1

Normal ear
Tympanic membrane is thin and semi-transparent. It has a pearly grey appearance and often some structures within the middle ear.
2

Wax or cerumen
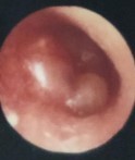
3

Acute otitis media with effusion
4

Acute middle ear infection with effusion
5

Acute otitis media with no obvious landmarks
6

Serous (secretary) otitis media
7

Fluid behind the ear drum
8

Resolution of middle ear effusion
9

Serous otitis media
10

Tympanosclerosis
11

Central perforation of the ear drum
12

Grommet (tympanostomy tube)