Derrame Pleural Flashcards

(55 cards)

1
Q

¿Cuáles son los tipos de derrame pleural según su distribución y qué condiciones pueden causarlos?

A

Libre: sin restricciones.
Loculado: con compartimentos del líquido, asociado con empiema o hemotórax.
Pseudotumor: se encuentra en las cisuras interlobares, común en insuficiencia cardíaca.
Hidroneumotórax: combinación de líquido y aire, puede estar relacionado con trauma o cirugía.
Unilateral o bilateral: IC, IR, LES, TBC, EP, Cirrosis, Trauma

How well did you know this?
1
Not at all
2
3
4
5
Perfectly
2
Q

¿Qué patologías sistémicas pueden causar derrame pleural?

A

El lupus eritematoso sistémico (LES), síndrome urémico y otras enfermedades autoinmunes o infecciosas que afectan al cuerpo en su conjunto.

How well did you know this?
1
Not at all
2
3
4
5
Perfectly
3
Q

¿Cuál es la importancia de distinguir entre un derrame pleural libre y loculado?

A

La presencia de compartimentos (loculaciones) puede indicar ciertas condiciones subyacentes, como empiema o hemotórax, que pueden requerir un manejo específico. Además, el tipo de derrame puede influir en la estrategia terapéutica a seguir.

How well did you know this?
1
Not at all
2
3
4
5
Perfectly
4
Q

¿Cuál es la utilidad de la ecografía en el diagnóstico de derrames pleurales?

A

La ecografía es útil para identificar derrames pleurales loculados, es decir, aquellos que tienen compartimentos separados por septos. Además, puede ayudar a identificar masas pleurales u otras anomalías en la cavidad pleural.

How well did you know this?
1
Not at all
2
3
4
5
Perfectly
5
Q

Critérios de Light

Características del líquido extraído por toracocentesis: EXUDADO Y TRASUDADO

A
How well did you know this?
1
Not at all
2
3
4
5
Perfectly
6
Q

¿Cuáles son algunas causas comunes de derrame pleural trasudativo?

A
  • Insuficiencia cardíaca
  • Insuficiencia renal
  • Síndrome nefrótico
  • Hipoalbuminemia
  • Cirrosis
How well did you know this?
1
Not at all
2
3
4
5
Perfectly
7
Q

¿Cuál es el rango de concentración de proteínas que se considera característico de un derrame pleural trasudativo?

A

Menor a 3 g/dL.

How well did you know this?
1
Not at all
2
3
4
5
Perfectly
8
Q

¿Qué condiciones pueden provocar un derrame pleural exudativo?

A
  • Infecciones
  • Empiema
  • Pancreatitis
  • Enfermedades de la colágena
  • Tumores
  • Embolismo pulmonar
How well did you know this?
1
Not at all
2
3
4
5
Perfectly
9
Q

¿Qué relación de proteínas en el líquido pleural respecto al plasma sugiere un derrame pleural exudativo?

A

Una relación de proteínas en el líquido pleural que es al menos 50% que las proteínas en el plasma sugiere un derrame pleural exudativo.

LDH pleural de 200 mg/dL o excede los 2/3 del limite maximo del plasma

How well did you know this?
1
Not at all
2
3
4
5
Perfectly
10
Q

¿Cuál es la causa principal de los derrames pleurales?

A

La neumonía es responsable del 60% de los derrames pleurales, y entre el 20% y el 57% de las neumonías bacterianas se acompañan de un derrame paraneumónico.

How well did you know this?
1
Not at all
2
3
4
5
Perfectly
11
Q

¿Qué porcentaje de los derrames pleurales se complica con loculaciones y depósito de fibrina?

A

Alrededor del 5% de los derrames pleurales

Frecuentes en: extremos de la vida, bronquiectasias, EPOC, CA de pulmon, TBC

How well did you know this?
1
Not at all
2
3
4
5
Perfectly
12
Q

Que es un derrame paraneumonico?

A

Un derrame parapneumónico, también conocido como derrame pleural parapneumónico, es una complicación que ocurre durante el curso clínico de una neumonía o absceso pulmonar.

How well did you know this?
1
Not at all
2
3
4
5
Perfectly
13
Q

Derrames pleurales no malignos recurrentes

¿Cuál es la causa más frecuente de pleuritis dentro de los trastornos de tejido conectivo?

A

La pleuritis lúpica

How well did you know this?
1
Not at all
2
3
4
5
Perfectly
14
Q

Derrames pleurales no malignos recurrentes

¿Cuál es la duración típica del tratamiento con corticoides para resolver la pleuresía reumatoidea?

A

Con corticoides, la pleuresía reumatoidea se resuelve en aproximadamente 3 a 4 meses.

How well did you know this?
1
Not at all
2
3
4
5
Perfectly
15
Q

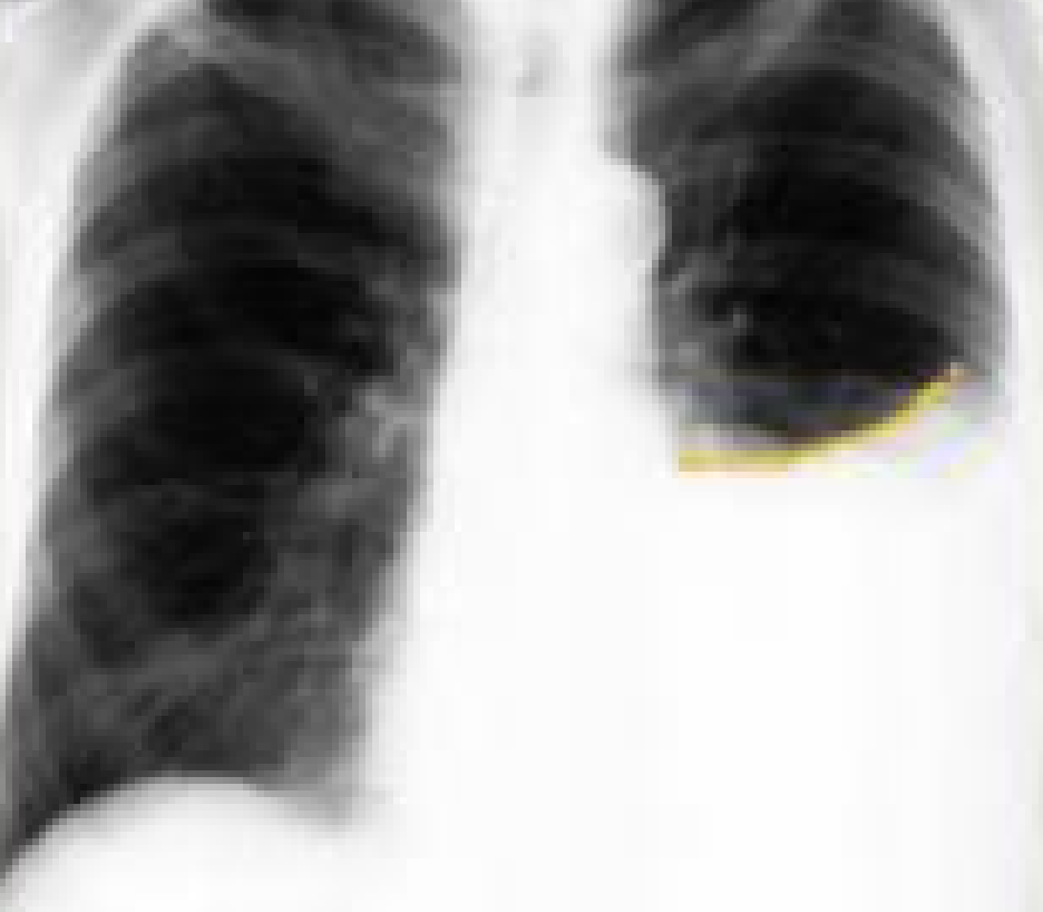
¿Qué hallazgos se pueden observar en una radiografía de tórax en caso de derrame pleural?

A
  • Borramiento del seno costodiafragmático,
  • Signo del menisco o signo de Damoiseau-Ellis
  • Desplazamiento del mediastino contralateral en caso de derrames importantes.
How well did you know this?
1
Not at all
2
3
4
5
Perfectly
16
Q

¿Qué factores influyen en la clínica de un derrame pleural? Cuales son los síntomas?

A

La clínica de un derrame pleural puede depender de la patología de base que lo cause y de la velocidad de instauración del derrame.
Los síntomas comunes incluyen tos, disnea y dolor pleurítico.

How well did you know this?
1
Not at all
2
3
4
5
Perfectly
17
Q

A

Signo del menisco o signo de Damoiseau-Ellis

How well did you know this?
1
Not at all
2
3
4
5
Perfectly
18
Q

¿Cuáles son los estudios complementarios que se deben realizar luego de obtener líquido pleural durante una toracocentesis?

A

Después de obtener el líquido pleural, se deben realizar estudios como el recuento celular, estudio bioquímico para determinar la presencia de proteínas, glucosa, pH, lactato deshidrogenasa (LDH), entre otros; estudio microbiológico para buscar microorganismos patógenos como bacterias, hongos o parásitos; y estudio anatomopatológico para evaluar la presencia de células malignas en el líquido. Estos estudios ayudan a determinar la causa del derrame pleural.

How well did you know this?
1
Not at all
2
3
4
5
Perfectly
19
Q

¿Qué información se obtiene de una ecografía torácica en el contexto de un derrame pleural?

A
  • Para guiar la toracocentesis
  • Ver lugar del derrame, si hay engrosamiento pleural
  • Exudado: isoecogenico
  • Liquido: hipoecogenico
How well did you know this?
1
Not at all
2
3
4
5
Perfectly
20
Q

RESULTADOS DEL EXAMEN DEL LIQUIDO PLEURAL

¿Cuál es el significado de encontrar glucosa menor de 60 mg/dl en el líquido pleural?

A

Puede indicar la presencia de neumonía, artritis reumatoide, neoplasias o tuberculosis (TBC).

How well did you know this?
1
Not at all
2
3
4
5
Perfectly
21
Q

RESULTADOS DEL EXAMEN DEL LIQUIDO PLEURAL

¿Qué valores elevados de ADA > 40 UI en el líquido pleural pueden indicar?

A

Tuberculosis, neumonía o linfoma.

adenosina desaminasa (ADA)

How well did you know this?
1
Not at all
2
3
4
5
Perfectly
22
Q

RESULTADOS DEL EXAMEN DEL LIQUIDO PLEURAL

¿Qué revela un contenido elevado de triglicéridos en el líquido pleural?

A

Un contenido de triglicéridos (TGC) mayor a 100 mg/dl puede indicar un quilotórax, una colección de linfa en la cavidad pleural debido a una lesión del conducto torácico.

How well did you know this?
1
Not at all
2
3
4
5
Perfectly
23
Q

RESULTADOS DEL EXAMEN DEL LIQUIDO PLEURAL

¿Cuál es el significado de encontrar un contenido de colesterol mayor a 200 mg/dl en el líquido pleural?

A

Puede indicar un pseudoquilotórax, que es una acumulación de líquido en la cavidad pleural similar al quilotórax pero sin ser de origen linfático.

24
Q

RESULTADOS DEL EXAMEN DEL LIQUIDO PLEURAL

¿Cuáles son las implicaciones de encontrar un recuento celular neutrofílico en el líquido pleural?

A

Un recuento celular con predominio de neutrófilos en el líquido pleural puede indicar la presencia de una neumonía u otra infección aguda.

25
# RESULTADOS DEL EXAMEN DEL LIQUIDO PLEURAL ¿Qué patología puede sugerir la elevación de amilasa y lipasa en el líquido pleural?
La presencia de pancreatitis.
26
Un recuento de células eosinofílicas puede relacionarse con:
Tromboembolismo pulmonar (TEP), reacciones farmacológicas o parasitosis.
27
¿Qué se recomienda como siguiente paso después de la toracocentesis en un derrame pleural de causa desconocida?
El drenaje pleural, especialmente si el derrame es significativo o persistente.
28
¿Cuándo **no se recomienda** realizar una toracocentesis en el tratamiento del derrame pleural?
No se recomienda realizar una toracocentesis en casos de insuficiencia cardíaca congestiva (**ICC**), ya que suele resolverse con **diuréticos**. Tampoco se debe hacer en derrames paraneumónicos (en **neumonías**), ya que estos tienden a resolverse con **antibióticos**.
29
¿Cuál es la zona anatómica recomendada para la punción durante un drenaje pleural?
La zona anatómica recomendada para la punción durante un drenaje pleural es limitada por el borde anterior del músculo dorsal ancho, el borde lateral del músculo pectoral mayor, una línea imaginaria por encima de la mamila y el vértice de la axila. Es esencial evitar la lesión de los vasos sanguíneos al realizar la punción en esta área.
30
¿Cuál es la precaución a tener en cuenta al drenar un derrame pleural de volumen muy grande?
Al drenar un derrame pleural de volumen muy grande, se debe tener precaución y no extraer más de 1500 ml de líquido de forma abrupta debido al riesgo de provocar un edema de reexpansión pulmonar (REPE), que puede ser una complicación grave.
31
Cirugía que consiste en retirar la pleura engrosada para que el pulmón se reexpanda y funcione adecuadamente
Decorticacion pulmonar
32
En que condiciones se hace la decorticación pulmonar?
La decorticación pulmonar se utiliza en el tratamiento del empiema pleural, una complicación de la neumonía o de abscesos pulmonares, en la cual se acumula pus en la cavidad pleural | Condiciones de infeccion o inflamación cronica
33
Tto derrame Pleural | Esquema
## Footnote VATS significa "Video-Assisted Thoracic Surgery" (Cirugía Torácica Asistida por Video)
34
¿Cuáles son las causas más comunes de derrame pleural maligno?
**Adenocarcinoma** (70%), los linfomas, los carcinomas epidermoides, y los mesoteliomas (<10%). Es importante recordar que estos derrames pleurales suelen ser **exudados**.
35
TTO pax con derrame pleural maligno. Esquema:
36
La **...** es un procedimiento médico que consiste en eliminar el espacio pleural ocupado por líquido o aire mediante la unión permanente de la pleura parietal y visceral.
pleurodesis
37
¿Cuáles son algunos métodos utilizados para realizar la pleurodesis en pacientes con derrame pleural?
Dos métodos comunes para realizar la pleurodesis son el uso de **doxiciclina** como fármaco esclerosante y la técnica de VATS (toracoscopia video-asistida) con **instilación de polvos de talco en la cavidad pleural**. Estas intervenciones buscan inducir una fibrosis pleural que adhiera las dos capas pleurales, reduciendo así la recurrencia del derrame pleural.
38
¿Cuáles son algunos factores de riesgo asociados con el desarrollo de empiema?
→ Edad avanzada → Déficit del SI → Enfermedades asociadas: **paraneumonicos**, DBT, alcohol, drogas, afectacion neurológica, problemas cardiacos, **después de toracoscopia**.
39
¿Cuáles son algunas características bioquímicas del líquido pleural en el empiema?
→ pH < 7.20 → LDH > 1000UI → Glucosa < 0.40 g/dl → Piocitos + → Germenes +
40
¿Cuál es el tratamiento principal para el empiema?
1. Drenaje Pleural 2. Cultivo 3. ATB
41
El tratamiento principal para el empiema involucra el drenaje pleural completo. Como se hace?
Mediante **Toracocentesis** simple: etapas tempranas empiema presenta liquido poco viscoso **Decorticación** pulmonar completa por toracoscopia o toracotomía: etapas avanzadas que presentan líquido pleural puede tornarse viscoso y tabicado, generando adherencia fibrosa
42
La **...** pulmonar es un procedimiento quirúrgico que se realiza para **eliminar la pleura engrosada** y atrapada alrededor del pulmón, lo que permite que el pulmón se reexpanda y funcione adecuadamente.
decorticación
43
¿Cómo se define el quilotorax?
El quilotorax se define como la presencia de líquido linfático en el espacio pleural, causado generalmente por postraumatismos quirúrgicos del conducto torácico o de una rama mayor del sistema linfático.
44
¿Qué características bioquímicas son típicas del líquido en un quilotorax?
- Elevados recuentos de linfocitos - TGC >110mg/dl existe la certeza casi absoluta de quilotorax
45
Esquema
46
¿Qué es el pseudoquilotorax?
Es una condición que simula un quilotorax debido a la presencia de líquido pleural con alto contenido de colesterol (>200 mg/dl), pero en realidad no es linfa, sino una acumulación de líquido pleural con características similares
47
¿Qué situaciones médicas pueden causar un pseudoquilotorax?
El pseudoquilotorax puede ser causado por diversas condiciones, como infecciones, procesos inflamatorios, traumatismos o tumores, que provocan la acumulación de líquido pleural rico en colesterol pero no linfa.
48
¿Qué medicamentos se utilizan en la premedicación antes de realizar un drenaje pleural?
Se suelen administrar **morfina y atropina** por vía intramuscular al menos 10 minutos antes del procedimiento.
49
¿Cuál es el enfoque inicial en el tratamiento de un derrame pleural de causa **desconocida**?
El enfoque inicial suele ser la **toracocentesis** para obtener el líquido pleural y buscar la causa del derrame.
50
# RESULTADOS DEL EXAMEN DEL LIQUIDO PLEURAL ¿Qué podría indicar un recuento celular linfocítico en el líquido pleural?
Puede indicar la presencia de neoplasias, tuberculosis (TBC) o enfermedades autoinmunes como las colagenopatías.
51
# RESULTADOS DEL EXAMEN DEL LIQUIDO PLEURAL ¿Qué indica un pH menor de 7.2 en el líquido pleural según los resultados de un examen?
Sugiere la presencia de condiciones como **neoplasias** o **neumonía**.
52
Que criterios indican un menor riesgo de sangrado excesivo durante la Toracocentesis?
Plaquetas en el líquido pleural mayores de 50,000 y el RIN (Razón Internacional Normalizada) es menor de 1.5. ## Footnote Rango normal de INR: Adultos: 0.9-1.2 Mujeres embarazadas: 0.85-1.1 Pacientes con warfarina (Coumadin): 2.0-3.0 Propósito del INR: El INR se utiliza principalmente para controlar la eficacia del tratamiento anticoagulante con warfarina, un medicamento que bloquea la acción de la vitamina K y reduce la coagulación sanguínea. Al mantener el INR dentro del rango objetivo, los médicos pueden garantizar que la sangre del paciente sea lo suficientemente líquida para prevenir coágulos sanguíneos, pero no tanto como para aumentar el riesgo de sangrado.
53
Los cultivos de liquido pleural infectado son negativos en el **...%** de los casos
40%
54
¿Qué información puede proporcionar una radiografía de tórax en el diagnóstico de derrame pleural?
Una radiografía de tórax puede mostrar **velamiento del seno costodiafragmático** en la proyección frontal, lo que indica la presencia de aproximadamente **300 ml** de líquido en la cavidad pleural. También puede revelar **desplazamiento del mediastino** hacia el lado contrario al derrame.
55
¿Qué tipos de líquidos pueden ocupar el espacio pleural en un derrame pleural?
* **Seroso**, que produce un hidrotórax. * **Sangre**, que causa un hemotórax. * **Lípidos**, que resultan en un quilotórax. * **Pus**, que indica un empiema, generalmente asociado con infecciones.