E.C Flashcards

(17 cards)

1
Q

Citer les E.C à effectuer:

A
  • électrocardiogramme
  • radiographie thoracique
  • Echocardiographie Doppler TT
  • biologie
  • +- coronographie ou coro-scanner
  • +- IRM cardiaque
How well did you know this?
1
Not at all
2
3
4
5
Perfectly
2
Q

Electrocardiogramme: résultats possibles

A

. tachycardie sinusale, ou

. FA

. étiologie de l’insuffisance cardiaque -> séquelle d’HVG

. HVG (sokolov supérieur ou égal à 35 mV) ou

. HVD

How well did you know this?
1
Not at all
2
3
4
5
Perfectly
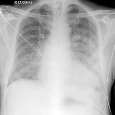
3
Q

Radiographie thoracique: en retard sur la clinique

A

. cardiomégalie (augmentation du rapport cardia-thoracique)

. permet de juger du degré d’élévation des pressions gauches

. redistribution vasculaire au sommet/ oedème interstitielle (ligne de Kerley)/ oedème alvéolaire/ épanchement pleural (plus souvent à droite)

How well did you know this?
1
Not at all
2
3
4
5
Perfectly
4
Q

Radiographie thoracique: signes en faveur d’un OAP

A

. Épaississement de la trame vasculaire

. Redistribution vers les sommets avec lignes de Kerley (syndrome interstitiel)

. Œdème alvéolo-interstitiel

. Opacité floconneuses, mal limitées, bilatérales et symétriques, prédominant aux hiles (en ailes de papillon)

. Adénopathies hilaires et médiastinales

. Épanchement pleural

. Cardiomégalie

How well did you know this?
1
Not at all
2
3
4
5
Perfectly
5
Q

Echocardiographie Doppler TT: but diagnostique

A
  • but diagnostique est de calculer la FEVG

. une insuffisance cardiaque à FEVG altéré < 40%, ou

. insuffisance cardiaque à fonction systolique (FEVG) préservée

How well did you know this?
1
Not at all
2
3
4
5
Perfectly
6
Q

Echocardiographie Doppler TT: but étiologique

A

Visualisation de:

. anomalies de la cinétique segmentaire (ischémie) du VG

. valvulopathie mitrale ou aortique
- HVG

How well did you know this?
1
Not at all
2
3
4
5
Perfectly
7
Q

Echocardiographie Doppler TT: but pronostique et complications

A

. importance de visualiser le remodelage ventriculaire: hypertrophie ou dilatation

. thrombus intracavitaires

How well did you know this?
1
Not at all
2
3
4
5
Perfectly
8
Q

Biologie: NFS

A
  • NFS-pq: anémie -> facteur aggravant
How well did you know this?
1
Not at all
2
3
4
5
Perfectly
9
Q

Biologie: fonction rénale

A
  • I. rénale fonctionnelle
How well did you know this?
1
Not at all
2
3
4
5
Perfectly
10
Q

Biologie: iono sanguin

A

. hyponatrémie avec hyponatriurie -> K+ pour le suivi

How well did you know this?
1
Not at all
2
3
4
5
Perfectly
11
Q

Biologie: Bilan hépatique complet

A
  • foie cardiaque
How well did you know this?
1
Not at all
2
3
4
5
Perfectly
12
Q

Biologie: glycémie à jeun, uricémie, volume globulaire moyen

A
  • alcool chronique
How well did you know this?
1
Not at all
2
3
4
5
Perfectly
13
Q

Biologie: troponine tc ou CPK

A
  • selon le contexte
How well did you know this?
1
Not at all
2
3
4
5
Perfectly
14
Q

Biologie: BU, TSH, Sérologie VIH

A
  • BU -> glycosurie, protéinurie
  • TSH
  • sérologie -> HIV 1-2 si jeune
How well did you know this?
1
Not at all
2
3
4
5
Perfectly
15
Q

Biologie: coefficient de saturation de la transférrine, férritinémie

A
  • hémochromatose
How well did you know this?
1
Not at all
2
3
4
5
Perfectly
16
Q

Coronographie ou coro-scanner:

A
  • selon les FDRCV
17
Q

IRM cardiaque:

A
  • cas particuliers