Echo Flashcards

(61 cards)

1
Q

PLAX

A

Septum and posterior wall in true end diastole
LVOT in mid systole
Pathologies: MV prolapse, MR jet direction, MR vena contracta, AR vena contracta, pericardial effusion, pleural effusion

How well did you know this?
1
Not at all
2
3
4
5
Perfectly
2
Q

LV Linear measurements

A

LVIDD
LVIDS
Septal thickness
Posterior wall thickness

LVEDV index
LVESV index
LV mass index

How well did you know this?
1
Not at all
2
3
4
5
Perfectly
3
Q

LV linear: LVIDD and LVIDS measurements (internal dimension diastole and systole)

A

LVIDD
-when: end diastole-after mitral valve closure (largest LV)
-where: at or below MV leaflet tips
-inner edge to inner edge, perpendicular to long axis

LVIDS
-when: end systole-after AV closure (smallest LV)
-where: at or below MV leaflet tips
-inner edge to inner edge, perpendicular to long axis

Interventricular septum
-when: end diastole-after mitral valve closure (largest LV)

Posterior wall
-when: end diastole-after mitral valve closure (largest LV)

How well did you know this?
1
Not at all
2
3
4
5
Perfectly
4
Q

LV mass and RWT

A

Formula with LVID, IVS, PW Diastole:
LV mass = 0.8x (1.04x [(IVS+LVID+PWT)3-LVID3] + 0.6 grams

Relative wall thickness (RWT)
Ratio of the left ventricular (LV) wall thickness to its internal cavity size, typically calculated as 2x posterior wall thickness (PWT) divided by the LV end-diastolic diameter (LVEDd)

How well did you know this?
1
Not at all
2
3
4
5
Perfectly
5
Q

LV EF by volume

A

Simpsons BIPLANE method

4 chamber view
-systole and diastole
-do not include papillary or trabeculations

2 chamber view
-systole and diastole

LVEF = LVEDV – LVESV / LVEDV

How well did you know this?
1
Not at all
2
3
4
5
Perfectly
6
Q

LV size and function-normal

A
How well did you know this?
1
Not at all
2
3
4
5
Perfectly
7
Q

LA linear dimension

A
How well did you know this?
1
Not at all
2
3
4
5
Perfectly
8
Q

LA measurement

A

PLAX
When: end systole (atrium is largest)
Where: midpoint of sinus of valsalva

Biplane
When: end systole in 4C and 2C views
Where: level of mitral annulus
Adjusted for BSA
Measure perpendicular to annular plane, mid plane of mitral annulus to midpoint or superior wall, do not include LAA/PV

How well did you know this?
1
Not at all
2
3
4
5
Perfectly
9
Q

LA normal

A
How well did you know this?
1
Not at all
2
3
4
5
Perfectly
10
Q

RV chamber quant

A

Abnormal cutoffs
Base RV >41mm
Mid RV >35mm
Prox RVOT PSAX >35mm
Distal RVOT PSAX >27mm

How well did you know this?
1
Not at all
2
3
4
5
Perfectly
11
Q

PLAX RV inflow

A
How well did you know this?
1
Not at all
2
3
4
5
Perfectly
12
Q

PLAX RV outflow

A
How well did you know this?
1
Not at all
2
3
4
5
Perfectly
13
Q

Fat pad

A

Echogenic pericardium that moves with ventricle during systole

How well did you know this?
1
Not at all
2
3
4
5
Perfectly
14
Q

PSAX

A
How well did you know this?
1
Not at all
2
3
4
5
Perfectly
15
Q

PSAX aortic valve level

A

Measurement: PW and CW across TV and PV
Aortic valve assessment

How well did you know this?
1
Not at all
2
3
4
5
Perfectly
16
Q

PSAX mitral valve level

A
How well did you know this?
1
Not at all
2
3
4
5
Perfectly
17
Q

PSAX mid ventricle level

A
How well did you know this?
1
Not at all
2
3
4
5
Perfectly
18
Q

PSAX LV apex

A
How well did you know this?
1
Not at all
2
3
4
5
Perfectly
19
Q

Aorta anatomy

A

end-diastole for the root, sinuses of Valsalva, and the ascending aorta

mid-systole for the aortic annulus and left ventricular outflow tract (LVOT)

How well did you know this?
1
Not at all
2
3
4
5
Perfectly
20
Q

Aortic root interpretation

A
How well did you know this?
1
Not at all
2
3
4
5
Perfectly
21
Q

LA chamber quant: volumetric

A

When: end systole
View: Apical 4C and apical 2C

Length measured from midpoint annulus to midpoint of wall
Dont include LAA or pulm veins or papillary

How well did you know this?
1
Not at all
2
3
4
5
Perfectly
22
Q

Sclerosis vs calcification

A

Sclerosis: valve thickening without stenosis. Common findings are LVH, HTN, murmur.

Calcification: later stage and associated with AS

How well did you know this?
1
Not at all
2
3
4
5
Perfectly
23
Q

TR peak velocity

A

CW through TR

How well did you know this?
1
Not at all
2
3
4
5
Perfectly
24
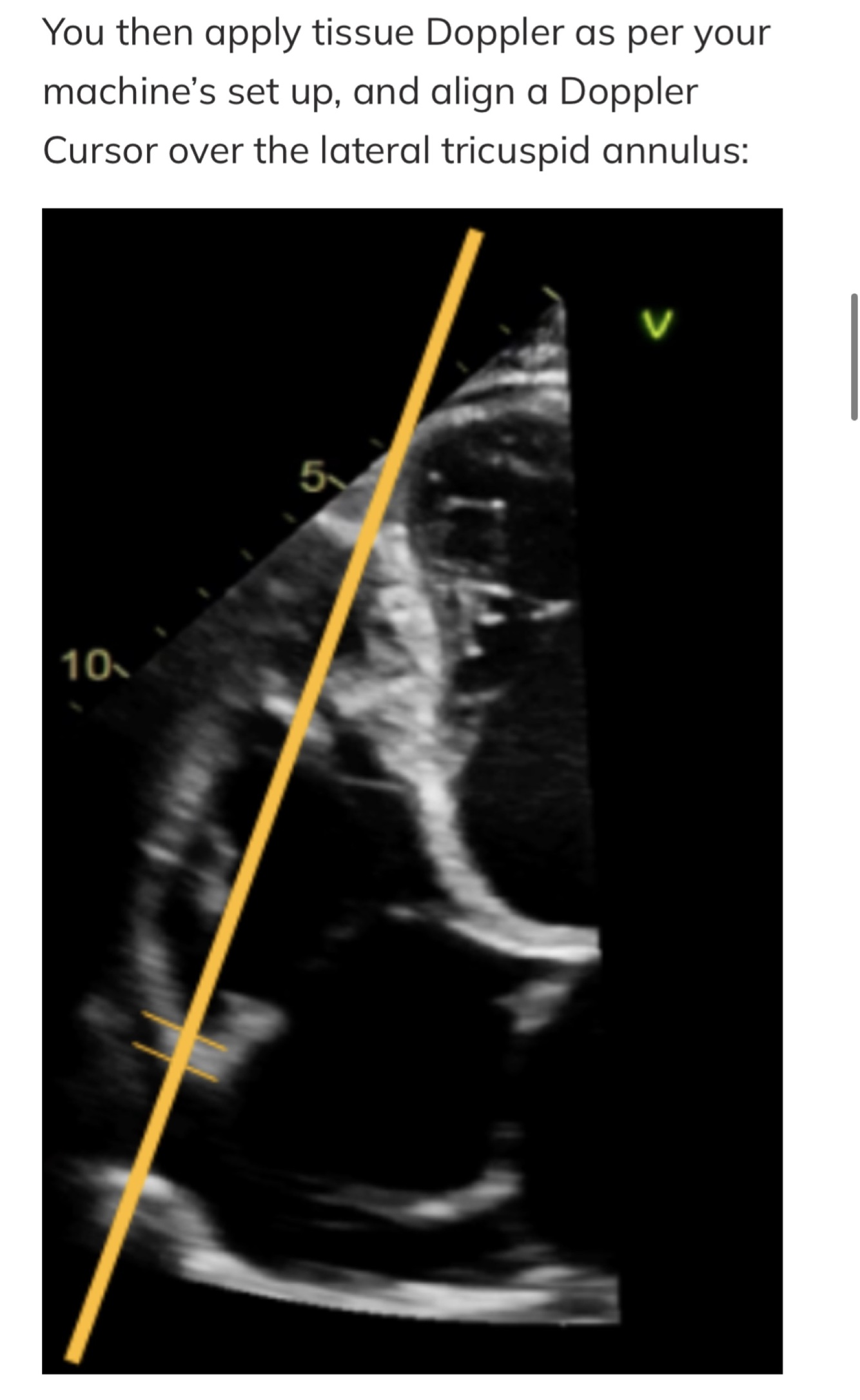
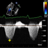
Q

RV function index: s’

A

Lateral tricuspid annulus peak systolic velocity

Correlates with RV EF and RV dysfunction

Normal: S’ > 10cm/sec

Cons: angle dependent, longitudinal measurement

How well did you know this?
1
Not at all
2
3
4
5
Perfectly
25
RV function index: TAPSE
Tricuspid annular plane systolic excursion Correlates with RV EF 4 chamber view with RV focus and m-mode through tricuspid annulus Normal: TAPSE > 1.7cm Cons: angle dependent, longitudinal measurement
26
RVSP or PASP estimate by echo
Simplified Bernouli Equation: RVSP = 4(V)² + RAP Systolic Pulmonary Artery Pressure (SPAP) = RVSP (In the absence of RVOT obstruction) RVSP ≥ 40 mmHg + Dyspnea = PHTN Present: Further Evaluation Recommended
27
LVOT VTI
Normal 18-22 cm
28
LVOT diameter
29
AR: Pressure half time (PHT)
Time for inital max pressure gradient across AV to fall by 50% (milliseconds) CW of PW across AV in apical view and measure slope Mild AR: gradual drop in pressure Severe AR: rapid drop in pressure (steep)
30
Determining orifice area: PISA
Proximal isoveloxity surface area
31
Determining orifice area: Pressure half time (PHT)
Smaller orifice takes longer for pressure gradient to be halved PHT = time for max velocity to decline to 0.7 (70% of deceleration time) MV area = 220 / PHT
32
LV biplane measurement
Straight line at MV level-height from midpoint Do NOT include papillary muscles or trabelculations No forshortening LV length perpendicular to base
33
Quantifying MR: PISA
Flow convergence: Flow through orifice = flow through isovelocity surface Color Doppler, shift color baseline down to 20-40cm/sec, measure radius of aliasing CW Doppler through MR and measure VTI MR velocity Use radius to obtain Rflow Use Rflow to obtain EROA use EROA and VTI to obtain RVol
34
Quantifying MR: Stroke volume method
Pulsed save doppler
35
Quantifying MR: volumetric method
36
MR measurable variables
EROA (effective regurgitate orifice area) Measure lesion severity RVol (regurgitant volume) Measure severity of volume overload RF (regurgitant fraction) Ratio RVol / forward SV specific to patient
37
Vena contracta
38
Chronic MR severity algorithm
39
LV segmentation
40
Echo bubble study
Indications: shunt (PFO, ASD, pulm), persistent L SVC, intensifying TR signal (for RVSP estimation), delineating R heart borders/masses, improving imaging of pulm trunk Negative study: no bubbles at L heart Positive study: bubbles at L heart after bubbles at R heart Valsalva opens PFO
41
Stress echo: indications
CAD Cardiogenic dyspnea Pulm HTN MV disease AS HCM
42
Stress echo: format
Stress to achieve target HR: Exercise vs pharm (dobutamine Target HR: 85% of max preficted HR (220-age) Exercise - Protocol=Bruce - Echo images at rest and immediately after exercise Pharm - Echo images at rest and each stage of dobutamine infusion In report include: - Bruce protocol time (min) - % functional aerobic capacity (FAC) - METS - Test terminated Dobutamine stress with atropine—>risk of atropine poisoning (confusion, blurriness)
43
Stress echo: interpretation
Normal Increased EF Decreased LVESV Abnormal Decreased EF Increased LVESV Include in report - LV size (cavity smaller) - EF response (increase) - Segment analysis (none)
44
Stress ecg
-Symptoms-chest pain, dyspnea, leg fatigue -Exercise performance-max HR, test duration, rate pressure product -HR response 85% max target HR -BP must >140mmhg. Drop in BP c/f CAD or CM -ISCHEMIA: ST segment-horizontal or downsloping depression is hallmark of ischemia. 60-80ms after J point
45
Walk motion scoring
46
Global longitudinal strain
Ddx: amyloid, Fabry, sarcoid, hypertrophic cardiomyopathy Definition: change in length is measured to assess LV systolic function. Assessed by speckle tracking in A4C, A2c and PLAX Strain(%)=(Lt–Lo)/Lo Lt is the length at time t, Lo is the length at time 0 Peak GLS is between end diastole and end systole. Normal peak GLS -20%. Lower absolute %, the more abnormal
47
LV systolic function assessment
Doppler method: ED= (EDV-ESV)/EDV SV=VTI LVOT x Area LVOT Volumetric method: Simpsons biplane Normal volume 60-120mL
48
LV contractility assessment
LV contractility = dP/dT = 32/T Normal > 1200 mmhg/sec May see delayed upstroke in MR CW Doppler envelope
49
Echo technique
Res button for better images Sector width Depth Zoom Doppler-change scale then baseline Freeze and then acquire Measure button to get VTI Color Doppler, PW, CW Cannot delete images Subcostal views-flat position, subcostak chamber from above belly button Parasternal views-turn on right side with left arm up PLAX Zoom out, Color over valves,Zoom over valves. PLAX-RV inflow and outflow Color and CW over TV PLAX Dedicated aorta/mid ascending PSAX-AV level Zoom AV, color AV Color and CW over TV and PV PW RVOT (before PV) PSAX-LV views (MV, pap, apex) A4C LV Color and CW MV and TV A2C-color A3C-color and CW AV (AV grad/vel) CW over regurgitant A4C RV M mode lat TV annulus for TAPSE Tissue doppler PW lat TV annulus (s’ is pos and after qrs) Tissue doppler PW septal MV annulus (e’ is neg and after t wave) Tissue doppler PW lat MV annulus (e’ is neg and after t wave) MV inflow-PW or CW after MV E wave after t wave (peak vel) A wave after p wave (peak vel) A5C PW before AV for LVOT measurements CW for regurg eval (before AV) or AV measurements (after AV) Subcostal 4C With Doppler
50
Echo conclusion
LV assessment RV assessment Valves PASP
51
Diastology-MV inflow velocities
A4c: PW between MV leaflet tips Peak e wave velocity Early diastole Peak a wave velocity late diastole E/A ratio
52
Diastology-TDI: MV septal e’ velocity
Normal: septal e’ velocity > 8cm:sec Higher e’ = better LV relaxation Lower e’ = possible diastolic dysfunction E after t wave. A before qrs
53
Diastology-TDI: MV lateral e’ velocity
Normal: lateral e’ velocity > 10cm/sec Higher e’ = better LV relaxation Lower e’ = BAD = possible diastolic dysfunction
54
Diastology-TDI: E/e'
55
Diastology-pulmonary vein
S wave velocity Early systole D wave Early diastole after MV opening S/D ratio
56
Diastology: LA index and TR velocity
57
PA diastolic pressure (PADP)
4(PR-end velocity)2 + RAP
58
PA systolic pressure (PASP)
PASP=RVSP 4(TR max velocity)2 + RAP
59
mean PA pressure
4(PR-max velocity)2 + RAP
60
61
Pulm HTN
Peak TR velocity >3.4m/s (normal <2.8m/s) RVOT acceleration time <105ms Pulm systolic notching at RVOT IVC > 2.1cm RA area > 18cm2 RV dilation at end diastole PA diameter at end diastole >2.5cm RV dysfunction - s’ velocity (lateral tricuspid annulus) < 10 is dysfxn - TAPSE <1.7cm is dysfxn PA end diastole pressure = 4(PR-end)2 + RAP mPAP = 4(PE-peak)2 + RAP