What structure is misssing in the adolescent breast?

No lobular units are present
What are the significant findings in the post pubertal breast?

Elongation and braching of the ducts
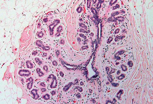
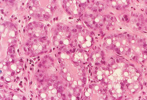
What are the significant findings in the lactating breast?

Terminal duct lobular units enlarged and the acini show prominent epithelial secretory activity (Cytoplasmic vacuolization)
What does a terminal duct lobular unit consist of?
What tissue grows during pregnancy?
Glandular tissue
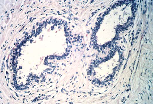
A postmenopausal breast is shown. What processes generally occur?

TDLU atrophy but large and intermediate ducts persist. Fat increases
Where does breast lymph drain?
Mostly to axillary nodes
What is the most common developmental breast anomaly?
Suprenumerary nipple (polythelia)