Discuss the basic epidemiology, presentation, investigation, management and prognosis of spinal fracture Flashcards

(13 cards)

1
Q

True or False?

Vertebral fractures are the least common fracture linked to osteoporosis

A

False

They are almost 2x as common as other fractures linked to osteoporosis

How well did you know this?
1
Not at all
2
3
4
5
Perfectly
2
Q

Identify the vertebral fracture(s)

A
How well did you know this?
1
Not at all
2
3
4
5
Perfectly
3
Q

What is the prognosis of vertebral fractures linked to osteoporosis?

A

In the majority of people, the fractures heal in 3 months without any complication

How well did you know this?
1
Not at all
2
3
4
5
Perfectly
4
Q

How do vertebral fractures linked to osteoporosis present?

A
  • Loss of height
  • kyphotic deformity of the spine
How well did you know this?
1
Not at all
2
3
4
5
Perfectly
5
Q

What are vertebral fractures caused by osteoporosis also known as?

A

Compression fractures

How well did you know this?
1
Not at all
2
3
4
5
Perfectly
6
Q

How do you investigate vertebral fractures?

A
  • X-ray
  • refer to investigations for osteopenia and osteoporosis
How well did you know this?
1
Not at all
2
3
4
5
Perfectly
7
Q

Which demographic is most affected by vertebral fractures?

A

Men

(men:women, 13.8% : 11.8%)

How well did you know this?
1
Not at all
2
3
4
5
Perfectly
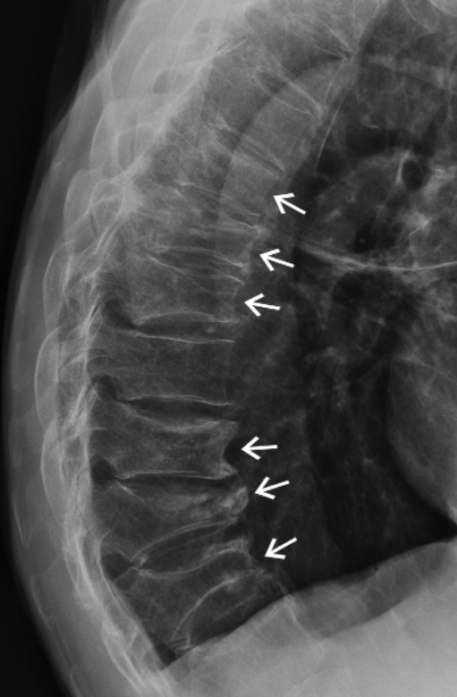
8
Q

What does this X-ray show?

A

A vertebral fracture cascade

How well did you know this?
1
Not at all
2
3
4
5
Perfectly
9
Q

How are vertebral fractures managed, and why?

A
  • aimed at controlling pain with analgesia
  • the fractures are stable
How well did you know this?
1
Not at all
2
3
4
5
Perfectly
10
Q

How does pain present in vertebral fractures?

A
  • thoracic or lumbar back pain after a minor fall
  • some patients do not experience pain
How well did you know this?
1
Not at all
2
3
4
5
Perfectly
11
Q

Identify the vertebral fracture(s)

A
How well did you know this?
1
Not at all
2
3
4
5
Perfectly
12
Q

How are vertebral fractures identified on X-ray?

A

loss in vertebral body height relative to normal adjacent vertebra or relative to

How well did you know this?
1
Not at all
2
3
4
5
Perfectly
13
Q

What is this?

A

Kyphotic deformity of the spine

How well did you know this?
1
Not at all
2
3
4
5
Perfectly