Derrame pleural Flashcards

(14 cards)

1
Q

Qual o conceito de um derrame pleural?

A

É quando a quantia de líquido dentro do espaço pleural excede o normal de 15ml.

How well did you know this?
1
Not at all
2
3
4
5
Perfectly
2
Q

Quais as causas segundo a fisiologia pulmonar que levam a um derrame pleural?

A

Geralmente deriva ou de um desequilíbrio das forças de starling no local (equilíbrio entre pressão coloidosmótica e pressão hidrostática) ou de alguma falha na drenagem linfática local, responsável por retirar o excedente de líquido derivado deixado no parênquima pela maior pressão para retirar líquido do vaso.

Derrame pleural por pneumonia: falha da drenagem linfática, obstruida pelas bactérias

How well did you know this?
1
Not at all
2
3
4
5
Perfectly
3
Q

Quais os sintomas do derrame pleural?

A

Pode ser assintomático, mas se houver:

-Dor pleurítica (ventilatório-dependente)
-Tosse seca
-dispneia

How well did you know this?
1
Not at all
2
3
4
5
Perfectly
4
Q

Quais os sinais do derrame pleural?

A

Sinal de Lemos-torres (abaulamento expiratório intercostal localizado nas bases pulmonares, na face lateral do hemitórax)
Redução do FTV
Redução do murmúrio vesicular
Egofonia
Macicez
Sinais de Signorelli (macicez à percussão da coluna vertebral)
Redução da expansibilidade
Taquipneia

How well did you know this?
1
Not at all
2
3
4
5
Perfectly
5
Q

Qual o aspecto do Rx de tórax no derrame pleural?

A

NB: em decúbito, há corrimento do líquido, fazendo o aspecto de redução da parte preta (A)

How well did you know this?
1
Not at all
2
3
4
5
Perfectly
6
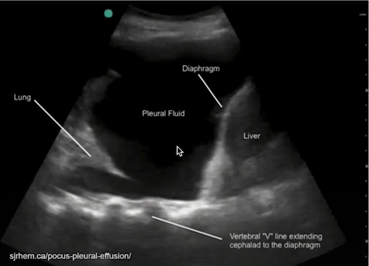
Q

Ultrassom no derrame pleural:

A
How well did you know this?
1
Not at all
2
3
4
5
Perfectly
7
Q

Aspecto do líquido retirado na punção auxilia na diferenciação do derrame pleural?

A

Sim:

How well did you know this?
1
Not at all
2
3
4
5
Perfectly
8
Q

Qual a diferença entre transcudato e exudato durante a punção do líquido do derrame pleural?

A
How well did you know this?
1
Not at all
2
3
4
5
Perfectly
9
Q

Como definir se o líquido é transudato ou exudato ?

A

Critério de light:

How well did you know this?
1
Not at all
2
3
4
5
Perfectly
10
Q

Predomínio de neutrófilos no líquido do derrame pleural sugere:

A

Processo inflamatório agudo

-Parapneumônicos
-Embolia pulmonar
-Pancreatite aguda

How well did you know this?
1
Not at all
2
3
4
5
Perfectly
11
Q

Predomínio de linfócitos no líquido do derrame pleural:

A

Câncer
Tuberculose

How well did you know this?
1
Not at all
2
3
4
5
Perfectly
12
Q

Predomínio eosinofílico no líquido do derrame pleural:

A

Geralmente acidente de punçao:

-Possui ar/sangue

How well did you know this?
1
Not at all
2
3
4
5
Perfectly
13
Q

Quando o líquido pleural deve ser drenado?

A

pH < 7.1

Gram/ cultura positivos

Glicose no líquido menor que 40

Dispneia por grnades derrames

How well did you know this?
1
Not at all
2
3
4
5
Perfectly
14
Q

Espessamento da pleura:

A

Malignidade: Mesotelioma

How well did you know this?
1
Not at all
2
3
4
5
Perfectly