DMRI Flashcards

(49 cards)

1
Q

Epidemiologia? (7)

A
  1. Maior causa de cegueira em >50 anos no ocidente.
  2. Idade: >65a(10%)/ >75a(25%).
  3. Branco.
  4. Tabagismo.
  5. Obesidade.
  6. HAS.
  7. HF. (↑ 3x se HF 1º grau)
How well did you know this?
1
Not at all
2
3
4
5
Perfectly
2
Q

A raça mais acometida na DMRI é a ___(branca/negra) com risco de __(2/3)x mais acometimento se familiar de 1º com a doença.

A

Branca; 3x.

How well did you know this?
1
Not at all
2
3
4
5
Perfectly
3
Q

Principal fator de risco?

A

Idade.

(>65a(10%)/ >75a(25%))

How well did you know this?
1
Not at all
2
3
4
5
Perfectly
4
Q

Classificação? (2)

A
  1. DMRI seca. (90%) → Drusas, Alt. pigmentar e atrofia geográfica.
  2. DMRI úmida. (10%) → Neovascularização de coróide.
How well did you know this?
1
Not at all
2
3
4
5
Perfectly
5
Q

A DMRI seca é mais comum porém responsável por __% dos casos de cegueira.

A

20%.

How well did you know this?
1
Not at all
2
3
4
5
Perfectly
6
Q

V ou F?

A DMRI seca é a mais comum em 90% dos casos porém apenas 20% das cegueiras são atribuidas a ela. Já a úmida é mais rara porém responsável por 80% das cegueiras.

A

Verdadeiro.

How well did you know this?
1
Not at all
2
3
4
5
Perfectly
7
Q

DMRI seca

Alterações presentes? (3)

A
  1. Drusas.
  2. Alteração pigmentar.
  3. Atrofia geográfica.
How well did you know this?
1
Not at all
2
3
4
5
Perfectly
8
Q

DMRI seca

Drusas

Fisiopatologia? (2)

A

Fotoreceptores produzem material hialino rico em lipidios.

Acúmulo entre EPR e membrana de Bruch da coriocapilar.

How well did you know this?
1
Not at all
2
3
4
5
Perfectly
9
Q

DMRI seca

Diferença entre as drusas duras e moles?

A
  1. Duras → Pequenas e delimitadas, baixo risco, >50 anos.
  2. Moles → Grandes e mal delimitadas, alto risco, confluentes.
How well did you know this?
1
Not at all
2
3
4
5
Perfectly
10
Q

As drusas ____(duras/moles) são pequenas e delimitadas com aspecto em grão de areia apresentando ___(baixo/alto) risco e predominio na faixa etária de..

A

Duras; Baixo; >50 anos.

How well did you know this?
1
Not at all
2
3
4
5
Perfectly
11
Q

As drusas moles são ___(menores/maiores) e confluentes apresentando __% de risco de evolui para DMRI tardia e __% para alterações pigmentares.

A

Maiores; 13% e 50%.

(alto risco)

How well did you know this?
1
Not at all
2
3
4
5
Perfectly
12
Q

DMRI seca

Drusas

Classificação quanto ao tamanho? (3)

A

1.Pequenas → <63.
2. Médias → 63-125.
3. Grandes → >125.

How well did you know this?
1
Not at all
2
3
4
5
Perfectly
13
Q

V ou F?

Quanto maior o diâmetro das drusas melhor o prognóstico.

A

Falso
Quanto maior o diâmetro das drusas pior o prognóstico.

How well did you know this?
1
Not at all
2
3
4
5
Perfectly
14
Q

DMRI seca

Qual referência utilizada para dimensionar o tamanho das drusas?

A

Veia central da retina possui 125.
(Ou seja, do tamanho de uma drusa grande)

How well did you know this?
1
Not at all
2
3
4
5
Perfectly
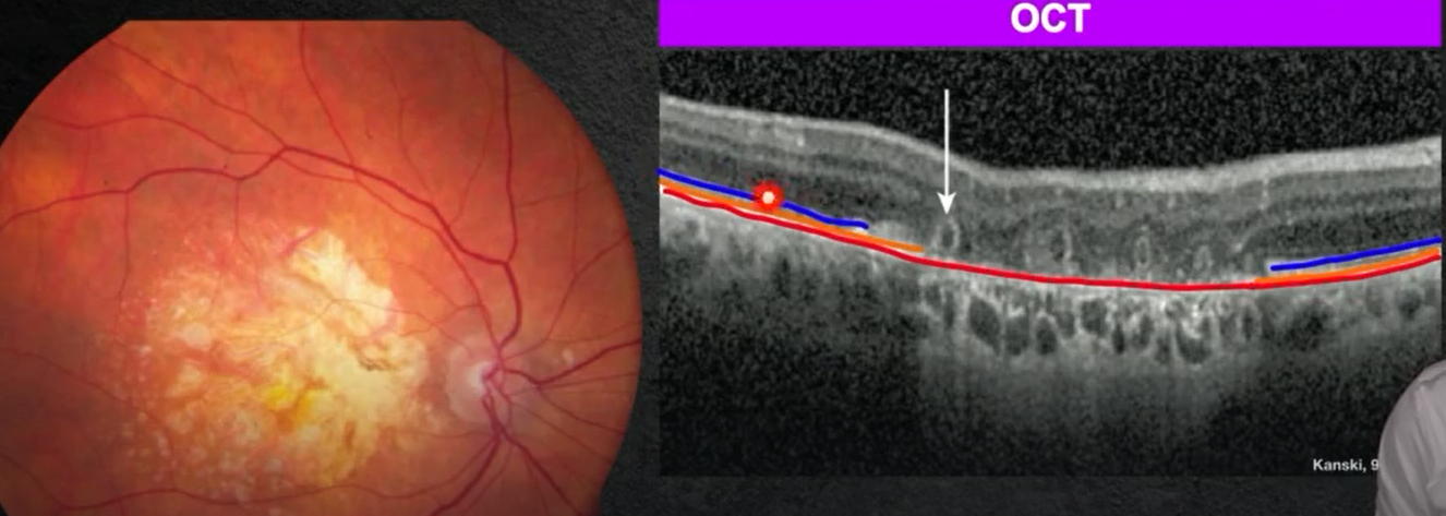
15
Q

DMRI seca

Drusas

Achados no OCT? (2)

A
  1. Depósito entre EPR e coriocapilar com EPR afilada. (EPR mais longe da nutrição)
  2. DEP drusenóide: >1000 CBO/ >350 AAO. (Drusas confluindo e descolando boa parte do EPR)
How well did you know this?
1
Not at all
2
3
4
5
Perfectly
16
Q

V ou F?

As drusas duras não são suficiente para diangóstico de DMRI seca podendo ser encontrada em idosos normais.

A

Verdadeiro.

How well did you know this?
1
Not at all
2
3
4
5
Perfectly
17
Q

DMRI seca

DEP drusenóide

Definição segundo CBO e AAO? Mecanismo? Risco?

A
  1. > 1000 CBO/ >350 AAO.
  2. Drusas confluindo e descolando boa parte do EPR.
  3. Risco para DMRI avançada maior pois EPR sofre mais.
How well did you know this?
1
Not at all
2
3
4
5
Perfectly
18
Q

DMRI seca

Drusas

Achados na AGF?

A

Hiperfluorescência.
(Por defeito em janela ou Staining)

EPR atrofiado permite vizualizar vasos da coróide com contraste.

How well did you know this?
1
Not at all
2
3
4
5
Perfectly
19
Q

Na AGF as drusas apresentam ___(hipo/hiper)fluorescência pelos mecanismos de..

A
  1. Hiperfluorescência.
  2. Defeito em janela e Staining. (EPR atrofiado permite vizualizar vasos com contrase na coriocapilar)
How well did you know this?
1
Not at all
2
3
4
5
Perfectly
20
Q

DMRI seca

Drusas

Acuidade visual?

A

Preservada.

(Alterações leves como alteração visão notura, visão cores e contraste)

21
Q

DMRI seca

Alteração pigmentar

Significado?

A

Maior risco para formas avançadas pois indica sofrimento do EPR.

22
Q

DMRI seca

Atrofia geográfica

Fisiopatologia?

A

EPR em sofrimento atrofia junto com fotoreceptores e coriocapilar.

23
Q

DMRI seca

Atrofia geográfica

Achados na AGF?

A

Hiperfluorescência.
(Defeito em janela)

(EPR atrofiada permite vizualizar coroide com contraste)

24
Q

DMRI seca

Atrofia geográfica

Achados na autofluor?

A

Hipoauto com entorno hiperauto.

(Região de atrofia sem lupofuscina e em volta sofrendo não metaboliza)

25
Na atrofia geográfica o padrão da autofluor é de ___(hipo/hiper)auto na região da atrofia e ___(hipo/hiper)auto no entorno, pois..
1. Hipoauto com entorno hiperauto. 2. Região de EPR atrofiado já não tem lipofuscina dentro para corar. Já ao redor ainda está ocorrendo sofrimento fazendo acumulo de lipofuscina devido a ↓ matabolização.
26
# DMRI seca **Atrofia geográfica** | Achados no OCT?
1. Atrofia da coriocapilar, fotoreceptores e EPR. 2. Passagem da luz com facilidade na região de atrofia.
27
# DMRI seca **Atrofia geográfica** | Acuidade visual?
Péssima se acometer fóvea.
28
# DMRI seca **AREDs 2** | Classificação? (4)
1. **Sem DMRI** → Até **5** drusas pequenas. 2. **Precoce** → Múltiplas drusas pequenas ou poucas intermediárias ou alterações pigmentares. 3. **Intermediária** → **1** drusa grande ou múltiplas intermediárias ou atrofia geográfica não-central. 4. **Avançada** → Membrana neovascular ou atrofia geográfica subfoveal.
29
**DMRI seca** | Tratamento? (3)
1. Tratar fatores de risco. 2. Orientação ao uso da tela de Amsler. 3. Suplementação vitaminica(AREDs 2): Vit. C, E; Luteína; Zeaxantina e Zinco **se** intermediária ou avançada.
30
**DMRI seca** | Indicações de suplementação vitaminíca? (2)
1. **DMRI intermediária**: **1** drusa grande ou múltiplas intermediárias ou atrofia geográfica não-central. 2. **DMRI avançada** em 1 olho a fim de prevenir no outro: Membrana neovascular ou atrofia geográfica subfoveal.
31
**DMRI seca** | Beneficios da suplementação vitamnínica de acordo com estudo AREDS2? (2)
1. ↓ em 25% progressão para formas graves. 2. ↓ Perda moderada de visão em 20%.
32
**DMRI seca** | Posologia da reposição vitaminica segundo estudo AREDS2? (5)
1. Vit. C. (500mg) 2. Vit. E. (400UI) 3. Luteína. (10mg) 4. Zeaxantina. (2mg) 5. Zinco. (80-25mg)
33
Diferença na posologia da suplementação vitaminica do AREDs 1 para o 2 e motivos para troca? (2)
1. Zinco no AREDs 1 era 80mg porém no 2 ficou provado igual beneficio sem necessidade de +2mg de cobre com 25mg de Zinco. 2. No AREDs 1 o b-caroteno era feito no lugar da Luteina e Zeaxantina porém ↑ risco de CA pulmão em tabagistas.
34
A neovascularização de coróide é característica da DMRI ____(seca/úmida).
Úmida.
35
**DMRI úmida** | Fisiopatologia? (5)
Atrofia com sofirmento corioacapilar. ↓ ↑ VEGF formando neovasos na coriocapilar. ↓ Extravasamento/exsudação de conteúdo de neovasos. (Leakage) ↓ Descolando EPR e subindo por cima da EPR com liquido subretiniano. ↓ Sangramento de neovasos com tempo formando cicatriz disciforme e malha fibrovascular.
36
**DMRI úmida** | Clínica? (3)
1. Leakage. 2. Hemorragias. 3. Cicatriz disciforme.
37
**DMRI úmida** | Acuidade visual?
BAV rápida e progressiva.
38
# **V ou F?** Na DMRI úmida há BAV lenta e progressiva.
**Falso** Na DMRI úmida há BAV **rápida** e progressiva.
39
**DMRI úmida** | Achados/Padrões na AGF? (2)
1. **NVC oculta (87%)** → Hiperfluorescência que ↑ com tempo, ou seja, extravasamento vai aumentando. 2. **NVC clássica (13%)** → Neovascularização entre EPR e retina com limites bem definidos.
40
O padrão mais comum na AGF da DMRI úmida é a NVC ___(oculta/clássica) que se caracteriza por..
1. NVC oculta. **(87%)** 2. Hiperfluorescência que ↑ com tempo, ou seja, extravasamento vai aumentando.
41
Na AGF da DMRI úmida além da classificação por padrão, há a por localização que é composta por..(3)
1. Extra-foveal → >200. 2. Justa-foveal → <200. 3. Subfoveal → Centro da fóvea.
42
Na DMIR úmida o ___(AGF/OCT) serve para diagnóstico e acompanhamento.
OCT.
43
**DMRI úmida** | Classificação das NVC no OCT? (3)
1.**Tipo 1** → Abaixo da EPR banda hiperreflextiva rendilhada. 2. **Tipo 2** → Entre retina e EPR aparecendo como banda hiperrefletiva. 3. **Tipo 3** → Neovasos da nuclear interna até coroide. (proliferação angiomatosa)
44
Na NVC tipo 1 de coróide da DMRI úmida vemos no OCT uma banda hiperefletiva rendilhada ____(Abaixo do EPR/Entre retina e EPR).
Abaixo do EPR.
45
# **V ou F?** No OCT da DMRI úmida a presença de NVC tipo 2 se manifesta como banda hiperrefletiva entre retina e EPR, ou seja, acima da EPR.
**Verdadeiro**.
46
Na DMRI úmida dizemos que a neovascularização de coroide esta ativa quando..(4)
1. Hemorragia. 2. Edema retiniano. 3. Liquido sub-retiniano. 4. Leakage na AGF.
47
**DMRI úmida** | Modalidades de tratamento e respectivas indicações?(3) Padrão-ouro?
1.**Anti-VEGF**: padrão-ouro. 2. Fotocoagulação → Lesão clássica bem delimitada + > 200mu da fovea. 3. PDT com verteporfina → <200mu do centro da fovea.
48
O tratamento padrão-ouro na DMRI úmida é ____(anti-VEGF/Fotocoagulação) com ganho de __ letras.
Anti-VEGF; 15 letras.
49
# **V ou F?** O protocolo de anti-VEGF na DMRI úmida se assemelha do seu uso na retinopatia diabética proliferativa.
**Verdadeiro.**