What are the different imaging techniques, their physical basis and what they show?
Radiography&CT - x-rays - variation in physical density Scinigraphy - gamma - metabolic activity MRI - radiowaves - magnetization Ultrasonography - sound waves - echogenicity
How does scintigraphy work?
Inject a metabolite containing a radio-labelled isotope and visualise the distribution of the metabolite using a gamma camera.
What is MRI predominantly used for in animals?
CNS imaging
What is the echogenicity of a structure that appears brighter during ultrasound?
It is high
What does the ultrasound probe contain?
A transducer and a reciever for the returning sound waves
Is imaging more likely to be used in primary or secondary disease and what is the exception?
Primary. Scinitgraphy is the exception.
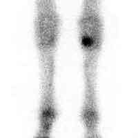
What diagnostic technique does the following image depict?

Scintigraphy
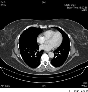
What diagnostic technique does this image depict?

CT scan
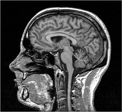
What diagnostic technique does this image depict?

MRI