DPOC e CA - Rx e TC Flashcards

(7 cards)

1
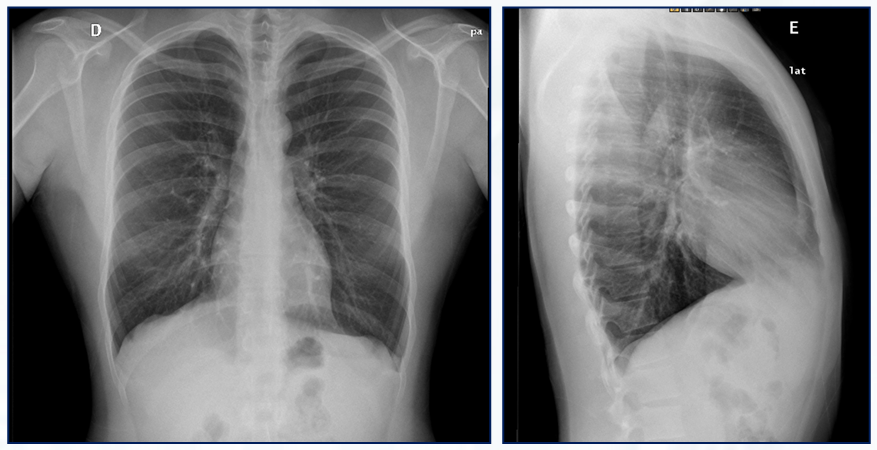
Q

Qual o achado desse Rx de tórax PA e perfil?

A

Hiperinsuflação pulmonar, frequente na DPOC.

  • Aumento do diâmetro AP do tórax
  • Retificação das cúpulas diafragmáticas
  • Aumento do espaço retroesternal
  • Aumento do espaço intercostal
  • > 10 costelas posteriores
  • Pulmões hipertransparentes
  • Horizontalização das costelas
  • Coração em “gota
How well did you know this?
1
Not at all
2
3
4
5
Perfectly
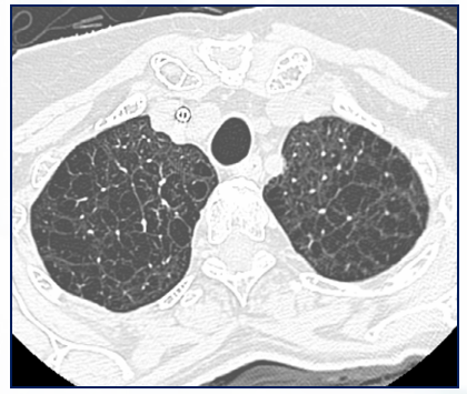
2
Q

Qual o achado dessa TC de tórax axial?

A

Destruição e desorganização do parênquima pulmonar, determinando focos de aprisionamento aéreo e redução da atenuação pulmonar (pulmão mais preto).

Enfisema pulmonar

Mais comum nos ápices e segmentos superiores dos pulmões.

How well did you know this?
1
Not at all
2
3
4
5
Perfectly
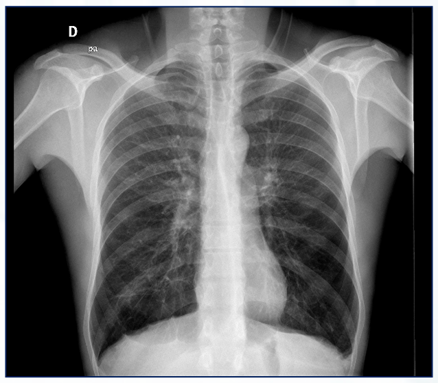
3
Q

Quais os achados do Rx de tórax PA e perfil?

A

Hiperinsuflação pulmonar em paciente com quadro de exacerbação aguda de asma.

Hiperinsuflação transitória, apresentando
melhora após o tratamento do quadro agudo.

How well did you know this?
1
Not at all
2
3
4
5
Perfectly
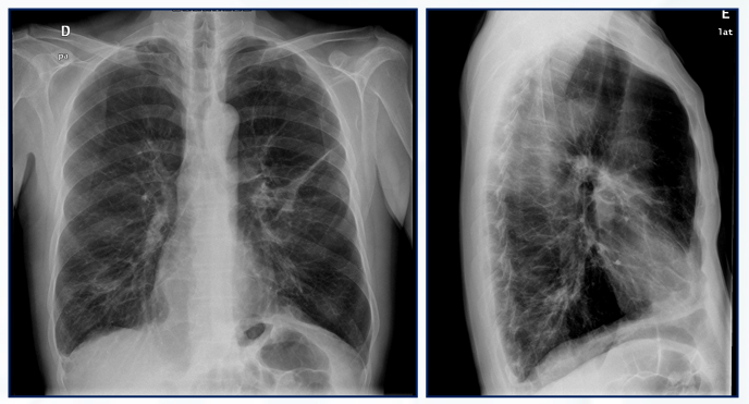
4
Q

Qual o achado dessa Rx de tórax PA?

A

Hiperinsuflação pulmonar nos segmentos inferiores dos pulmões em paciente com deficiência de alfa-1-antitripsina.

Achados são semelhantes aos da DPOC, no entanto, restritos às regiões pulmonares inferiores.

How well did you know this?
1
Not at all
2
3
4
5
Perfectly
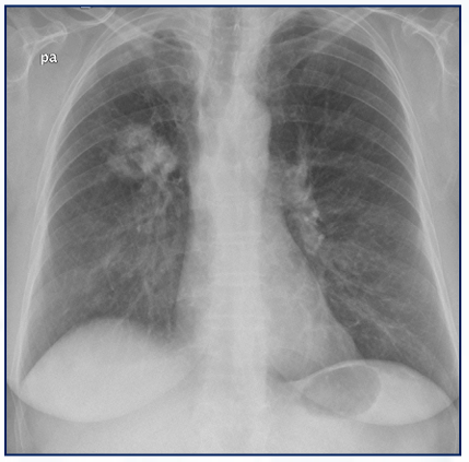
5
Q

Qual o achado dessa Rx tórax PA?

A

Nódulo pulmonar no terço superior do pulmão direito.

> 3 cm: massa pulmonar.

Conduta: complementar com TC de tórax.

How well did you know this?
1
Not at all
2
3
4
5
Perfectly
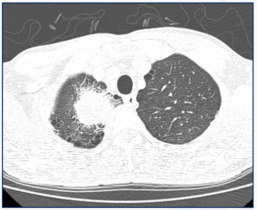
6
Q

Qual o achado dessa Tc de tórax?

A

Paciente com enfisema pulmonar e massa intrapulmonar no ápice direito, com áreas em vidro fosco perilesional.

How well did you know this?
1
Not at all
2
3
4
5
Perfectly
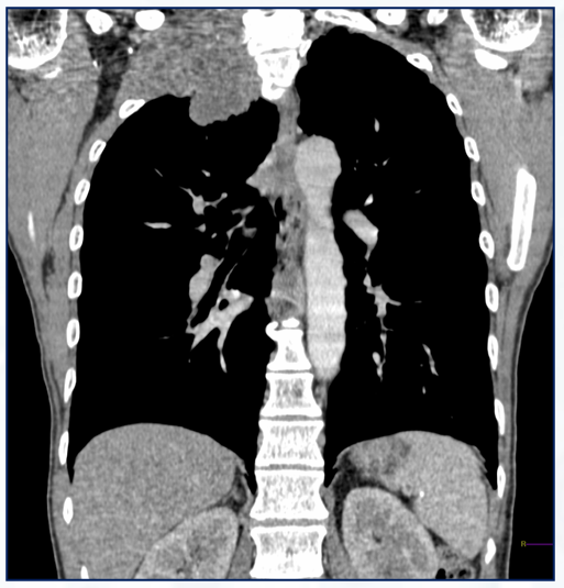
7
Q

Qual o achado dessa Tc de tórax coronal?

A

Volumosa lesão expansiva sólida, com realce heterogêneo pelo meio de contraste localizada no ápice pulmonar direito, com extensão para as partes moles adjacentes da região infraclavicular.

Tumor de Pancost, comumente tumor de células escamosas.

How well did you know this?
1
Not at all
2
3
4
5
Perfectly