Echocardiogram Flashcards

(18 cards)

1
Q

What frequency do you need for a cat/small dog, medium dog and large dog?

A
  • Cats/Small dog
    ◦ 7.5MHz
  • Medium dogs
    ◦ 5MHz
  • Large dogs
    ◦ 2.5-3.5MHz
  • The larger the dog, the deeper the chest, the lower the frequency needs to be.
How well did you know this?
1
Not at all
2
3
4
5
Perfectly
2
Q

What is gain?

A

Helps adjust the overall brightness of the image.

Gain is the amplification of the ultrasound signals your transducer records. Each echo gets turned into a lighter or darker (depending on the echogenicity) pixel on your machine’s screen, and gain dictates how much each echo is amplified.

How well did you know this?
1
Not at all
2
3
4
5
Perfectly
3
Q

Which view is this?

A

Right parasternal long axis 4 chamber

How well did you know this?
1
Not at all
2
3
4
5
Perfectly
4
Q

Which view is this?

A

Right parasternal long axis 4 chamber

How well did you know this?
1
Not at all
2
3
4
5
Perfectly
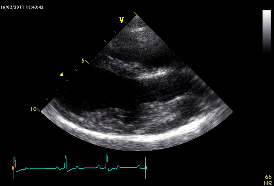
5
Q

Which view is this?

A

Right parasternal long axis 5 chamber

How well did you know this?
1
Not at all
2
3
4
5
Perfectly
6
Q

Which view is this?

A

Right parasternal long axis 5 chamber

How well did you know this?
1
Not at all
2
3
4
5
Perfectly
7
Q

How do you get a right parasternal long axis view?

A

Thumb on ‘thumb mark’
Palpate apex beat.
Place probe on dog with thumb towards you

How well did you know this?
1
Not at all
2
3
4
5
Perfectly
8
Q

How do you get a right parasternal short axis view?

A

From RPLA 4 chamber view turn thumb to bum and turn the probe 90 degrees.

Tilt probe +/- slide probe up chest wall as necessary.

How well did you know this?
1
Not at all
2
3
4
5
Perfectly
9
Q

Which views are these?

A

Right parasternal short axis (RPSA) views

How well did you know this?
1
Not at all
2
3
4
5
Perfectly
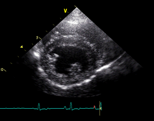
10
Q

Which view is this?

A

Right parasternal short axis view LV @ pap mm level

Right ventricle small at the top.

Left ventricle dominating in the middle.

PAP = Elevated pulmonary pressure (PAP) -> attach doppler in this view

MM = measure left ventricle

How well did you know this?
1
Not at all
2
3
4
5
Perfectly
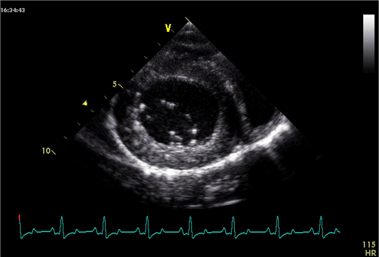
11
Q

Which view is this?

A

Right parasternal short axis @ chorda tendinae

Left ventricle dominating view with chord tenidnae sitting either site of mushroom stalk.

Right ventricle short on top.

How well did you know this?
1
Not at all
2
3
4
5
Perfectly
12
Q

Which view is this?

A

Right parasternal short axis @ chorda tendinae -> fish mouth

How well did you know this?
1
Not at all
2
3
4
5
Perfectly
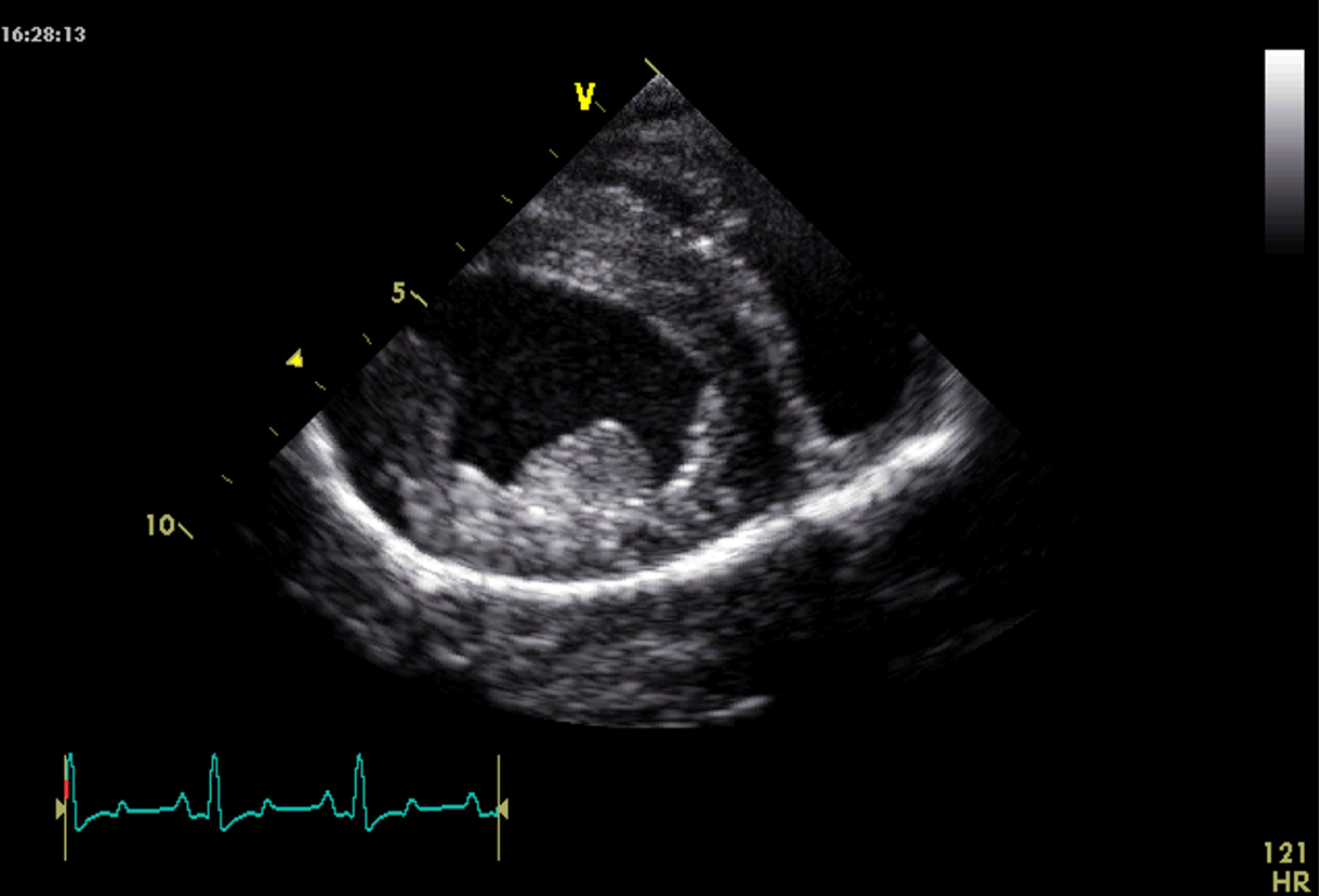
13
Q

Which view is this?

A

Right parasternal short axis @ mitral valve

How well did you know this?
1
Not at all
2
3
4
5
Perfectly
14
Q

Which view is this?

A

Right parasternal short axis @ mitral valve

How well did you know this?
1
Not at all
2
3
4
5
Perfectly
15
Q

Which view is this?

A

Right parasternal short axis @ aortic valve

How well did you know this?
1
Not at all
2
3
4
5
Perfectly
16
Q

Which view is this?

A

Right parasternal short axis @ aortic valve

17
Q

How do you measure M-mode on an echo?

A

Always start from a right parasternal long axis view with a horizontal IVS (Interventricular septum)

Turn 90 degrees ‘thumb to bum’

Ensure the LV is ROUND (not oval).

Ensure that the cursor is exactly in between the papillary muscles i.e. Transecting the LV into two equal halves

18
Q

What does M mode tell us?

A

M-mode tells us what’s happening along this line with time!