E-module Microscopie Flashcards

(93 cards)

1
Q

Hoe groot is een eicel?

A

Ongeveer 0,15 mm

How well did you know this?
1
Not at all
2
3
4
5
Perfectly
2
Q

Hoe groot is een mitochondrion?

A

Ongeveer 1 micrometer

How well did you know this?
1
Not at all
2
3
4
5
Perfectly
3
Q

Hoe groot is een eiwit?

A

Gemiddeld 10/20 nanometer, maar hij kan tientallen nanometers groot zijn

How well did you know this?
1
Not at all
2
3
4
5
Perfectly
4
Q

Wat is de minimum grootte die het blote oog kan zien?

A

0,2 mm

How well did you know this?
1
Not at all
2
3
4
5
Perfectly
5
Q

Wat is de minimum grootte die je met een lichtmicroscoop kunt zien?

A

200 nanometer

How well did you know this?
1
Not at all
2
3
4
5
Perfectly
6
Q

Wat is de minimum grootte die je met een elektronen microscoop kunt zien?

A

0,2 nanometer

How well did you know this?
1
Not at all
2
3
4
5
Perfectly
7
Q

Wat houdt contrast in?

A

Contrast wil zeggen dat je een object kan zien omdat het een andere kleur heeft of een andere grijstint

How well did you know this?
1
Not at all
2
3
4
5
Perfectly
8
Q

Wat houdt resolutie in?

A

De resolutie, het oplossend vermogen van een microscoop, wordt gedefinieerd als de kleinste afstand waarmee twee punten nog net gescheiden worden weergegeven.

How well did you know this?
1
Not at all
2
3
4
5
Perfectly
9
Q

Wat is het verband tussen de resolutie en de golflengte in een lichtmicroscoop?

A

De resolutie wordt door de golflengte beperkt, want de resolutie kan niet groter zijn dan de helft van de golflengte van de deeltjes waar je naar kijkt, anders zie je ze niet als twee aparte dingen.

How well did you know this?
1
Not at all
2
3
4
5
Perfectly
10
Q

Noem 3 soorten lichtmicroscopie

A
  • Bright field microscopie
  • Fase contrast microscopie
  • Fluorescentie microscopie (+confocal laser scanning microscopie)
How well did you know this?
1
Not at all
2
3
4
5
Perfectly
11
Q

Noem 2 soorten elektronenmicroscopie

A
  • Scanning elektronen-microscopie
  • Transmissie elektronen-microscopie
How well did you know this?
1
Not at all
2
3
4
5
Perfectly
12
Q

Welke microscoop is standaard in een lab met levende cellen?

A

Fase contrast microscoop

How well did you know this?
1
Not at all
2
3
4
5
Perfectly
13
Q

Noem 2 voorbeelden van losse levende cellen die je op een glaasje kan doen

A

Bloedcellen en een uitstrijkje van slijmvliezen

How well did you know this?
1
Not at all
2
3
4
5
Perfectly
14
Q

Welke microscoop gebruik je voor gekweekte cellen en waarom?

A

Een fase contrast microscoop, omdat je met een bright field microscoop geen contrast ziet.

How well did you know this?
1
Not at all
2
3
4
5
Perfectly
15
Q

Hoe wordt het contrast gerealiseerd in een fase contrast microscoop?

A

Als er licht door een transparant object gaat dat onder de microscoop ligt, ontstaat er een faseverschil met het licht uit de omgeving. Een speciaal fase-plaatje tussen de condensor en het preparaat versterkt dit fase-verschil en zo wordt het contrast tussen het transparante object en de omgeving groter.

How well did you know this?
1
Not at all
2
3
4
5
Perfectly
16
Q

Wanneer spreek je van cellen in suspensie?

A

Wanneer de cellen los van elkaar zitten, bijv van een schraapsel van huid of slijmvlies

How well did you know this?
1
Not at all
2
3
4
5
Perfectly
17
Q

Wat is het fixeren van cellen?

A

Het doden van cellen en in het proces alle eiwitten aan elkaar vastzetten. Er ontstaan dan 2 covalente binden en crosslinks

How well did you know this?
1
Not at all
2
3
4
5
Perfectly
18
Q

Hoe fixeer je cellen?

A

Dat kan door de cellen onder te dompelen in alcohol, maar een betere optie is het chemisch fixeren van cellen. Je kunt het glaasje dan dompelen in een oplossing van formaldehyde

How well did you know this?
1
Not at all
2
3
4
5
Perfectly
19
Q

Wat gebeurt er als je cellen niet fixeert voor de kleuring?

A

Dan zouden de cellen uit elkaar vallen bij de kleuring, en met degene met een plasma membraan zou de kleuring niet in de cel kunnen komen

How well did you know this?
1
Not at all
2
3
4
5
Perfectly
20
Q

Hoe werkt het klaarmaken van een preparaat van een weefsel?

A

Als je een stukje weefsel hebt (bijv een biopt), dompel je het onder in formaldehyde zodat het fixeert en haal je daarna het water er uit d.m.v. alcohol. Vervolgens leg je het stukje in een inbedmedium, bijv parafine (kaarsvet), en laat je dat uitharden (inbedden). Dat blokje gaat in de microtoom die er hele dunne plakjes van maakt en die kun je op een glaasje leggen en bekijken onder een microscoop.

How well did you know this?
1
Not at all
2
3
4
5
Perfectly
21
Q

Wat is H&E kleuring en wat doet het?

A

H&E staat voor hematoxyline/ecosine en is dus een mengsel van 2 kleurstoffen. H bindt vooral aan cellen met nucleïnezuur (zure structuren dus) en laat heel goed de kernen zien. E bindt vooral aan basische structuren en kleurt het geheel roze.

How well did you know this?
1
Not at all
2
3
4
5
Perfectly
22
Q

Wat doet de kleuring AZAN?

A

AZAN bindt heel goed aan collageen, het meest voorkomende eiwit in ons lichaam

How well did you know this?
1
Not at all
2
3
4
5
Perfectly
23
Q

Wat is collageen?

A

Collageen is het materiaal tussen de cellen dat verbindt. De collageen zorgt voor de stevigheid in de extracellulaire matrix.

Bij een tumor zal het collageen verstoord zijn en kunnen de cellen er doorheen.

How well did you know this?
1
Not at all
2
3
4
5
Perfectly
24
Q

Wat doet de PAS-H kleuring?

A

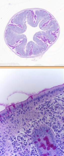
PAS-H bindt kleurstof aan suikermoleculen, en dus aan glycoproteïne. Het bindt ook goed aan slijmmoleculen.

How well did you know this?
1
Not at all
2
3
4
5
Perfectly
25
Hoe komt het dat niet elke cel op dit plaatje een celkern heeft?
Elke cel heeft wel een celkern, maar dit is een kwestie van interpretatie. Op de plek waar het plakje weefsel is gesneden lagen die celkernen niet, dus die liggen in een ander gedeelte van de cel die er afgesneden is.
26
Hoe produceer je polyklonale antilichamen?
Als je menselijk actine in een dier spuit zullen ze antilichamen aanmaken tegen de actine. B-cellen differentiëren in plasma B cellen en worden antilichamen en zo heeft het dier antilichamen gemaakt. Die antilichamen worden vervolgens weer onttrokken uit het dier.
27
Wat zijn monoklonale cellen?
Cellen die allemaal afkomstig zijn van 1 kloon, en dus allemaal identiek zijn
28
Hoe produceer je monoklonale antilichamen?
Je stelt een muis bloot aan het antigen van een tumor. De antilichaamproducerende B-cellen van de muis worden geïmmortaliseerd door fusie met myeloma cellen. Uit die fusie worden de juiste hybridoma's geselecteerd die het gewenste antilichaam produceren en worden gekloneerd. Uiteindelijk worden dan de monoklonale antilichamen verzameld.
29
Wat kan er aan een antilichaam worden gekoppeld en waarom?
Je kunt peroxidase (HRP), Fluorophore, en colloidaal goud aan een antilichaam binden zodat het gemarkeerd is en het opvalt als het ergens bindt in een cel.
30
Waarom moet je een cel lek maken voor immuun-histochemie?
Anders kan het antimolecuul de cel niet in
31
Hoe werkt immuun-histochemie?
Als je cellen op een glaasje hebt, maak je de membranen lek met een detergents. Je voegt er met enzym gelabelde antilichamen aan toe, die zich zullen binden met de actine in de cel. De overmaat spoel je weg. De antilichamen zorgen voor een reactie waar een chemisch reactieproduct uit ontstaat en neerslaat op de plek waar dus actine zit. Hierna kleur je t preparaat, dek je t af en leg je het onder een microscoop. Nu zie je alle plekken waar de antilichamen gebonden hebben.
32
Korte samenvatting immuun-histochemie:
Specifieke labelling van eiwitten met peroxidase gekoppelde antilichamen gevolgd door een peroxidase reactie \> precipitaat van gekleurd reactieproduct
33
Hoe werkt immuun-fluorescentie microscopie?
Als je cellen op een glaasje hebt, maak je de membranen lek met een detergents. Vervolgens label je de antigenen met fluorescent gemaakte antilichamen, spoel je de overmaat weg, en dek je het af en leg je het onder de microscoop.
34
Wat zijn de kleuren?
Blauw = kernen Rood = mitochondriën Groen = Actine filamenten
35
Wat zijn de kleuren?
Blauw = kernen Rood = astrocyten Groen = Zenuwcellen
36
Hoe volg je eiwitten in levende cellen?
Als je een Green Fluorescent Protein (GFP) gen met een tubuline-gen combineerd krijg je een DNA construct. Als je dat inbrengt in de cel gaat het in de kern zitten, wordt het afgelezen en produceert het een eiwit dat beide genen laat zien, en zo krijg je dus een fluorescent tubuline eiwit.
37
Waarom moeten de plakjes bij een elektronen microscoop super dun zijn?
Omdat je zo heel duidelijk verschillende onderdelen van een cel kan zien omdat er dan niet meerdere lagen over elkaar heen liggen.
38
Wat is het verschil tussen het maken van een preparaat voor lichtmicroscopie en voor elektronenmicroscopie?
Bij elektronenmicroscopie maak je voor het aanbrengen van het contrast gebruik van een zoutoplossing van een zwaar metaal.
39
Wat zie je hier?
Transmissie EM van een dunne coupe van een cel gelabeld met colloïdaal goud
40
Wat gebeurt er als je de apertuur van het diafragma verkleint tot de kleinste diameter?
Als je de diameter van het diafragma verkleint komt er minder licht door de condensor lens, waardoor overal minder licht doorheen komt en het beeld minder fel wordt. Het contrast wordt daarentegen wel hoger.
41
Waarom genereert een bright field microscoop een gekleurd beeld en een elektronen microscoop niet?
Omdat bij een BR microscoop lichet gebruikt wordt, wat bestaat uit verschillende golflengtes en dus verschillende kleuren. Elektronen hebben geen kleur, omdat de golflengte te klein is om enige kleur te genereren.
42
Hoe groot is een proteïne?
Ongeveer 1-20 nm
43
Hoe groot is een plasma membraan?
Ongeveer 7 nm
44
Hoe groot is een ribosoom?
Ongeveer 20 nm
45
Hoe groot is een nucleus?
Ongeveer 5 μm
46
Hoe groot is een nucleolus?
Ongeveer 2 μm
47
Hoe groot is een cel?
Ongeveer 20 μm
48
Wat is een ‘fixation artefact’
Er is dan een fout gemaakt tijdens het fixeren van het preparaat. Hier zie je dat de villi zijn gedegradeerd door de aanwezigheid van enzymen en dus is het niet juist gefixeerd.
49
Wat is een ‘chemical treatment artifact’?
Er is dan een fout gemaakt met de chemische componenten tijdens het maken van het preparaat. In dit voorbeeld is het epithelium gekrompen en zijn er veel te grote witte ruimtes ontstaan die niet normaal zijn.
50
Wat is een ‘sectioning artefact’
Er is dan iets mis gegaan tijdens het maken van een coupe van het preparaat. In dit voorbeeld zie je een verticale lijn waar het preparaat verstoord lijkt.
51
Wat is een ‘color artefact’?
Er is dan iets misgegaan met de kleuring van het preparaat. In dit geval zou de binnenkant van de trachea bleek blauw moeten zijn, maar door wat vlekken van de AZAN kleuring zijn er rode puntjes ontstaan.
52
Wat is een ‘placement artefact’
Er is dan iets misgegaan met de plaatsing op het glaasje. In het voorbeeld zie je dat bij de donkere blauwe lijnen het weefsel een beetje over elkaar heen is gevouwen.
53
Wat is de volgorde van het maken van een preparaat?
* Isolatie van het materiaal * Fixeren * Inbedden in parafine * Snijden met een microtoom * Op een glaasje plaatsen * Contrast aanbrengen * Dekglaasje erop plaatsen * Interpreteren * Archiveren
54
Wat zie je bij A, C en D?
A = oculair C = lichtknopje D = Lamp
55
Wat zie je bij E, F en G?
E = diafragma F = objecttafel G = Preparaatklemmen
56
Wat zie je bij H, I en J?
H = objectief I = condensor schroef J = grove en fijne focuseerknop
57
Hoe groot is een zenuwcel?
Het cellichaam is slechts enkele micrometer groot, maar de axon kan variëren van een milimeter tot een meter of meer
58
59
Wat zou er gebeuren als je de opening van het diafragma zou verkleinen tot de kleinste diameter?
Er komt dan minder licht door de condensor heen, waardoor het plaatje donkerder wordt. Het verhoogt echter wel het contrast.
60
Wat voor soort plaatjes maken electronen microscopen?
Zwart-wit plaatjes
61
Wat is het verschil tussen een transmission electron microscoop (TEM) en een scanning electron microscoop (SEM)?
Een transmission electron microscoop laat een plaatje zien van de binnenkant van de sectie, waar een scanning electron microscoop de oppervlakte van een sectie laat zien.
62
Met welke microscoop is dit plaatje gemaakt?
Een transmission electron microscoop
63
Met welke microscoop is dit plaatje gemaakt?
Een scanning electron microscoop
64
Met welke microscoop is dit plaatje gemaakt?
Met een fluorescentie microscoop
65
Met welke microscoop is dit plaatje gemaakt?
Met een fase contrast microscoop
66
Met welke microscoop is dit plaatje gemaakt?
Met een bright field microscoop
67
68
Waarom produceert een bright field microscoop een gekleurd beeld en een electron microscoop niet?
Bij een bright field microscoop wordt gebruik gemaakt van licht. Licht bestaat uit verschillende golflengte van fotonen, waardoor sommige golflengtes worden opgenomen door het oppervlak en andere worden gereflecteerd. Hierdoor zie je kleur. Bij een electron microscoop wordt gebruik gemaakt van electronen, waarvan de golflengte veel te klein is om kleur te genereren.
69
70
Met welke microscoop is dit plaatje gemaakt?
Een bright field microscoop
71
Met welke microscoop is dit plaatje gemaakt?
Een transmission electron microscoop
72
Wat is het gevolg van het fixeren of bevriezen van preparaten?
Hierdoor gaan de cellen dood
73
Wat zou er gebeuren als je de preparaten zou snijden voordat je ze zou fixeren?
Het weefsel zou snel bederven en afbreken
74
Wat is het voordeel van electronen microscopie t.o.v. licht microscopie, wat betreft de organellen?
Je kunt met electronen microscopie veel meer detail zien.
75
Welke structuur in een cel kun je het best gebruiken als referentiepunt om de grootte van andere structuren te schatten?
Ribosoom
76
Welke dingen gelden voor bright field microscopie en welke voor elektronen microscopie?
77
Wat is immunohistochemie?
Een type histologische kleuring waarbij een antilichaam bindt met een antigenen op of in een weefsel. Het gedeelte van het antigeen dat gebonden is aan het antilichaam heet het epitoop.
78
Wat is direct labelling?
Er wordt slechts één antilichaam gebruikt om aan het antigeen te binden en de plaats ervan aan te geven
79
Wat is indirect labelling?
Er worden twee antilichamen gebruikt: - Een primair antilichaam, dat het antigeen bindt - Een secundair antilichaam, dat het primaire antilichaam bindt en de locatie ervan aangeeft
80
Wat is het voordeel van indirect labelling?
Hierdoor wordt het signaal versterkt, aangezien meerdere secundaire antilichamen aan het primaire antilichaam kunnen binden. Het duurt echter wel langer.
81
Hoe werkt immunoperoxidase labelling?
82
Hoe werkt immunogold labelling?
Bij deze kleuring zitten er gouddeeltjes aan de antilichamen (zowel primair als secundair). Dit kan alleen bij electronen microscopie omdat het hele dunne plakjes vereist.
83
Waarom kun je met een licht microscoop geen immunogold labelling zien?
De resolutie van de licht microscoop is niet goed genoeg
84
Hoe werkt het gebruik van synthetische analogen (specifiek bromodeoxyuridine)?
85
Wat is in situ hybridization?
86
Welke labelling hoort bij welk plaatje? Kies uit: - Directe immunofluorescentie - Indirecte immunofluorescentie - Immunogold labelling - Immunoperoxidase - In situ hybridization - Gebruik van synthetische analogen
87
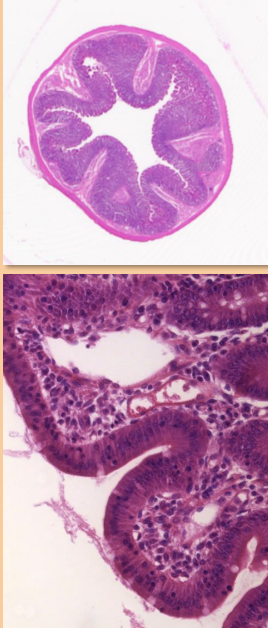
Bright field microscopie, H&E kleuring
88
Waar wordt Gram kleuring voor gebruikt?
Onderscheid maken tussen soorten bacteriën
89
Een patholoog heeft een massa aangetroffen waarvan zij vermoedt dat het een neoplasie (kanker) is. Het tumorsuppressor eiwit p53, gecodeerd door het p53-gen, komt vaak sterk tot expressie in kankercellen. Welke methode is het best geschikt om te kijken of p53 overexpressed is?
Immunohistochemie
90
Bright field microscopie, zonder kleuring
91
Fase contrast microscopie
92
Fluorescente kleuringen, want daarmee kun je mitochondria lokaliseren en tracken
93
Transmission electronen microscopie, omdat je daarmee de meeste informatie krijgt over de ultrastructurele inhoud van de cel.