Qual a fisiologia do líquido pleural?
Liberado pela pleura parietal pois há uma maior pressão hidrostática nos capilares dessa pleura do que a pressão coloidosmótica do plasma, permitindo o extravasamento de uma pequena quantidade de líquido pleural como TRANSUDATO.
Defina DP.
É o acúmulo anormal de líquido no espaço pleural.
Quais os mecanismos fisiopatológicos do DP?
Quais as principais etiologias do DP?
Primeiro define-se se é transudato ou exsudato: -Transudato: ICC descompensada. -Exsudato: DP parapneumônico e neoplásico (pulmão, mamas e linfoma).

Quais os achados na história clínica?
Se for pequeno, é assintomático. Dispneia, tosse (estímulo reativo - pulmão “espremido”), dor torácica tipo pleurítica. Derrames muito volumosos podem promover trepopneia (dispneia em decúbito lateral com o lado que contém o volume para cima).
Comente sobre a dor pleurítica no DP.
Dor ventilatório dependente (intensifica com a inspiração profunda) que cessa quando o DP separa as 2 pleuras e evita seu atrito. Denota INFLAMAÇÃO PLEURAL.
Comente algumas das principais drogas que causam DP. Qual o aspecto do líquido desse tipo de DP?
Amiodarona, metotrexate. O líquido pleural desses DP são ricos em eosinófilos.
Quais os achados no EF do DP?
Inspeção: fáscies de dor, posição antálgica (fletido para o lado acometido), diminuição dos movimentos respiratórios. Pode haver o sinal de Lemos-Torres (abaulamento expiratório nos espaços intercostais na região do DP).
Palpação: redução da expansibilidade torácica, adenomegalias nas axilas ou fossa supraclavicular, diminuição da expansibilidade torácica.
Percussão: macicez ou submacicez (delimitação do nível do líquido).
Ausculta: murmúrio vesicular reduzido ou abolido, egofonia (falar o 33 com o esteto e eu escuto um som anasalado), atrito pleural. Pode haver respiração brônquica.
Qual o primeiro exame de imagem a se pedir na suspeita de DP?
Radiografia simples de tórax nas incidências PA e perfil.
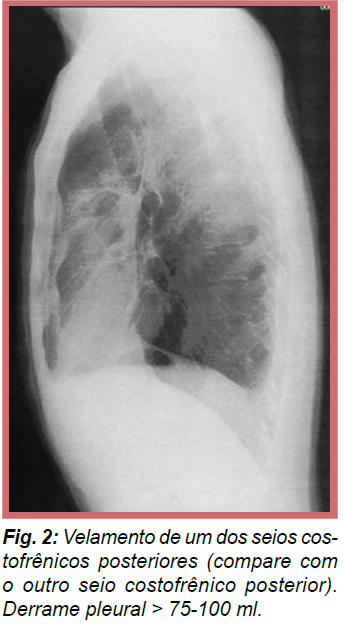
Qual das incidências do raio x de tórax é mais sensível para DP (entre PA e perfil)?
Perfil, pois é capaz de detectar DP através de velamento do seio costofrênico na presença de um menor volume de líquido (> 75-100), enquanto que em PA só se detecta > 175-200.
Imagem DP PA e qual a classificação do DP?
Pequeno: apenas no seio costofrênico.
Moderado: até o hilo pulmonar.
Grande: ultrapassa o hilo.
Maciços: ocupa o hemitórax inteiro.

Imagem DP Perfil.
.

Como é o nome do achado radiográfico de um DP muito volumoso? Imagem. Explique.
Parábola de Damoiseau. O líquido está em toda a circunferência do tórax (circunferincial ao pulmão).

Qual outra incidência para o Rx de tórax pode ser feito para detectar DP?
Incidência de Lawrell: paciente em decúbito lateral do lado do DP com raios horizontais.

Por que a incidência de Lawrell é útil para visualizar DP?
Pois, na ausência de aderências pleurais, o líquido no espaço pleural corre livremente pela gravidade, sendo útil quando houver dúvidas da presença de DP ou em DP subpulmonar (DDx com elevação da cúpula diafragmática).
A distância maior de 1 cm da parece do tórax até o pulmão significa que é mais fácil de puncionar esse DP.
O que é o DP loculado?
É o DP que fica confinado por aderências pleurais, não correndo livremente pelo espaço pleural. Ocorre em hemotórax, empiema e múltiplas punções.

Qual a vantagem da TC e do USGw
A TC é interessante para Dx etiológico desse DP (ex: empiema pleural, doença metastática, …).
Ambos identificam pequenos derrames, debris e diferencial com tumores.
Quando devo investigar DP? Como deve ser feita a investigação?
DP de etiologia desconhecida, volume clinicamente significativo.
Através da punção guiada por USG.
Como deve ser a investigação do DP?
Punção (toracocentese):
Quais as alterações de glicose e pH no DP?
Reduzida (< 40 mg/dl): empiema, TB, AR, LES, neoplasia.
Baixo, menor que 7,25 ou 0,2 menor que o sérico: empiema, AR, TB e neoplasia. *Esse pH, em paciente com derrame parapneumônico que está piorando, indica que esse derrame pleural complicou e pode evoluir para empiema.
Qual o principal exame para esclarecer a etiologia do DP?
Toracocentese diagnóstica.
Qual o primeiro parâmetro a ser avaliado do líquido pleural?
A aparência desse líquido.
Quais as formas que o líquido pleural pode aparecer após sua coleta por toracocentese? O que cada forma significa?
Seroso (amarelo citrino): líquido pleural propriamente dito (amarelo-palha - ICC, hepatopatia, TB, neoplasia, colagenoses). Pus: empiema. Sangue: Hemotórax (neoplasia, TEP, trauma). Serossanguinolento: LP + sangue. Leitoso (branco): é realizada ultracentrifugação e visualiza-se o sobrenadante: claro = empiema; turvo = quilotórax.
Qual o próximo passo de análise do líquido pleural seroso? Como é feito?
Diferenciar entre transudato e exsudato, sendo feito pelos critérios de Light.
O transudato eu vou tratar a causa base e o exsudato eu vou investigar.