Doença Diverticular Flashcards

(50 cards)

1
Q

O que são divertículos e por que ocorrem?

A

Herniações da mucosa da parede do cólon através dos pontos de entrada dos vasos sanguíneos pela parede muscular.

Ocorrem por conta de pressões intraluminais elevadas, alteração da motilidade, alterações na estrutura cólica e dietas pobres em fibras (diminuição do conteúdo luminal cólico necessita da geração de pressões cólicas mais elevadas para fazer progredir as fezes para diante)

How well did you know this?
1
Not at all
2
3
4
5
Perfectly
2
Q

Quando consideramos um divertículo como pseudodivertículo/falso divertículo ou verdadeiro?

A

Pseudodivertículo/Falso divertículo: protrusão da mucosa e submucosa através das camadas do músculo
Verdadeiro: envolve todas as camadas da parede intestinal

How well did you know this?
1
Not at all
2
3
4
5
Perfectly
3
Q

Quais as áreas do TGI mais frequentemente afetadas na Doença Diverticular?

A

Cólon sigmoide e descendente

Reto não tem tênia (espessamento da muscular externa), então não terá divertículo

How well did you know this?
1
Not at all
2
3
4
5
Perfectly
4
Q

Quais as diferenças entre diverticulose, doença diverticular e diverticulite?
Como se dá a diverticulite?

A

Diverticulose: quando os divertículos se apresentam assintomáticos

Doença diverticular: quando associada com sintomas

Diverticulite: resultado da perfuração de um divertículo → inflamação pericólica uma vez que existe extravasamento de líquido fecalóide

Chance de ter diverticulite aguda é de 5% para pacientes que apresentam divertículos (diverticulose)

How well did you know this?
1
Not at all
2
3
4
5
Perfectly
5
Q

Qual a clínica de um paciente com diverticulite?

A
  • Dor abdominal no quadrante inferior esquerdo (já que o cólon sigmoide é o mais frequentemente afetado)
  • Alterações no hábito intestinal
  • Anorexia
  • Náuseas
  • Febre
  • Urgência urinária se inflamação associada com a beixga
  • Distensão abdominal
How well did you know this?
1
Not at all
2
3
4
5
Perfectly
6
Q

A doença diverticular é a principal causa de ……

A

R: sangramento de vulto (enterorragia, sangramento baixo)
Sangramento acontece por causa do rompimento dos vasos musculares, devido a obstrução por fecalito→ pode não gerar diverticulite, somente sangramento de doença diverticular
Também pode ocorrer por angiodisplasia

Queixa típica: paciente idoso, com queixa de evacuações com sangue em muita quantidade

How well did you know this?
1
Not at all
2
3
4
5
Perfectly
7
Q

Do que se espera da avaliação laboratorial de um paciente com diverticulite?

A

Proteína C-reativa (PCR), procalcitonina e calprotectina foram exploradas como preditores potenciais da gravidade da diverticulite
* PCR > 150 mg/L discrimina agudo não complicado de complicado
* PCR >150 mg/L e fluido livre na TC foi associado a um risco significativamente maior de mortalidade
* Calprotectina fecal elevada foi associada à recorrência de diverticulite

How well did you know this?
1
Not at all
2
3
4
5
Perfectly
8
Q

Qual o exame de imagem padrão ouro para o diagnóstico de diverticulite aguda?

O que esse exame fornece?

A

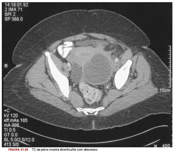
TC do abdome e pelve: mostra localização, extensão e gravidade da doença; além disso mostra alterações patológicas fora do cólon como um abscesso ou fístula colovesical

TC da pelve mostra diverticulite com abscesso

How well did you know this?
1
Not at all
2
3
4
5
Perfectly
9
Q

Por que uma dieta rica em fibras diminui a chance de uma pessoa desenvolver divertículos (e diverticulites)?

A

Porque há formação de bolo fecal mais robusto e menor necessidade de pressão necessária para motilidade

How well did you know this?
1
Not at all
2
3
4
5
Perfectly
10
Q

Por que num paciente com episódio agudo, indica-se uma dieta pobre em fibras (alta absorção) do início dos sintomas até 6 a 8 semanas?

A

Pois terá menos bolo fecal, com textura mais amolecida, evacuará menos vezes e a peristalse fica mais fraca → momento de repouso do cólon

How well did you know this?
1
Not at all
2
3
4
5
Perfectly
11
Q

O que caracteriza um paciente com diverticulite complicada?

A

Presença de abscesso, fístula, obstrução ou perfuração livre

A maior parte precisará de cirurgia

How well did you know this?
1
Not at all
2
3
4
5
Perfectly
12
Q

Quais as características de um paciente com diverticulite não complicada?

A

Inflamação pericólica na presença de divertículos sem quaisquer complicações de uma diverticulite complicada

How well did you know this?
1
Not at all
2
3
4
5
Perfectly
13
Q

Qual o tratamento para a diverticulite não complicada?

A
  • Se paciente afebril, sinais vitais estáveis, tolera dieta oral, sem evidência de imunossupressão ou comorbidades significativas ➞ ambulatorial, antibióticos (cobertura para bacilos Gram - e anaeróbios) e modificação da dieta
  • Se paciente não cumpre os critérios acima, ou têm peritonite significativamente preocupante no exame físico ➞ hospitalar, dieta zero, antibióticos IV e analgesia adequada

  • Pacientes com DNC normalmente respondem prontamente, melhora em 48h; se não, avaliar mais profundamente

How well did you know this?
1
Not at all
2
3
4
5
Perfectly
14
Q

Qual exame deve ser feito após a resolução de um episódio inicial de diverticulite aguda não complicada?

A

A colonoscopia deve ser realizada em 4 a 6 semanas após a resolução dos sintomas, para confirmar a presença de divertículos e excluir qualquer neoplasia ou outra doença do cólon

Colonoscopia necessita de um preparo laxativo; além disso, o cólon fica normalmente fechado e para a passagem da câmera, ar é insuflado
- Não se faz colonoscopia em quadro agudo ou em suspeita de perfuração; a perfuração muitas vezes está obstruída com fecalito ou abcesso, há um potencial de desobstruir e vazar shit pra cavidade

Após um 1o episódio de diverticulite aguda, indica-se avaliação endoscópica (por colonoscopia) em todos os pacientes sem colonoscopia recente (1 ano) após 6-8 semanas (exceto aqueles que passaram por abordagem cirúrgica)

How well did you know this?
1
Not at all
2
3
4
5
Perfectly
15
Q

Quando deve-se recomendar o tratamento cirúrgico a um paciente com diverticulite não complicada?

A

Deve ser individualizado, levando em conta a frequência e gravidade das recorrências, além da condição clínica geral do paciente suas comorbidades

33% dos pacientes terão recorrências ou continuarão a ter sintomas; apenas 1% dos pacientes com diverticulite n complicada necessitarão de cirurgia,

How well did you know this?
1
Not at all
2
3
4
5
Perfectly
16
Q

Qual o quadro clínico de um paciente com diverticulite complicada por um abscesso pélvico ou pericólico?

A

Dor abdominal, febre, leucocitose e íleo em decorrência de inflamação associada do intestino delgado

How well did you know this?
1
Not at all
2
3
4
5
Perfectly
17
Q

Do que depende e como é o tratamento de um paciente com diverticulite complicada por um abscesso pélvico ou pericólico?

A

Depende da aparência radiográfica, dimensões e relação anatômica com outros órgãos abdominais.

  • Abscessos pericólicos grandes (≥4 cm)drenagem percutânea guiada por TC ou ultrassonografia para reduzir a inflamação e evitar uma abordagem transabdominal por laparotomia
  • Abscessos menoresantibióticos e observação com repetição de imagem para assegurar a resolução completa; não são passíveis de drenagem

A falha da terapia com drenagem percutânea ou antibiótica deve originar tratamento cirúrgico mais urgente.

How well did you know this?
1
Not at all
2
3
4
5
Perfectly
18
Q

a) O que descreve a classificação de Hinchey?
b) Quais são seus estágios?
c) Qual o manejo terapêutico de cada um deles?

A

a) A gravidade da doença diverticular complicada por perfuração; é uma ferramenta adicional que pode ser usada para guiar o tratamento geral

b)
Estágio 0: Diverticulite leve, não complicada
Estágio Ia: Inflamação ou fleimão pericólicos confinados
Estágio Ib: Abscesso pericólico confinado
Estágio II: Abscesso pélvico, retroperitoneal ou intra abdominal distante
Estágio III: Peritonite purulenta generalizada
Estágio IV: Peritonite fecal generalizada

Obs: 0 e Ia não são complicadas, a partir de Ib é complicada

c)
Ib e II ➞ antibióticos, drenagem percutânea;
- Ressecção eletiva após um único episódio de diverticulite complicada: a técnica mais utilizada é a cirurgia de Hartmann, que acontece em 2 tempos. No 1º tempo, resseca-se o segmento envolvido pela diverticulite (no caso, cólon sigmóide) e que está causando a obstrução, fazendo uma colostomia no coto proximal terminal e um sepultamento do coto distal. Em um 2º tempo, retira-se a colostomia e realiza-se a anastomose entre os dois seguimentos.

III e IV ➞ emergências cirúrgicas, exploração cirúrgica imediata visto que os pacientes se apresentam com peritonite generalizada e potenciais sinais de sepse (febre, taquicardia, hipotensão) → lavagem da contaminação abdominal e ressecção do cólon doente
- TC abdominal pode revelar ar livre intraperitoneal (pneumoperitonio) e inflamação associada com segmento perfurado do cólon

Dada elevada morbidade associada com colectomia de emergência por diverticulite perfurada, para estágio III ➞ alternativa de lavagem laparoscópica (laparoscopia diagnóstica seguida de irrigação com soro aquecido para limpar a contaminação intra‐abdominal e colocação de drenos perto do segmento perfurado. Nem colectomia nem colostomia é realizada, e os pacientes são tratados com antibióticos perioperatórios. Eles também são monitorados de perto no pós‐operatório para assegurar que a peritonite está resolvida. Os pacientes que não melhoram são considerados para colectomia)
- Não é 100% comprovado e recomendado ainda

How well did you know this?
1
Not at all
2
3
4
5
Perfectly
19
Q

Quando a anastomose primária deixa de ser uma opção segura, considerando a classificação de Hinchey?

O que deve ser feito no lugar?

A

Se grosseiramente contaminado (Hinchey IV), a anastomose primária não é uma opção segura → procedimento de Hartmann: ressecção segmentar, colostomia terminal proximal e fechamento do coto retal.

How well did you know this?
1
Not at all
2
3
4
5
Perfectly
20
Q

Qual o local mais comum de fístula, uma complicação de diverticulites?

A

Bexiga

Vagina e intestino delgado também são locais possíveis

How well did you know this?
1
Not at all
2
3
4
5
Perfectly
21
Q

Como surge uma fístula, uma complicação de diverticulites?

A

Essa é uma complicação relativamente comum; a inflamação associada do cólon sigmoide causa aderências locais e depois comunicação com o intestino

22
Q

Qual a apresentação clínica de um paciente com diverticulite complicada por fístula colovesical?

A

Infecções do trato urinário recorrentes, pneumatúria ou fecalúria

23
Q

Qual é o exame que, se positivo, é patognomônico para um paciente com diverticulite complicada por fístula colovesical?

A

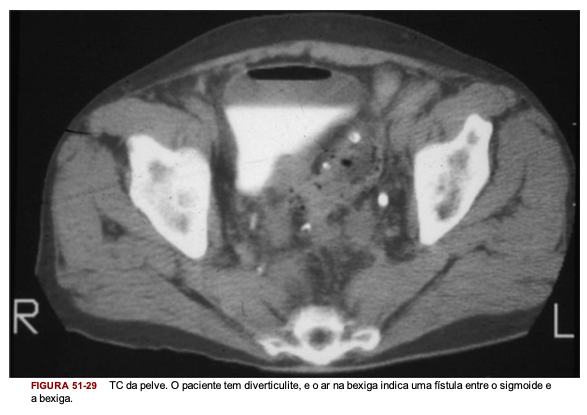
Evidência da TC de ar dentro de uma bexiga que não foi manipulada previamente

24
Q

Qual o tratamento para um paciente com diverticulite complicada por fístulas?

A
  • Antibióticos de amplo espectro para resolução da inflamação
  • Colectomia eletiva do trajeto da fístula (deve ser recomendada) + anastomose primária subsequente
    OBS: deve ser feita uma colonoscopia para examinar cólon afetado e excluir câncer da região ou Crohn)
25
a) Qual é a **complicação menos comum** de uma **diverticulite aguda**? b) Como é sua **fisiopatologia**? c) Qual o **tratamento**?
a) **Obstrução** b) Pode ocorrer pq há inflamação crônica, resultando num estreitamento do lúmen c) Colonoscopia, antibiótico e drenagem percutânea. Colectomia eletiva (deve ser recomendada).
26
Qual **risco aumentado** que um **paciente imunocomprometido ou transplantado com diverticulite** apresenta?
Apresentar doença recorrente e complicada ## Footnote Por isso seu limiar é menor para colectomia do sigmóide
27
Qual deve ser o **manejo terapêutico para um paciente imunocomprometido ou transplantado com diverticulite**?
Considerando que esse paciente possui uma capacidade diminuída de combater processos infecciosos, indica-se colectomia do sigmoide após um único ataque de diverticulite ## Footnote A colectomia profilática em pacientes pré‐transplante continua sendo controversa.
28
Como promover a **prevenção** de quadros de **diverticulites**?
* Cessar tabagismo, redução da ingestão de carne, atividade física e perda de peso * Mesalamina, rifaximina e probióticos normalmente não são recomendados para reduzir o risco de recorrência da diverticulite, mas podem ser eficazes na redução dos sintomas crônicos.
29
# SALA DE AULA - T8 Com relação ao **tratamento da diverticulite aguda** é correto: a) É sempre cirúrgico b) A cirurgia de urgência ocorre primariamente nos casos em que há complicações como sangramento não identificado, em pacientes estáveis c) Abscessos menores que 2cm devem ser sempre drenados d) Na crise, uma dieta pobre em fibras deve ser recomendada
**D - Uma dieta pobre em fibras acarreta uma menor formação de bolo fecal, reduzindo a distensão que causa a dor** * A diverticulite é cirúrgica apenas em casos de recorrência. * O sangramento geralmente ocorre pela própria fisiopatologia da doença, sendo que quando insere o colonoscópico, já parou de sangrar. * Não se deve drenar abscessos menores que 2 cm, mas sim administrar antibióticos. .
30
# SALA DE AULA - T8 Na **diverticulite aguda**, pacientes com classificação de **Hinchey grau** a) 1 apresentam abscesso pericólico localizado, tratados ambulatorialmente com ATB e analgésicos b) 2 necessitam de internação para realização de colonoscopia precoce para evitar complicações maiores c) 3 dificilmente necessitam de procedimento cirúrgico, e a laparoscopia sempre está contraindicada d) 4 necessitam de drenagem percutânea urgente, podendo ser guiada por ultrassonografia ou TC
**A - Os estágios de Hinchey I e II podem muitas vezes ser tratados com administração de antibióticos e drenagem percutânea, se tecnicamente exequível. Se isso for bem-sucedido e a inflamação se resolver, um problema urgente pode ser convertido em um eletivo, em que a colectomia pode ser realizada com uma anastomose primária.** - A avaliação pré-operatória com colonoscopia é fundamental. Os estágios de Hinchey III e IV em geral constituem emergências cirúrgicas que necessitam de exploração cirúrgica imediata, visto que os pacientes se apresentam com peritonite generalizada e potenciais sinais de sepse (febre, taquicardia, hipotensão).
31
# AULA - T8 Paciente com **suspeita de diverticulite aguda**. O **exame mais indicado** para se confirmar essa suspeita é: a) Enema opaco b) USG de abdome total c) TC de abdome d) Colonoscopia
**C** Considerando que diverticulite é uma perfuração do divertículo, não se pode realizar pressão no cólon, o que aconteceria no caso do enema opaco e da colonoscopia.
32
# AULA - T8 Sobre a **doença diverticular do intestino grosso**, é incorreto afirmar: a) A TC é o exame de eleição na avaliação de um paciente com diverticulite aguda b) A doença diverticular não é condição pré-neoplásica para o desenvolvimento de câncer colorretal c) A colonoscopia é importante para determinar a extensão do segmento a ser ressecado numa crise de diverticulite aguda d) Operação de Hartmann é uma ótima opção no manuseio de pacientes com peritonite diverticular com contaminação fecal (Hinchey IV)
**C** O objetivo da colonoscopia é descartar qualquer outro diagnóstico diferencial, sendo que não é realizada na crise, justamente pelas pressões estarem desbalanceadas. No contexto de um campo grosseiramente contaminado, a anastomose primária não é uma opção segura; assim, a estratégia adequada deve ser o procedimento de Hartmann: ressecção segmentar, colostomia terminal proximal e fechamento do coto retal.
33
Quanto à **diverticulite aguda**, é correto afirmar: a) Na maioria dos casos o tratamento é cirúrgico b) A colonoscopia é obrigatória após um surto de diverticulite c) Abscessos maiores de 4 cm deverão ser drenados por acesso percutâneo d) ATB não é obrigatória nos quadros de diverticulite aguda
**B e C** A colonoscopia após um surto serve para eliminar diagnósticos diferenciais. Os abscessos pericólicos grandes (≥4 cm) podem, muitas vezes, ser tratados com sucesso com drenagem percutânea guiada por TC ou ultrassonografia para reduzir a inflamação e evitar uma abordagem transabdominal por laparotomia. Abscessos menores, que usualmente não são passíveis de drenagem percutânea, podem ser tratados com uma combinação de antibióticos e observação com repetição de imagem para assegurar a resolução completa. A falha da terapia com drenagem percutânea ou antibiótica deve originar tratamento cirúrgico mais urgente.
34
# AULA - T8 Em pacientes com **diverticulite do sigmóide com múltiplos episódios de agudização**, a formação de **fístula mais comumente observada** é a do tipo colo: a) Entérica b) Vaginal c) Vesical d) Cólica
**C** A cúpula da bexiga é o local mais comum de fístulas, mas a vagina e o intestino delgado também são locais possíveis. Os pacientes com fístulas colovesicais apresentam-se frequentemente com infecções do trato urinário recorrentes.
35
Em um paciente com **suspeita de fístula entre o intestino e a bexiga** qual **melhor método** a ser utilizado para a confirmação do diagnóstico? a) Colonoscopia tendo em vista que pode diferenciar a causa da fístula b) Enteroscopia pois pode estudar toda a extensão do intestino c) Ressonância nuclear magnética devido à sua grande sensibilidade d) TC com contraste devido ao seu alto grau de confiabilidade
**D** Evidência na TC de ar dentro da bexiga que não foi manipulada é patognomônica para uma fístula colovesical.
36
# Aula T8 **Doença diverticular dos cólons** é uma condição comum na sociedade Ocidental e parece ser um infeliz produto da Revolução Industrial. Sobre isso, assinale a INCORRETA: a) Os divertículos afetam mais o cólon sigmóide seguidos pelo cólon descendente b) Em muitos casos, o diagnóstico de diverticulite pode ser presumido com razoável grau de confiabilidade por uma história e EF cuidadoso, e é razoável já começar ATB c) A obstrução intestinal associada à diverticulite ocorre principalmente por estenose do sigmóide devido à hipertrofia muscular da parede intestinal d) O USG de abdome oferece muitas vantagens comparadas à TC, inclusive a possibilidade de drenagem percutânea dos abscessos peridiverticulares
**D** USG não oferece vantagens em relação à TC. apesar de poder ser utilizado para drenagem percutânea.
37
# Aula - T8 A **moléstia diverticular dos cólons é uma doença de grande prevalência na população com idade acima dos 50 anos**. Sobre ela, podemos inferir que: a) Os divertículos colônicos são em sua quase totalidade divertículos verdadeiros b) Os divertículos hipertônicos geralmente apresentam sangramentos, quando complicados c) Os divertículos hipotônicos geralmente apresentam inflamação como complicação d) Uma diverticulite Hinchey IV tem conduta cirúrgica
**D** Os divertículos colônicos são também falsos. Os divertículos hipertônicos apresentam um óstio estreito, associando-se a inflamação em pacientes jovens enquanto os divertículos hipotônicos apresentam um óstio mais largo, com menor chance de diverticulite e maior chance de sangramento, ocorrendo principalmente em pacientes idosos e sendo os mais comuns.
38
# Aula - T8 Sobre **diverticulose e diverticulite aguda** dos cólons, assinale a correta: a) Até 40% dos portadores de divertículos colônicos permanecerão assintomáticos por toda a vida b) Mesmo os pacientes portadores de diverticulite não complicada deverão permanecer internados, devido à necessidade de suspensão completa da dieta e de soroterapia c) Pacientes com idade inferior a 40 anos deverão ter colectomia eletiva indicada após o primeiro episódio de diverticulite aguda, devido à alta incidência de recorrência e complicações d) Guidelines atuais recomendam colectomia eletiva após episódio único de diverticulite complicada
**D** Após uma crise complicada de diverticulite, a chance de recidiva é muito alta, portanto, os guidelines atuais recomendam realizar colectomia eletiva
39
# AULA - T8 Uma paciente de 67 anos de idade foi ao pronto-socorro com história de dor abdominal há 4d, associada a febre, sem vômitos. Antecedente pessoal inclui hipertensão, diabetes e sedentarismo. Ao EF: BEG, corado, desidratado +, boa perfusão periférica e abdome pouco doloroso em QIE. Os exames indicaram leucocitose 15.000 (N < 12.000) e PCR 20 mg/dL (< 0,5). Realizou uma TC, que evidenciou espessamento do sigmóide (divertículos) e borramento da gordura adjacente. Nessa situação hipotética, a melhor conduta será **[A]**. ~ ~ ~ ~ ~ ~ ~ ~ ~ ~ ~ ~ ~ ~ ~ ~ ~ ~ ~ ~ ~ ~ ~ ~ ~ ~ ~ ~ ~ ~ ~ ~ ~ ~ ~ ~ ~ ~ ~ Paciente retorna ao PS após 48h, pois teve piora da dor abdominal, além de febre 37,8ºC. EF: BEG, corado, desidratado +, eupneico, febril 38ºC. Abdome pouco distendido, doloroso em FIE e hipogástrio, DB?. A melhor conduta neste momento é **[B]** ~ ~ ~ ~ ~ ~ ~ ~ ~ ~ ~ ~ ~ ~ ~ ~ ~ ~ ~ ~ ~ ~ ~ ~ ~ ~ ~ ~ ~ ~ ~ ~ ~ ~ ~ ~ ~ ~ ~ A tomografia de abdome evidenciou abscesso pélvico de 8cm. Foi indicado drenagem do mesmo, com saída da secreção fecaloide. A conduta é **[C]**
**[A]**= **Antibioticoterapia e colonoscopia após 6 sem**, pois paciente é estável e possui menos de 70 anos, sem necessidade de internação **[B]**= **Troca de ATB e TC de abdome e pelve**, pois deve-se investigar com TC com contraste, pois pode haver alguma complicação, como um abscesso. Além disso, é necessário internar, trocar o antibiótico, com administração endovenosa e dieta zero. **[C]**= **Indicar cirurgia imediatamente**, pois na secreção fecalóide, perde fezes e pus para cavidade, sendo associada a uma peritonite difusa direto, o que é bem grave. Portanto, deve ser realizada a sigmoidectomia.
40
# Aula - T8 VPS, 58a, procura PS com quadro de dor na FIE há 72h, associado a febre de 37,5-38ºC. Há 24h, evoluiu com distensão abdominal, náuseas, vômitos e parada de eliminação de gases. Refere 3 episódios prévios de diverticulite não complicada. EF: REG, 106bpm, 19ipm, 110/70mmHg. Abdome distendido, timpânico, doloroso difusamente à palpação, DB-, com massa palpável em FIE, dolorosa. Foi solicitado RX de abdome, com o seguinte achado: Qual a conduta neste momento? a) Solicitar TC de abdomen e pelve b) Indicar cirurgia por abdome agudo obstrutivo c) Indicar colonoscopia descompressiva d) Iniciar antibioticoterapia oral para diverticulite
**A** A diverticulite é um abdome agudo inflamatório e não se deve indicar colonoscopia durante o quadro. Ainda não dá para confirmar a etiologia sem fazer a TC, por isso, não se inicia o antibiótico. O tratamento da diverticulite é feito com internação, dieta zero, antibiótico endovenoso e drenagem percutânea guiada por tomografia, enquanto o tratamento do quadro obstrutivo é realizado por meio da sonda nasogástrica para descompressão do intestino.
41
Sobre a **fisiopatologia da doença diverticular do cólon**, podemos afirmar: a) A dieta pobre em fibras contribui por estimular menores pressões para produção do bolo fecal b) É esperado uma redução da luz do cólon e hipertrofia da camada muscular c) Há aumento da luz do cólon por enfraquecimento da musculatura da parede e consequente formação dos divertículos d) Os divertículos são formados pelas camadas mucosa, submucosa e muscular circular da parede do cólon
**B**
42
A **doença diverticular dos cólons é uma condição associada à alteração de hábitos alimentares da população mundial ao longo dos tempos, com menor consumo de fibras na dieta**. Sobre esta doença, assinale a alternativa incorreta: A) A associação de ultrassonografia de abdome e sigmoidoscopia oferece vantagens na confirmação diagnóstica quando comparadas à tomografia computadorizada de abdome e pelve B) A obstrução intestinal associada à diverticulite ocorre principalmente por estenose do sigmóide devido à hipertrofia muscular da parede intestinal C) O diagnóstico de diverticulite deve ser considerado com uma história de dor na fossa ilíaca esquerda e peritonite localizada, mesmo sem sintomas prévios D) O cólon sigmóide é o segmento mais comumente acometido
**A**
43
No caso de um quadro de **diverticulite aguda, com dor típica em fossa ilíaca esquerda, febre e leucocitose**, qual **melhor exame** complementar para auxiliar no **diagnóstico diferencial e de complicações**? a) Colonoscopia ou sigmoidoscopia b) Enema opaco c) Tomografia computadorizada de abdome/pelve d) USG de abdome
**C**
44
Podemos dizer que a **fisiopatologia da diverticulite aguda** é devida a: a) Fechamento do óstio diverticular por restos alimentares contidos na fezes, como grãos. b) Inversão de um divertículo com sangramento e perfuração do mesmo c) Microperfuração de um divertículo levando a reação inflamatória d) Obstrução da luz do cólon com consequente reação inflamatória local
**C**
45
Considera-se como **diverticulite complicada**, exceto: a) Com inflamação pericólica e edema do mesocólon b) Com obstrução do cólon c) Com peritonite purulenta associada d) Com presença de abscesso menor que 2em
**A**
46
# Aula - T8 **É considerado para colectomia segmentar eletiva:** a) Paciente de 45 anos, com 3 episódios prévios de diverticulite não complicada b) Paciente 51 anos. imunossuprimido. após 1 episódio de diverticulite complicada ou não c) Paciente 70 anos, com diverticulite e peritonite purulenta d) Paciente 63 anos, com 2 episódios prévios e autolimitados de enterorragia por doença diverticular
**B**
47
É **indicada investigação por colonoscopia após um episódio de diverticulite aguda quando**: a) Após 4 a 6 semanas apenas nos casos de diverticulite complicada b) Em todos pacientes sem colonoscopia recente prévia c) Não for possível realizar enema opaco em 4 a 6 semanas d) Quando há sangramento associado, para confirmar o diagnóstico
**B**
48
Sobre o **tratamento da diverticulite aguda complicada, as alternativas abaixo estão corretas**, EXCETO: a) A colectomia deve ser indicada em pacientes Hinchey I ou II que não apresentam melhora em 48 horas após tratamento inicial b) A colectomia sem anastomose deve ser a técnica preferida na diverticulite Hinchey IV c) A lavagem laparoscópica pode ser utilizada em pacientes com abscessos e peritonite purulenta localizada d) Em pacientes Hinchey II, a drenagem percutânea deve ser recomendada caso não haja melhora apenas com tratamento antibiótico
**D**
49
# Aula - T8 **Sobre a doença diverticular do intestino grosso**, é incorreto afirmar: a) A colonoscopia é importante para determinar a extensão do segmento a ser ressecado numa crise de diverticulite aguda b) A doença diverticular não é condição pré neoplásica para o desenvolvimento de câncer colorretal c) A operação de Hartmann é uma ótima opção no manuseio de pacientes com peritonite diverticular com contaminação fecal d) Alguns pacientes portadores de diverticulite não complicada deverão permanecer internados. dependendo do estado clínico e peritonite ao exame físico
**A**
50
# TBL T10 Paciente com episódio inicial de diverticulite não complicada tendem a ter novos episódios complicados ou não complicados?
Também não complicados! Os episódios recorrentes de diverticulite costumam ter as mesmas características do primeiro Pacientes que já tiveram diverticulite tendem a ter novamente, quanto mais recorrência, mais recorrente vai ser