What is the Pathogen causes glandular fever?
-Epstein-Barr virus (EBV)- human herpes virus (majority cases)
What groups of people are most commonly affected?
Adolescents and children (mainly)
What is the incubation period for EBV?
Incubation period= 4-8 weeks
What symptoms may present if a patient has EBV?
Few symptoms. If any:
Mild fever/fatigue
Sore throat
Upper lid oedema
Nausea
Cough/photophobia
What investigations might you carry out to diagnose an EBV infection?
Investigation:
How is an EBV virus infection treated?
SUPPORTIVE: Avoid alcohol, Analgesia, Avoid contact sports (splenic rupture)
ANTIBIOTIC: Acyclovir
What are the possible complications due to an EBV infection?
Haemolytic Anaemia
Upper airway obstruction
Splenic rupture (rare)
Gastric lymphoma
What is the prognosis for an EBV virus infection?
What is the structure of the EBV virus?
Enveloped, dsDNA

What is the mechanism of action of the EBV virus?
Infects B cells, causes T cell proliferation
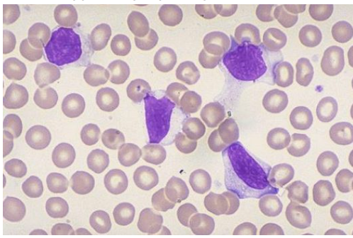
What diagnosis could be made by looking at this image?

EBV as- ATYPICAL lymphocytes