dums ppt Flashcards

(63 cards)

1
Q

life span of a red blood cell

A

120 days

How well did you know this?
1
Not at all
2
3
4
5
Perfectly
2
Q

life span of a neutrophil

A

7-8 hours

How well did you know this?
1
Not at all
2
3
4
5
Perfectly
3
Q

life span of a platelet

A

7-10 days

How well did you know this?
1
Not at all
2
3
4
5
Perfectly
4
Q

function of neutrophils

A

acute inflammation

How well did you know this?
1
Not at all
2
3
4
5
Perfectly
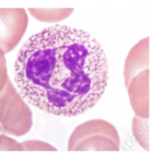
5
Q

what is this

A

neutrophil

How well did you know this?
1
Not at all
2
3
4
5
Perfectly
6
Q

what is this

A

eosinophils

How well did you know this?
1
Not at all
2
3
4
5
Perfectly
7
Q

function of eosinophils

A

allergy, parasites

How well did you know this?
1
Not at all
2
3
4
5
Perfectly
8
Q

what is this

A

basophil

How well did you know this?
1
Not at all
2
3
4
5
Perfectly
9
Q

function of basophils

A

IgE mediated reaction

How well did you know this?
1
Not at all
2
3
4
5
Perfectly
10
Q

what two types of stem cells does a blood stem cell produce

A

myeloid and lymphoid

How well did you know this?
1
Not at all
2
3
4
5
Perfectly
11
Q

what does a myeloid stem cell produce

A

-myeloblast
-erythrocyte
-megakaryocyte

How well did you know this?
1
Not at all
2
3
4
5
Perfectly
12
Q

what do myeloblasts produce

A

granulocytes
-basophil
-eosinophil
-neutrophil

How well did you know this?
1
Not at all
2
3
4
5
Perfectly
13
Q

what happens in hypoxia

A

Hypoxia sensed by the kidney, EPO produced by the kidneys, RBC production stimulated, EPO drops, repeat

How well did you know this?
1
Not at all
2
3
4
5
Perfectly
14
Q

what is the erythron

A

total mass of circulating RBC’s, their precursors and tissues that produce them

How well did you know this?
1
Not at all
2
3
4
5
Perfectly
15
Q

what does the spleen do

A

recycles old cells into iron, bilirubin and amino acids

How well did you know this?
1
Not at all
2
3
4
5
Perfectly
16
Q

what are the amino acids used for in erythropoiesis

A

to make globin

How well did you know this?
1
Not at all
2
3
4
5
Perfectly
17
Q

what does iron do in erythropoiesis

A

attached to heam

How well did you know this?
1
Not at all
2
3
4
5
Perfectly
18
Q

where is blood made in a foetus

A

-yolk sac til week 10
-liver from week 6
-spleen 3rd-7th month
-marrow starts week 16

How well did you know this?
1
Not at all
2
3
4
5
Perfectly
19
Q

where is blood made at birth

A

mostly bone marrow
-liver and spleen if needed

How well did you know this?
1
Not at all
2
3
4
5
Perfectly
20
Q

where is blood made in an adult

A

bone marrow in axial skeleton

How well did you know this?
1
Not at all
2
3
4
5
Perfectly
21
Q

what is the active form of marrow and why

A

red cause it contains blood stem cell whereas yellow is mostly fat

How well did you know this?
1
Not at all
2
3
4
5
Perfectly
22
Q

what is this

A

red pulp of spleen

How well did you know this?
1
Not at all
2
3
4
5
Perfectly
23
Q

what is this

A

white pulp of slpeenm

How well did you know this?
1
Not at all
2
3
4
5
Perfectly
24
Q

what is the red pulp in the spleen

A

-vascular sieve
-phagocytoses old RBC’s and breaks them into iron and bilirubin

How well did you know this?
1
Not at all
2
3
4
5
Perfectly
25
white pulp in the spleen
immunological -white cells
26
splenomegaly triad of symptoms
-dragging LUQ sensation -discomfort eating -pain
27
causes of increased spleen function
-haemolysis -infection (mono) -autoimmune disease -extramedullary haematopoiesis
28
cause of increased blood flow into the spleen
portal hypertension
29
causes of hyposplenism
-splenectomy -sickle cell disease -coeliac disease -sarcoidosis -iatrogenic
30
what would hyposplenism cause to be seen on a blood film and why
abnormal red cells -vascular sieve is lost
31
blood film after a splenectomy
howell-jolly bodies target cells
32
how long should someone avoid contact sport for after EBV infection
2 months -even if no splenomegaly
33
normal Hb
males >= 130 females >= 120
34
what is haemodilution
false anaemia caused by excess fluids
35
what does haematocrit measure
the proportion of RBCs in blood
36
if someone with anaemia doesn't respond to iron treatment, which type of anaemia do they most likely have
sideroblastic -as this type is an issue with attaching the iron to the haemoglobin not iron production
37
can you give someone who's coeliac and has anaemia iron treatment
no -because the issue is with iron absorption
38
where is iron absorbed
jejunum
39
what is seen on blood films in iron deficiency anaemia
-hypochromic cells (pale) -small rbcs -pencil poikilocytes -target cells
40
what happens when iron is reduced in iron deficiency anaemia
41
iron/ferritin - low transferrin - low transferrin sats - low/normal
anaemia of chronic disease
42
iron/ferritin - low transferrin - high transferrin sats - low
iron deficiency
43
iron/ferritin - high transferrin - high/normal transferrin sats - high
iron overload
44
why are rbcs big in megaloblastic anaemia
impairment of DNA -precursor cells fail to become smaller -red cells have DNA impairment so increase in apoptosis leading to anaemia
45
where is folate absorbed
duodenum and jejunum
46
examples of increased demand for folate
-pregnancy -haemolysis -malignancy -inflammatory disease
47
what drugs can cause folate deficiency
anti convulsants
48
what happens if you treat folate and B12 is low
will cause subacute degeneration of the spinal cord
49
where is B12 absorbed
terminal ileum
50
which drugs can cause B12 deficiency
PPI
51
when does IF bind to B12 and why
after the ampulla of Vater due to the change in pH brought about by pancreatic secretions
52
how can B12 deficiency cause neurological symptoms
because its involved in the production of the myelin sheath
53
what is the MCV in sickle cell anaemia
normal
54
is there reticulocytosis in sickle cell anaemia
yes
55
how long do sickle red blood cells live
10-12 days -patient is in chronic haemolysis
56
chronic sickle cell anaemia issues
-sequestration in liver/spleen -chronic haemolysis -hyposplenism due to repeated infarcts = increased infection risk
57
what is aplastic anaemia
immune system attacking haemopoietic stem cells in marrow
58
causes of pancytopenia: decreased production
-inherited -acquired 1 marrow failure -acquired 2 marrow failure
59
causes of pancytopenia: increased destruction
hypersplenism -slows transit of cells through spleen = more time to be broken down
60
what is compensated haemolysis
reticulocytosis and maintained Hb
61
what is decompensated haemolysis
present with signs, low Hb
62
what haemopoiesis for ALL
monoclonal
63
Auer rods
AML