What is a dislocation?
Dislocation = complete joint disruption

What is a subluxation?
Subluxation = partial dislocation – not fully out of joint

What are some associated injuries?
neurovascular injury, vascular injury
How is the diagnosis made?
Clinical and radiological diagnosis
How is the dislocation repaired?
Manipulation an repositioning
Sometimes will require surgery, at least analgesia – very painful as muscles will contract! May require muscle relaxation – anaesthetic
What are some common dislocations?

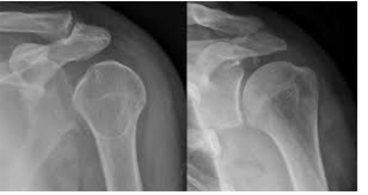
What does this radiograph show?

A posterior dislocation of shoulder
What is important to remember about joints? and manipulation of dislocations?
That there is often important structures near joints: such as nerves.
Always do a neurological exam before repositioning a joint so that you can assess nerve damage before and after (save yourself from gettin sued)
What does this radiograph show?

Knee dislocation
What does this radiograph show?

Hip dislocation
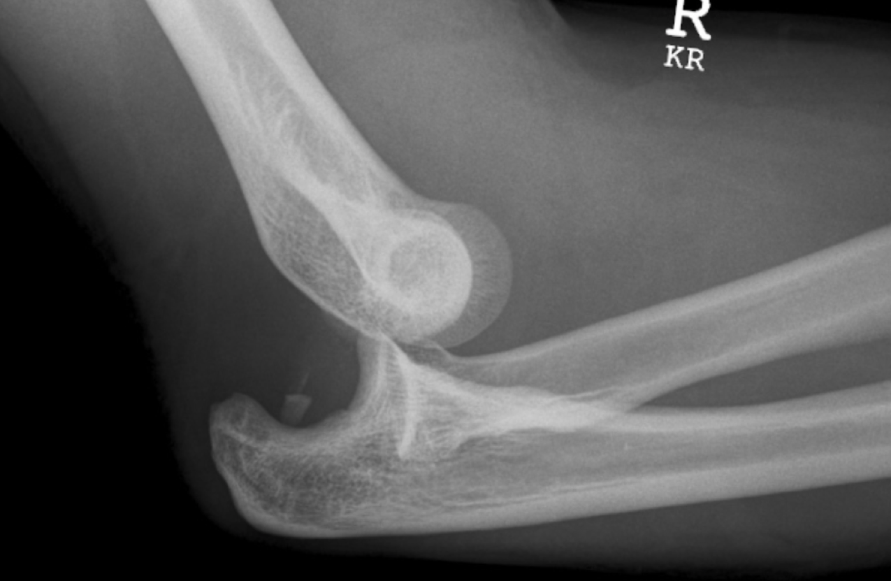
What does this radiograph show?

Elbow dislocation