no lipid in the clear cells. Skin metastases of renal cell carcinoma present as nodular, rapidly growing, round or oval- shaped lesions, which can be of various colors ranging from normal skin color to a red-purple color. Clinical presentation may be confused with hemangioma, basal cell carcinoma or pyogenic granuloma. There was a similar appearance of hemangioma in our case. In histopathological examination, atypical nucleated cells are expected to be seen in clear cell type. The nodular mass is surrounded by the atrophic epidermis, and moderate lymphocytic infiltration can be observed. Lesions should be considered xanthoma, xanthelasma, hidradenoma in the differential diagnosis. The immunohistochemical examination provides a microscopic differential diagnosis. Epithelioid membrane antigen, carcinoembryonic antigen, CD-10, renal cell carcinoma marker are markers used to identify skin metastases of renal cell carcinoma.
138
138. Lipomembranous change is seen in: A. Hibernoma B. Cystic sebaceous adenoma C. Sebaceous carcinoma D. Mucocele E. Sclerosing panniculitis
Correct choice: E. Sclerosing panniculitis Explanation: Lipomembranous change is a non-specific histologic pattern that is most commonly seen in lipodermatosclerosis, which is also known as sclerosing panniculitis; this condition may be secondary to venous stasis.
139
139. What material is present in the dermis in this image? A. Hyaluronic acid filler B. Cartilage C. Bone D. Calcium E. Urate
Correct choice: D. Calcium Explanation: This image demonstrates calcinosis in the dermis.
140
140. Which of the following does NOT stain for mucopolysaccharides (mucin)? A. Periodic-acid Schiff (PAS) B. Trichome C. Alcian blue D. Colloidal iron E. Mucicarmine
Correct choice: B. Trichome Explanation: Trichome does not stain acid mucopolysaccharides. Trichome stains collagen blue or green and muscle red depending on reagents used. PAS stains mucopolysaccharides red, alcian blue stains mucopolysaccharides blue, colloidal iron stains mucin blue and mucicarmine stains mucin red. PAS stains mucopolysaccharides red, alcian blue stains mucopolysaccharides blue, colloidal iron stains mucin blue and mucicarmine stains mucin red.
141
141. The globi in this Fite-Faraco stain represent: A. clumping of mycobacteria B. degradation of mycobacteria C. isolated bacilli D. fragmentation of organisms E. granular mycobacteria
Correct choice: A. clumping of mycobacteria Explanation: In lepromatous leprosy, acid-fast bacilli are seen with the Fite stain, sometimes in clumps called globi.
142
142. Merkel cell carcinomas are seen in older patients and present with a skin-colored to erythematous or violaceous papule in a sun exposed distribution. The cytokeratin 20 is positive in: A. 90% of cases B. 70% of cases C. 50% of cases D. 30% of cases E. 20% of cases
Correct choice: A. 90% of cases Explanation: Patient that are diagnosed with Merkel cell carcinoma will test positive for cytokeratin 20 in 90% of the time with perinuclear dot pattern. It also tests positive in CAM5.2, NSE +, chromogranin, and synaptophysin+. It is also thyroidd transcription factor-1 negative and s-100 negative.
143
143. The cytoplasmic granules seen in granular cell tumor are: A. Phagolysosomes B. Ribosomes C. Mitochondria D. Intermediate filaments E. Vacuoles
Correct choice: A. Phagolysosomes Explanation: The granules in granular cell tumor are phagolysosomes. The granularity of the granular cell layer in epidermodysplasia verruciformis may be secondary to increased ribosomes. Mitochondria fill the cells in hibernoma.
144
144. What would this lesion stain positively with? A. Von Kossa B. VVG C. Oil red O D. Thioflavin T E. Desmin
Correct choice: D. Thioflavin T Explanation: This is nodular amyloid which stains with thioflavin T and crystal violet. Oil red O stains fat, elastin is stained by VVG, Von Kossa stains calcium and desmin stains muscle.
145
145. Which of the following stains would be helpful in the diagnosis of cryptococcosis? A. Colloidal iron B. Oil red O C. Mucicarmine D. Giemsa E. Verhoeff von Gieson
Correct choice: C. Mucicarmine Explanation: The yeast cytoplasm of Cryptococcus neoformans stains with PAS and methenamine silver, while the the capsule stains with Alcian blue and mucicarmine.Colloidal iron stains mucin; Oil red O stains fat; Giemsa stains mast cells and leishmaniasis; Verhoeff von Gieson stains elastic tissue.
146
146. One month after starting carbamazepine for new onset epilepsy, your patient develops an extensive eruption with peripheral eosinophilia and associated liver dysfunction. Which histologic finding would be most suggestive of the rash based on the clinical history? A. Perivascular lymphocytic infiltrate with mild interface changes B. Atypical basaloid cells in the papillary dermis C. Irregular acanthosis with saw-toothed rete ridges D. Neutrophils in the stratum corneum E. Multinucleated giant cells
Correct choice: A. Perivascular lymphocytic infiltrate with mild interface changes Explanation: Drug Reaction with Eosinophilia and Systemic Symptoms (DRESS) - also termed Drug-Induced Hypersensivity Syndrome (DIHS) is a syndrome of systemic illness related to a medication. Anti-epileptic medications and a longer duration of use prior to reaction (here 4 weeks) is typical. The histopathology is variable but most often shows a superficial perivascular lymphocytic infiltrate with mild interface changes. The other options are not seen in this kind of drug reaction;Atypical basaloid cells in the papillary dermis are more concerning for a malignancy. Irregular acanthosis and saw-toothed rete ridges is seen in lichen planus. Neutrophils in the stratum corneum may be seen in AGEP. Multinucleated giant cells are seen in other scenarios such as histocytic reactions.
147
147. This lesion (choose CORRECT answer) A. Is a hypertrophic scar B. Is a leiomyoma C. Is a Becker's nevus D. Is a dermatomyofibroma
Correct choice: D. Is a dermatomyofibroma
148
148. Which type is most common in children? A. Type 1 B. Type 4 C. Type 3 D. Type 2 E. Type 5
Correct choice: B. Type 4 Explanation: In PRP, type 4, circumscribed juvenile is the most common form in kids. Type 1 is classic adult. Type 2 is atyical, chronic adult. Type 3 is classic juvenile, type 5 is atypical juvenile.
149
149. Psoriasiform dermatitis with irregular hyperkeratosis and alternating vertical and horizontal ortho- and parakeratosis is distinctive of this disorder: A. psoriasis vulgaris B. guttate psoriasis C. parapsoriasis D. pityriasis rubra pilaris E. cutaneous T-cell lymphoma
Correct choice: D. pityriasis rubra pilaris Explanation: Psoriasiform dermatitis with irregular hyperkeratosis and alternating vertical & horizontal ortho- and parakeratosis ("checkerboard pattern") is distinctive of pityriasis rubra pilaris. The hair follicles are dilated and filled with a keratinous plug, while the "shoulder" of stratum corneum surrounding the follicular opening frequently shows parakeratosis.
150
150. The pathology of this lesion demonstrates reticulate strands of the epidermis with clefting between the strands and the stroma. What is the diagnosis? A. Eccrine syringofibroadenoma B. Fibroepithelioma of Pinkus C. Squamous cell carcinoma D. Reticulate seborrheic keratosis E. Tumor of the follicular infundibulum
Correct choice: B. Fibroepithelioma of Pinkus Explanation: This is a fibroepithelioma of Pinkus, which is a BCC. Therefore, it has clefting between the reticulate strands and the stroma.
151
151. Which disease frequently demonstrates this finding? A. Morphea B. Atopic dermatitis C. Langerhans cell histiocytosis D. Rosacea E. Dermatomyositis
Correct choice: E. Dermatomyositis Explanation: Calcinosis cutis is a common occurrence in dermatomyositis, especially the juvenile form of the disease.
152
152. Which of the following is characteristic of PLEVA? A. Alternating orthokeratosis and parakeratosis B. Red cell extravasation C. Dermal mucin deposition D. Fibrinoid necrosis of medium sized vessels E. Numerous eosinophils and neutrophils
Correct choice: B. Red cell extravasation Explanation: Pityriasis lichenoides et varioliformis acuta (PLEVA) has characteristic findings. Parakeratosis, spongiosis with vacuolar alteration, papillary dermal edema, wedge shaped infiltrate, and extravasated RBC's can all be seen. Occasionally, the infiltrate can include atypical lymphoid cells. Eosinophils and neutrophils are more frequently seen in LyP. The other answer choices are not characteristic of PLEVA.
153
153. Histologically, adenoma sebaceum represent which of the following lesions? A. Neurofibromas B. Angiofibromas C. Collagenomas D. Angiokeratomas E. Smooth muscle hamartomas
Correct choice: B. Angiofibromas Explanation: Adenoma sebaceum, fibrous papules and pearly penile papules all have similar features histologically, presenting as angiofibromas. Features include atrophic epidermis with patchy melanocytic hyperplasia and hyperkeratosis, vertically oriented collagen, increased fibroblasts and blood vessels.
154
154. This condition frequently occurs on which part of the body? A. Abdomen B. Forearms C. Scalp D. Neck E. Finger
Correct choice: B. Forearms Explanation: Actinic purpura typically occurs in older individuals on sun-damaged, traumatized skin such as the forearms.
155
155. What infectious agent is most likely responsible for a reaction of fibrin and antibodies which help to prevent phagocytosis? A. Nocardia B. Ricketsii species C. Actinomycosis D. Candida albicans E. Anthrax
Correct choice: C. Actinomycosis Explanation: Hoeppli-Splendore reaction is characterized histologically by intensely eosinophilic material consisting of fibrin and antibodies. Causes of the phenomenon include Actinomycosis israelii, Staph aureus, Proteus, Pseudomonas and E. coli. Nocardia, Ricketsii, Candida albicans, and anthrax are not responsible for a reaction of fibrin and antibodies which help to prevent phagocytosis. Actinomycosis is a chronic or slowly progressive infection caused by various bacterial species of the Actinomyces genus, most commonly Actinomyces israelii. Actinomyces are normal inhabitants of the mouth, gastrointestinal tract, and female genital tract, and do not cause an infection unless there is a break in the skin or mucosa. Actinomyces also appear to require the presence of other accompanying bacteria in order to cause disease. The disease is characterised by the formation of an abscess and draining sinus tracts (small tunnels which open onto the surface of the skin or mucous membranes and drain pus). The draining pus contains yellow granules called sulphur granules. These are named from the colour of the granules, not their content. Actinomycosis is to be differentiated from actinomycetoma, which is a chronic infection of the skin and subcutaneous tissue, usually involving the foot (see mycetoma). Actinomycetoma is caused by different species of Actinomyces that are found in soil and plant material in tropical regions.
156
156. Which of the following is more commonly seen in lichen sclerosus et atrophicus compared to morphea? A. Inflammation and fibrosis in the subcutis B. Marked edema in the papillary dermis C. Minimal hydropic degeneration noted at the dermaldermal-epidermal junction D. Epidermis relatively normal with no thinning of the rete ridges E. No follicular plugging
Correct choice: B. Marked edema in the papillary dermis Explanation: Lichen schlerosus et atrophicus displays edema of the papillary dermis more often than morphea. Morphea vs. Lichen schlerosus et atrophicus: Morphea has a relatively normal epidermis without follicular plugging. Interface changes are rare. In the dermis, the collagen fibers appear homogenized. Elastic fibers are preserved. The inflammation and sclerosis can extend into the subcutaneous fat. LS&A has an atrophic epidermis with follicular plugging. There is often prominent hydropic changes with clefting. There is often edema of the papillary dermis and elastic fibers are often absent. The subcutis is uninvolved.
157
157. This is a culture of a fungus. What is it? A. Rhizopus B. Phaeohyphomycosis C. Aspergillosis D. Mucor E. Absidia
Correct choice: A. Rhizopus Explanation: Mucormycosis: Rhizopus the roots are directly under sporangia. This is # 1 cause of localized and systemic disease due to mucormycosis. Absidia the roots are on either side or the sporangia. Causes localized infections such as in burns, under dressings and also seen in IV drug users. Mucor the roots are absent. Mucor more frequently causes disseminated lesions such as rhinocerebral infections in diabetics with ketoacidosis or in patients with leukemia or neutropenia. These organisms result in a necrotizing cellulitis or a plaque or nodule with a necrotic eschar. The organisms invade the wall of blood vessels resulting in thrombosis and infarction. The organism in tissue displays irregular branching at 90 degree (right angle) and the hyphae are broad ribbon-like with no septae. The organism can be seen on H & E, but better with GMS.
158
158. The atypical T cells of lymphomatoid papulosis are most likely to stain positive for which marker? A. CD30 B. CD31 C. CD34 D. CD56 E. CD68
Correct choice: A. CD30 Explanation: Lymphomatoid papulosis is a T-cell lymphoproliferative disorder characterized by recurrent crops of erythematous necrotic papulo-nodules. Histology reveals a wedge-shaped dense mixed dermal infiltrate, including atypical T lymphocytes that stain positive for CD30 (Ki-1). CD31 is typically positive in vascular neoplasms. CD34 positivity usually occurs in vascular or fibrous neoplasms. CD56 is the archetypal phenotypic marker of natural killer cells but can actually be expressed by many more immune cells, including alpha beta T cells, gamma delta T cells, dendritic cells, and monocytes. CD68 is highly expressed by monocytes and tissue macrophages, including Kupffer cells, microglia, histiocytes and osteoclasts, and to a lesser extent on dendritic cells and peripheral blood granulocytes.
159
159. Which histologic subtype is most aggressive? A. Solid B. Nodular C. Superficial D. Morpheaform E. All are equal
Correct choice: D. Morpheaform Explanation: Morpheaform, micronodular and sclerosing are the most aggressive histologic subtypes of basal cell carcinoma. Superficial is the least aggressive.
160
160. The patient just returned from a sunny vacation with this eruption. What is your diagnosis A. rosacea B. acute cutaneous lupus C. phototoxic eruption D. Porphyria cutanea tarda E. seborrheic dermatitis
Correct choice: C. phototoxic eruption Explanation: The epidermis is still a basket weave so this process happened acutely. There is no lymphocytic infiltrate that would be expected in lupus. We are not on sebaceous skin as would be expected for seborrheic dermatitis and rosacea. Porphyria cutanea tarta results in a subepidermal split with festooning of the dermal papillae.
161
161. This tumor was excised from a verrucous yellow plaque on the scalp what is it? A. Syringocystadenoma papilliferum B. Eccrine acrospiroma C. Hidradenoma Papilliferum D. Tubular apocrine adenoma E. Syringofibroadenoma
Correct choice: A. Syringocystadenoma papilliferum Explanation: Syringocystadenoma Papilliferum: 33% arise in association with a nevus sebaceous, 10% may coexist with a BCC or trichoblastoma. A subset of cases has a deletion of 9q22 PTCH gene and 9q21 (p16). Histologically they present as surface invagination of glandular cords composed of one to two layers of cuboidal cells associated with a fibrovascular stroma with numerous plasma cells. Cystic spaces may form within which are free floating islands which are peripherally lined by cuboidal cells with an inner core composed of loose connective tissue, blood vessels and numerous plasma cells. Papillary syringocystadenoma (syringocystadenoma papilliferum) is distinctive for its wide papillary fronds that are in continuity with the surface squamous epithelium. Syringocystadenomas are only rarely cystic. The fronds are lined by a bilayer, with basal cuboidal cells and apical columnar apocrine cells, and the cores of fronds virtually always contain a dense infiltrate of lymphocytes and plasma cells. A plasmacytic infiltrate commonly accompanies neoplasms of apocrine lineage, and thus the mere presence of plasma cells in a given lesion is not sufficient to confirm a diagnosis of syringocystadenoma. At low magnification, papillary hidradenoma (hidradenoma papilliferum) consists of a well- circumscribed nodule within the dermis and usually lacks both a connection to the surface epithelium and the prominent plasmacytic infiltrate of syringocystadenoma papilliferum. Both tubules and papillary fronds are usually present, and broad elongated fronds with delicate fibrous cores are usually identifiable. Both tubules and fronds are usually lined by a bilayer, with basal cuboidal myoepithelial cells and apical apocrine cells, and the apical cells usually display a conspicuous holocrine secretion. At least some of the basal layer cells represent authentic myoepithelial cells with contractile function, and labeling of the myoepithelial layer through immunohistochemical staining for actin filaments can sometimes be of diagnostic value in the distinction from adenocarcinoma, which often lacks a complete myoepithelial layer.
162
162. When this lesion occurs in multiples, which disorder should be suspected? A. Rombo syndrome B. Multiple Familial Trichoepithelioma C. Goltz D. Brooke-Spiegler syndrome E. Carney complex
Correct choice: D. Brooke-Spiegler syndrome Explanation: Patients with Brooke-Spiegler syndrome often have multiple spiradenomas, cylindromas, and trichoepitheliomas.
163
163. This lesion most commonly metastasizes to which location? A. Scalp B. Arm C. Leg D. Back E. Nose
Correct choice: A. Scalp Explanation: Renal cell carcioma most commonly metastasizes to the scalp.
164
164. What is your best diagnosis? A. Lichen Trichophyticus B. Secondary Lues C. Lichen Nitidus D. Scabies E. Acral Hyperkeratosis
Correct choice: C. Lichen Nitidus Explanation: A chronic inflammatory disease characterized by shiny, flat-topped, usually flesh- coloured micropapules no larger than the head of a pin. Lesions are localized in the early stages, found chiefly on the lower abdomen, penis, and inner surface of the thighs. Distribution may become generalized as the disease progresses. Although the clinical presentation will suggest the diagnosis, lichen nitidus usually requires a skin biopsy to be confirmed. The histology of lichen nitidus is very typical and described as the ‘claw and ball’ appearance: * Focal dense lymphohistiocytic infiltrate in the upper dermis very close to the epidermis. * Langhans giant cells are often present in the infiltrate. * Rete ridges of the epidermis are elongated and ‘clutch’ the infiltrate. * Red blood cells are seen just under the epidermis in the hemorrhagic/purpuric form. * Eosinophilic dermal material with some cell nuclei may be seen within the epidermis in the perforating variant.
165
165. Calciphylaxis is characterized by intimal fibrosis and medial vascular calcification (that can become transmural) as well as transdifferentiation of vascular smooth muscle cells into osteoblast- like cells; these changes plus thrombosis lead to ischemic necrosis of the skin and soft tissues. Which of the following histological stains (shown below) would best highlight the medial vascular calcification and assist with making the diagnosis? A. Sudan black B. Verhoff Van Geisen C. Von Kossa D. Trichrome E. Alcian blue
Correct choice: C. Von Kossa Explanation: Calciphylaxis is characterized by intimal fibrosis and medial vascular calcification (that can become transmural) as well as transdifferentiation of vascular smooth muscle cells into osteoblast-like cells; these changes plus thrombosis lead to ischemic necrosis of the skin and soft tissues. Because calcium deposits may be subtle in H&E-stained sections, von Kossa and Alizarin red stains are used to increase detection. 1- Sudan black stains lipids in granulocytes. 2- Verfoeff-van Gieson stains elastic fibers black and outlines elastic lamina of muscular arteries and media of aorta. The background is trichrome. 4- Trichrome stains collagen blue. 5- Alcian blue is a common "routine" stain (not an immunohistochemical stain) to detect mucins.
166
166. Which of the following is true regarding pilomatricomas? A. Calcification is rarely seen B. It is a poorly demarcated tumor C. It is comprised of shadow cells and basophilic cells D. Mutations are found in the APC gene E. Frequent malignant degeneration occurs
Correct choice: C. It is comprised of shadow cells and basophilic cells Explanation: Pilomatricomas are comprised of germinative-matrical cells that are basaloid and transition to "ghost" or "shadow" cells. Pilomatricomas are well-defined lobular tumors in the dermis or subcutis. Calcification or ossification is frequently seen. Mutations are found in beta catenin. Malignant degeneration into a pilomatrical carcinoma is rare.
167
167. Which gene mutation and/or amplifications are more commonly found in this type of melanoma and mucosal sites than in melanomas on intermittently sun-exposed sites A. NRAS B. KIT C. GNAQ D. HRAS E. PTEN
Correct choice: B. KIT Explanation: KIT mutations and/or amplifications are more commonly found in melanomas located on acral and mucosal sites than in melanomas on intermittently sun-exposed sites.
168
168. What is the neoplasm in this biopsy? A. Chondroid syringoma B. Papillary eccrine adenoma C. Tubular apocrine adenoma D. Eccrine acrospiroma E. Trichoblastoma
Correct choice: A. Chondroid syringoma Explanation: Chondroid Syringoma: Most commonly occurs in middle age males on the head and neck. Histologically this is a well circumscribed dermal tumor composed of dilated ducts, hyaline or plasmacytoid cells (myoepithelial cells), keratinous cysts, +/- cells that show hair matricial differentiation occasionally with some areas of mature fat. All elements arise within a homogenous bluish chondromyxoid matrix (+ Type II collagen, + acid MPS stains with Alcian blue/green (stains at high and low PH) consistent with chondroitin sulfate). Focal calcification may occur. Apocrine mixed tumors form a well circumscribed dermal mass. These distinctive tumors are composed of both a mesenchymal component which is usually chondroid, and an epithelial component. The cartilage is mature, with bland chondrocytes and a silver/grey matrix. The epithelium is bland, and consists in most areas of two cell layers: a myoepithelial layer and a lining luminal layer.
169
169. Which of the following histologic features is seen in aging skin? A. Thickened dermal-epidermal junction B. Increased mast cells C. Increased number of terminal hairs D. Fewer Langerhans cells E. Increased sebum production
Correct choice: D. Fewer Langerhans cells Explanation: Histologic features of aging epidermis include flattened dermo-epidermal junction, occasional nuclear atypia, decrease in the number of melanocytes and Langerhans cells. Changes that are present in the dermis include atrophy, decrease in fibroblasts, mast cells and blood vessels.
170
170. An infant presents with yellow-brown crusted papules associated with purpura in a seborrheic distribution and with diaper involvement. On pathology, what stains would be positive? A. CD207 B. CD117 C. CD11a D. CD56 E. CD20
Correct choice: A. CD207 Explanation: The vignette describes Langerhans cell histiocytosis, which stains with langerin, or CD207.
171
171. Which immunohistochemical stain would be positive in eosinophilic granuloma? A. HMB-45 B. Cytokeratin 20 C. Congo red D. Mucin E. CD1a
Correct choice: E. CD1a Explanation: Eosinophilic granuloma is a form of Langerhans Cell Histocytosis (LCH), previously called Histiocytosis X. Eosinophilic granuloma is a localized, benign form which is more common in males and generally affects the bones. All forms of LCH are characterized by the infiltration of Langerhans cells on pathology, which stains for S-100, CD1a and contain cytoplasmic birbeck granules.
172
172. A 35 year old man presents with this lesion shown in the photo on his hand. The patient undergoes a biopsy for confirmation of the diagnosis. What finding is specific for this condition? A. Wedge-shaped perivascular lymphocytic infiltrate with eosinophils B. Fibrinoid necrosis and leukocytoclasia C. Collapsed keratin bundles D. Peforating elastin, parakeratosis E. Epithelial cells with cytoplasmic vacuoles
Correct choice:E. Epithelial cells with cytoplasmic vacuoles Explanation: This is a wart, which on histology has epithelial cells with cytoplasmic vacuoles refered to as koilocytes. A. is seen with arthropod bites. B. is seen in cutaneous vasculitis. C. is in Darier. D. Elastosis perforans serpiginosa.
173
173. What is the classic histologic finding? A. Lichenoid infiltrate B. Alternating ortho and parakeratosis C. Mounds of parakeratosis D. Coronoid lamella E. Basaloid proliferations
Correct choice: D. Coronoid lamella Explanation: This is disseminated superficial actinic porokeratosis. The classic histologic finding is a coronoid lamella which corresponds to the raised edge of the lesion.
174
174. Histologically, this lesion shows plump, polygonal cells arranged in nests and fascicles with granular cytoplasm. Which immunohistochemical stain would be positive? A. CD31 B. Synaptophysin C. Factor XIIIa D. S-100 E. CD34
Correct choice: D. S-100 Explanation: Granular cell tumors are benign growths which typically occur on the tongue. They are typically well-circumscribed, raised, firm nodules. Histologically, the cells have uniform nuclear characteristics and granular cytoplasm due to presence of lysozyme. These tumors are PAS positive and S-100 positive.CD31 stains positive in vascular neoplasms (e.g. angiosarcoma). Synaptophysin stains positive in neuroendocrine neoplasms (e.g. Merkel cell carcinoma). Factor XIIIa stains positive in dermatofibroma, xanthoma disseminatum, fibrous papule, atypical fibroxanthoma, and xanthogranuloma. CD34 stains positive in vascular tumors (benign/malignant), dermatofibrosarcoma protuberans, neurofibroma, epithelioid sarcoma, spindle cell lipoma, and fibrous papule.
175
175. CK20 is useful in the diagnosis of: A. Dermatofibrosarcoma B. Dermatofibroma C. Epitheloid sarcoma D. Merkel cell carcinoma E. Plasmacytoma
Correct choice: D. Merkel cell carcinoma Explanation: CK20 is useful in diagnosis of Merkel Cell Ca. Dermatofibrosarcoma would stain CD34+. Dermatofibroma would stain CD68 +. Plasmacytoma would stain CD138 + and CEDa. Epithelioid sarcoma would stain CD34+.
176
176. What is this neoplasm? A. Hibernoma B. Malakoplakia C. Myospherulosis D. Liposarcoma E. Pleomorphic lipoma
Correct choice: A. Hibernoma Explanation: Hibernoma: This is a rare neoplasm that typically occurs in 30-40 year old males as a slowly enlarging warm mass on scapular region, trunk, axilla or thigh. There are also myxoid & spindle cell variants that occur on the posterior neck/shoulder. The lesion enhances with contrast on CT and MRI fails to reveal fat septations which differs for that seen with other lipomas. Abnormalities in 11q13 and loss of MEN1 gene on 10q22 have been noted. Histologically: The lesion is composed of large polygonal adipocytes that have with multiple vacuoles and an eosinophilic granular cytoplasm with a central nucleus and prominent nucleolus. These cells are referred to as “Mulberry cells." Admixed among these larger adipocytes are smaller cells with a granular cytoplasm, mature white fat and some times spindle cells.
177
177. A lichenoid infiltrate that surrounds eccrine glands is seen in: A. Lichenoid drug rection B. Lichen striatus C. Lichen planus D. Lichenoid purpura E. Lichen planopilaris
Correct choice: B. Lichen striatus Explanation: Lichen striatus is an uncommon inflammatory dermatitis seen most commonly in children aged 5 to 15. It presents unilaterally along Blaschko's lines as raised, slightly scaly, erythematous papules, which are often pruritic. These lesions typically regress spontaneously within a year. The histopathologic features of lichen striatus include a superficial perivascular inflammatory lymphohistiocytic infiltrate with rare plasma cells and eosinophils. There is a focal lichenoid infiltrate in the papillary dermis with basilar vacuolar alteration and necrotic keratinocytes. Spongiosis with exocytosis of lymphocytes can be seen in the epidermis. A specific and distinctive feature of lichen striatus is the presence of an inflammatory infiltrate that surrounds hair follicles and eccrine glands.
178
178. A 56-year-old Mexico-born man, currently residing in New Mexico, presents with a one-year history of the rash shown. He also complains of distal extremity numbness. A punch biopsy is performed and a special stain is performed and shown in the second image. Which of the following stains were performed to best visualize the organisms found in this image? A. Brown and Brenn B. Giemsa C. Periodic Acid-Schiff D. Wade-Fite E. Warthin-Starry
Correct choice: D- Wade-Fite Explanation: The clinical scenario and image are most consistent with lepromatous leprosy. The Wade-Fite stain is used to stain the acid-fast bacilli. The Fite stain highlights mycobacteria in general but is specifically used to identify mycobacterium leprosum. The stronger acid used in the Ziehl-Neelsen stain is deemed too harsh for M. leprae and the lipid in the cell’s membrane is washed away, making visualization of the organism difficult. Fite uses a weaker acid in the decolorization phase of the procedure, preserving the more delicate cell walls of the organism. The Fite and the Ziehl-Neelsen methods share their positive acid-fast profiles; red is read as a positive stain. Brown and Brenn is a tissue Gram stain that is a practical method of identifying and differentially staining bacteria. Giemsa stain is primarily used to stain mast cells, but can also stain certain organisms-- spirochetes, protozoans, and cutaneous Leishmania in particular. Periodic Acid-Schiff accentuates fungal cell walls. Warthin-Starry is used chiefly in the identification of spirochetes in diseases such as syphilis, Lyme disease, and acrodermatitis chronica atrophicans. A positive stain will reveal black spirochetes.
179
179. A 12-month old infant presents with bilateral plaques in the inguinal folds and erythematous geometric plaques underlying pressure points from the diaper. A biopsy demonstrates retention of basophilic keratohyaline granules within areas of parakeratosis in the stratum corneum. The stratum corner is thickened and compacted with increased eosinophilic staining. Retained nuclei are present throughout the keratin layer. What is the most likely diagnosis? A. Inverse psoriasis B. Hailey-Hailey disease C. Darier disease D. Pemphigus vegetans E. Granular parakeratosis
Correct choice: E. Granular parakeratosis Explanation: The characteristic feature of granular parakeratosis is an unusual form of parakeratosis. The stratum corneum is thickened and compacted with increased eosinophilic staining. Retained nuclei are present throughout this keratin layer, creating the parakeratosis. The most unusual feature is the visible retention of basophilic keratohyalin granules within these areas of parakeratosis. In the infantile form, bilateral plaques in the inguinal folds or erythematous geometric plaques underlying pressure points from the diaper can be seen. 1 - Inverse psoriasis: The differential diagnosis of granular parakeratosis includes the most common causes of intertrigo (e.g. seborrheic dermatitis, candidiasis, inverse psoriasis, erythrasma) as well as Hailey–Hailey disease, Darier disease, and pemphigus vegetans. A biopsy will confirm the diagnosis of granular parakeratosis and exclude inverse psoriasis. 2 - Hailey-Hailey disease: The differential diagnosis of granular parakeratosis includes the most common causes of intertrigo (e.g. seborrheic dermatitis, candidiasis, inverse psoriasis, erythrasma) as well as Hailey–Hailey disease, Darier disease, and pemphigus vegetans. A biopsy will confirm the diagnosis of granular parakeratosis and exclude Hailey-Hailey disease. 3 - Darier disease: The differential diagnosis of granular parakeratosis includes the most common causes of intertrigo (e.g. seborrheic dermatitis, candidiasis, inverse psoriasis, erythrasma) as well as Hailey–Hailey disease, Darier disease, and pemphigus vegetans. A biopsy will confirm the diagnosis of granular parakeratosis and exclude Darier disease. 4 - Pemphigus vegetans: The differential diagnosis of granular parakeratosis includes the most common causes of intertrigo (e.g. seborrheic dermatitis, candidiasis, inverse psoriasis, erythrasma) as well as Hailey–Hailey disease, Darier disease, and pemphigus vegetans. A biopsy will confirm the diagnosis of granular parakeratosis and exclude Pemphigus vegetans.
180
180. A 15-year-old girl presents with recurrent crops of spontaneously regressing erythematous to purpuric papules. The lesions are crusted and occasionally vesiculopustular. A biopsy demonstrates a superficial perivascular interface dermatitis, and a denser infiltrate that is top-heavy and wedge- shaped. Lymphocytes predominate in the infiltrate, although neutrophils are admixed. The epidermis shows focal parakeratosis and evidence of damage ranging from edema to extensive epidermal necrosis. There is extravasation of erythrocytes. What is the most likely diagnosis? A. Pityriasis lichenoides chronica B. Pityriasis lichenoides et varioliformis acuta C. Arthropod bites D. Pityriasis rosea E. Lymphomatoid papulosis
Correct choice: B. Pityriasis lichenoides et varioliformis acuta Explanation: Pityriasis lichenoides et varioliformis acuta is an uncommon idiopathic eruption mostly of the trunk of older children and young adults. Usually there are many small lesions less than 5 mm in diameter with variable morphology from scaly papules to crusted papulovesicles. It is self-limited in months to years. Histologically it is characterized by focal parakeratosis, often with scale crust, and a dense wedge-shaped infiltrate centered upon basal layer zone of the papule with prominent lymphocytic exocytosis into the epidermis. Necrotic keratinocytes are often seen. Spongiosis with intraepidermal vesicles is sometimes present along with liquefaction degeneration of the basal layer. Extravasation of erythrocytes are often in the epidermis. 1 - Pityriasis lichenoides chronica: is a less acute, chronic form which is histologically similar, except that there is less scale crust, fewer neutrophils, less spongiosis, fewer vesicles, and fewer necrotic keratinocytes. 3 - Arthropod bites: These lesions are typically more common on the face and extremities. Usually more eosinophils are present. 4 - Pityriasis rosea: is characterized by focal parakeratosis, spongiosis, and perivascular lymphocytes. Occasionally there is dyskeratosis, mild acanthosis, and focal extravasated red blood cells. 5 - Lymphomatoid papulosis: Histologically, atypical lymphocytes are present in lymphomatoid papulosis.
181
181. The most likely diagnosis of this image is which of the following? A. lipodermatosclerosis B. sclerema neonatorum C. erythema nodosum D. lupus profundus E. subcutaneous fat necrosis of the newborn
Correct choice E. subcutaneous fat necrosis of the newborn Explanation: Subcutaneous fat necrosis of the newborn is easily recognized by the intense inflamation, radially arranged eosinophilic crystals in the fat cells, and the foreign body giant cells, in comparison to sclerema neonatorum, where there is no inflammation as the patient is too sick to mount a response.
182
182. This tumor was excised from the scalp of an older woman, what is this neoplasm? A. Cylindroma B. Sebaceous carcinoma C. Pilomatricoma D. Basal cell carcinoma E. Spiradenoma
Correct choice:A. Cylindroma Explanation: Cylindroma: Most often seen in middle age females on the scalp. Multiple lesions can be associated with trichoepitheliomas, spiradenoma and adenomas of parotid gland in Brooke Spieler syndrome. Histologically this is a poorly circumscribed dermal tumor with multiple small irregularly shaped basophilic islands often likened to puzzle pieces composed of a peripheral layer of smaller darker cells, with cells that have increased eosinophilic cytoplasm centrally. Each island is surrounded by a thick eosinophilic cuticle (type IV and VII collagen), with similar eosinophilic hyaline droplets seen within the island. Low power view of cylindroma shows a non-encapsulated tumor nodule arising from the dermis. This is formed by multiple irregular tumor islands, distributed in an aptly named ‘jigsaw’ pattern. Surrounding the tumor islands, and in discrete droplets within the nodules is a thick hyaline deposit. Two populations of cells are noted to make up the tumor nodules. A smaller cell with a hyperchromatic nucleus tending to the periphery, and larger cells with open nuclei throughout the centre of the nodules.
183
183. A nodule is biopsied from a 70 year old woman's arm. The histology is shown here. What is the diagnosis best stained with? A. CD56 B. CEA C. S-100 D. CD31 E. CK5-6
Correct choice: A. CD56 Explanation: Merkel cell carcinoma stains positive with neuron-specific enolase, epithelial membrane antigen, CD56, neurofilament, synaptophysin, chromogranin, argyrophil. The most widely and accepted marker is CK20 (perinuclear dot staining), and CK8/18/19 (CAM 5.2) is another uniformly good choice. However, CD56 is more intensely positive (cell membrane staining).
184
184. Which of the following body contains calcium: A. Negri body B. Lipschutz body C. Michaelis-Gutman body D. Guarnieri body E. Negri body and Michaelis-Gutman body
Correct choice: C. Michaelis-Gutman body Explanation: The Michaelis-Gutman body is a concentrically laminated spherical inclusion that contains calcium that is seen within macrophages in malakoplakia. Other inclusion bodies that contain calcium are Schaumann bodies and psammoma bodies. The Negri body is seen in rabies. The Lipschutz body is an intranuclear inclusion seen in herpes. It is considered synonymous with the Cowdry A body. The Guarnieri body is seen in smallpox. Malakoplakia diagnosis is made on the characteristic histology of a biopsy or excision specimen of the tumor. The diagnostic feature is the presence of von Hansemann cells containing Michaelis- Gutmann bodies. These intracellular bodies stain positively for calcium and iron and, when fully- developed, they resemble an owl's eye. Bacterial culture will determine which organism is involved.
185
185. This neoplasm tends to occur most frequently on which anatomic region? A. Sun-exposed areas of the head and neck B. Genital region C. Acral sites D. Oral mucosa E. Extremities
Correct choice: A. Sun-exposed areas of the head and neck Explanation: Lentigo maligna tends to occur most frequently in the head and neck region in sun- exposed areas.
186
186. A patient presents with this path and erythema nodosum and iritis. What is their likely diagnosis? A. Lofgren Syndrome B. Heerfordt Waldenstrom syndrome C. darrier-roussy syndrome D. blau syndrome E. mikulicz syndrome
Correct choice: A. Lofgren Syndrome Explanation: Lofgren syndrome makes you SMILE: Sarcoid, migratory polyarthritis, iritis, LAD (hilar), EN, because you laugh and grin.
187
187. An increased number of miniaturized hairs are seen in: A. Lichen planopilaris B. Alopecia areata C. Trichotillomania D. Telogen effluvium E. Lichen planopilaris and alopecia areata
Correct choice: B. Alopecia areata Explanation: In alopecia areata, especially early stages, increased miniaturized catagen hairs can be seen in addition to the finding of peribulbar lymphocytes resembling a swarm of bees. Lichen planopilaris is a scarring alopecia in which vertical tracts of fibrosis are seen in place of follicles. Trichotillomania displays follicular plugging, trichomalacia, pigmented casts, hemorrhage, and increased catagen hairs on biopsy. Telogen effluvium is characterized by an increased number of telogen hairs.
188
188. The predominant location of the cleft in cicatricial pemphigoid is: A. Dermal B. Basment membrane zone C. Basal keratinocytes D. Supra basal E. Subcorneal/granular
Correct choice: B. Basment membrane zone Explanation: Cicatricial pemphigoid is an autoimmune blistering disease that presents with ulcers, blisters and erosions of mucosal surfaces, especially the eyes and mouth. The cleft in cicatricial pemphigoid is found in the basement membrane zone/subepidermal as the antigens are usually BPAg2, laminin 5 and alpha-6-beta-4 integrin. Direct immunoflourescence is identical to that of bullous pemphigoid showing linear IgG and complement deposits in the basement membrane zone.
189
189. Caterpillar bodies are seen in: A. Lipoid proteinosis B. Amyloidosis C. Porphyria cutanea tarda D. Mucocele E. Dyskeratosis congenital
Correct choice: C. Porphyria cutanea tarda Explanation: Caterpillar bodies are thought to be type IV collagen. They are found along the BMZ in PCT.
190
190. On histology, there is a pseudocyst within the dermis surrounded by fibrous pseudocapsule with no epithelial lining. The center is composed of bluish myxoid material with overlying hyperkeratosis. This describes a: A. Mucous cyst B. Focal mucinosis C. Dermoid cyst D. Granuloma annulare E. Mucinous carcinoma
Correct choice: A. Mucous cyst Explanation: This describes a digial myxoid cyst or mucous cyst. It is located overlying osteoarthritis. It is usually benign with potential for recurrence. Mucin stains with colloidal iron or alcian blue.
191
191. What exogenous material is shown here? A. Calcium hydroxylapatite B. Hyaluronic acid filler C. Suture D. Gelfoam E. Poly-L-lactic acid
Correct choice:D .gelfoam Explanation: Gelfoam is present in this tissue specimen. Gelfoam has a characteristic appearance with slightly basophilic honeycomb or collapsed net-like deposits.
192
192. A 58-year-old man presents with grouped erythematous nodules located around his ears that are occasionally painful and pruritic. A biopsy showed proliferations of capillary-sized vessels with epithelioid endothelial cells surrounding larger, thick-walled vessels accompanied by eosinophils and lymphocytes. Which is the most likely diagnosis? A. Angiolymphoid hyperplasia with eosinophilia B. Kimura disease C. Sarcoidosis D. Lymphoma cutis E. Epithelioid hemangioendothelioma
Correct choice A. Angiolymphoid hyperplasia with eosinophilia Explanation: Angiolymphoid hyperplasia with eosinophilia is characterized by benign angiomatous nodules or plaques, often multiple and grouped. They are usually located in the head and neck, especially around the ears. The lesions may be painful, pruritic or pulsatile. Histologically they are characterized by proliferations of capillary-sized vessels with epithelioid endothelial cells surrounding larger, thick-walled vessels, accompanied by eosinophils and lymphocytes. Although rare instances of spontaneous regression have been reported, surgical excision is generally required. 2 – ALHE (angiolymphoid hyperplasia with eosinophilia) may resemble Kimura disease, which is now considered to be a separate entity, is usually located on the posterior neck and histologically has much larger lymphoid follicles. 3 – ALHE can resemble sarcoidosis clinically but has different histological features. Sarcoidosis is characterized by “naked” non-caseating granulomas in the dermis and subcutaneous tissues. 4 – ALHE can resemble lymphoma cutis clinically but has different histological features. Lymphoma cutis shows a mixture of B and T lymphocytes with benign immunohistochemistry. 5 – ALHE can resemble epithelioid hemangioendothelioma but is distinguished histologically. Epithelioid hemangioendothelioma is characterized by poorly canalized cords and nests of endothelial cells forming small intracytoplasmic vacuoles as a sign of primitive vascular differentiation.
193
193. What is the most likely diagnosis? A. tinea versicolor B. tinea nigra C. candida D. sporothrixosis E. chromomycosis
Correct choice: A. tinea versicolor Explanation: Tinea veriscolor has the typical spaghetti and meatballs as seen here, the hypae and spores. Tinea nigra is pigmented.
194
194. Which of the following is true regarding S-100 Protein? A. S-100 protein is a basic protein that binds Ca2+ and Zn2+ B. It is not soluble in 100% ammonium sulfate at neutral pH C. Can be detected in melanocytes and in Schwann cells D. It is not useful in diagnosing of spindle cell melanoma & desmoplastic melanoma E. It is not useful in diagnosing poorly differentiated cutaneous metastases
Correct choice: C. Can be detected in melanocytes and in Schwann cells Explanation: S-100 protein is an acidic protein that binds Ca2+ and Zn2+. At a neutral pH, it is soluble in 100% ammonium sulfate. It is useful in diagnosing both spindle cell melanomas, desmoplastic melanomas, as well as poorly differentiated cutaneous metastases. It also stains positively in neurofibromas and schwannomas.
195
195. You would expect this neoplasm to: A. Be painful on palpation B. Have a high metastatic rate and poor prognosis C. Disseminate to the skin from an internal focus D. Dimple on lateral palpation E. Have mutations in the SHH/PTCH signaling pathway
Correct choice: A. Be painful on palpation Explanation: Eccrine Spiradenomas are classically painful to palpation and are in the BLUE ANGEL mnemonic for painful dermal nodules: Blue Rubber Bleb Nevus Syndrome Angiolipomas Neuromas Glomus tumors Eccrine Spiradenomas Leiomyomas
196
196. This material is formed during which stage of wound healing? A. Inflammatory B. Proliferative C. Remodeling D. Contraction E. Vasoconstrictive
Correct choice: B. Proliferative Explanation: Granulation tissue forms during the proliferative phase of wound healing.
197
197. Stromelysin 3 is a negative marker for which of the following? A. Dermatofibroma B. Basal cell carcinoma C. Dermatofibromasarcoma protuberans D. Squamous cell carcinoma E. Breast carcinoma
Correct choice: C. Dermatofibromasarcoma protuberans Explanation: Stromelysin 3 is a negative marker which helps to distinguish dermatofibrosarcoma protuberans from dermatofibromas. Stromelysin 3 is a metalloproteinase which is expressed tissue remodeling. In a study performed by Cribier et.al. 100% of dermatofibromas stained positive Stromelysin 3 (ST3) is a member of the metalloproteinase family, which is expressed in tissue remodeling processes such as scarring, embryogenesis, or tumoral invasion.
198
198. What type of reaction is demonstrated here? A. Connective tissue B. Psoriasiform C. Lichenoid D. Foreign body E. Neoplastic
Correct choice: D. Foreign body Explanation: A foreign body reaction develops in response to the deposition of foreign material or altered endogenous material in the dermis. Granulomatous inflammation with histiocytes and multinucleate giant cells forms around the material. Tattoo pigment is present in this particular case.
199
199. On histology, there are large amounts of mucin deposited within reticular dermis, resulting in separation of collagen bundles. Clinically is can be seen in the lower legs associated with Grave's disease. This best describes: A. Pretibial myxedema B. Scleredema C. Follicular mucinosis D. Lichen myxedematosus E. Scleromyxedema
Correct choice: A. Pretibial myxedema Explanation: This best describes pretibial myxedema and can be associated with Grave's disease. The skin is diffusely doughy with skin thickening with nonpitting indurated plaques and nodules seen bilaterally. The skin surface is shiny and sometimes seen a peau d'orange appearance.
200
200. Sebaceous carcinomas commonly arise on the eyelid. A biopsy of an ocular sebaceous carcinoma typically reveals: A. uniform, eosinophilic cells with rare atypia B. pagetoid cells in the epidermis C. negative staining with Androgen Receptor (AR) D. positive staining with Ber-Ep4 E. may be associated with overexpression of MLH-1 and MSH-2
Correct choice: B. pagetoid cells in the epidermis Explanation: Periocular sebaceous carcinomas are histologically composed of lobules of cell that extend deep in the dermis and subcutaneous tissue. The cells are pleomorphic, with vacuolated cytoplasm with moderate atypia. A characteristic feature in ocular tumors is the pagetoid spread of the tumor in the overlying epidermis. Immunostaining for the androgen receptor has been reported as a method to determine sebaceous differentiation, and it is helpful in diagnosing poorly differentiated sebaceous carcinomas, which may lack staining for EMA and other markers. Basal cell carcinomas, nodular-type are typically positive for Ber-Ep4 while sebaceous tumors are almost always negative for this marker. Sebaceous carcinomas may be associated with Muir-Torre syndrome, which is characterized with loss of expression of MLH-1 and MSH-2.
201
201. A 42-year-old multiparous female develops hyperkeratotic papules involving the lower abdomen. As expected, biopsy is consistent with a perforating disorder. Histopathologic findings could be accentuated with what stain? A. Fontana-Masson B. Fite C. von Kossa D. Colloidal iron E. Osmium tetroxide
Correct choice: C. von Kossa Explanation: Perforating periumbilical calcific elastosis is most commonly seen in multiparous African American females. Biopsy findings are similar to those of pseudoxanthoma elasticum, with calcified elastic fibers extruding through the epidermis. Staining with von Kossa may be used to accentuate these findings.
202
202. Mantle cell lymphoma is characteristically positive for which of the following? A. CD10 B. CD23 C. CD138 D. Bcl-1 E. bcl-6
Correct choice: D. Bcl-1 Explanation: Bcl-1 (Cyclin D1) is a marker for mantle cell lymphoma. CD10, bcl-6, and bcl-2 are markers for follicular cell lymphoma. Bcl-2 also stains normal T cells. CD23 is a marker for CLL/ SLL and is negative in mantle cell lymphoma. CD138 is a marker for plasma cells. Centrocytic lymphoma, or mantle cell lymphoma (MCL), is characterized by a chromosomal translocation t(11;14) (q13;q32) involving the bcl-1 locus on chromosome 11. Cyclin D1 is a cell- cycle regulatory protein essential for G1-S transition and has been identified as a potential transforming gene affected by the translocation. Cyclin D1 is involved in the pathogenesis of MCL and can be exploited as a diagnostic marker in the differential diagnosis of B-cell lymphomas and in the identification of MCL.
203
203. Granular cell tumors will stain positive for all of the following markers EXCEPT: A. S100 B. PAS C. PTAH D. HMB-45 E. Neuron specific enolase
Correct choice: D. HMB-45 Explanation: Granular cell tumors are of neural origin, with the granules representing an accumulation of lysosomes in the cytoplasm. Lesions present on the tongue in 25% of cases. The granules stain positive with periodic acid-Schiff (PAS) staining and are resistant to diastase. Being of neural origin, lesions also stain with S100 and neuron specific enolase. The cells would not react with melanocyte markers, such as HMB-45.
204
204. What is the best diagnosis? A. Psoriasiform B. Dermatitis Herpetiformis C. Angiolymphoid Hyperplasia with Eosinophilia D. Lichen Nitidus E. Ochronosis
Correct choice: C. Angiolymphoid Hyperplasia with Eosinophilia Explanation: Angiolymphoid Hyperplasia with Eosinophilia(EPITHELIOID HEMANGIOMA) consists of solitary or multiple benign cutaneous nodules comprised of immature and mature vascular structures intermingled with endothelial cells and a varied infiltrate of eosinophils, histiocytes, lymphocytes, and mast cells. Angiolymphoid hyperplasia with eosinophilia is an apparently non-malignant, locally proliferating lesion composed of channels of small blood vessels surrounded by lymphocytes and eosinophils (these are two types of white blood cell). Angiolymphoid hyperplasia with eosinophilia is also known as epithelioid or histiocytoid haemangioma. Kimura disease is probably distinct from angiolymphoid hyperplasia with eosinophilia. In Kimura disease the lesions are deeper-seated, with no initial overlying skin lesions. In angiolymphoid hyperplasia with eosinophilia the lesions are smaller and characterised by thick-walled so-called histiocytoid or epithelioid blood vessels. Angiolymphoid hyperplasia with eosinophilia has been reported from many parts of the world but appears to be particularly common in Japan.
205
205. What is this neoplasm? A. Sclerotic fibroma B. Angiofibroma C. Keloid D. Neurofibroma E. Dermatofibroma
Correct choice A. Sclerotic fibroma Explanation: Sclerotic Fibroma (circumscribed storiform collagenoma): This can occur as an isolated lesion n the head or neck or upper extremities, but multiple lesions are associated with Cowden's disease which is an AD disorder linked to a mutation of PTEN on chromosome 10p. Histology: Dome shaped papule with an overlying attenuated epidermis. A well-circumscribed nodule composed of thickened homogenous collagen that is arranged in whorls with a thumbprint or grains of wood appearance is seen in the dermis. Overall the lesion exhibits low cellularity and the elastic fibers are absent. The tumor stains positively with vimentin, Factor XIIIA and focally for CD34.
206
206. Michaelis Gutmann bodies are seen histopathologically in which condition? A. Granuloma inguinale B. Lymphogranuloma venereum C. Herpes genitalis D. Chancroid E. Malakoplakia
Correct choice: E. Malakoplakia Explanation: Malakoplakia is a rare and chronic inflammatory condition typically associated with bacterial infections of the urinary tract, although a wide variety of organs have been reported. Cutaneous malakoplakia is a rarer entity that has predilection for the perianal and genital regions. Malakoplakia has been associated with immunosuppression such as HIV, connective tissue diseases, tuberculosis, sarcoidosis, and malignancy as well as developing in sites of surgical wounds and irradiated cancerous tissue. The clinical presentation of cutaneous disease is highly variable. Among the documented presentations are papules, plaques, nodules, ulcerative lesions, or fistulas. These presentations can mimic inflammatory, infectious, or infiltrative cutaneous disease, making the diagnosis on clinical grounds challenging. Owing to the nonspecific presentation, histopathologic evaluation is vital to establish this diagnosis. The presence of sheets of foamy macrophages (von Hansemann) containing granular and concentrically lamellar intracytoplasmic inclusions (the Michaelis-Gutmann bodies) can establish the diagnosis. These are best seen by von Kossa stain because of a peripheral calcified zone surrounding a central sphere of calcium apatite. However, those bodies can also stain positive with periodic acid–Schiff and Perl's (iron) stains.
207
207. You diagnose a patient with multiple epidermal tumors that on histopathology shows a fibrous pink orb with epithelial strands coming through the follicular center. The patient most likely has a mutation in which gene? A. CYLD B. p53 C. FLCN D. RAS E. ECM1
Correct choice: C. FLCN Explanation: This describes a fibrofolliculoma, a tumor seen in Birt-Hogg-Dubé syndrome. This is an autosomally dominant syndrome due to a mutation in FLCN - folliculin (Choice 3), a tumor suppressor gene. Patients show these skin lesions and have an increased risk for renal cell carcinoma, spontaneous pneumothoraces, pulmonary cysts, and medullary carcinoma of the thyroid. CYLD is mutated in Brooks-Spiegler syndrome, characterized by multiple adnexal tumors often located on the scalp. p53 is an important tumor suppressor gene, mutations of which lead to tumor syndromes such as Li-Fraumeni syndrome. The p53 gene product is inhibited by the E6 gene product of HPV, which is a major virulence factor of HPV. RAS is an oncogene which is inappropriately activated in diseases such as Neurofibromatosis, leading to multiple tumors. ECM1 is a gene which is mutated in Lipoid proteinosis. Autoantibodies to ECM-1 are seen in Lichen Sclerosus.
208
208. Parasited macrophages may be seen histopathologically in all of the following EXCEPT: A. Histoplasmosis B. Donovanosis C. Rhinosporidiosis D. Leishmaniasis E. Penicilliosis
Correct choice: C. Rhinosporidiosis Explanation: Rhinosporidiosis is due to infection with the aquatic protozoan Rhinosporidium seeberi, which is found mainly in India, Sri Lanks, and Africa. It often presents after local traumatic inoculation as painless papules involving mainly nasal mucosa with subsequent development of hyperplastic red friable (raspberry-like) polyps. Histology shows characteristic giant sporangia with thousands of endospores. The differential for parasitized macrophages can be remembered using the mnemonic His GIRL Penelope: * His-Histoplasmosis * GI-Granuloma inguinale (aka Donovanosis) * R- Rhinoscleroma (not to be confused with Rhinosporidiosis) * L- Leishmaniasis * Penelope- Penicilliosis
209
209. An aquarium owner presents with an erythematous, indurated nodule on the right hand that is tender and warm. The patient has a history of drug induced lupus when he used minocycline for acne. What is the most serious adverse effect associated with the first line alternative treatment? A. Sudden cardiac death B. Idiopathic pulmonary fibrosis C. Systemic lupus erythematosus D. Acute renal failure E. Pulmonary embolism
Correct choice: A. Sudden cardiac death Explanation: In a patient with exposure to marine environments, M. marinum is a common cause of an infection that presents with an erythematous, indurated nodule on the extremities. First list treatment is minocycline. Second line treatment is clarithromycin. A serious adverse effect of clarithromycin is sudden cardiac death, as shown in the CLARICOR trial.
210
210. Which of the following is sometimes used to stain BCC during Mohs micrographic surgery? A. Carcinoembryonic Antigen B. Factor 13A C. Glial Fibrillary Acidic Protein D. Desmin E. Toluidine Blue
Correct choice: E. Toluidine Blue Explanation: The correct answer is toluidine blue. Toluidine blue staining shows dark blue BCC tumor cells and a magenta-colored stroma around the tumor cells. CEA is used to stain adenocarcinoma, extramammary Paget\'s disease, and eccrine neoplasms. Desmin stains muscle. GFAP stains neurologic cells including astrocytes and Schwann cells. Factor 13A is used to stain dermatofibroma. Toluidine blue stain can also be used because it is rapid and the purplish metachromatic stromal staining helps to distinguish BCCs from adnexal structures. Carcinoembryonic antigen: Glial Fibrillary Acidic Protein: In histology, the GFAP stain is done to determine whether cells contain glial fibrillary acidic protein, a protein found in glial cells. It is useful for determining whether a tumour is of glial origin. Factor 13A: Fibrohistiocytic marker; Marker of fibrohistiocytic proliferations; Marker of dermal dencrocytes; Differentiate dermatofibrosarcoma protuberans (CD34+, D2-40-, Factor XIIIa-) from dermatofibroma (CD34-, Factor XIIIa+, D2-40+) Desmin: Common stain used in panels for mesenchymal markers. Confirms myogenic origin of tissue / tumors. Helps differentiate smooth muscle tumors (desmin+) from GIST (c-kit+, almost always desmin-)
211
211- This tumor is best visualized using PAS stains with and without diastase what is it? A. Clear cell acanthoma B. Seborrheic keratosis C. Bowen's disease D. Tricholemmoma E. Inverted follicular keratosis
►A Clear cell acanthoma is composed of pale staining keratinocytes that have increased glycogen content. The increased glycogen in this tumor is due to a defect in phosphorylase. Histologically the keratinocytes are mildly enlarged and pale and distinctly separated from the surrounding epidermis. The epidermis appears focally expanded by an acanthotic plate like growth that spares the follicular epithelium. Also associated with this tumor are PMNs that extend into the epidermis. There may be edema of the papillary dermal and some telangiectasis. PAS stain with and without diastase highlights the abundant glycogen.
212
212- A 30-year-old man presents with multiple cysts, and requests excision of a cyst on his back. After the excision, the specimen is sent for histopathologic evaluation. The report indicates a cystic structure lined by stratified squamous epithelium showing foci of pilomatrical differentiation. What is the next best step in management of this patient? A. No further treatment or work-up is needed. B. Re-excise the lesion to ensure it has been completely removed. C. Closely monitor the lesion as these are high risk for recurrence. D. Refer the patient for colonoscopy. E. Perform a full body skin exam to exclude any cutaneous malignancies.
Correct choice: D. Refer the patient for colonoscopy. Explanation: The pathology describes an epidermal inclusion cyst with pilomatrical differentiation, which can be seen in Garder sydrome. Therefore the next best step would be to refer the patient for colonoscopy to rule out malignancy because these patients develop premalignant polyps that inevitably become malignant. Patients often develop skull osteomas, which can be seen by Xray but is not an urgent matter as the patient should have a colonoscopy first. The epidermal inclusion cyst itself is not at risk of becoming malignant or recurring. The patient is not at high risk for cutaneous malignancy therefore a full skin exam is not urgently needed. Although a CT of the abdomen may show a malignancy in the colon, a colonoscopy would be a superior test and allow for biopsy and removal of any lesions necessary. Multiple pilomatricomas have been associated with myotonic dystrophy (muscle wasting/weakness/contraction), however this patient does not have a pilomatricoma he has an EIC with pilomatrical differentiation.
213
213- The large cells are most likely to stain positively for which marker? A. CD30 B. S100 C. Neuron specific enolase D. CD20 E. Amyloid
Correct choice: A. CD30 Explanation: The image is of lymphomatoid papulosis with the "lumps of coal" cells in the dermis. The histologic architecture can be similar to PLEVA but with wedge-shaped infiltrate and atypical lymphocytes. Eosinophils and neutrophils are also intermixed. These cells are CD30+. S100 can be positive in melanoma and Langerhans Cell Histiocytoses. Neuron specific enolase is positive in merkel cell, carcinoid tumors, and melanoma. CD20 is positive in Primary Cutaneous Follicle Center Lymphoma. Amyloid is positive in Amyloidosis
214
214- A patient presents with a few of these lesions and some hyperkeratotic papules on his anterior shins. What diagnositic test should the patient undergo? A. Colonoscopy B. Cystoscopy C. Bronchoscopy D. Cortisone stimulation test E. Otoscopy
Correct choice: A. Colonoscopy Explanation: The image is a sebaceous adenoma, and the question describes keratoacanthomas on the anterior shin, thus this patient should undergo colonoscopy to evaluate for colon cancer. Given this constellation of symptoms one must evaluate for Muir-Torre syndrome.
215
215- This is a DIF image of a case of lichen planus (anti-fibrin ab) ? What does the image show? A. Shaggy deposition of fibrin B. Granular deposits in dermal papillae C. Linear deposits of IgG at DE junction D. Vascular deposition E. Dermal mucin
Correct choice: A. Shaggy deposition of fibrin Direct immunofluorescence of lichen planus reveals immunoglobulin (mainly IgM), complement, and fibrin staining of colloid bodies in the deeper epidermis and superficial dermis. Although the findings are characteristic of LP, direct immunofluorescence of classic LP is not necessary Lichen planus - histologic features Compact hyperkeratosis, usually no parakeratosis except when rubbed or oral Hypergranulosis, often wedge-shaped Irregular acanthosis with “saw-toothed” rete ridges rarely epidermal atrophy Colloid bodies often Liquefaction degeneration of the basal layer Lichenoid lymphocytes in the papillary dermis Melanin incontinence often
216
216- Which of the following lesions demonstrates a pseudo-Darier‘s sign? A. Mastocytoma B. Spitz nevus C. Smooth muscle hamartoma D. Pilomatricoma E. Bullous pemphigoid
►C Smooth muscle hamartomas are benign tumors which arise from smooth muscle of the dermis. Pseudo-Darier's sign may be elicited due to transient piloerection after rubbing. Histologically, red- orange bundles and fascicles are present with blunt-ended nuclei.
217
217- Multiple dermatofibromas are seen in: A. Cowden's B. Lobomycosis C. Incontinentia pigmenti D. Lupus erythematosus E. Reticulohistiocytosis
►D Multiple dermatofibromas are seen in lupus erythematosus and immunosuppression/HIV.
218
218- What diagnosis is shown here? A. Lipodermatosclerosis B. Erythema nodosum C. Pancreatic panniculitis D. Lupus profundus E. Erythema induratum
►B On histology, erythema nodosum is characterized by a septal panniculitis with septal thickening and granulomatous inflammation.
219
219- Granular cell tumors are derived from: A. Connective tissue B. Smooth muscle C. Vascular tissue D. Neural tissue E. Adipose tissue
►D 40% of granular cell tumors occur on the tongue. They appear well-circumscribed, raised, firm nodules. Histologically, the cells are plump and polygonal arranged in nests and cords. Cells are filled with fine granules representing lysozymes. The tumors are neurally derived and stain with S-100 and PAS.
220
220- Langerhans cells express or are characterized by all of the following except: A. Chromagranin B. HLA-DR C. CD1a D. Birbeck granules E. S-100
►A Chromagranin stain neuroendocrine cells, Merkel cellcarcinomas and eccrine glands. They do not stain Langerhans cells.
221
221- Which test is the first to become reactive? A. RPR B. FTA-ABS C. VDRL D. ELISA E. Lumbar puncture
►D In syphilis, the first test to become reactive is the ELISA, therefore it is the test of choice for early primary syphilis and congenital disease. It is less useful in late disease due to decreased IgM. FTA- ABS is the most sensitive with late primary syphilis.
222
222- The green color in is secondary to: A. Stromelysin B. Chloracetate C. Fumarase D. Myeloperoxidase E. Alkaline phosphatase
►D Chloromas are greenish tumor grossly secondary to involvement of the skin in acute granulocytic leukemia. The green color is secondary to myeloperoxidase.
223
223- Which gene mutation and/or amplifications are more commonly found in this type of melanoma and mucosal sites than in melanomas on intermittently sun-exposed sites A. NRAS B. KIT C. GNAQ D. HRAS E. PTEN
►B KIT mutations and/or amplifications are more commonly found in melanomas located on acral and mucosal sites than in melanomas on intermittently sun-exposed sites.
224
224- The predominant location of the cleft in linear IgA is: A. Dermal B. Basement membrane zone C. Basal keratinocytes D. Suprabasal E. Subcorneal/granular
►B Linear IgA bullous dermatosis is an autoimmune disorder that presents with tense blisters along red annular rings (like a string of pearls). Antibodies are found in the lamina lucida against LAD-1 antigen in anchoring filaments. The cleft in linear IgA would be found in the basement membrane zone/subepidermal with direct immunostaining IgA in a linear pattern at the dermal-epidermal junction.
225
225- B Cell lymphoma, leg type demonstrates which of the following characteristics? A. EBV+ B. CD20+, often MUM1/bcl-2+ C. HHV8+ D. CD20- E. CD4+
►B B Cell lymphoma, leg type is characterized by a diffuse dermal infiltration of CD20+ cells which are also usually positive for MUM1/IRF4 and bcl-2.
226
226- The special stain that can show maturation of dermal component and decreases expression with descent into the dermis in a normal melanocytic lesion is: A. HMB45 B. Ki67 C. Melanin A D. MART-1
►A In a normal proliferating melanocytic nevus, HMB45 shows maturation of the dermal component with decrease expression with descent into the dermis. Ki67 shows low proliferation in the dermis.
227
227- Which of the following stains with Ulex europeus agglutinin I? A. Smooth muscle B. Eccrine glands C. Endothelial cells D. Macrophages E. Melanocytes
►C Ulex europeus agglutinin I is a stain which identifies endothelial cells, keratinocytes, angiosarcomes and Kaposi's sarcoma.
228
228. A- skin biopsy shows numerous fibroblasts with fibrosis and thickening of the dermis. There is sparse mucin deposition and on low power the biopsy appears square. Which of the following paraproteins would you expect to find in this patient? A. IgG lambda B. IgA C. IgM D. IgG kappa E. IgA gamma
►A The description of the biopsy above is that of scleromyxedema. These patients have an associated IgG lambda paraprotein. Other IgG subtypes may occur but lambda is most common. Scleromyxedema is a subset of lichen myxedematosus (papular mucinosis). It will present with coalescent erythematous to yellow papules and plaques. The most common location is the face, but will occur in many other locations. The surrounding skin is usually sclerodermoid in appearance. (Bolognia, p648-9)
229
229- This is a plakin: A. BPAg1 B. Plakoglobin C. Plakophilin D. Desmocollin E. Beta-catenin
►A Desmoplakins include desmoplakin 1, BPAg1, envoplakin, and periplakin.
230
230- Hypopigmented Mycosis Fungoide: A. Occurs in older patient populations rather than Classical MF B. Occurs in women more commonly than men C. Is more likely to occur on the face D. Does not differ from classic MF in terms of those affected E. Is more likely to occur in patients with skin types V and VI
►E Hypopigmented MF occurs more commonly in younger patients and patients with darker skin types.
231
231- The inclusions in infantile digital fibromatosis stain for trichrome and: A. Phosphotungstic acid hematoxylin B. Osmium tetroxide C. Thioflavin T D. Bodian E. Pentahydroxy flavanol
►A Osmium tetroxide stains fat. Thioflavin T stains amyloid. The Bodian stain is for nerves. Pentahydroxy flavanol is a fluorescent stain for calcium.
232
232. A- 22-year-old man with a diagnosis of Noonan‘s syndrome presents with a slowly enlarging nodularity on the tongue. Biopsy is most likely to reveal what finding: A. Psammoma bodies B. Pustulo-ovoid bodies C. Russel bodies D. Verocay bodies E. Weibel-Palade bodies
►B The most likely diagnosis is a granular cell tumor, which most commonly arises on the tongue and is associated with Noonan‘s syndrome. Biopsy would reveal intracellular granules along with pustule-ovoid bodies representing phagolysosomes. Psammoma bodies are concentrically laminated calcified bodies seen in meningioma, ovarian, and thyroid neoplasms. Russel bodies are immunoglobulin inclusions in plasma cells often seen in Rhinoscleroma. Verocay bodies are palisading nuclei arranged in rows with peripheral eosinophilic cytoplasm characteristic of Schwannomas. Weibel-Palade bodies are organelles that are seen on macroscopy of endothelial cells.
233
233- Which of the following would suggest a diagnosis of malignant lymphoma, B-cell type over pseudolymphoma, B-cell type? A. Mixed-cell infiltrate B. Mitotic figures only in germinal centers C. Histoicytic giant cells episodically D. Larger lymphocytes predominate E. Prominant vasculature with thick-walled blood vessels lined by plump endothelial cells
►D Histological findings in pseudolymphoma, B-cell type include a mixed-cell infiltrate (important diagnostic criterion), small lymphocytes (that predominate), the presence of histiocytes and giant cells, mitotic figures limited to the germinal centers and prominant vasculature.
234
234- Degeneration of cartilage in chondrodermatitis nodularis helices affects which type of collagen? A. Type I collagen B. Type II collagen C. Type III collagen D. Type IV collagen E. Type VII collagen
►B Chondrodermatitis nodularis helices presents as a tender nodule usually on the helix or antihelix of the ear. It is thought to be a result of vascular insufficiency. Degeneration of the cartilage is seen on histopathology which is primarily composed of type II collagen.
235
235- Paraproteinemia is associated with all except: A. Scleromyxedema B. Necrobiotic xanthogranuloma C. Scleredema D. Sclerosing panniculitis E. Plane xanthoma
►D Sclerosing panniculitis (lipodermatosclerosis) displays characteristic changes in the fat (lipomembranous change); it is not associated with paraproteinemia. Generalized plane xanthomas, scleromyxedema, necrobiotic xanthogranuloma, scleredema, erythema elevatum diutinum, xanthoma disseminatum, and pyoderma gangrenosum have all been associated with a paraproteinemia.
236
236- This is considered to be the juvenile counterpart of DFSP: A. Juvenile hyaline fibromatosis B. Giant cell fibroblastoma C. Myxofibrosarcoma D. Myofibromatosis E. Plexiform fibrous histiocytoma
►B An entity called giant cell fibroblastoma is CD34-positive, is mostly seen in male children on the neck/trunk, and is thought to be a juvenile counterpart of DFSP.
237
237- What type of lesion is shown here? A. Chondroid syringoma B. Hidradenoma C. Trichoblastoma D. Cylindroma E. Spiradenoma
►E On histology, a spiradenoma is a dermal nodule composed of basaloid cells in a trabecular pattern. Two cell types are usually present: small basaloid cells and larger cells with pale nuclei.
238
238. A- patient has a yellow to pink papule with epitheloid melanocytic cells with nests that are large and associated with retraction artifact. The nest and cell sizes diminish with depth. Also, eosinophilic cytoplasmic extracellular globules are seen in the junctional region and are called: A. Kamino bodies B. Cytoid bodies C. Nuclear bodies D. Spitz bodies E. Von Kossa bodies
►A The above lesions describes a spitz nevus. They occur most commonly in children and seen on the face, trunk, or extremities. An atypical spitz nevus is regarded as having an uncertain malignant potential. Kamino bodies are seen in Spitz nevus that are eosinophilic cytoplasmic extracellular globules in the junctional region.
239
239-A patient with a blue-red discoloration of the nail plate reports that the same finger becomes very tender when exposed to the cold. You suspect a: A. Periungual verruca B. Glomus tumor C. Pterygium D. Mucous cyst E. Pyogenic granuloma
►B Glomus tumors are tumors of the arterio-venous anastamosis of the digital dermis. They occur most frequently in the nail bed. The commonly have a bluish-red discoloration and may be tender or painful with exposure to heat or cold.
240
240- Eccrine glands are found on the: A. Labia majora B. Labia minora C. Glans D. Prepuce E. Vermilion
►A Eccrine glands are present all over the body except on the vermilion of lips, glans, labia minora, nail beds, and inner prepuce.
241
241- There is a red-yellow, smooth firm lobulated papule that is associated with Muir-Torre syndrome on the face of a patient. On histology, there are lobulated sebaceous tumors often with a connection to the epidermis. There are mature sebocytes (>50%) within a predominantly basaloid cell population. This describes a: A. Sebaceoma B. Sebaceous adenoma C. Sebaceous carcinoma D. Sebaceous hyperplasia
►A This describes a sebaceoma and is located on the head and neck on the face and scalp. It is associated with Muir-Torre syndrome with a mutation in the MSH2 and MLH1. It is a benign tumor and surgical excision is curative with little chance of recurrence.
242
242- Comma-shaped bodies are seen in: A. Benign cephalic histiocytosis B. Malakoplakia C. Sarcoidosis D. Lipoid proteinosis E. Gaucherǁs
►A Comma-shaped bodies and worm-shaped bodies can be seen in a variety of histiocytoses and are non-specific. The most common association is with benign cephalic histiocytosis.
243
243- The most common cause of a longitudinal groove of the nail plate is: A. Myxoid cyst B. Verruca vulgaris C. Psoriasis D. Onychomycosis E. Paronychia
►A A myxoid cyst is not a true cyst as it is devoid of cyst lining. They usually occur in an acral location and are the most common cause of a longitudinal groove of a nail plate.
244
244- What neoplasm is pictured here? A. Trichoadenoma B. Tumor of the follicular infundibulum C. Cutaneous lymphadenoma D. Desmoplastic trichoepithelioma E. Syringoma
►D Desmoplastic trichoepitheliomas are composed of small cords and islands of basaloid cells within a fibrous stroma. Keratinous cysts are often present.
245
245- Calcium can be seen this stain: A. Von Kossa B. Mucicarmine C. Grocott D. Warthin Starry E. Melanin A
►A Calcium is stained with Von Kossa and it stains it black. Mucicarmine stains mucin red. Grocott stains fungus cell walls black and Warthin-Starry stains spirochetes black.
246
246- On histology this disease has mucin deposition within the external root sheath and sebaceous gland. The mucin distends into the intracellular spaces within follicular epithelium forming cystic cavities. The following stains will be positive except for: A. CD3 B. CD4 C. CD7 D. CD8 E. CD9
►E This patient has follicular mucinosis. This is benign and seen in children and is a nonscarring alopecia and may be pruritic or tender seen on the face and scalp. All the following stains will be positive CD3, CD4, CD7, CD8.
247
247- Which of the following stains Natural Killer Cells? A. CD1a B. CD11 C. CD30 D. CD56 E. CD68
►D CD56 stain Natural Killer Cells and angiocentric lymphomas.
248
248- What substance is found histologically in talon noir to be the source of the pigment seen clinically? A. Hemoglobin B. Hemosiderin C. Melanin D. Carbon E. Keratin
►A Talon noir is caused by trauma and hemorrhage trapped in the stratum corneum. It can clinically appear pigmented and is often biopsied to rule out melanoma. Because phagocytosis of extravascular RBCs and subsequent degradation of hemoglobin to hemosiderin does not occur in the stratum corneum, traditional iron stains do not work and histochemical stains must be directed toward hemoglobin.
249
249. A- male patient presents with scattered pink-purple papules on the lower legs. He is otherwise healthy. What is your diangosis based on this path? A. pigmented purpuric lichenoid dermatosis of gougeroit and blum B. mastocytosis C. kaposi sarcoma D. lichen nitidus E. mycosis fungoides
►A Pigmented purpuric lichenoid dermatosis of gougeroid and blum is easily identified on pathology by a lichenoid infiltrate with deep melanophages and a few necrotic keratinoctytes. It can look similar to EM but is more localized and the melanophages are much deeper in the pigmented purpuric dermatosis. Kaposi sarcoma is on the differential clinically, however on path it is not a lichenoid infiltrate and therefore is easily ruled out.
250
250- This was excised from the face, what is this neoplasm ? A. Syringoma B. Trichoadenoma C. Basal cell carcinoma D. Desmoplastic trichoepithelioma E. Microcystic adenocarcinoma
►A Syringomas on the eyelids, cheeks, chests and can be eruptive and increased numbers in Down's syndrome and a clear cell change has been associated with diabetes. Histologically this i s a dermal tumor consisting of eccrine ducts, lined by two cell layers sometimes creating a tad pole appearance, there can also be small basaloid islands or strands of cells. Within the lumens of the ducts is eosinophilic material, the lumens are CEA+. The tumor is located superficially and fails to display perineural extension as is seen in MAC. The glands are associated with a fibrous sclerotic stroma, usually no (or minimal) keratin cysts or foreign body granulomas as seen in desmoplastic trichoepithelioma. Enlargement of the glandular cells more of a clear or vacuolated cytoplasm can be seen in patients with diabetes.
251
251- CK20 stains this tumor in what type of pattern? A. Perinuclear dot B. homogeneous C. speckeled D. double dot E. centromere
►A Merkel cell carcionma is stained by CK20 in a perinuclear dot pattern.
252
252- In a halo nevus, there is diffuse lymphohistiocytic infiltrate with melanocytes. There are dermal melanophages and mild dermal fibrosis. The marker used to label the lymphocytes but not melanocytes is: A. Ki-67 B. Melanin A C. S100 D. CD1A E. MART-1
►A Ki-67 labels the lymphocytes but not the melanocytes in a halo nevus. It usually presents with a brown papule with a white depigmented rim and the back is the most common site.
253
253- What is the diagnosis? A. Lichen planus-like keratosis B. Malignant melanoma C. Syphilis D. Spitz nevus E. Halo nevus
►E A halo nevus is characterized by a symmetric proliferation of nevus cells in the dermis, surrounded by an intense lymphocytic infiltrate.
254
254- Which genetic abnormality has been found in the cells of this neoplasm? A. t(17;22) B. BRAF V600E mutation C. NRAS mutation D. t(9;22) E. KIT mutation
►A Dermatofibrosarcoma protuberans has been associated with reciprocal translocations of chromosomes 17 and 22, t(17;22). This rearrangement fuses the collagen type I alpha 1 (COL1A1) and the PDGF-beta chain (PDGFB) genes.
255
255- Which of the following sets of special immunohistochemical stains would help differentiate an atypical fibroxanthoma (AFX) from a malignant fibrous histiocytoma (MFH)? A. CD74 and CD99 B. CD34 and Stromelysin-3 C. HMB45 and p75NPR D. CK20 and TTF-1 E. CK20 and GCDFP-15
►A CD74 (LN2) and CD99 help differentiate an AFX from an MFH where an AFX is CD74 -,CD99+ and an MFH stains weakly from CD99 and is CD74 negative. CD34 and Stromelysin-3 differentiate dermatofibromas and DFSPs. HMB45 and p75NPR are stains helping to differentiate melanomas from desmoplastic melanomas. CK20 and TTF-1 staining differentiates a merkel cell carcinoma and metastatic small cell lung carcinoma. CK20 and GCDFP-15 staining helps distinguish primary and secondary (assoc with underlying neoplasm) Paget's disease.
256
256- Subcutaneous panniculitis-like T-cell lymphoma with an indolent course is positive for which of the following? A. CD4 B. CD8 C. CD10 D. CD41 E. CD57
►B There seems to be two subsets of subcutaneous panniculitis-like T-cell lymphoma. One has an indolent course, and is often CD8-positive and is positive for the alpha-beta T-cell receptor. The other has an aggressive course, sometimes with evidence of systemic hemophagocytosis and high mortality. This subset is CD56-positive and positive for the gamma-delta T-cell receptor.
257
257- All have been associated with increased risk of breast cancer except: A. Cowden‘s B. Multicentric reticulohistiocytosis C. Peutz-Jeghers D. Birt-Hogg-Dube E. ataxia telangiectasia
►D Birt-Hogg-Dube is associated with renal cancer and thyroid cancer. Female carriers of a mutated ATM (homozygous mutations ATM cause ataxia telangiectasia) have an increased risk of breast cancer.
258
258- This eruption is mediated by antibodies to which structure? A. Desmoglein 1 B. Desmoplakin C. Collagen VII D. BP180 E. Desmoglein 3
►D Bullous pemphigoid is most often associated with antibodies to BP180.
259
259- Which marker helps to differentiate extranodal NK-T cell lymphoma from cutaneous gamma delta lymphoma? A. CD56 B. MUM-1 C. EBV status D. CD43 E. bcl-2
►C Both cutaneous gamma delta lymphoma and extranodal NK-T cell lymphoma are CD56+. However, only extranodal NK-T cell lymphoma is EBV + while cutaneous gamma delta lymphoma is EBV negative. Both these lymphomas have a 5-year survival rate that approaches 0%.
260
260- Birt-Hogg-Dube has been associated with increased risk of renal cancer and: A. Spontaneous pneumothorax B. Hepatic cysts C. Adrenal hemorrhage D. Cirrhosis E. Gastrointestinal polyps
►A The gene defect in Birt-Hogg-Dube is folliculin.
261
261- This lesion typically occurs in which population? A. Children on the legs B. Middle-aged on the face C. All ages on the trunk D. Elderly on the head and neck E. Infants on the trunk
►D Atypical fibroxanthomas develop in elderly patients primarily on the highly sun-damaged skin of the head and neck. The prognosis is usually very good despite the pleomorphic histo logy which is characterized by very bizarre, atypical spindle-shaped and anaplastic cells with numerous mitoses.
262
262- Which of the following is characteristic of pleomorphic lipoma? A. Foreign body giant cells B. Floret giant cells C. Frequent mitoses D. Exocytosis of lymphocytes E. Virchow bodies
►B Pleomorphic lipomas characteristically have a mixture of variably sized fat cells with a varying number of pleomorphic enlarged cells. These cells contain nuclei arranged in a circumferential pattern that has been termed floret cells. Rare lipoblasts are found. Focal collections of lymphocytes and plasma cells within the tumor are seen.
263
263- What material is found inside multinucleated giant cells in this condition? A. Calcium B. Red blood cells C. White blood cells D. Collagen fibers E. Elastic fibers
►E Annular elastolytic giant cell granuloma presents as multiple papules and annular plaques. On histology, there is granulomatous inflammation with multinucleated giant cells demonstrating elastophagocytosis
264
264- What infection does this patient have? A. Cryptococcosis B. Blastomycosis C. Coccidioidomycosis D. Histoplasmosis E. Leprosy
►C Lesions of cutaneous coccidioidomycosis demonstrate non-caseating granulomas in the dermis, often with overlying pseudoepitheliomatous hyperplasia. Thick walled spherules of C. immitis are found within multinucleated giant cells and granulomas.
265
265- What diagnosis is pictured here? A. Lichen planus B. Syphilis C. Discoid lupus D. Erythema multiforme E. Fixed drug
►C Discoid lupus is characterized on histology by vacuolar degeneration of the basal layer of the epidermis, necrotic keratinocytes, basement membrane thickening, hyperkeratosis, follicular plugging,dermal mucin, and a lichenoid perivascular and periadnexal infiltrate.
266
266- This patient presents with scatterd wheals. What is the most likely diagnosis? A. Urticaria B. Psoriasis C. PRP D. Sweets syndrome E. contact dermatitis
►A A patient with wheals most likely has urticaria. When neutrophils are seen in the vessels with significant dermal edema, urticaria must be ruled out. Psoriasis, contact deramtitis and PRP are papulosquamous diesease. Sweets would have a dense neutrophilic infiltrate .
267
267- Both mesenchymal and epithelial elements may be found in which of the following tumors? A. Cylindroma B. Microcystic adnexal carcinoma C. Chondroid syringoma D. Bednar tumor E. Folliculosebaceous cystic hamartoma
►C Cutaneous mixed tumor, also known as Chondroid syringoma, represents an acquired hamartoma with folliculosebaceous-apocrine differentiation that has been generally interpreted as a form of adnexal adenoma (neoplasm). It has both a mesenchymal and epithelial component.
268
268. A- 9 year-old girl presents for evaluation of alopecia. Physical examination reveals a bizarrely shaped patch of hair loss in the vertex area, with broken hairs of varying lengths. Biopsy is most likely to demonstrate: A. Lymphoid inflammation at the level of the hair bulb B. Mucin within follicular epithelium C. Fungal spores within hair shafts D. Traumatized hair follicles with perifollicular hemorrhage, empty follicles, and deformed hair shafts E. Suppurative folliculitis
►D Biopsy of trichotillomania, characterized by an abnormal urge to pull out the hair, reveals traumatized hair follicles with perifollicular hemorrhage, empty anagen follicles, many catagen hairs, deformed hair shafts (known as trichomalacia), and melanin casts within the follicular canal. Lymphoid inflammation at the level of the hair bulb is a feature of alopecia areata. Mucin within follicular epithelium is characteristic of follicular mucinosis. Tinea capitis demonstrates fungal spores within hair shafts. Suppurative folliculitis may be seen in folliculitis decalvans.
269
269- Which of the following immunohistochemical stains can help distinguish basal cell carcinomas and trichoepitheliomas from microcystic adnexal carcinomas? A. Pro-collagen 1 B. CD34 C. Peanut agglutinin D. TTF-1 E. Ber-Ep4
►E Ber-Ep4 helps distinguish between BCCs/Trichoepitheliomas and microcystic adnexal carcinomas. Morpheaform BCC and desmoplastic trichoepithelioma are Ber-Ep4 positive where as microcystic adnexal carcinomas (MAC) are Ber-Ep4 negative. Other markers that help distinguish between BCCs and trichoepitheliomas are peanut agglutinin and CD34. Peanut agglutinin is positive in BCC and negative in trichoepithelioma vs CD34 which is negative in BCC and positive in the peritumoral fibroblasts of trichoepitheliomas.
270
270- Multiple pilomatricomas are seen in: A. Myotonic dystrophy B. Cowden's C. Turner's D. Gorlin's E. Myotonic dystrophy and Turner's
►E Multiple pilomatricomas are seen in Rubinstein-Taybi, Gardner's (cyst-like pilomatricomas), myotonic dystrophy, Turner's, sarcoidosis, sternal cleft and coagulation defects.
271
271- This form of subcutaneous sarcoid is known as which of the following? A. Heerfordt Waldenstrom syndrome B. lofgren syndrome C. Darier-Roussy D. blau syndrome E. mikulicz syndrome
►C Darier-Roussy is the subcutaneos form of sarcoid.
272
272. A- healthy 6 month old girl has a subcutaneous nodule above her right eyebrow. A skin biopsy demonstrates a cystic lesion with adnexal structures in the wall. Your diagnosis is: A. Steatocystoma B. Pilar cyst C. Nevus sebaceous D. Epidermal inclusion cyst E. Dermoid cyst
►E Dermoid cysts present along lines of embryonic closure. The are most commonly found on the head (around the eyes) and the neck. They are lined by an epidermis that contains various epidermal appendages that are usually fully matured.
273
273- Clear cell syringomas are associated with: A. Malignancy B. Sarcoidosis C. Argyria D. Diabetes E. Lichen myxedematosis
►D Clear cell syringomas are associated with diabetes. Syringomas are associated with Downǁs syndrome.
274
274- Silver preferentially deposits in: A. Eccrine glands B. Apocrine glands C. Hair follicles D. Fat E. Eccrine glands and apocrine glands
►A Argyria can look like normal skin if you do not notice the silver (black) deposits in the eccrine glands in the deep dermis.
275
275- On histology there is acanthosis, hyperkeratosis, vaculoar interface change and apoptotic keratinocytes. There is also papillary dermal edema with endothelial swelling and mixed inflammatory infiltrate. These features are seen in: A. Erythema multiforme B. Toxic epidermal necrolysis C. Lupus erythematosus D. Discoid lupus E. Graft versus host disease
►A This is the description of erythema multiforme. It is a hypersensitivity reaction with characteristic targetoid skin lesions and mucosal involvement. Etiologies include herpes simplex, Mycoplasma infection and drugs.
276
276- Methyl-green pyronin stains RNA what color? A. Pink B. Green C. Blue D. Purple E. Black
►A Methyl-green pyronin stains RNA pink and stain DNA green.
277
277- What is the best diagnosis? A. Keloid B. Ochronosis C. Lichen Nitidus D. Compound Spitz Nevus E. Dermatitis Herpetiformis
►A Distinguishing hypertrophic scar (HS) from keloid histopathologically is sometimes difficult because thickened hyalinized collagen (keloidal collagen), the hallmark of keloid, is not always detectable and [alpha]-smooth muscle actin ([alpha]-SMA), a differentiating marker of HS, is variably expressed in both forms of scar.
278
278- This is associated with MEN IIa: A. Neurothekeoma B. Macular amyloidosis C. Malignant peripheral nerve sheath tumor D. Chondroid syringoma E. Mucocele
►B Macular amyloidosis is associated with MEN IIa.
279
279- The predominant cleft in dermatitis herpetiformis is: A. Dermal B. Basement membrane zone C. Basal keratinocytes D. Suprabasal E. Subcorneal/granular
►B Dermatitis herpetiformis or Duhring's disease, presents with very pruritic vesicles symmetrically on extensor surfaces. On histology it presents as suprapapillary vesicles with mostly neutrophils and inflammatory destruction of the basement membrane zone. Direct immunoflourescence shows granular deposition of IgA in the dermal papillae and along the basement membrane zone. The cleft in dermatitis herpetiformis is most commonly found in the basement membrane zone/subepidermal. The antigen is transglutaminase.
280
280- Which of the following shows granular deposition of IgA in the dermal papillae and along the basement membrane zone on direct immunoflourescence: A. IgA pemphigus B. Bullous pemphigoid C. Linear IgA dermatosis D. Dematitis herpetiformis E. Herpes gestationalis
►D Dermatitis herpetiformis or Duhring's disease, presents with very pruritic vesicles symmetrically on extensor surfaces. On histology it presents as suprapapillary vesicles with mostly neutrophils and inflammatory destruction of the basement membrane zone. Direct immunoflourescence shows granular deposition of IgA in the dermal papillae and along the basement membrane zone.
281
281. A- 26-year-old man with Basal Cell Nevus syndrome is diagnosed with a meningioma. Histologic findings are most likely to reveal: A. Psammoma bodies B. Pustulo-ovoid bodies C. Russel bodies D. Verocay bodies E. Weibel-Palade bodies
►A Patients with Basal Cell Nevus syndrome are predisposed to developing meduloblastomas and meningiomas, both of which can rarely present with cutaneous involvement. Psammoma bodies are concentrically laminated calcified bodies seen in meningioma, along with ovarian and thyroid neoplasms. Pustolo-ovoid bodies are seen in granular cell tumors. Russel bodies are immunoglobulin inclusions in plasma cells often seen in Rhinoscleroma. Verocay bodies are palisading nuclei arranged in rows with peripheral eosinophilic cytoplasm characteristic of Schwannomas. Weibel-Palade bodies are organelles that are seen on macroscopy of endothelial cells.
282
282- Which of the following is characteristic of Birt-Hogg-Dube Syndrome? A. Autosomal recessive mode of inheritance B. Multiple trichoepitheliomas C. Caused by mutation in hamartin D. Multiple trichodiscomas E. Colon cancer common
►D Birt-Hogg-Dube Syndrome (BHD) characterized by multiple small harartomas of mesodermal component of hair discs, which were indentified as trichodiscromas. It is an autosomal dominant disease caused by mutations in folliculin. Patients with multiple fibrofolliculomas may also have acrochordons, collagenomas, lipomas, and/or oral fibromas. BHDS recently has been reported in association with various types of renal tumors, such as oncocytoma and a variant of papillary renal cell carcinoma. There are no trichoepitheliomas in BHD syndrome.
283
283- Atypical keratinocytes are noted on this biopsy. What HPV type is likely associated? A. HPV 16 B. HPV 2 C. HPV 1 D. HVP 4 E. HPV 7
►A HPV 16 is an oncogenic strain of HPV which can trigger development of SCC within a wart.
284
284- Which marker stains melanosomes? A. S-100 B. Mart-1/Melan-A C. MITF D. HMB-45 E. Fontana-Masson
►D HMB-45 is a melanosome immunostain targeting glycoprotein. S-100 is a melanocyte immunostain, but it has low specificity also staining Langerhans cells, smooth and skeletal muscle, adipocytes, and eccrine coils. MITF is a melanocyte nuclear stain. Fontana-Masson is a melanin stain.
285
285- Which of the following stains is specific for melanin? A. S-100 B. HMB-45 C. Fontana-Masson D. MART-1 E. Melan-A
►C Fontana-Masson is a silver stain and stains melanin black. S-100, HMB 45, MART-1 (Melan-A) are melanocyte stains. S-100 also decorates Langerhans cells, acrosyringium, and neural crest-derived cells.
286
286- Which of the following characteristics describes Atypical fibrous histiocytomas ? A. Metastatic upon presentation B. Benign C. Low recurrence rate, high risk of metastasis D. High recurrence rate, low risk of metastasis E. Low recurrence rate, low risk of metastasis
►E Atypical fibrous histiocytomas are also known as dermatofibromas with monster cells. These tumors are uncommon and are characterized by a low recurrence rate and a rare risk of distant metastases.
287
287- Leukocytoclastic vasculitis can be seen in which condition? A. Rheumatoid neutrophilic dermatosis B. Erythema elevatum diutinum C. Urticaria D. Granuloma inguinale E. Sweet's Syndrome
►B Rheumatoid neutrophilic dermatitis is seen in the setting of severe rheumatoid arthritis. The pathogenesis is not understood, but in the few reports of this rare dermatosis, a true vasculitis has not been seen. Sweet's syndrome also does not show evidence of a true vasculitis. Erythema elevatum diutinum histologically shows a leukocytoclastic vaculitis, but with prominent interstitial neutrophils. Other conditions with evidence of LCV include Henoch -Schonlein purpura, granuloma faciale, urticarial vasculitis, and occasionally serum sickness.
288
288- On histology, there is a follicular based epithelial cystic invagination with differentiation towards the outer root sheath forming eosinophilic cellar bodies. Central invagination contains lamellated keratinous material. This best describes: A. Pilar shealth acanthoma B. Tumor of follicular infundibulum C. Desmoplastic trichilemmoma D. Basaloid follicular hamartoma E. Trichoblastoma
►A This describes a pilar sheath acanthoma and is a benign follicular based, comedo-like epithelial proliferation with differentiation toward the outer root sheath. It presents as a skin colored papule with central depressed pore.
289
289- What is this neoplasm? A. Poroma B. Eccrine acrospiroma C. Sebaceous adenoma D. Basal Cell Carcinoma E. Trichoblastoma
►A Poroma: Palmar/plantar skin, trunk and lower extremities. Named based upon location, If purely intraepidermal called a hidroacanthoma simplex, if only in the dermis it is a dermal duct tumor, but more commonly seen both in the epidermis and dermis and then it is given general classification as poroma. Associated with Schopf-Schultz-Passarge syndrome and Clouston's syndrome. Histologically composed of a proliferation of small uniform cuboidal basaloid cells that are PAS+DS (i.e. contains glycogen). The cells are smaller than neighboring keratinocytes. The tumors can be pigmented and there can be necrosis en mass. The latter finding is an exception to the general rule that benign tumors do not show necrosis en mass.
290
290- This lesion is defined by the presence of what material in the dermis? A. Amiodarone B. Ink C. Iron D. Melanin E. Carbon
►D A blue nevus is characterized by the presence of dendritic melanocytes and melanophages.
291
291- The predominant location of the cleft in cicatricial pemphigoid is: A. Dermal B. Basment membrane zone C. Basal keratinocytes D. Supra basal E. Subcorneal/granular
►B Cicatricial pemphigoid is an autoimmune blistering disease that presents with ulcers, blisters and erosions of mucosal surfaces, especially the eyes and mouth. The cleft in cicatricial pemphigoid is found in the basement membrane zone/subepidermal as the antigens are usually BPAg2,laminin 5 and alpha-6-beta-4 integrin. Direct immunoflourescence is identical to that of bullous pemphigoid showing linear IgG and complement deposits in the basement membrane zone.
292
292- Mantle cell lymphoma is characteristically positive for which of the following? A. CD10 B. CD23 C. CD138 D. Bcl-1 E. bcl-6
►D Bcl-1 (Cyclin D1) is a marker for mantle cell lymphoma. CD10, bcl-6, and bcl-2 are markers for follicular cell lymphoma. Bcl-2 also stains normal T cells. CD23 is a marker for CLL/SLL and is negative in mantle cell lymphoma. CD138 is a marker for plasma cells.
293
293- What is this neoplasm? A. Pilomatricoma B. Proliferating pilar tumor C. Trichoepithelioma D. Basal cell carcinoma E. Eccrine acrospiroma
►A Pilomatrixoma (Calcifying epithelioma of Malherbe): Found on the head, neck and upper extremities in the first 2 decades of life. Typically solitary but multiple pilomatricomas arise in several syndromes. Even in isolation these tumors may arise due to activating mu tations in the beta-catenin gene. Histologically: This tumor consists of two major cell types plus an intermediate or transitional cell type. Initially the tumor is more cystic with the cells at the periphery of the tumor that are more basophilic with indistinct cell borders and little cytoplasm. The cells have hyperchromatic nuclei and often normal mitoses can be appreciated. Centrally there are eosinophilic ―ghost or shadowǁ* cells which are cells that have undergone terminal differentiation. These cells have more distinct borders, increased cytoplasm but only a ghost of a nucleus. Then there are cells that reside somewhere in between these two cell types. The proportion of these cells varies depending on the stage of the lesion; i.e younger lesions have more basophilic cells and appear more cystic, older lesions have a greater component of ghost cells and up to 20% of lesions on removal are completely composed of ghost cells.
294
294- The presence of which cell type confirms this diagnosis? A. Lipidized histiocyte B. Mast cell C. Multinucleate keratinocyte D. CD30+ E. Langhans giant cell
►C Herpes infection is confirmed by the presence of multinucleate keratinocytes which often have intranuclear inclusion bodies.
295
295- On histology there is acanthosis, papillomatosis with occasional neutrophils in the stratum corneum. There is alternation of hyperkeratosis alternates with parakeratosis. There is a lack of granular layer in the areas of parakeratosis and is most likely: A. Inflammatory linear verrucous epidermal nevus B. Psoriasis C. Pityriasis rubra pilaris D. Lichen simplex chronicus E. Ritter's syndrome
►A This is ILVEN seen unilateral with inflamed papules and plaques in a linear distribution. It presents during infancy and childhood but can arise in adults. It follows the line of Blaschko and is located on the extremities and is usually pruritic.
296
296- Diffuse staining with this marker is suggestive of BCC rather than trichoepithelioma: A. CAM 5.2 B. Bcl-2 C. PTAH D. CEA E. Cytokeratin 8
►B Trichoepitheliomas stain with bcl-2 on the periphery of individual tumor islands.
297
297- Which of the following can be used to stain amyloid? A. PAS B. Eosin C. Giemsa D. Aldehyde fuchsin E. Crystal violet
►E Stains for amyloidosis: Congo Red, Thioflavin T, Crystal Violet, Methyl violet, Pagoda red no.9, PAS + diastase, amyloid P-component antibody
298
298- Acantholysis is not a prominent histopathologic feature of which disease? A. Dermatitis herpetiformis B. Darier's disease C. Grover's disease D. Pemphigus vulgaris E. Hailey-Hailey diesease
►A Dermatitis herpetiformis is a bullous disease that on histology shows neutrophils in the dermal papillae. On direct immunoflourescence IgA is seen in a granular depostion pattern. Acantholysis is seen histologicaly in Darier's disease, Grover's disease, Pemphigus vulgaris, Hailey-Hailey disease and warty dyskeratoma.
299
299- What underlying disease does this patient have? A. Wiskott-Aldrich syndrome B. PHACES C. Osteogenesis imperfecta D. Darier's disease E. Vitiligo
►C Elastosis perforans serpiginosa is associated with an underlying condition in up to a third of cases. Some of these conditions include osteogenesis imperfecta, Ehlers-Danlos syndrome, Marfan's syndrome, acrogeria, scleroderma, and Down syndrome.
300
300- What is the diagnosis? A. Marjolin's ulcer B. Lichen planus C. Basal cell carcinoma D. Lichen amyloid E. Dermatofibroma
►A Marjolin's ulcer is an aggressive ulcerated squamous cell carcionoma that arises due to chronic inflammation. The image shows the invasive atypical keratinocytes. In lichen amyloid there are pink amorphous deposits that do not have nuclei.
301
301- Subcutaneous fat necrosis of the newborn has been associated with: A. Hypocalcemia B. Hypercalcemia C. Hypokalemia D. Hyperkalemia E. Hyponatremia
►B Hypercalcemia has been noted in some cases of subcutaneous fat necrosis of the newborn.
302
302- This eruption is mediated by autoantibodies to which antigen? A. Desmoplakin B. Desmoglein 1 C. BP230 D. Collagen VII E. BP180
►D Bullous systemic lupus erythematosus is mediate by antibodies to collagen VII. Histology is similar to that of linear IgA bullous dermatosis and dermatitis herpetiformis.
303
303- Using the salt-split skin technique with direct immunofluorescence, epidermolysis bullosa acquisita will show linear deposition of complement in what position? A. Roof of the split B. Roof and floor of the split C. Floor of the split D. Neither the roof or floor of the split since IgA is the most common reactant E. None of the above since the pattern is not linear
►C Epidermolysis bullosa acquisita (EBA) is a bullous disease of adults in which minor trauma (usually on the hands and feet) leads to blisters that heal with scaring. On histology there is classically a noninflammatory subepidermal split. The blister will immunostain with IgG on the floor of salt-split skin, as the antigen is type VII collagen.
304
304. A- 64-year old woman presents with scalloped erosions in the dermatome of the first branch of the trigeminal nerve. Biopsy would reveal which of the following histologic findings: A. Asteroid Bodies B. Caterpillar Bodies C. Cowdry Type A Bodies D. Donovan Bodies E. Dutcher Bodies
►C Varicella zoster virus is the causative agent in chicken pox and shingles, where recrudescence from latency in the dorsal root ganglion causes a dermatomal distribution of painful vesicles and erosions. Biopsy of herpes viruses reveals cells with multinucleation, margination of the chromatin, and Cowdry Type A bodies, which are intranuclear eosinophilic amorphous bodies surrounded by a clear halo.
305
305-Clinically, a nondescript hyperkeratotic papule on the ulnar side of the base of the fifth finger is most likely: A. Acquired digital fibrokeratoma B. Accessory digit C. Cutaneous horn D. Digital fibromatosis E. Glomus tumor
►B Accessory digits (supernumerary digits) are usually found at the base of the fifth finger, often bilaterally.
306
306 -A 44-year old woman presents to clinic two weeks after injuring her finger while pruning her rose garden. Exam reveals a suppurative nodule on her right index finger with lymphangitic spread involving her forearm. Biopsy exhibits a dense granulomatous infiltrate and which of the following histologic findings: A. Asteroid Bodies B. Caterpillar Bodies C. Cowdry Type A Bodies D. Donovan Bodies E. Dutcher Bodies
►A This is a classic presentation of sporotrichosis, which presents as lymphangitic spread after penetrating trauma. Other organisms with true lymphangitic spread include leishmania, nocardia, and atypical mycobacteria. Biopsy of sporotrichosis reveals granulomatous inflammation and asteroid bodies, along with cigar bodies of budding yeast cells.
307
307- The predominant location of the cleft in porphyria cutanea tarda is: A. Dermal B. Basement membrane zone C. Basal keratinocytes D. Subrabasal E. Subcorneal/granular
►B Porphyria cutanea tarda (PCT) is the most common porhyria. It is due to a deficiency of uroprophyrin decarboxylase. Adults present with sun induced vesicles, papules, crusts and milia in areas of scaring. On histology the cleft in porphyria cutanea tarda is subepidermal or in the basement membrane zone with festooning of dermal papillae into the blister. Hyalinized material around blood vessels in the papillary dermis may be seen, as well as caterpillar bodies (eosinophilic segemented basement membrane) in the roof of the blister. PCT is associated with hepatitis C, alcohol abuse and liver disease.
308
308- What is the most common location of a verruciform xanthoma? A. Mouth B. Lower leg C. Face D. Hand E. Thigh
►A The oral mucosa is the most common location of a verruciform xanthoma. It is also seen in CHILD syndrome, EBA, GVHD, and lymphedema syndromes.
309
309- What is this neoplasm? A. Trichoadenoma B. Trichoblastoma C. Trichoepithelioma D. Basal cell carcinoma E. Nevus comedonicus
►A Trichoadenoma: A nodule on the face or buttock that is slightly depressed. Typically confined to the upper dermis and composed of multiple milia or infundibular-like cysts that have a squamous epithelial lining associated with a granular layer and central flakey keratin in the lumen . The stroma can be sclerotic. The lesion is composed primary of cysts with a few thin strands of basaloid cells; if basaloid strands predominate with only a few cysts then lesion is a trichoepithelioma.
310
310- In addition to psoriasis, all of the following dermatoses demonstrate regular psoriasiform hyperplasia except: A. Lichen simplex chronicus B. Pityriasis rubra pilaris C. Acanthosis nigricans D. Reiter‘s syndrome E. Inflammatory linear verrucous epidermal nevus
►A Lichen simplex chronicus develops in areas of chronically rubbed skin. On histopathology, there is hyperkeratosis with areas of parakeratosis, hypergranulosis, slight spongiosis, and a sparse superficial perivascular infiltrate. The acanthosis in LSC is irregular. The other choices all have regular psoriasiform hyperplasia.
311
311. A- pregnant patient presents complaining of a worsening skin eruption for the duration of the past three years. What is the most likely diagnosis? A. Seborrheic dermatitis B. Tinea versicolor C. Tinea corporis D. Prurigo of pregnancy E. Pityriasis rosea
►B Tinea versicolor presents as hyper or hypopigmented coalescing scaly macules on the trunk and upper extremities. It is more common during the summer and favors oily areas of skin. Mild pruritus may be present. It is caused by Malassezia furfur. Pityrosporum orbiculare is the yeast phase of the organism. This patient had tinea versicolor for several years and apparently got worse during her pregnancy. A study in Italy, revealed the frequency of tinea versicolor during pregnancy (5.7%) does not seem different from that reported in general population living in temperate climates (2-5%). However, higher degree of colonization by Malassezia resulted at the end of pregnancy and postpartum.
312
312- Which of the following can be seen in dermatofibromas? A. Hypopigmentation of the basal layer B. Infiltration into the fat with a honeycomb pattern C. Hypoplasia of the epidermis D. S-100 positivity E. Vimentin positivity
►E Dermatofibromas have characteristic features that can include collagen trapping, hyperplasia of epidermis, hyperpigmentation of basal layer, dermal spindle cells, and whorls of fibrous tissue with keloidal collagen. It stains with factor XIIIa(+) but not MAC 387 (-), S-100(-), or CD34 (-). DFSP infiltrates the fat with a honeycomb pattern.
313
313- Verruciform xanthoma is seen most commonly on: A. Head and neck B. Distal extremities C. Oral mucosae and genital areas D. Mucosal surfaces and trunk/proximal extremities E. Nail bed and periungual areas
►C Verruciform xanthoma is an uncommon lesion that usually occurs on the oral mucosa of middle- aged persons or on the scrotum of middle-aged to elderly Japanese men. The most common site for verruciform xanthoma is the oral mucosa.
314
314- Which type of lymphoma with an excellent prognosis is shown here? A. Follicuar B. Marginal zone C. Diffuse large B-cell D. Cutaneous T-cell E. NK/T-cell
►A Follicular lymphoma demonstrates a nodular or diffuse infiltrate involving the dermis and sometimes the subcutis. There may be a follicular, follicular and diffuse, or a diffuse pattern of atypical B-cells.
315
315- This was a deep seated large tumor in the thigh, what is it? A. Liposarcoma B. Nodular fascitis C. Hibernoma D. Spindle cell lipoma E. Pleomorphic lipoma
►A A liposarcoma is one of the most common sarcomas to occur in adults, 50-70yos. Those that occur in resectable regions (like the thigh) have a good prognosis; those that occur in retroperitoneum, mediastinum or spermatic cord recur repeatedly and have a risk to dedifferentiate with a mortality approaching 80% over the following 10-20 years. It has a characteristic supernumerary ring with amplification of 12q14 MDM2 region. Histologically The adipocytes vary in size throughout the tumor. Pleomorphism is variable depending upon the degree of differentiation that the tumor displays. The nuclei of the more well-differentiated adipocytes, as well as, the spindled cells are hyperchromatic with nuclear atypia. The presence of lipoblasts, i.e. either mono-vacuolated signet ring type of lipoblast as is more commonly seen in myxoid liposarcoma and/or multi-vacuolated lipoblasts with central nuclei scalloped by vacuoles, are characteristic of a liposarcoma, but are not necessary to make the diagnosis. There is often a plexiform proliferation of blood vessels, with an appearance that has been likened to crow's feet or chicken wire. The stroma can be loose and delicate, fibrous or myxoid. Thick ropey fibrous septae are common in liposarcoma and in lipoblastoma.
316
316 -An obese 15-year-old boy is diagnosed with acanthosis nigricans. The presence of this disorder correlates best with elevated plasma: A. Glucagon B. Calcitonin C. Insulin D. Glucose E. Calcium
►C Acanthosis nigricans correlates most closely with elevated insulin resistance. A canthosis nigricans may also present in association with internal malignancies, most commonly gastric cancer. Additionally, certain drugs, classically niacinamie, may induce this disorder.
317
317-A 54-year-old woman presents to clinic with a tender lesion involving the index finger that is worsened by cold. Biopsy findings reveal a glomus tumor. Electron microscopy of these tumors characteristically exhibits: A. Comma-shaped bodies B. Pustulo-ovoid bodies C. Russel bodies D. Verocay bodies E. Weibel-Palade bodies
►E Weibel-Palade bodies are organelles that are seen on macroscopy of endothelial cells. These are increased in glomus tumors. Pustolo-ovoid bodies are seen in granular cell tumors. Verocay bodies are palisading nuclei arranged in rows with peripheral eosinophilic cytoplasm characteristic of Schwannomas. Russel bodies are immunoglobulin inclusions in plasma cells. Comma-shaped bodies may be seen on electron microscopic analysis of benign cephalic histiocytosis.
318
318- All of the following are true of reticulohistiocytoma except: A. Rare occurrence in children B. Giant cells with ―ground-glassǁ cytoplasm C. Association with arthritis D. Immunostaining is positive for OKM1 E. Trauma is precipitating factor
►C Reticulohistiocytomas, also called giant cell reticulohistiocytomas, occur almost exclusively in adults. They are generally solitary, and unlike the multicentric type, are not associated with mutilating arthritis or predisposition for malignancy.
319
319- Apocrine hidrocystoma may be associated with which of the following syndromes? A. Downs syndrome B. Schopf-Schulz-Passarge C. Buschke-Ollendorf syndrome D. Cowdenǁs Disease E. Osteogensis Imperfecta
►B Schopf-Schulz-Passarge is a syndrome of ectodermal dysplasia which presents with keratosis palmoplantaris with hypodontia, hypotrichosis, and cysts of the eyelids. The other answer choices have not been associated with apocrine hidrocystomas.
320
320- This characteristic change of the fat is characteristic of which panniculitis? A. Subcutaneous panniculitis like T cell lymphoma B. Lupus panniculitis C. Sclerosing panniculitis D. Pancreratic panniculitis E. Calciphylaxis
►B Lupus panniculitis is characterized by hyalinization of the fat with a lymphoplasmocytic infiltrate, as depicted here. It is a lobular panniculitis without vasculitis. The other answer choices are other lobular panniculitidies. Subcutaneous panniculitis like t cell lymphoma has atypical cells rimming the fat lobules. Sclerosing panniculitis is lipodermatosclerosis which has lipomembranous change. Pancreatic panniculitis has liquefactive fat necrosis and saponificatoin of the fat. Calciphylaxis has calium deposites in the walls of tbe blood vessels.
321
321. A- 30-year old male presents with clustered, painful plaques on his shoulder. Histopathology showed interlacing bundles of cells with eosinophilic cytoplasm and no mitoses. Desmin and SMA stains were positive. What gene defect is associated with the development of these lesions? A. Fumarate Hydratase B. Endoglin C. ERCC8 D. RECQL2 E. GJB3
►A The patient has multiple cutaneous leiomyomas. Hereditary leiomyomatosis is an inherited defect of fumarate hydratase. These patients develop multiple cutaneous leiomyomas and have an increased incidence of renal cell carcinoma. Female patients will usually also develop significant uterine leiomyomatosis resulting in hysterectomy.
322
322- Scalp biopsy of a 54-year-old female with suspected lichen planopilaris would likely reveal inflammation around which portion of the hair follicle: A. Dermal papilla B. Hair bulb C. Matrix D. Isthmus E. Infundibulum
►E On biopsy, alopecia areata exhibits a peribulbar lymphocytic ―swarm of bees.ǁ Discoid lupus typically exhibits inflammation surrounding the isthmus, along with a perivascular dermatitis and vacuolar interface changes. Lichen planopilaris exhibits inflammation most densely concentrated about the infundibulum.
323
323- Elastosis perforans serpiginosa is associated with all except: A. Rothmund-Thompson B. Scleredema C. Ehlers-Danlos D. Acrogeria E. Down‘s
►B Elastosis perforans serpiginosa is associated with Down‘s syndrome, Ehlers-Danlos type IV, Osteogenesis imperfecta, Rothmund Thompson, Marfan‘s, Werner‘s, acrogeria, and penicillamine therapy.
324
324- Which of the following regarding stains is true? A. A Verhoeff-van Gieson stain is used to stain elastic fibers red. B. A methanamine silver stain is used to identify bacteria. C. A fite stain is used to identify spirochetes. D. A Von Kossa stain is used to identify calcium.
►D Stains/Application/Result: -Van Gieson - Elastic fibers - Black -Methanamine-silver - Fungi, parasites - Black -AFB/Fite - Acid-fast bacilli - Red -Von Kossa - Calcium - Black -Giesma - Mast cells - Metachromatically purple
325
325- This is an H and E stained slide, what is the organism? A. Exophiala jeanselmei B. Chromomycosis C. Nocardia D. Zygomycosis E. Mucormycosis
►A Phaeohyphomycotic cyst: Typically the result of an opportunist infection caused by being impaled by a splinter contaminated with a dematiaceous or pigmented fungus. Most commonly seen on distal extremities and results in a dermal abscess with fibrous tissue and granulomas within which are pigmented hyphae and yeast. The most common organism is Exophiala jeanselmei (yellow- brown septae hypha) and Wangiella dermatitidis. Histology: Circumscribed cyst with a fibrous wall within which is a chronic granulomatous reaction or dermal abscess, a splinter is sometimes seen along with the brown filamentous hyphae and yeast.
326
326- Osteoclast-like giant cells are characteristic of: A. Giant cell fibroblastoma B. Reticulohistiocytoma C. Necrobiosis lipoidica diabeticorum D. Giant cell tumor of the tendon sheath E. Necrobiotic xanthogranuloma
►D Osteoclast-like giant cells are seen in giant cell tumor of the tendon sheath. Osteoclast -like giant cells have eosinophilic cytoplasm with haphazardly arranged nuclei. Reticulohistiocytoma is characterized by giant cells with an oncocytic glassy pink cytoplasm.
327
327- Which of the following histological features would be most helpful in differentiating lichenoid drug eruption from lichen planus? A. Civatte bodies B. Parakeratosis and eosinophils C. Squamatization of the basal layer D. Presence of pruritus E. Band-like infiltrate with ―Saw-toothǁ rete ridges
►B Lichenoid drug eruptions share clinical and histopathologic features with lichen planus. Sometimes differentiation is not possible; however, eosinophil, parakeratosis, and a deeper perivascular infiltrate is more suggestive of lichenoid drug. Implicated medications include captopril, penicillamine, and chloroquine.
328
328- On histology there is a proliferation of basaloid cells with larger pale cells in a jigsaw pattern. There is an eosinophilic cuticle surrounding the lobules. This describes a: A. Cylindroma B. Eccrine spiradenoma C. Mixed tumor D. Nodular hidradenoma E. Eccrine syringofibroadenoma
►A This describes a cylindroma. This is a benign sweat tumor linked with CYLD gene. It presents as a skin colored to erythematous bluish rubbery nodule. Located on the head and neck and on the scalp. It is also known as a turban tumor.
329
329- All of the following markers can be helpful in differentiating basal cell carcinoma from trichoepithelioma except A. CD10 B. CD31 C. CD34 D. Bcl-2 E. Stromelysin-3
►B The histopathologic discrimination of trichoepithelioma and BCC often presents a diagnostic challenge. The distinction is of clinical significance due to the differences in prognosis and treatment of these tumors. Thus, a large number of ancillary laboratory techniques have been investigated as an aid in this differential, include CD10, CD34, BCL-2, Stromelysin-3 and Ki-67. CD31 is a vascular marker that stains positive in angiosarcoma and Kaposi sarcoma.
330
330- Multiple clear cell acanthomas are associated with: A. Ichthyosis B. Cowden's C. Immunosuppression D. Gastrointestinal polyps E. Breast cancer
►A Clear cell acanthoma is associated with ichthyosis.
331
331- Which gene mutation and/or amplifications are more commonly found in this type of melanoma and mucosal sites than in melanomas on intermittently sun-exposed sites? A. NRAS B. KIT C. GNAQ D. HRAS E. PTEN
►B KIT mutations and/or amplifications are more commonly found in melanomas located on acral and mucosal sites than in melanomas on intermittently sun-exposed sites.
332
332. A- 32-year-old woman presents to clinic with hypertrophic plaques on the external nares. Biopsy revealed findings consistent with Rhinoscleroma. Findings are most likely to include: A. Psammoma bodies B. Pustulo-ovoid bodies C. Russel bodies D. Verocay bodies E. Weibel-Palade bodies
►C Rhinoscleroma is caused by Klebsiella rhinoscleromatis. Biopsy findings include Mikulicz cells, which are foamy macrophages containing bacteria, and Russel bodies. Russel bodies are immunoglobulin inclusions in plasma cells. Pustolo-ovoid bodies are seen in granular cell tumors. Verocay bodies are palisading nuclei arranged in rows with peripheral eosinophilic cytoplasm characteristic of Schwannomas. Weibel-Palade bodies are organelles that are seen on macroscopy of endothelial cells.
333
333- What type of lymphoma is shown here? A. Follicle center cell B. Intravascular large B-cell C. Marginal zone D. Cutaneous T-cell E. NK/T-cell
►B Intravascular B-cell lymphoma is characterized by the presence of large, atypical cells partially or fully occluding blood vessels in the dermis and subcutis. The prognosis is very poor.
334
334- What is the diagnosis? A. Squamous cell carcinoma B. Trichilemmoma C. Poroma D. Pilar sheath acanthoma E. Inverted follicular keratosis
►E An inverted follicular keratosis is a benign tumor of the follicular infundibulum. On histology, they demonstrate tumor lobules composed of central squamous cells and peripheral basaloid cells. Squamous eddies are commonly noted.
335
335- Of the patients that present with discoid lupus, how many will progress to systemic lupus erythematosus? A. 5% B. 25% C. 50% D. 75% E. 100%
►A Of the patients that present with DLE, 5% of them will prgress to SLE. However, of the patients that present with SLE, 25% will get DLE.
336
336. A- patient presents with a few of these lesions and some hyperkeratotic papuleson his anterior shins. What diagnositic test should the patient undergo? A. Colonoscopy B. cystoscopy C. bronchoscopy D. cortisone stimulation E. otoscopy
►A The image is a sebaceous adenoma, and the question describes keratoacanthomas on the anterior shin, thus this patient should undergo colonoscopy to evaluate for colon cancer. Given this constellation of symptoms one must evaluate for muir torre syndrome.
337
337- This clinically raspberry-like papilloma occurs in which syndrome? A. Goltz B. Rothmund-Thomson C. Incontinentia pigmenti D. Hermansky Pudlak E. CHILD
►A Goltz syndrome is characterized by distinct raspberry-like papillomas at junctions of mucosa and skin. Other findings include the following: skin atrophy, ulcerations, hernialike outpouchings of fatty tissue, syndromic facies, and lobster claw deformity.
338
338- Which of the following regarding necrobiotic xanthogranuloma and normolipemic plane xanthomas is FALSE: A. Both can have an associate paraproteinemia B. Both commonly have normal serum lipids C. Both are most commonly distributed on the upper body D. Normolipemic plane xanthomas lack the induration and ulceration commonly seen in necrobiotic xanthogranuloma E. Multiple myeloma is seen in 80% of necrobiotic xanthogranuloma but is rarely seen in normolipemic plane xanthomas
►E Necrobiotic xanthogranulomas are closely related to normolipemic plane xanthomas: both have a yellow hue, associated paraproteinemia, normal serum lipids, upper body distribution. However, normolipemic plane xanthomas have a much stronger association with multiple myeloma, their plaques lack induration and they rarely ulcerate. Treatment is usually directed at the paraproteinemia.
339
339- The deficiency in familial multiple cutaneous leiomyomatosis is: A. Arginase B. Adenosine deaminase C. Endoglin D. MC1R E. Fumarate hydratase
►E Fumarate hydratase is deficient in familial multiple cutaneous leiomyomatosis. This same enzyme is deficient in familial uterine leiomyomatosis associated with renal cell cancer. Arginase is deficient in arginemia. Adenosine deaminase is deficient in autosomal recessive severe combined immunodeficiency disease (SCID). Endoglin is deficient in some patients with Osler-Weber-Rendu. MC1R (melanocortin 1 receptor) shows sequence variation in people with red hair.
340
340. A- male patient presents with hypopigmented macules on his upper back that are asymptomatic and more noticeable in the summer. What is the most likely diagnosis? A. pityriasis rosea B. vitiligo C. tinea versicolor D. eczema E. waardenberg syndrome
►C Tinea versicolor often is asymptomatic and more noticeable in the summer as patients often tan and the areas with the tinea versicolor do not tan as azeleic acid is secreted by the malassezia and melanin production is suppressed.
341
341- This biopsy was obtained from an annular pigmented plaque on the trunk, what is this neoplasm? A. Targetoid hemosiderotic hemangioma B. Glomeruloid hemangioma C. Angiosarcoma D. Kaposi's sarcoma E. Tufted hemangioma
►A Targetoid Hemosiderotic Hemangioma: Occurs most commonly on young adult males on the trunk and named for its clinical appearance. The lesion typically appears as a plaque with concentric rings, there is violaceous central region surrounded by a ring of pallor which is then surrounded by an erythematous or brown rim. Histologically in the superficial dermis there are dilated blood vessels, some of which have plump hobnailed endothelial cells. In the deeper dermis the vessels have a narrower lumen and dissect between the collagen bundles. Often within the lesion there are extravasated red blood cells and hemosiderin.
342
342- The pigment deposits in ochronosis are accentuated with: A. Cresyl violet B. Methyl-green pyronin C. Silver nitrate D. Bodian E. Cresyl violet and silver nitrate
►A Cresyl violet stains the pigment deposits in ochronosis black. Methylene blue will also stain the pigment black. This pigment does not stain with silver nitrate. The Bodian stain is for nerves. Methyl-green pyronin stains RNA and DNA.
343
343-62-year old female with history of acute myeloid leukemia presents with multiple edematous, erythematous papules after starting G-CSF. A. Sweet's syndrome B. Leukocytoclastic vasculitis C. Bowel bypass dermatosis D. Polymorphous light eruption E. Erythema multiforme
►A Sweet's syndrome, or acute febrile neutrophilic dermatoses, is often associated with AML and GCSF. Histologically, there is marked dermal edema with a prominent infiltrate composed of neutrophils with leukocytoclasia. There is an absence of extensive vascular damage.
344
344- Guarnieri bodies can be found associated with which of the following viral infections? A. Variola B. HHV6 C. HHV8 D. Rubeola E. Rubella
►A Guarnieri bodies are eosinophilic intracytoplasmic inclusions associated with variola infection (smallpox), however they can also be seen in infections with other pox viridae, including vaccinia, cowpox, and parapox. These inclusions represent aggregates of viral particles.
345
345- a pregnant woman <15 weeks presents with pink scaly patches all over her body and has this pathology, what is she at risk for? A. LGA B. death C. SGA D. Premature delivery E. SIDS
►D If pityriasis rosea occurs in women <15 weeks pregnant, they are at risk for premature delivery and neonatal hypotonia.
346
46 -Steatocystoma multiplex is associated with: A. Jadassohn-Lewandowsky B. Jackson-Lawler C. Schaufer-Brunauer D. Zinsser-Engman-Cole E. Touraine-Solente-Gole
►B Jackson-Lawler (Jackson-Sertoli) is known as pachyonychia congenital type 2. Multiple steatocysts can be seen in this condition.
347
347- This presented as a papule with a tuft of hair on the face, what is this neoplasm? A. Trichofolliculoma B. Trichoepithelioma C. Fibrous Papule D. Acrochordon E. Fibrofolliculoma
►A Trichofolliculoma: Most often occurs on the face as a papule with a tuft of hair. Histologically composed of a central dilated large follicle (Mama hair), from which many secondary smaller hair follicles radiate (Baby hairs), with the entire unit often enveloped in a vascularized fibrotic stroma. If sebaceous glands are associated with the hair follicles then the term used is a sebaceous trichofolliculoma or a Folliculosebaceous cystic hamartoma. Within the mesenchymal stroma there are increased CD34 and factor XIIIA fibroblasts and Merkel cells as is seen in the ORS of the follicles.
348
348- Which of the following immunohistochemical staining profiles of a non-breast skin lesion best characterizes extra-mammary Paget‘s disease secondary to an underlying visceral malignancy? A. MART-1 positive/cytokeratin 20 negative/cytokeratin 7 negative/gross cystic fluid disease protein-15 negative B. MART-1 negative/pankeratin positive/cytokeratin 7 positive/cytokeratin 20 positive/ gross cystic fluid disease protein-15 negative C. MART-1 negative/pankerative positive/cytokeratin 7 negative D. MART-1 negative/pankeratin positive/cytokeratin 7 positive/cytokeratin 20 negative/ gross cystic fluid disease protein-15 positive E. CD34 positive, Factor XIIIa negative
►B The differential for Pagetoid cells in the epidermis includes melanoma in situ, Paget‘s disease of the breast, extra-mammary Paget‘s disease, squamous cell carcinoma in situ, sebaceous carcinoma, and others. MART-1 positivity in the setting of pagetoid spread suggests melanoma in situ. The combination of MART-1 negativity, pankeratin positivity, and cytokeratin 7 negativity suggests squamous cell carcinoma in situ. Both Paget‘s disease of the breast and extra-mammary Paget‘s disease are characterized by pankeratin positivity and cytokeratin 7 positivity. Extra-mammary Paget‘s is defined clinically by its location outside of the breast. Extra- mammary Paget‘s disease arising secondary to a visceral malignancy is further characterized by cytokeratin 20 positivity and gross cystic fluid disease protein -15 negativity, whereas primary extra-mammary Paget‘s disease is cytokeratin 20 negative and gross cystic fluid disease protein- 15 positive.
349
349- These skin changes are caused by which type of trauma? A. Cryotherapy B. Thermal burn C. Electrocautery D. Chemotherapy E. Ultraviolet radiation
►B The histology of thermal burns include epidermal and dermal necrosis, thrombosis of blood vessels, destruction of pilosebaceous units, fusion of the collagen bundles and a sparse inflammatory cell infiltrate. Electrocautery effect often shows vertical elongation of keratinocytes and homogenization of dermal collagen. Topical chemotherapy will result in bizarre keratinocyte mitoses. Ultraviolet radiation will result in necrotic keratinocytes. Cryotherapy will cause the epidermis to become homogenous and a subepidermal bulla to form.
350
350. A- 74-year-old man presents with red-brown papules with horny scales involving the dorsal feet and lower legs. Biopsy reveals a discrete region of hyperkeratosis overlying thinned granular and spinous layers with irregular acanthosis and a bandlike lymphoplasmacytic infiltrate in the papillary dermis, thus confirming the suspected diagnosis of Flegel Disease. What abnormality of the epidermis is most likely causative? A. Absent keratohyaline granules B. Diminished loricrin C. Diminished involucrin D. Diminished lamellar bodies E. Decreased Transglutaminase I activity
►D Diminished lamellar, or Odland, bodies is characteristic of Flegel‘s disease, otherwise known as hyperkeratosis lenticularis perstans. Complete absence of lamellar bodies is observed in Harlequin Fetus. Consistent abnormalities of the other epidermal components listed are not seen in Flegel‘s disease.
351
351 -Clinically, this lesion often has a blue hue and usually occurs on the face: A. Apocrine hidrocystoma B. Epidermoid inclusion cyst C. Bronchogenic cyst D. Eccrine hidradenoma E. Myxoid cyst
►A apocrine hidrocystoma are usually solitary, tranlucent nodules which may have a bluish hue due to the Tyndall effect. Histologically, they have one or several large cystic spaces with decapitation secretion.
352
352 -The histologic finding of "shoulder parakaratosis", parakeratosis with prediliection for the follicular ostia, is characteristic of pityriasis rubra pilaris as well as: A. Stasis dermatitis B. Atopic dermatitis C. Seborrheic dermatitis D. Nummular dermatitis E. Allergic contact dermatitis
►C Parakeratosis refers to pyknotic keratinocyte nuclei in the stratum corneum, where nuclei are not usually present. It is common in diseases with changes in the epidermis. Histologically seborrheic dermatitis can shows "shoulder parakeratosis" with epidermal spongiosis. Histologically atopic, nummular and contact dermatitis present with spongiosis with or without vesicles. Stasis dermatitis presents with more dilated papillary dermal small blood vessels and hemosiderin.
353
-This lesion was excised from the face, what is this neoplasm? A. Clear cell syringoma B. Sebaceous carcinoma C. Microcystic adenocarcinoma D. Renal cell carcinoma E. Clear cell hidradenoma
►A Syringoma: Multiple eyelids, cheeks, chests, can be eruptive and increased numbers in Down's syndrome and a clear cell change has been associated with Diabetes. Histologically this is a dermal tumor consisting of eccrine ducts, lined by two cell layers sometimes creating a tad pole appearance, there can also be small basaloid islands or strands of cells. Within the lumens of the ducts is eosinophilic material, the lumens are CEA+. The tumor is located superficially and fails to display perineural extension as is seen in MAC. The glands are associated with a fibrous sclerotic stroma, usually no (or minimal) keratin cysts or foreign body granulomas as seen in desmoplastic trichoepithelioma. Enlargement of the glandular cells more of a clear or vacuolated cytoplasm can be seen in patients with diabetes.
354
A- biopsy was obtained from the nasal mucosa, what are the organisms in this biopsy? A. Rhinosporidium B. Coccidioidomycosis C. Prototheca wickerhamii D. Histoplasmosis capsulatum E. Cryptococcus neoformans
►A Rhinosporidiosis originally thought to be due to a fungus Rhinosporidium seeberi, now believed to be caused by an aquatic protistan parasite or Cyanobacteria, Microcystics aeruginosa. Sri Lanka & South America polypoid nasal/mucosal lesions in males and conjunctival lesions in females. Obtained from water or soil. Histology: granulomatous dermatitis with mixed inflammatory cell infiltrate with large thick walled birefringent sporangia which mature toward the center of a cyst, the organism measures 10-200 microns contain 7-8 micron endospores which contain eosinophilic globules. Watery environments causes cyst to rupture.
355
355- This keratin is associated with hair and nail: A. Keratin 6 B. Keratin 8 C. Keratin 10 D. Keratin 16 E. Keratin 17
►E Keratins 6 and 16 are found in the nail. Keratin 17 is seen in the nail as well as in the hair follicle, and patients with pachyonychia congenital type 2, in which there is a mutation of keratins 6b and 17, have nail findings as well as steatocysts.
356
356- Dorf balls are seen in which tumor? A. Kaposi's sarcoma B. Angiosarcoma C. Tufted angioma D. Kaposiform hemangioendothelioma E. Dermatofibroma sarcoma protuberans
►A Dorf balls are pink amorphous globules seen in vessels in Kaposi's sarcoma. Typical histologic findings include proliferation of spindle cells, prominent slitlike vascular spaces, and extravasated red blood cells.
357
357- What lesion is shown here? A. Chondroid syringoma B. Hyaluronic acid filler nodule C. Glomus tumor D. Myofibroma E. Scleromyxedema
►C Glomus tumors show aggregates of glomus cells surrounding numerous blood vessels within a fibrous and sometimes myxoid stroma.
358
358- Which fixative would best preserve the histologic features of a gout tophus? A. Saline B. Absolute ethanol C. Formaldehyde D. Michel's fixative E. Tissue culture media
►B Gout tophi are caused by deposition of monosodium urate monohydrate crystals. Using absolute ethanol to fix the biopsy specimen will preserve the crystalline architechture. In formaldehyde fixed tissure, the crystals are less obvious.
359
359- What is the diagnosis of this neoplasm? A. Fibroma of tendon sheath B. Dermatofibroma C. Dermatofibrosarcoma protuberans D. Spindle cell lipoma E. Leiomyoma
►A Fibroma of tendon sheath is a solitary, slow-growing tumor that is usually located on the hands, wrists or fingers of middle-aged individuals. Spindle or stellate cells are embedded in a dense fibrocollagenous stroma. This lesion demonstrates characteristic dilated or slit-like vascular channels.
360
360. A- 54-year old woman who is healthy except for chronic osteoarthritis, for which she takes daily naproxen, with bullae and milia on the dorsal hands. Biopsy is most likely to exhibit which of the following histologic findings: A. Asteroid Bodies B. Caterpillar Bodies C. Cowdry Type A Bodies D. Donovan Bodies E. Dutcher Bodies
►B Caterpillar bodies represent degenerated type IV collagen and are classically associated with porphyria cutanea tarda. In this case, it is most likely that the patient is experiencing pseudoporphyria, which is often caused by NSAIDs such as naproxen. The other histologic bodies listed are not associated with porphyria.
361
361- The mutated product in Darier's disease is: A. SPINK5 B. SERCA2 C. ATP2A2 D. ATP2C1 E. SPINK5 and ATP2A2
►B In Darier's disease, the ATP2A2 gene encoding the SERCA2 Ca(2+)-ATPase is mutated in some patients. SPINK5 is the gene that is mutated in some patients with Netherton's syndrome, and this gene the serine protease inhibitor LEKTI. ATP2C1 is the gene mutated in some patients with Hailey-Hailey disease.
362
362- On histology there is fibrosis around nerves and blood vessels with nerve degenerative changes diagnosed as Morton's neuroma. It is a benign neural degenerative reaction seen on the: A. Sole B. Trunk C. Fingers D. Head E. Neck
►A In a Morton's neuroma it is found on the sole of the foot and is considered to be a benign neural degenerative reaction. It occurs in adults more commonly than females. Excision is curative.
363
363- Blue-gray pigmentation on the legs secondary to minocycline on biopsy stains with: A. Fontana Masson B. Perls C. Sudan black D. Fontana Masson and Perls E. All of these answers are correct
►D There are three types of pigmentary change that are caused by minocycline. The blue -gray pigmentation on the legs and the blue pigment in scars is thought to be secondary to a drugprotein complex deposited in the dermis. The blue-gray pigment on the legs stains with Perls and Fontana- Masson. The blue in scars (often on the face) stains with Perls. The muddy-brown discoloration on sun-exposed areas shows increased basilar pigment and melanin incontinence on biopsy. It is likely secondary to phototoxicity.
364
364- Cicatricial pemphigoid antibodies directed against this are associated with high frequency of malignancy: A. Laminin 5 B. Laminin 6 C. Beta4-integrin D. BPAg2 E. All of these answers are correct
►A Anti-laminin 5 cicatricial pemphigoid (CP) is also known as anti-epiligrin CP. Anti-epiligrin CP is associated with an increased frequency of internal adenocarcinomas. Laminin 5 is composed of three chains (heterotrimer), alpha3, beta3, gamma2. Antibodies are frequently directed against the alpha3 chain, and so cross-reactivity can be observed with laminin 6, as laminin 6 (alpha3beta1gamma1) has the alpha3 chain as well. Beta4-integrin antibodies have been associated with ocular CP. BPAg2 antibodies are seen in CP patients that have mucosal as well as skin disease.
365
365. A- question for a nerve sheath myxoma is what stain is positive in this tumor? A. EMA B. S100 C. PAS D. CD68 E. SMA
►B Nerve sheath myxoma or myxoid neurothekeoma is S100 positive and EMA negative. It is a collection of stellate and pale spindle cells in a myxoid matrix.
366
366- Multiple trichoepitheliomas are seen in all except: A. Bazex B. Brooke-Fordyce syndrome C. Brooke-Spiegler syndrome D. Gorlin's syndrome E. Rombo syndrome
►D Gorlin's syndrome is nevoid basal cell carcinoma syndrome; multiple trichoepitheliomas are not seen. Several syndromes have been associated with multiple trichoepitheliomas: Bazex, BrookeFordyce, Brooke-Spiegler, Rombo, and possibly Rasmussen. (Rasmussen described one family in 1975 with autosomal dominant inheritance of multiple trichoepitheliomas, milia, and cylindromas.) Bazex (follicular atrophoderma, hypotrichosis, occasional trichoepitheliomas, basal cell carcinomas, and localized or generalized hypohidrosis) is inherited in an X -linked dominant manner. Dont confuse with Bazex syndrome or acrokeratosis neoplastica. Brooke and Fordyce both described multiple trichoepitheliomas concurrently in 1892, and therefore multiple familial trichoepitheliomas are sometimes called ―Brooke-Fordyceǁ sydrome. Spiegler described patients with multiple cylindromas in 1899 and also noted that many of these patients had mutiple trichoepitheliomas; more recently it has been noted that multiple spiradenomas may be seen in patients with multiple trichoepitheliomas and cylinidromas; this co-occurrence of tumors has been referred to as ―Brooke-Spieglerǁ syndrome. (Brooke-Fordyce and Brooke-Spiegler are likely the same syndrome.) Rombo syndrome is characterized by vermiculate atrophoderma, multiple BCCs, multiple trichoepitheliomas, cyanosis and peripheral vasodilation.
367
367- A 40-year-old female presents for a scalp biopsy. On histology, you note premature desquamation of the inner root sheath, eccetricial epithelial atrophy with hair shafts in close proximity to the dermis, and concentric lamella fibroplasia of some follicles. There is variably dense lymphocytic perifollicular inflammation, primarily at the level of the upper isthmus and lower infundibulum. There is occasional fusion of the infundibula. Based on the findings of the scalp biopsy, what is the most likely diagnosis? A. androgenetic alopecia B. lichen planopilaris C. telogen effluvium D. central centrifugal cicatricial alopecia E. trichotillomania
Correct choice: D. central centrifugal cicatricial alopecia Explanation: On histology, central centrifugal cicatricial alopecia demonstrates premature desquamation of the inner root sheath, eccentric epithelial atrophy (thining) with hair shafts in close proximity to the dermis, and concentric lamellar fibroplasia of affected follicles. There is variably dense lymphocytic perifollicular inflammation, primarily at the level of the upper isthmus and lower infundibulum. There is occasional fusion of infundibula (polytrichia). In advanced lesions, total destruction of the follicular epithelium with retained hair shaft fragments and granulomatous inflammation are present. - In trichotillomania, follicles are normal size, there is trichomalacia and pigment casts without significant inflammation. There is an increased number of terminal catagen or telogen hairs. There is incomplete disrupted follicular anatomy. The total number of hairs both terminal and vellus is normal. - In androgenetic alopecia there is a normal total numbr of follicles and no significant inlfmamation, increased number and percentage of vellus hairs, numerous fibrous streamers, and slightly increased telogen count. Uninvolved scalp appears normal. - Telogen effluvium demosntrates a normal total number of hairs, normal number of terminal (large) hairs, absence of inflammation and scarring. There is an increase in telogen count to > 20%. - Lichen planopilaris demonstrates a band-like mononuclear cell infiltrate obscuring the interface between follicular epithelium and dermis; vacuolar alteration at the interface and hypergranulosis within affected infundibula is typical. Colloid or Civatte bodies are occasionally found as part of the itnerface alteration. Inflammation affects the upper portion of the follicle (infundibulum and isthmus) most severely. Occasionally, epidermal changes of lichen planus are found.
368
368- A patient with a CD4 count of 38 presents to your clinic with several red-purple smooth nodules on the legs. A biopsy of one of these nodules is likely to stain positive for all of the following EXCEPT: A. CD31 B. Factor VIII related antigen C. CEA D. CD34 E. Ulex aeropaeus agglutinin 1
Correct choice: C. CEA Explanation: The stem describes a case of AIDS-associated Kaposi sarcoma, a malignant vascular neoplasm due to infection with HHV-8 (aka KSHV). CEA is a marker of eccrine glands and will thus will not stain negative. The remaining answer choices are markers of endothelial cells and will thus stain positive in Kaposi sarcoma.
369
369- What is the most likely causative organism? A. Blastomyces dermatitidis B. Coccidioides immitis C. Lacazia loboi D. Fonsecaea pedrosoi E. Sporothrix schenckii
Correct choice: D. Fonsecaea pedrosoi Explanation: These biopsy findings (Medlar bodies/copper pennies/sclerotic bodies) are diagnostic of chromoblastomycosis (chromomycosis), which is most often due to infection with Fonsecaea pedrosoi.
370
370- What would this lesion show histologically? A. Well formed tuberculoid granulomas in a linear pattern B. Scattered comedo-like cysts C. A proliferation of basaloid cells with small ducts D. A grenz zone with a lot of inflammatory cells and globi E. Acanthosis and neutrophilic infiltrate
Correct choice: A. Well formed tuberculoid granulomas in a linear pattern Explanation: This is tuberculoid leprosy which shows well formed tuberculoid granulomas in a linear pattern on histology. They are linear because they follow nerves and destroy them. Lepromatous leprosy is characterized by a dense infiltrate of macrophages with few lymphocytes in the dermis and subcutaneous tissue with a grenz zone, Virchow cells and globi.
371
371- This lesion will stain positive for all of the following markers EXCEPT: A. Synaptophysin B. TTF-1 C. Chromogranin A D. CK20 E. EMA
Correct choice: B. TTF-1 Explanation: This is a biopsy of merkel cell carcinoma (MCC). MCC can be difficult to distinguish from small cell lung cancer, but MCC characteristically stains negative for TTF-1 (thyroid transcription factor-1) whereas small cell lung cancer stains positive for TTF-1.
372
372- A 47-year-old female presents with a diffuse dermatosis with tiny pustules most prominent in the flexural surfaces. The pustules then resolve with superficial, serpiginous, fine desquamation. Biopsy is performed and results are seen here. What cell type is depicted here, in the superficial pustule? A. Melanocyte B. Neutrophil C. Histiocyte D. Eosinophil E. Mast cell
Correct choice: B. Neutrophil Explanation: The patient most likely has Sneddon-Wilkinson syndrome or subcorneal pustular dermatosis. The histopathology shows a superficial neutrophilic pustule.
373
373- Which of the following histologic bodies is typically found in this condition? A. Russell bodies B. Cowdry Type A bodies C. Henderson-Patterson bodies D. Cowdry Type B bodies E. Guarnieri bodies
Correct choice: B. Cowdry Type A bodies Explanation: The concurrent presence of vesicles, pustules, erosions, and crusts is indicative of primary varicella infection. Cowdry Type A inclusion bodies are seen in HSV and VZV infection, and are characterized as large eosinophilic intranuclear inclusions with surrounding clear halos in infected cells. Guarnieri bodies are seen in smallpox, which clinically displays lesions at the same stage of development (contrast this with the various stages of lesion development seen in varicella). Cowdry Type B inclusion bodies are seen in polio. Henderson-Patterson bodies are seen in molluscum contagiosum, and Russell bodies are found in rhinoscleroma and granuloma inguinale.
374
374- The patient just returned from a sunny vacation with this eruption. What is your diagnosis A. Acute cutaneous lupus B. Porphyria cutanea tarda C. Seborrheic dermatitis D. Rosacea E. Phototoxic eruption
Correct choice: E. Phototoxic eruption Explanation: The epidermis is still a basket weave so this process happened acutely. There is no lymphocytic infiltrate that would be expected in lupus. We are not on sebaceous skin as would be expected for seborrheic dermatitis and rosacea. Porphyria cutanea tarta results in a subepidermal split with festooning of the dermal papillae.
375
375- This is a genodermatosis. Which statement is INCORRECT? A. Nikolsky's sign can be positive. B. Has a predilection for neck/ axillae, intertriginous areas C. Superinfection with herpes simplex virus can occur in the genital region D. The responsible gene is ATP2C1 E. The responsible gene encodes a Ca2+ pump located in the sarcoplasmic reticulum
Correct choice: E. The responsible gene encodes a Ca2+ pump located in the sarcoplasmic reticulum Explanation: This biopsy reveals diffuse suprabasilar acantholysis with a "dilapidated brick wall" appearance, which is indicative of Hailey-Hailey disease (familial benign chronic pemphigus). The responsible gene encodes a Ca2+ pump located in the Golgi apparatus (as opposed to Darier's disease, which is due to a mutation in the ATP2A2 gene, which encodes a Ca2+ pump in the endoplasmic reticulum). Hailey-Hailey disease is due to an autosomal dominant mutation in ATP2C1. It presents initially with flaccid vesicles on an erythematous base, with a predilection for the neck/ axillae & intertriginous areas. The vesicles rupture easily and this gives rise to macerated or crusted erosions. Nikolsky's sign can be positive, and superinfection with herpes simplex virus (usually HSV2) can occur in the genital region.
376
376- A 10-year-old girl undergoes a surgical excision of a circumscribed nodule on the face (shown in image). In some areas there are shards of keratinous debris and calcification. The origin of this following neoplasm is typified by which of the following? A. Follicular neural network B. Cornification of the inner root sheath C. Follicular dermal papillae D. Vellus hair follicles E. Follicular matrical cornification
Correct choice: E. Follicular matrical cornification Explanation: Pilomatricomas are benign neoplasms or cysts typified by follicular matrical cornification. They presents as a solitary skin-colored or bluish nodule and are more common in childhood and adolescence. Calcification and ossification can develop in late lesions. Histologically, an early pilomatricoma frequently presents as a cyst with central matrical cornification. Pink trichohyaline granules illustrate matrical cornification. The central anucleate cornified cells are called ghost or shadow cells. Pilomatricoma is typified by follicular matrical cornification. Its pink trichohyaline granules illustrate matrical cornification and are identifiable at the transition point.