Diarrhoea Flashcards

(60 cards)

1
Q

Is diarrhoea in the neonate indicative of SI or LI disease?

A

LI

How well did you know this?
1
Not at all
2
3
4
5
Perfectly
2
Q

Is diarrhoea in the juvenile/adult indicative of SI or LI disease?

A

LI

How well did you know this?
1
Not at all
2
3
4
5
Perfectly
3
Q

What age are foals commonly weaned?

A

6 months

How well did you know this?
1
Not at all
2
3
4
5
Perfectly
4
Q

What age do foals begin eating roughage?

A

Towards 6 weeks (end of neonatal period)

How well did you know this?
1
Not at all
2
3
4
5
Perfectly
5
Q

Infectious causes of diarrhoea in the neonatal foal between 0 and 10 days of age

A

Viral: Rotavirus, Coronavirus (usually immunocompromised)
Gram +ve: Clostridium spp.
Gram -ve: E. coli, Salmonella spp., Actinobacillus spp.
Fungal (immunocompromised): Candida, Mucor
Protozoal: Cryptosporidium

How well did you know this?
1
Not at all
2
3
4
5
Perfectly
6
Q

Additional infectious causes of diarrhoea in neonatal foals 10 days to 6 weeks (majority same as 0-10 days)

A

Gram +ve: Rhodococcus equi (uncommon)
Parasites: Strongyloides westerii, Parascaris equorum, Strongylus vulgaris

How well did you know this?
1
Not at all
2
3
4
5
Perfectly
7
Q

How are neonates infected with Strongyloides westerii?

A

Through mares milk

How well did you know this?
1
Not at all
2
3
4
5
Perfectly
8
Q

Non-infectious causes of diarrhoea from 0-10 days

A

Foal heat diarrhoea
Secondary to meconium impaction
Errors in feeding (concentration/volume, particularly if orphaned)
Gastroduodenal ulceration
Sand enterocolitis
Systemic disease (sepsis, perinatal asphyxia syndrome/neonatal maladjustment syndrome)
Congenital lactose intolerance

How well did you know this?
1
Not at all
2
3
4
5
Perfectly
9
Q

Non-infectious causes of diarrhoea in foals 10 days to 6 weeks

A

Foal heat diarrhoea (<2w)
Secondary to meconium impaction
Errors in feeding (concentration/volume, post enteritis lactose intolerance)
Gastric ulceration
Sand enterocolitis
Antibiotic induced diarrhoea (oral)

How well did you know this?
1
Not at all
2
3
4
5
Perfectly
10
Q

Treatment of diarrhoea in the neonate

A

Underlying cause?
Consequences (fluid/electrolyte loss, bacterial translocation, albumin loss, nutrition)

How well did you know this?
1
Not at all
2
3
4
5
Perfectly
11
Q

Problem with providing nutrition in neonatal diarrhoea

A

Decreased absorption of nutrients = enteral rest/starving required
Must provide nutrition another way

How well did you know this?
1
Not at all
2
3
4
5
Perfectly
12
Q

Risk factors for developing GI disease in the neonate

A

Failure of passive transfer
Pre-existing disease
Poor hygiene in peripartum period
High stocking density
Antimicrobial administration
Milk replacer therapy

How well did you know this?
1
Not at all
2
3
4
5
Perfectly
13
Q

Clinical signs of acute diarrhoea in the juvenile/adult horse

A

Cow pat to high volume/hosepipe D+++
Quiet/depressed
Colic
Fever
Hypovolaemia
SIRS
Laminitis
Secondary infection

How well did you know this?
1
Not at all
2
3
4
5
Perfectly
14
Q

Infectious causes of acute diarrhoea in the young horse

A

Salmonella spp.
C. difficile
C. perfringens
Coronavirus
Cyathostomiasis
Lawsonia intracellularis
(Rhodococcus equi)

How well did you know this?
1
Not at all
2
3
4
5
Perfectly
15
Q

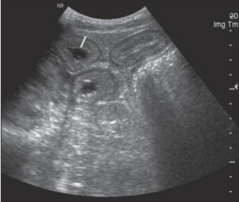
What pathogen causes equine proliferative enteropathy (thickened small intestine on ultrasound scan)?

A

Lawsonia intracellularis bacteria

How well did you know this?
1
Not at all
2
3
4
5
Perfectly
16
Q

What signs are seen with equine proliferative enteropathy?

A

Severe hypoalbuminaemia
Weight loss +++

How well did you know this?
1
Not at all
2
3
4
5
Perfectly
17
Q

Causes of chronic diarrhoea in the juvenile horse

A

Salmonella spp.
Cyathostomiasis
Right dorsal colitis
Sand enteropathy
Inflammatory bowel disease
Dietary
Lawsonia intracellularis
Rhodococcus equi

How well did you know this?
1
Not at all
2
3
4
5
Perfectly
18
Q

Which two causes of diarrhoea in the juvenile horse have increased risk geographically and on farms with history of disease/annual reoccurrence?

A

Lawsonia
R. equi

How well did you know this?
1
Not at all
2
3
4
5
Perfectly
19
Q

Diarrhoea is an incommon manifestation of Rhodococcus equi; what does it usually cause?

A

Respiratory disease

How well did you know this?
1
Not at all
2
3
4
5
Perfectly
20
Q

Risk factors for developing diarrhoea in the juvenile/adult horse

A

Gastrointestinal disease
Immunosuppression
Antimicrobials
General anaesthesia
Recent abdominal surgery
Hospitalisation
Other horses
Dietary change

How well did you know this?
1
Not at all
2
3
4
5
Perfectly
21
Q

Key consideration with diarrhoea cases

A

Isolation is necessary as it is difficult to rule infectious cause in/out

How well did you know this?
1
Not at all
2
3
4
5
Perfectly
22
Q

Clinical signs of chronic diarrhoea in the adult horse (compared with acute)

A

Cow pat to D+++ (not hosepipe)
Bright to depressed
Colic
Fever
Ventral oedema (albumin loss causes decrease in oncotic pressure)
Weight loss
Electrolyte imbalances
Often normovolaemic

How well did you know this?
1
Not at all
2
3
4
5
Perfectly
23
Q

Do horses have a risk of deteriorating rapidly with acute or chronic diarrhoea?

A

Acute

How well did you know this?
1
Not at all
2
3
4
5
Perfectly
24
Q

Causes of acute diarrhoea in the adult horse

A

Salmonella spp.
Clostridiosis
Coronavirus
Cyathostomiasis
Antimicrobial
Right dorsal colitis
Grain (carbohydrate) overload
Dietary

How well did you know this?
1
Not at all
2
3
4
5
Perfectly
25
Nosocomial bacteria which causes large volume watery diarrhoea and is intermittently shed. Can also cause bacteraemia
Salmonella
26
What bacterial infection in the adult horse develops following antimicrobials?
Clostridiosis
27
Nosocomial
Comes from a hospital
28
Is C. difficile or C. perfringens a more common cause of diarrhoea?
C. difficile
29
Clostridium that can cause large volume haemorrhagic diarrhoea in the horse (mainly neonates, also adults)
C. perfringens (type A and C more common)
30
Most important equine parasitic disease
Cyathostomiasis
31
When is cyathostomiasis most commonly seen?
Spring
32
Life cycle of cyathostomes
PPP 6-14w Can remain encysted from weeks to 2y Encysted hypobiotic larvae unaffected by most anthelmintics IL3 emerge in Spring, many at once (clinical disease)
33
Why do antimicrobials cause colitis?
Disrupt GI flora Lack of competition for nutrients Pathogenic bacteria proliferate
34
Which antibiotics have a higher likelihood of causing antimicrobial associated colitis?
Antibiotics affecting anaerobes because obligate anaerobe population of the flora is most important
35
Cause of right dorsal colitis
NSAIDs
36
How does grain overload cause diarrhoea/SIRS/laminitis?
SI digestion overwhelmed so soluble carbohydrates (CHO) enter LI Rapid fermentation by lactic acid producing bacteria lowers pH so gram negative bacteria die and endotoxins released Lactic acid poorly absorbed = osmotic diarrhoea Other bacteria overgrow and gut wall becomes compromised so bacteria and toxins enter circulation
37
Causes of chronic diarrhoea
Salmonellosis Cyathostomiasis Right dorsal colitis Sand enteropathy Inflammatory bowel disease Dietary (dietary imbalance/change in diet/change in flora)
38
Most frequently isolated Salmonella spp.
Typhimurium
39
Chronic diarrhoea caused by cyathostomiasis
Affects colon wall Milder than acute disease
40
Sand enteropathy
Abnormal accumulation of sand in the large intestine causing diarrhoea (often associated with acute intestinal obstruction)
41
Causes of inflammatory bowel disease (4)
Multisystemic eosinophilic epitheliotropic disease/MEED Granulomatous enteritis Lymphocytic/plasmocytic enteritis/colitis Lymphosarcoma
42
Aim of diagnostics in diarrhoea
Determine likely cause Determine need for supportive therapy Determine need for specific therapy Determine risk to in-contact horses and personnel
43
Treatment of acute diarrhoea
Fluid replacement and electrolytes Anti-inflammatories Analgesia Antimicrobials Adsorbents Nutrition Specific therapy
44
Fluid replacement for mild/moderate diarrhoea
Voluntary drinking +/- NGT
45
Fluid replacement for moderate/severe diarrhoea
Hartmanns
46
Why must a fluid bolus not be given quickly to a horse with diarrhoea?
Loss of albumin = decreased oncotic pressure Increased risk of oedema if bolus given too quickly
47
Electrolytes advised in horses with diarrhoea
Many: KCl Some: NaHCO3 or Na
48
Analgesia for diarrhoea
Flunixin meglumine? Temporary relief: xylazine/detomidine +/- butorphanol CRI for severe pain: butorphanol, lidocaine +/- ketamine
49
Antimicrobial choice in horse with diarrhoea that is neutropaenic or showing signs of sepsis (secondary infections)
Penicillin IM and Gentamycin IV
50
Antimicrobial for horse with Clostridiosis
Metranidazole PO
51
Best probiotics in horses
Faecal transfaunation via NGT from horse that hasn't had antimicrobials/no other infection
52
Adsorbent used in horses with diarrhoea
Di-Tri Octahedral Smectitie (Biosponge) given SID/BID via NGT
53
Nutrition for horse with diarrhoea
Ideally complete pelleted diet (no grain/hay) Inappetent: good quality grass/hay/anything Corn oil for added calories
54
Specific therapy for right dorsal colitis
Misoprostol Psylium
55
Specific therapy for cyathostomiasis
Anthelmintics (Moxidectin) Pre-treatment with steroids as inflammation expected (dexamethasone/prednisolone)
56
Specific therapy for sand enteropathy
Psyllium
57
Specific therapy for L. intracellularis
Doxycycline
58
Management of sepsis in acute diarrhoea
Circulatory support (fluids +/- dobutamine) Flunixin (block parts of sepsis cascade) Cryotherapy (reduce laminitis) Plasma? (Expensive to make a difference to protein levels) Pentocyfyline? (Suppress pro-inflammatory cytokines?) Polymixin B? (Prevents initiation of pro-inflammatory cascade?)
59
Treatment of diarrhoea in the neonate
IVFT (care with sodium/acid base balance) Antimicrobials (FPT/sepsis) GI rest (PPN/TPN)
60
Factors that indicate isolation is needed in diarrhoea
2 out of 3 Pyrexia Neutropaenia Diarrhoea